Fig. 1.

Fig. 2.

Fig. 3.

Fig. 4.

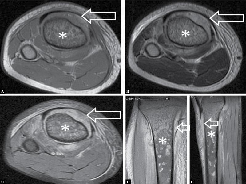
Fig. 5.

Fig. 6.

Distribution of diagnosed AOM cases (n = 5)
| Case | Age (years) | Gender | Clinical profile | Site of involvement | Day of USG scan after onset |
|---|---|---|---|---|---|
| 1 | 6 | Male | Pain and swelling, left distal thigh | Left distal femoral metaphysis | 4 |
| 2 | 9 | Male | Pain, right proximal leg | Right proximal tibial metaphysis | 7 |
| 3 | 6 | Female | a. Swelling, pain, redness, right distal thigh and knee b. Fever | Right distal femoral metaphysis | 4 |
| 4 | 12 | Male | a. Pain, left proximal thigh b. Fever | Left proximal femoral metaphysis | 3 |
| 5 | 8 | Male | Pain and swelling, right distal thigh | Right distal femoral metaphysis | 5 |
Distribution of cases as per diagnosis after the final evaluation (n =18)
| Diagnosis | Number of cases | Percentage |
|---|---|---|
| AOM | 5 | 27.8 |
| Soft tissue haematoma | 5 | 27.8 |
| Cellulitis | 4 | 22.2 |
| Osteosarcoma | 1 | 5.56 |
| Osteoid osteoma | 1 | 5.56 |
| Fractures | 2 | 11.1 |
Sonographic findings in confirmed cases of AOM at presentation (n = 5)
| USG finding | Number of cases | Percentage |
|---|---|---|
| Deep soft tissue fluid collection around the bone | 5 | 100 |
| Periosteal thickening or elevation with subperiosteal fluid collection | 4 | 80 |
| Increased vascularity within or around the periosteum on colour Doppler | 4 | 80 |