Fig. 1.

Fig. 2.

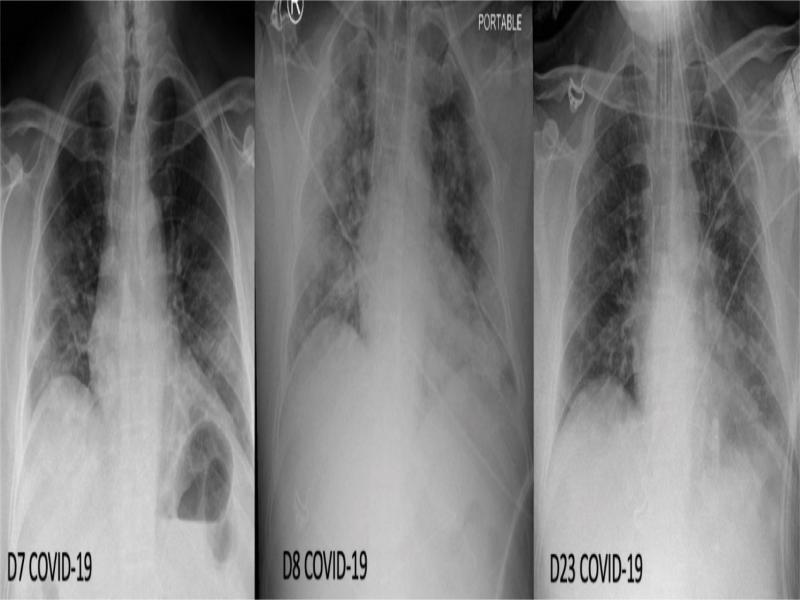
Fig. 3.

Fig. 4.





© 2020 Wee Ming Peh, Steffi Kang Ting Chan, Yi Lin Lee, Pravin Shivaji Gare, Vui Kian Ho, published by MEDICAL COMMUNICATIONS Sp. z o.o.
This work is licensed under the Creative Commons Attribution-NonCommercial-NoDerivatives 3.0 License.