Have a personal or library account? Click to login
Paediatric small-bowel intussusception on ultrasound – a case report with differentiating features from the ileocolic subtype Cover

Paediatric small-bowel intussusception on ultrasound – a case report with differentiating features from the ileocolic subtype

Open Access
|Mar 2021

Figures & Tables

Fig. 1.

A. Ultrasound of the abdomen in the axial plane showing a lesion (solid arrow) in the umbilical region with multiple concentric hyperechoic and hypoechoic rings – target sign or doughnut sign appearance (
B, C
). On tracing the lesion further, eccentric hyperechoic mesentery (solid arrow) appears
A. Ultrasound of the abdomen in the axial plane showing a lesion (solid arrow) in the umbilical region with multiple concentric hyperechoic and hypoechoic rings – target sign or doughnut sign appearance ( B, C ). On tracing the lesion further, eccentric hyperechoic mesentery (solid arrow) appears

Fig. 2.

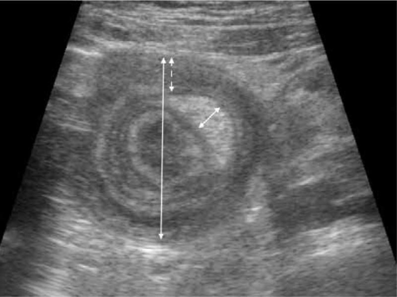
Diameter of the lesion – 28 mm (long solid arrow), outer wall diameter – 5.5 mm (dashed arrow) and mesenteric fat core – 4.6 mm (short solid arrow). The fat core-to-outer wall index is 0.84
Diameter of the lesion – 28 mm (long solid arrow), outer wall diameter – 5.5 mm (dashed arrow) and mesenteric fat core – 4.6 mm (short solid arrow). The fat core-to-outer wall index is 0.84

Fig. 3.

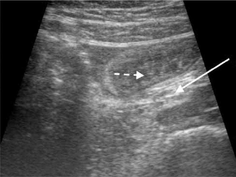
Ultrasound image in the longitudinal plane showing the pseudokidney appearance of the lesion with the hyperechoic mesentery (solid arrow) located eccentrically to the central limb (dashed arrow) of the intussusceptum
Ultrasound image in the longitudinal plane showing the pseudokidney appearance of the lesion with the hyperechoic mesentery (solid arrow) located eccentrically to the central limb (dashed arrow) of the intussusceptum

Fig. 4.

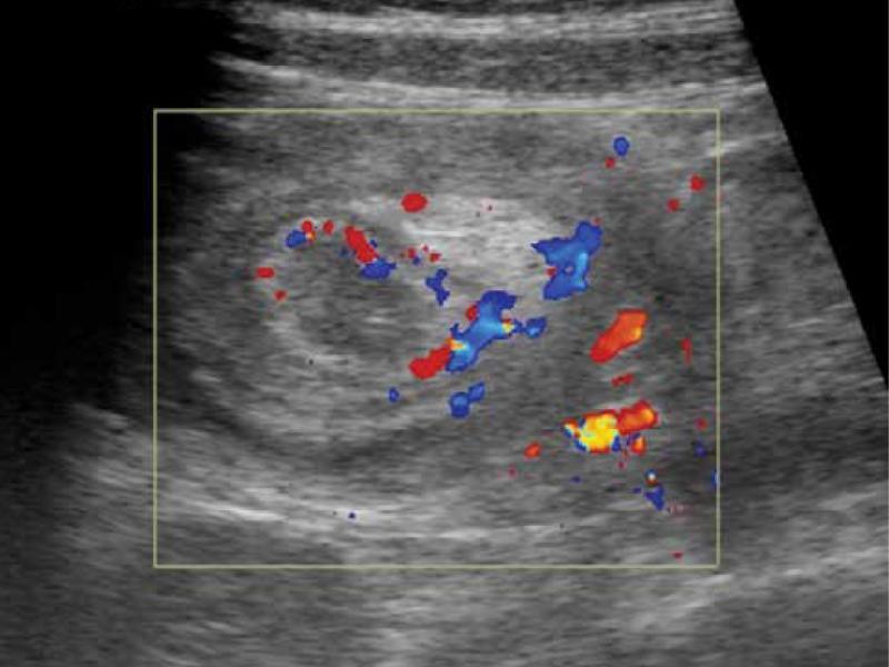
Colour Doppler ultrasound image in the axial plane showing intact vascularity in the bowel wall within the intussusception
Colour Doppler ultrasound image in the axial plane showing intact vascularity in the bowel wall within the intussusception
DOI: https://doi.org/10.15557/jou.2021.0011 | Journal eISSN: 2451-070X | Journal ISSN: 2084-8404
Language: English
Page range: 70 - 73
Submitted on: Nov 1, 2020
Accepted on: Dec 21, 2020
Published on: Mar 8, 2021
Published by: MEDICAL COMMUNICATIONS Sp. z o.o.
In partnership with: Paradigm Publishing Services
Publication frequency: 4 issues per year

© 2021 Pushkar Mendiratta, Anurav Yadav, Nitin Borse, published by MEDICAL COMMUNICATIONS Sp. z o.o.
This work is licensed under the Creative Commons Attribution-NonCommercial-NoDerivatives 3.0 License.