Have a personal or library account? Click to login
Infiltrative non-mass-like hepatocellular carcinoma initially presenting with isolated malignant portal vein thrombosis: A case report and review of the literature Cover

Infiltrative non-mass-like hepatocellular carcinoma initially presenting with isolated malignant portal vein thrombosis: A case report and review of the literature

Open Access
|Mar 2020

Figures & Tables

Fig. 1.

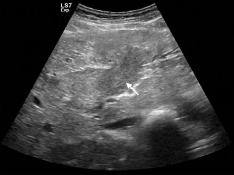
Gray-scale US image shows the left portal vein expanded with occlusive tumor thrombus (white arrow)
Gray-scale US image shows the left portal vein expanded with occlusive tumor thrombus (white arrow)

Fig. 2.

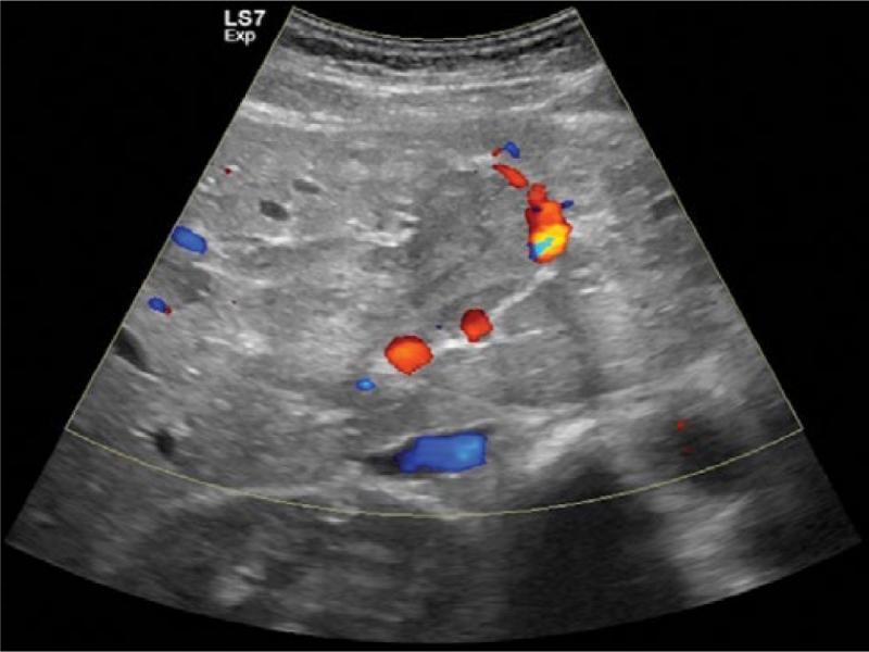
Color Doppler US image reveals the presence of diagnostic arterial flow within the tumor thrombus
Color Doppler US image reveals the presence of diagnostic arterial flow within the tumor thrombus

Fig. 3.

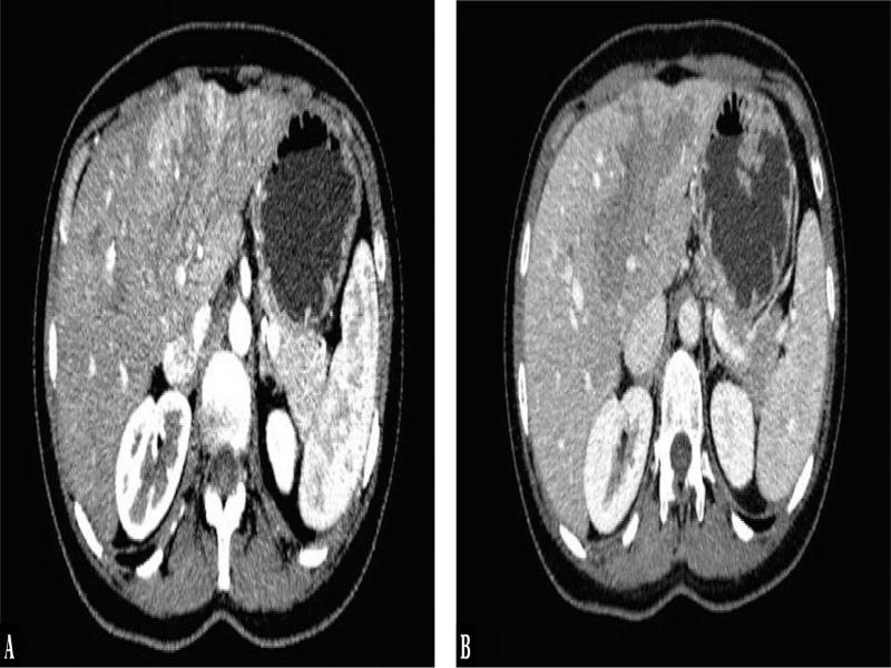
Axial contrast-enhanced CT images show streaky and heterogeneous enhancement of the PV thrombus during the late arterial phase (A) with washout during the portal venous phase (B), which is diagnostic of tumor thrombus
Axial contrast-enhanced CT images show streaky and heterogeneous enhancement of the PV thrombus during the late arterial phase (A) with washout during the portal venous phase (B), which is diagnostic of tumor thrombus

Fig. 4.

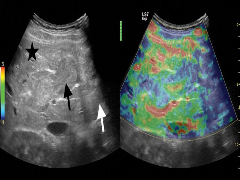
On sonoelastographic image, normal parenchyma is coded in red-green color (star mark), whereas portal vein tumor thrombosis and the affected left lobe parenchyma are coded in blue-green (black arrow) and pure blue color (white arrow), respectively. Based on the color bar on the left side, red color reflects less stiff tissue, while blue color reflects more stiff tissue than the rest. Besides, green color reflects medium-stiff tissue
On sonoelastographic image, normal parenchyma is coded in red-green color (star mark), whereas portal vein tumor thrombosis and the affected left lobe parenchyma are coded in blue-green (black arrow) and pure blue color (white arrow), respectively. Based on the color bar on the left side, red color reflects less stiff tissue, while blue color reflects more stiff tissue than the rest. Besides, green color reflects medium-stiff tissue
DOI: https://doi.org/10.15557/jou.2020.0009 | Journal eISSN: 2451-070X | Journal ISSN: 2084-8404
Language: English
Page range: 55 - 60
Submitted on: Oct 23, 2019
Accepted on: Dec 12, 2019
Published on: Mar 31, 2020
Published by: MEDICAL COMMUNICATIONS Sp. z o.o.
In partnership with: Paradigm Publishing Services
Publication frequency: 4 issues per year

© 2020 Anıl Çolaklar, Namık Kemal Altınbaş, published by MEDICAL COMMUNICATIONS Sp. z o.o.
This work is licensed under the Creative Commons Attribution-NonCommercial-NoDerivatives 3.0 License.