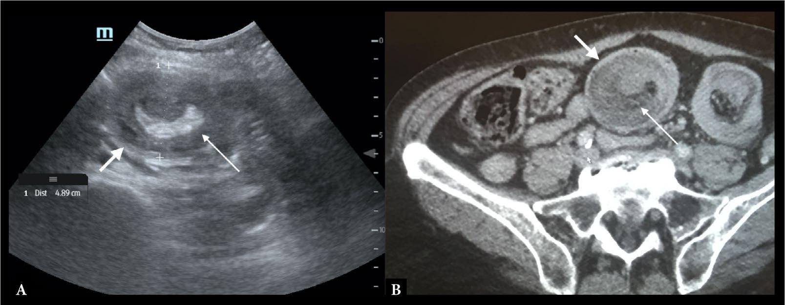
Fig. 1.

Fig. 2.

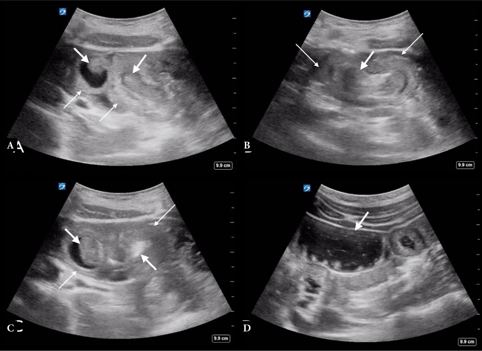
Fig. 3.

Fig. 4.

Fig. 5.






© 2023 David G. Tempel, Daniel S. Balk, Jesse M. Schafer, Beatrice Hoffmann, published by MEDICAL COMMUNICATIONS Sp. z o.o.
This work is licensed under the Creative Commons Attribution-NonCommercial-NoDerivatives 4.0 License.