Fig. 1.

Fig. 2.

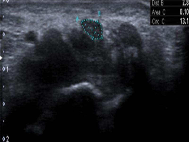
Fig. 3.

Fig. 4.

Fig. 5.

Pre- and post-therapy assessments from a total of 35 patients
| Baseline Median (25%,75%) | Splint + Exercise Median (25%,75%) | p | |
|---|---|---|---|
| Boston-S | 31.50 (27.00,40.00) | 30.00 (22.25,36.50) | 0.04 |
| Boston-F | 23.00 (14.25,26.50) | 24.00 (11.75,31.50) | 0.19 |
| Boston-T | 50.50 (45.00,66.75) | 40.25 (53.00,69.25) | 0.32 |
| CSA (cm2) | 0.11 (0.08,0.13) | 0.10 (0.08,0.13) | 0.11 |
| SP/MN SI | 0.83 (0.33,1.66) | 0.69 (0.31,1.17) | 0.03 |