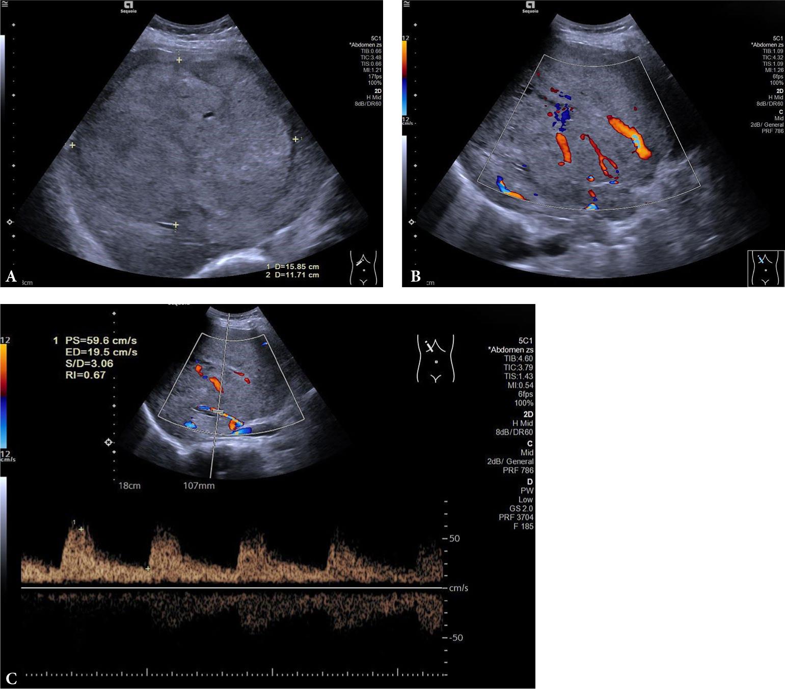
Fig. 1.

Fig. 2.

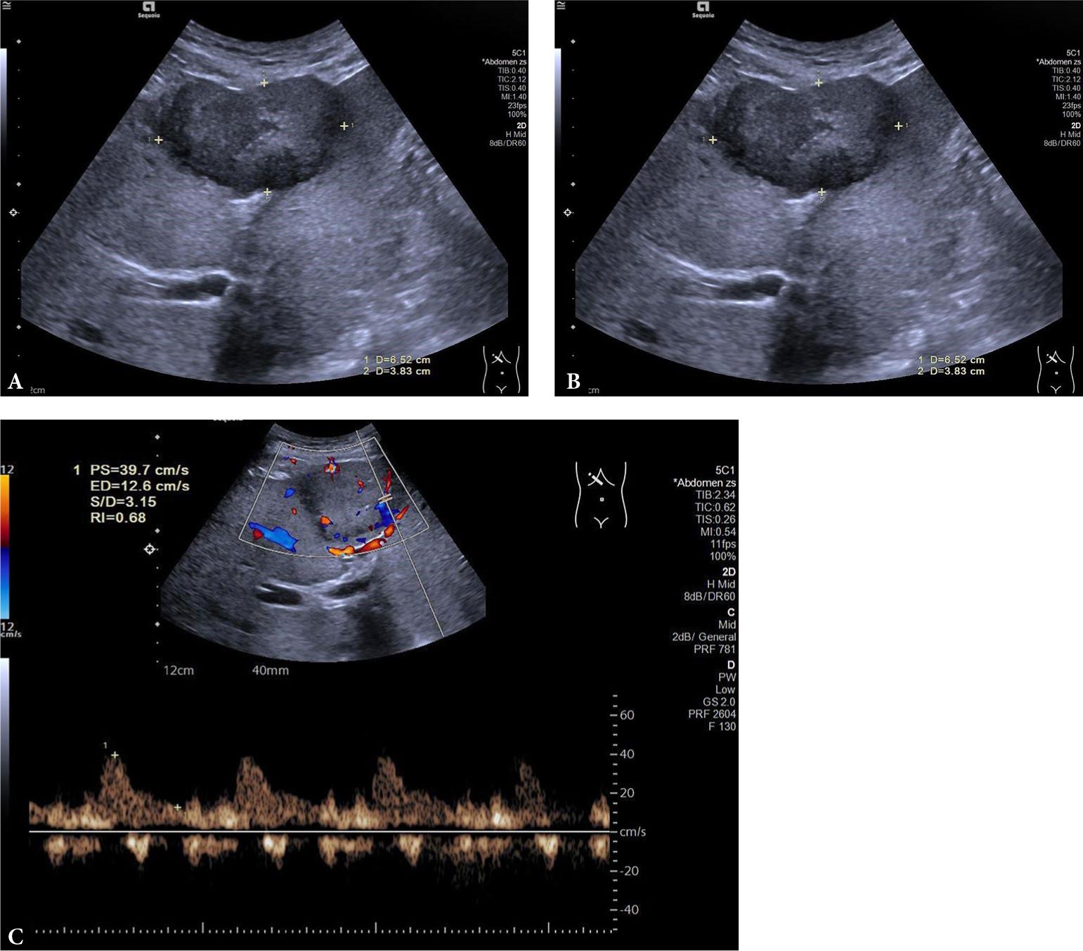
Fig. 3.

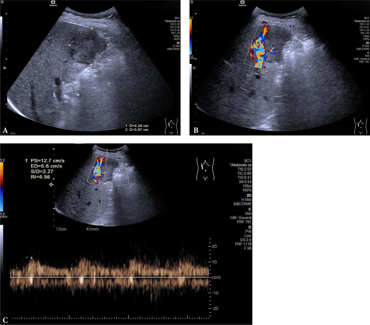
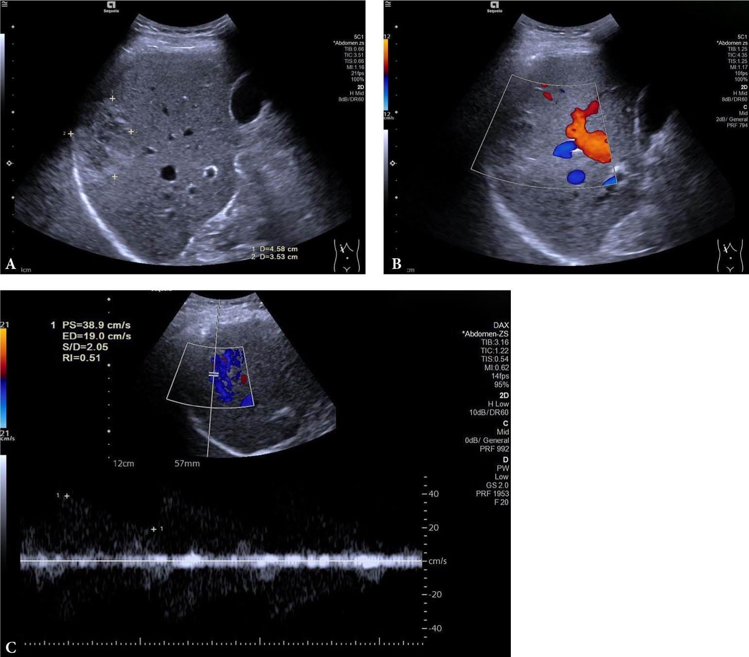
Fig. 4.

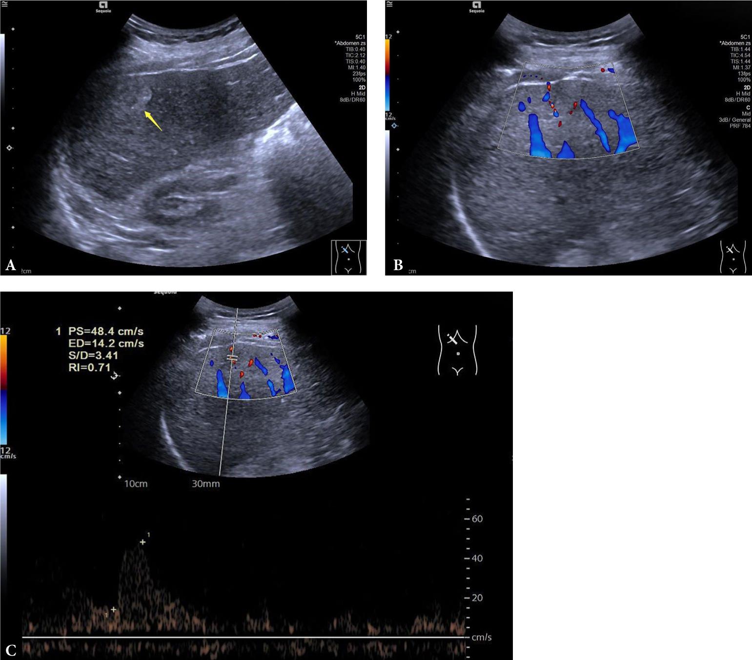
Fig. 5.

Fig. 6.

Fig. 7.

Fig. 8.

Fig. 9.

Comparison of resistance index in hepatocellular carcinoma in different liver background
| Group | Background | Number | RI (mean ± SD) |
|---|---|---|---|
| 1* | normal | 82 | 0.69 ± 0.12 |
| 2 | Fatty liver | 16 | 0.75 ± 0.11 |
| 3* | cirrhosis | 156 | 0.73 ± 0.12 |
Comparison of resistance index in focal nodular hyperplasia lesions (FNH)
| Group | Number | Size of FNH (cm) | RI (mean ± SD) |
|---|---|---|---|
| 1 | 3 | <2 | 0.47 ± 0.05 |
| 2 | 28 | 2–5 | 0.56 ± 0.07 |
| 3 | 16 | 5–10 | 0.54 ± 0.08 |
| 4 | 1 | >10 | 0.49 |
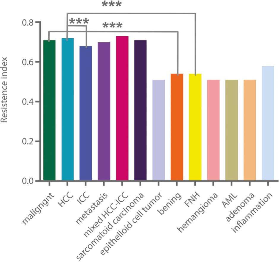
RIs for different focal liver lesions
| Pathological diagnosis | Proportion n/all (%) | RI (range) | RI (mean ± SD) |
|---|---|---|---|
| Malignant lesions | 332/458 (72.5%) | 0.43–1.00 | 0.71 ± 0.12 |
| Hepatocellular carcinoma | 254/347 (73.2%) | 0.43–1.00 | 0.72 ± 0.12 |
| Liver metastasis | 30/51 (58.82%) | 0.52–1.00 | 0.70 ± 0.10 |
| Intrahepatic cholangiocarcinoma | 35/44 (79.5%) | 0.51–1.00 | 0.68 ± 0.10 |
| Mixed hepatocellular Cholangiocarcinoma | 3/5 (60%) | 0.68–0.82 | 0.73 ± 0.08 |
| Sarcomatoid carcinoma | 3/4 (72.5%) | 0.69–0.72 | 0.71 ± 0.02 |
| Epithelioid cell tumor | 3/3 (100%) | 0.45–0.59 | 0.51 ± 0.07 |
| Benign lesions | 100/118 (84.7%) | 0.35 – 0.84 | 0.54 ± 0.10 |
| Focal nodular hyperplasia | 48/52 (92.3%) | 0.40–0.69 | 0.54 ± 0.08 |
| Angiomyolipoma | 15/16 (93.8%) | 0.35–0.72 | 0.51 ± 0.09 |
| Hemangioma | 14/23 (60.9%) | 0.35–0.66 | 0.51 ± 0.09 |
| Hepatocellular adenoma | 8/9 (88.9%) | 0.42–0.66 | 0.51 ± 0.08 |
| Inflammatory pseudotumors | 4/5 (80%) | 0.58–0.84 | 0.68 ± 0.12 |
Comparison of resistance index in hepatocellular carcinoma (HCC)
| Group | Number | Size of HCC (cm) | RI (mean ± SD) |
|---|---|---|---|
| 1* | 63 | < 2 | 0.73 ± 0.12 |
| 2# | 113 | 2–5 | 0.75 ± 0.12 |
| 3 | 63 | 5–10 | 0.70 ± 0.11 |
| 4*, # | 15 | >10 | 0.61 ± 0.13 |