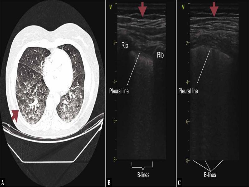
Fig. 1.

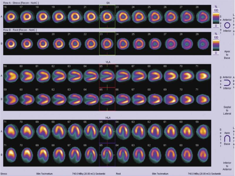
Fig. 2.

Fig. 3.

Fig. 4.

Fig. 5.






© 2021 Anna Sobieszek, Marcin Konopka, Marek Cacko, Marek Kuch, Wojciech Braksator, published by MEDICAL COMMUNICATIONS Sp. z o.o.
This work is licensed under the Creative Commons Attribution-NonCommercial-NoDerivatives 3.0 License.