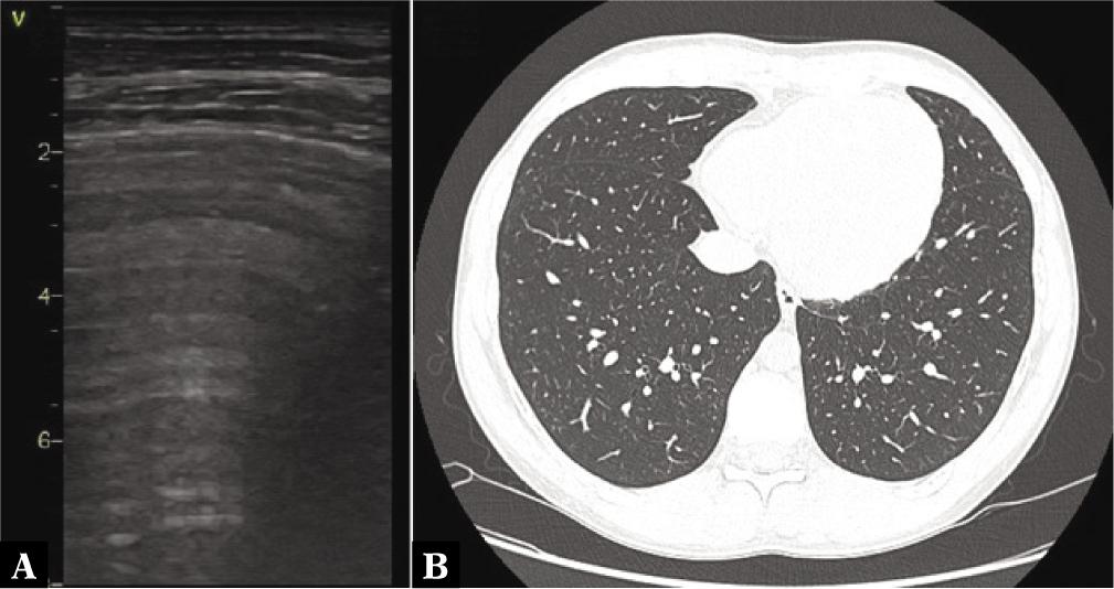
Fig. 1.

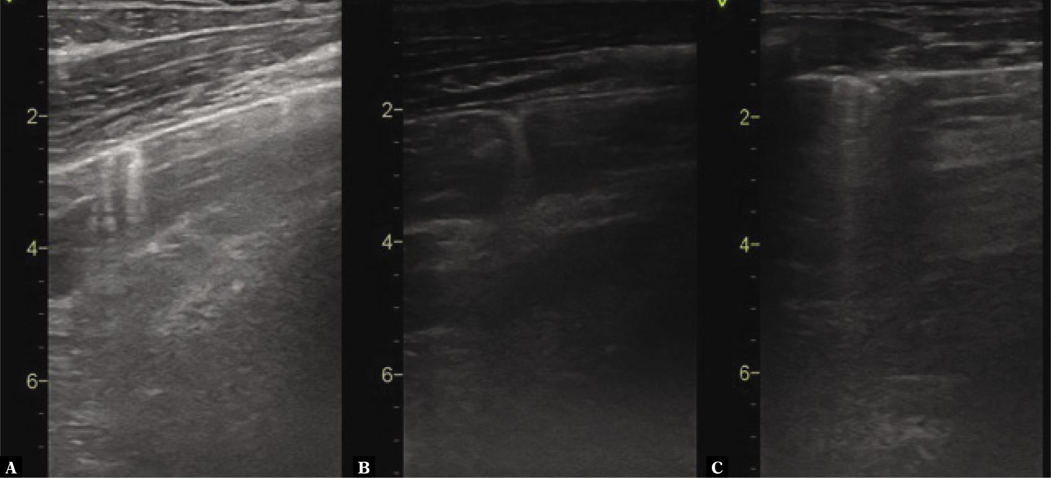
Fig. 2.

Fig. 3.

Fig. 4.

Fig. 5.

Fig. 6.

Pattern of changes visible on HRCT
| Total | Asymptomatic (−) | Mild (+) | Moderate (++) | Severe (+++) | |
|---|---|---|---|---|---|
| Number of patients (N) | 31 | 4 | 17 | 9 | 1 |
| Number of assessed slices (N × 14) | 434 | 56 | 238 | 126 | 14 |
| Normal parenchyma | 363 (83.6%) | 49 (87.5%) | 200 (84.0%) | 103 (81.7%) | 11 (78.6%) |
| Minor changes (adhesions, small scars and fibrotic changes, small consolidations) | 38 (8.6%) | 2 (3.6%) | 19 (4.3%) | 15 (11.9%) | 2 (14.3%) |
| Major changes (ground glass opacifications, big consolidations) | 10 (2.3%) | 3 (5.4%) | 2 (0.8%) | 3 (2.4%) | 2 (14.3%) |
| Non-specific changes (nodules, small tumors) | 25 (5.8%) | 3 (5.4%) | 15 (7.6%) | 6 (4.8%) | 1 (7.1%) |
Pattern of changes visible on LUS
| Total | Asymptomatic (−) | Mild (+) | Moderate (++) | Severe (+++) | |
|---|---|---|---|---|---|
| Number of patients (N) | 31 | 4 | 17 | 9 | 1 |
| Number of assessed areas (N × 14) | 434 | 56 | 238 | 126 | 14 |
| Number of areas with A-line pattern (only) | 265 (61%) | 36 (64.3%) | 151 (63.4%) | 73 (57.9%) | 5 (35.7%) |
| Number of patients with dominant A-line pattern* | 24 (77.4%) | 4 (100%) | 14 (82.6%) | 6 (66.7%) | 0 (0%) |
| Number of patients with dominant “abnormal” pattern* | 7 (22.6%) | 0 (0%) | 3 (17.6%) | 3 (33.3%) | 1 (100%) |
| Number of areas with consolidations | 59 | 7 (12.5%) | 29 (12.6%) | 21 (16.7%) | 2 (14.3%) |
| All consolidations | 70 | 8 | 36 | 24 | 2 |
| Index: consolidation per patient | 2.3 | 2.0 | 2.1 | 2.7 | 2.0 |
| 1) Big consolidations with thick C-line | 25 | 2 | 12 | 10 | 1 |
| 2) Small consolidations | 45 | 6 | 24 | 14 | 1 |
Study group
| Characteristics of study group | N = 31 |
|---|---|
| Mean age, SD, (range) | 26.0 ± 5.6 (17-38) |
| Height (cm) | 190.3 (173-203) |
| Weight (kg) | 86.6 (67-104) |
| Numbers of days after infection, SD (range) | 28.8 ± 15.3 (11-50) |
| Sports discipline | n (%) |
| football | 15 (48.4%) |
| rowing | 10 (32.3%) |
| volleyball | 5 (16.1%) |
| basketball | 1 (3.2%) |
| Course of infection | n (%) |
| asymptomatic (-) | 4 (12.9%) |
| mild symptoms (+) | 17 (54.8%) |
| moderate symptoms (++) | 9 (29.0%) |
| severe symptoms (hospitalization) (+++) | 1 (3.2%) |