Have a personal or library account? Click to login
A case of ultrasound diagnosis of retroperitoneal lesion caused by unnoticed foreign body ingestion Cover

A case of ultrasound diagnosis of retroperitoneal lesion caused by unnoticed foreign body ingestion

Open Access
|Jun 2020

Full Article

Introduction

Even though cross-sectional contrast-enhanced methods have increased in prevalence over the past 20 years, the rare case described below reaffirms that sonographic evaluation continues to play an important role in the diagnostic algorithm.

A 52-year-old male patient, with a history of obesity-related health problems, was admitted to hospital to undergo an EUS (endoscopic ultrasonography) procedure for a suspected retroperitoneal tumor.

Case report

Two weeks before the described admission, the patient was hospitalized in the Surgery Ward of a district hospital because of strong abdominal pain. On the first day of admission, laboratory tests were performed, showing a high serum CRP level (193 mg/l) and an elevated WBC count with accompanying normal serum pancreatic enzyme activity, bilirubin, AST, ALT and GGTP levels. An US (ultrasound) examination showed a hypoechoic, polycyclic lesion of unknown origin, adjacent to the pancreatic body and tail, measuring 35 × 28 × 50 mm.

Subsequently, an abdominal CT (computed tomography) scan was performed, suggesting a large pathological mass, 50 × 40 × 50 mm in size, neighboring the superior wall of the D3 part of the duodenum, superior mesenteric artery, pancreatic body, with preserved pancreatic margins and with the presence of lymph nodes inside the mass and in the surrounding area. The radiologist’s suggestion was either paraduodenal abscess or GIST (gastrointestinal stromal tumor). In addition, an abdominal MRI scan was performed, showing homogenous contrast enhancement of the lesion, low ADC (apparent diffusion coefficient) map signal and restricted diffusion – more consistent with GIST than abscess lesion. During this first hospitalization, the patient was treated with antibiotics with good effect. The course of medication resulted in a decrease in serum CRP levels and a reduced sensation of pain.

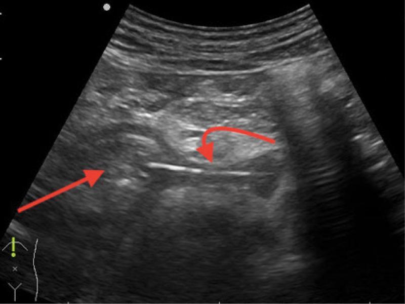
Because of improvement in his condition and for personal reasons, the patient delayed the EUS-related hospitalization for nearly two weeks, showing up asymptomatic and with normal laboratory results on the day of admission. It was then that a transabdominal US scan was performed, showing a linear hyperechoic object (40 mm in length) extending from the gastric antrum wall (muscular layer), and heading through the retroperitoneal site in the direction of the pancreatic body, surrounded by a dense fluid collection. The findings were consistent with the presence of a foreign body (Fig. 1). The patient was once again asked about his medical history and recent symptoms. Initially, he could not recall any probable situation of ingesting a foreign body.

Fig. 1.

Transabdominal ultrasound, Aloka Alpha Prosound 6, straight arrow: stomach (pyloric part) transverse view, curved arrow: toothpick

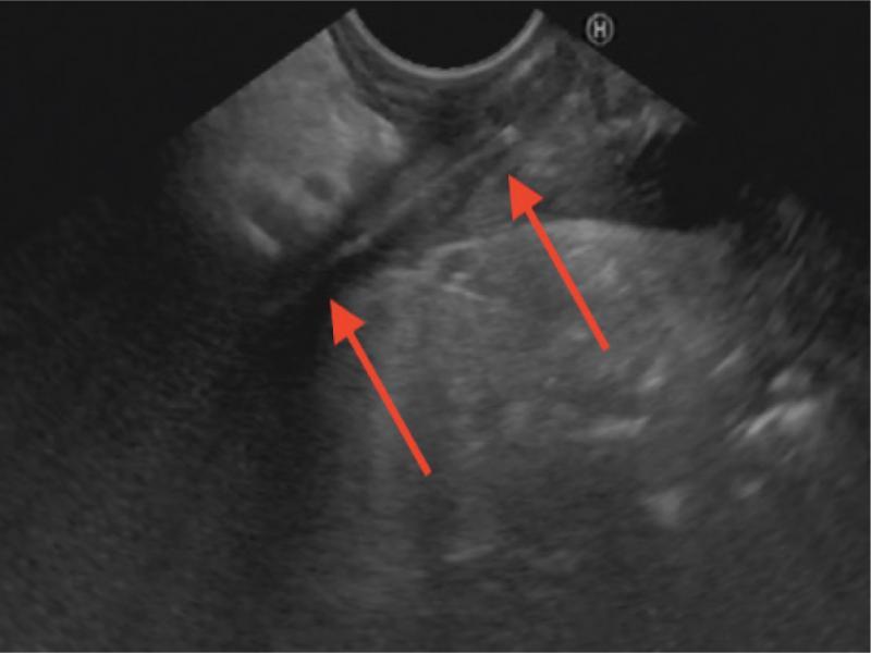
In the next step, gastroscopy was performed endoscopically, showing no obvious abnormalities. An EUS ultrasound image confirmed the presence of a linear foreign body stuck (5.6 mm deep from the ultrasound probe surface) in the muscular layer of the antrum. A precise evaluation of the extent of the lesion and surrounding structures was described (Fig. 2).

Fig. 2.

Endoscopic ultrasound, Hitachi Avius, Pentax EG-3870 UTK, transgastric approach, arrows: toothpick

Gastroscopy was performed to determine the probable penetration area, and slightly lifted mucosa was noticed within the suspected area. After pushing it with biopsy forceps, a small amount of pus was released, and the mucosa collapsed, eliminating the possibility of assessing the site endoscopically.

A surgical consultation was held, and the patient was considered eligible for laparotomy. During the procedure, a wooden toothpick measuring 40 mm was extracted (Fig. 3).

Fig. 3.

40 mm toothpick removed by the surgery team

Conclusions

This is a rare case of unnoticed ingestion of a foreign body resulting in alimentary tract perforation with total displacement of the object out of the tract lumen. The case shows that sonographic evaluation still plays an important role in the diagnostic algorithm, even after cross-sectional contrast-enhanced modalities have been employed. Moreover, in the reported case, repeating the transabdominal sonographic evaluation and supplementing it with endosonography, contributed to making the correct diagnosis. With its ease of use and safety, US can be successfully used to verify the diagnosis at every stage of the therapeutic and diagnostic processes. Its main disadvantage continues to be operator dependency.

Discussion

Ingestion of foreign bodies has the greatest prevalence in children (about 80% of cases)(1), and nearly 80% of all ingested objects pass spontaneously through the tract in 4–6 days without any medical assistance, about 20% of cases need an endoscopic procedure, and less than 1% of cases need surgical treatment(2). In children, the most common foreign bodies found in the alimentary tract include coins, buttons, button batteries and toys, while in adults the impaction of an object is usually associated with food (food boluses, fish bones, chicken bones), though foreign bodies like dentures are also occasionally observed. There are only a few sites one can expect an ingested object to impact due to the natural narrowing of the lumen and angulations, including the esophageal sphincters, pylorus, duodenal sweep, ileocecal valve, and anus(13). When the nature, size and number of obstacles are unknown, or a radiopaque object is suspected, a plain radiograph is recommended in the first place(4). In cases involving sharp objects, stretching tract walls and continuous peristaltic movements may lead to perforation and penetration into surrounding tissues. If such a suspicion arises, a CT scan should be considered(2). MRI and ultrasound examinations are not routinely used in the diagnostic algorithm for foreign body ingestion, but in the reported case ultrasound and endoscopic ultrasound assessments played a major role in the differential diagnostic process.

Some sources claim that sonography seems to be the most helpful method for evaluating retained wooden objects(5).

DOI: https://doi.org/10.15557/jou.2020.0024 | Journal eISSN: 2451-070X | Journal ISSN: 2084-8404
Language: English
Page range: 151 - 153
Submitted on: Jan 7, 2020
|
Accepted on: Apr 17, 2020
|
Published on: Jun 15, 2020
In partnership with: Paradigm Publishing Services
Publication frequency: 4 issues per year

© 2020 Wojciech Tynecki, Andrzej Tynecki, Agata Grobelna, Tomasz Baranowski, Grzegorz Siemiaszko, Tomasz Łapiński, Julia Wilczek, published by MEDICAL COMMUNICATIONS Sp. z o.o.
This work is licensed under the Creative Commons Attribution-NonCommercial-NoDerivatives 3.0 License.