Have a personal or library account? Click to login
Liver herniation into the pericardium mimicking a pericardial tumor: unusual presentation of trisomy 13 Cover

Liver herniation into the pericardium mimicking a pericardial tumor: unusual presentation of trisomy 13

Open Access
|Dec 2021

Figures & Tables

Fig. 1.

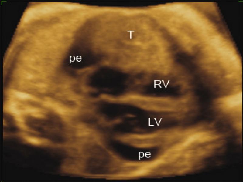
Original two-dimensional echocardiography picture which was taken during the first echocardiography exam. Pericardial effusion (pe) is seen. Large pericardial tumor (T) is located in front to the right ventricle (RV)
Original two-dimensional echocardiography picture which was taken during the first echocardiography exam. Pericardial effusion (pe) is seen. Large pericardial tumor (T) is located in front to the right ventricle (RV)

Fig. 2.

Benign cleft lip in a baby with trisomy 13
Benign cleft lip in a baby with trisomy 13

Fig. 3.

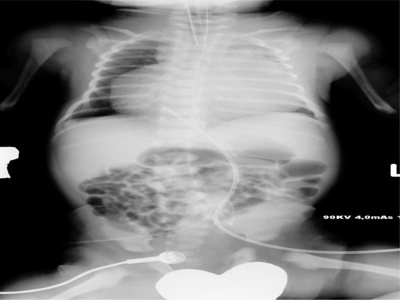
X-ray image from the neonatal ICU
X-ray image from the neonatal ICU

Fig. 4.

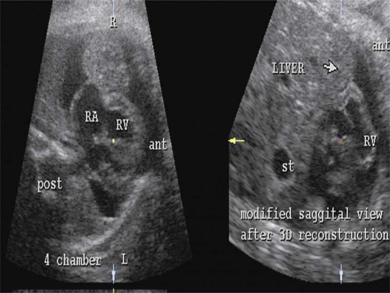
Retrospective offline reconstruction from the echocardiography examination. Left-side picture: referral image in which the pericardial tumor with pericardial effusion is seen (corresponding to the Fig. 1). ant – anterior, post – posterior, RA – right atrium, RV – right ventricle, L – left, R – right. Right-side picture: modified sagittal view reconstruction from the STIC volume. The “tumor” is identified as part of the liver herniating into the pericardial cavity (arrow). st – stomach
Retrospective offline reconstruction from the echocardiography examination. Left-side picture: referral image in which the pericardial tumor with pericardial effusion is seen (corresponding to the Fig. 1). ant – anterior, post – posterior, RA – right atrium, RV – right ventricle, L – left, R – right. Right-side picture: modified sagittal view reconstruction from the STIC volume. The “tumor” is identified as part of the liver herniating into the pericardial cavity (arrow). st – stomach
DOI: https://doi.org/10.15557/jou.2021.0058 | Journal eISSN: 2451-070X | Journal ISSN: 2084-8404
Language: English
Page range: 353 - 356
Submitted on: Aug 9, 2021
Accepted on: Sep 6, 2021
Published on: Dec 15, 2021
Published by: MEDICAL COMMUNICATIONS Sp. z o.o.
In partnership with: Paradigm Publishing Services
Publication frequency: 4 issues per year

© 2021 Joanna Szymkiewicz-Dangel, Maria Magdalena Hussey, published by MEDICAL COMMUNICATIONS Sp. z o.o.
This work is licensed under the Creative Commons Attribution-NonCommercial-NoDerivatives 3.0 License.