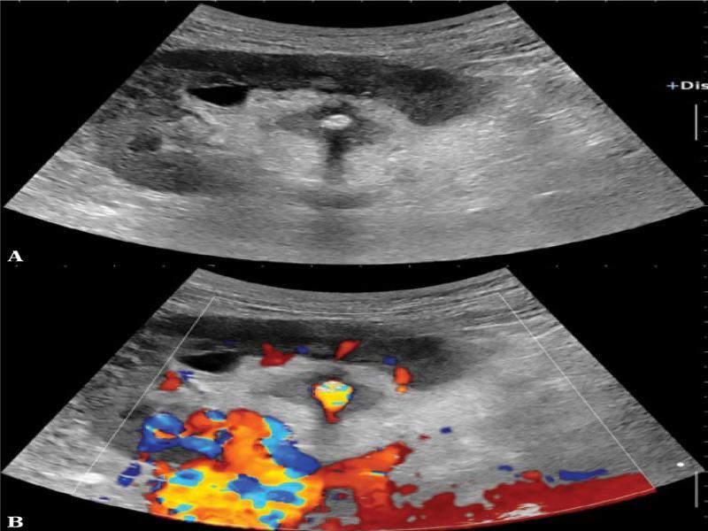
Fig. 1.

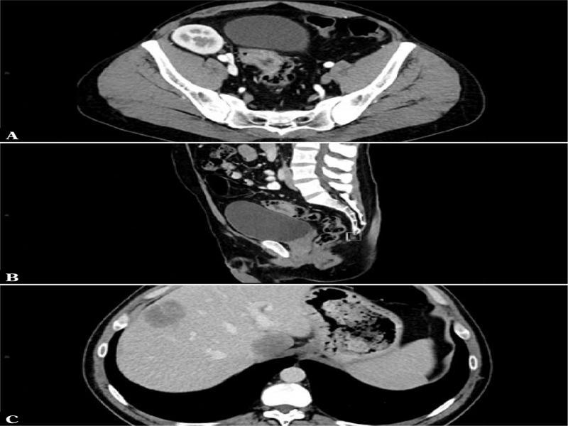
Fig. 2.

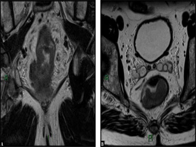
Fig. 3.

Indications for abdominal CT [ACR–SPR Practice Parameter for the performance of computed tomography (CT) of the abdomen and computed tomography (CT) of the pelvis; https://www_acr_org/-/media/ACR/Files/Practice-Parameters/ct-abd-pel_pdf]
| Evaluation of abdominal, flank, or pelvic pain, including evaluation of suspected or known urinary calculi and appendicitis |
| Evaluation of abdominal or pelvic trauma |
| Evaluation of renal and adrenal masses and of urinary tract abnormalities with CT urography |
| Evaluation of known or suspected abdominal or pelvic masses or fluid collections, including gynecological masses |
| Evaluation of primary or metastatic malignancies, including lesion characterization (e.g. focal liver lesion), staging, and treatment monitoring |
| Surveillance following locoregional therapies in abdominal malignancies, including percutaneous ablation, intra-arterial therapies (transarterial chemo-embolization, selective internal radiation therapy), and targeted image-guided radiation therapy |
| Assessment for recurrence of tumors following surgical resection |
| Detection of complications following abdominal and pelvic surgery, e.g. abscess, lymphocele, radiation change, and fistula/sinus tract formation |
| Evaluation of diffuse liver disease (e.g. cirrhosis, steatosis, iron deposition disease) and biliary system, including CT cholangiography) |
| Evaluation of abdominal or pelvic inflammatory processes, including inflammatory bowel disease, infectious bowel disease and its complications, without or with CT enterography |
| Assessment of abnormalities of abdominal or pelvic vascular structures; noninvasive angiography of the aorta and its branches and noninvasive venography |
| Clarification of findings from other imaging studies or laboratory abnormalities |
| Evaluation of known or suspected congenital abnormalities of abdominal or pelvic organs |
| Evaluation for bowel obstruction or Gl bleeding |
| Screening and diagnostic evaluation for colonic polyps and cancers with CT colonography |
| Guidance for interventional or therapeutic procedures within the abdomen or pelvis |
| Follow-up evaluation after interventional or therapeutic procedures within the abdomen or pelvis, including abscess drainage |
| Treatment planning for radiation and chemotherapy and evaluation of tumor response to treatment, including perfusion studies |
| Pre- and post-transplant assessment |
Indications for abdominal MRI [ACR–SAR–SPR Practice Parameter for the performance of Magnetic Resonance Imaging (MRI) of the abdomen (Excluding the Liver); https://www_acr_org/-/media/ACR/Files/Practice-Parameters/mr-abd_pdf and ACR–SAR–SPR Practice Parameter for the performance of Magnetic Resonance Imaging (MRI) of the liver; https://www_acr_org/-/media/ACR/Files/Practice-Parameters/mr-liver_pdf]
| Liver | Detection of focal hepatic lesions |
| Focal hepatic lesion characterization, e.g. cyst, focal fat, hemangiomas, and vascular malformations, hepatocellular carcinoma (HCC), hepatoblastoma, metastasis, cholangiocarcinoma, focal nodular hyperplasia, and hepatic adenoma | |
| Evaluation for known or suspected metastasis | |
| Evaluation of vascular patency, including Budd-Chiari and portal vein thrombosis | |
| Evaluation of chronic liver disease, such as hemochromatosis, hemosiderosis, or steatosis | |
| Evaluation of cirrhotic liver and HCC surveillance | |
| Clarification of findings from other imaging studies, laboratory abnormalities, or alternative imaging for contraindications to CT scans | |
| Evaluation of infection | |
| Potential liver donor evaluation, liver resection evaluation, liver transplant evaluation, and evaluation of postsurgical complications | |
| Evaluation of tumor response to treatment, e.g. image-guided liver interventions/tumor ablation, chemoembolization, radioembolization, chemotherapy, radiotherapy, or surgery | |
| Evaluation of known or suspected congenital abnormalities | |
| Informing or guiding clinical decision-making and treatment planning | |
| Pancreas | Detection and preoperative assessment of pancreatic neoplasms |
| Characterization of indeterminate lesions and/or unexplained enlargement detected with other imaging modalities | |
| Identification of causes of pancreatic duct obstruction, including calculi, stricture, or mass | |
| Detection and characterization of pancreatic duct anomalies | |
| Evaluation of pancreatic or peripancreatic fluid collections or fistulae | |
| Evaluation of chronic pancreatitis, including assessment of pancreatic exocrine function | |
| Evaluation of complicated acute pancreatitis and associated complications | |
| Postoperative treatment/follow-up after pancreatic surgery | |
| Spleen | Characterization of indeterminate lesions detected with other imaging modalities |
| Detection and characterization of suspected diffuse abnormalities of the spleen | |
| Evaluation of suspected accessory splenic tissue | |
| Kidneys, ureters and retroperitoneum | Detection of renal tumors |
| Characterization of indeterminate lesions detected with other imaging modalities | |
| Preoperative assessment of renal neoplasms to include evaluation of the arterial supply, renal vein, and inferior vena cava | |
| Evaluation of the urinary tract for abnormalities of anatomy or physiology (MR urography) | |
| Postprocedure surveillance after renal tumor ablation or surgical extirpation via partial or complete nephrectomy | |
| Evaluation of ureteral abnormalities | |
| Evaluation of suspected retroperitoneal fibrosis and other benign lesions | |
| Characterization and staging of retroperitoneal malignant neoplasms | |
| Evaluation or follow-up of lymphadenopathy | |
| Surveillance imaging of the upper urinary tract in patients with urothelial carcinoma | |
| Characterization of complex congenital anomalies | |
| Identification of causes of urinary tract obstruction | |
| Adrenal glands | Detection of suspected pheochromocytoma and functioning adrenal adenoma |
| Characterization of indeterminate lesions detected with other imaging modalities | |
| Staging of malignant adrenal neoplasms | |
| Detection and characterization of congenital anomalies | |
| Vascular | Diagnosis and/or assessment of the following vascular abnormalities: |
| 1. Aneurysm of the aorta and major branch vessels; | |
| II. Stenosis or occlusion of the aorta and major branch vessels resulting from atherosclerotic disease, thromboembolic disease, or large vessel vasculitis; | |
| III. Dissection of the aorta; | |
| IV. Vascular malformation and arteriovenous fistula; | |
| V Portal, mesenteric or splenic vein thrombosis; | |
| VI. Inferior vena cava (IVC), pelvic vein, gonadal vein, renal vein or hepatic vein thrombosis | |
| Vascular evaluation in one of the following clinical scenarios: | |
| 1. Lower extremity claudication; | |
| II. Known or suspected renovascular hypertension; | |
| III. Known or suspected chronic mesenteric ischemia; | |
| IV Hemorrhagic hereditary telangiectasia; | |
| V Known or suspected Budd-Chiari syndrome; | |
| VI. Portal hypertension; | |
| VII. Known or suspected gonadal vein reflux | |
| Preprocedure assessment for the following: | |
| 1. Vascular mapping prior to living organ donation a) Liver b) Kidney c) Pancreas d) Combined organ transplant; | |
| II. Assessment of renal vein and IVC patency in the setting of renal malignancy or neoplasm; | |
| III. Vascular mapping prior to placement of or surgery on a transjugular intrahepatic portosystemic shunt (TIPS); | |
| IV Vascular mapping prior to resection of abdominal and pelvic neoplasms; | |
| V Vascular mapping prior to uterine fibroid embolization; | |
| VI. Vascular mapping prior to hepatic bland embolization, chemoembolization, and radioembolization procedures; | |
| VII. Vascular mapping prior to tissue grafting | |
| Postprocedure assessment for the following: | |
| 1. Evaluation of organ transplant vascular anastomoses (hepatic, renal, and pancreatic); | |
| II. Detection of suspected leak following aortic aneurysm surgery or MR-compatible aortic stent graft placement; | |
| III. Evaluation of ovarian artery collateral flow following uterine fibroid embolization | |
| Bile ducts and gallbladder | Detection, staging, and post-treatment follow-up of bile duct and gallbladder cancer |
| Detection of bile duct or gallbladder stones | |
| Evaluation of bile duct dilation and/or narrowing | |
| Evaluation of suspected congenital abnormalities of the gallbladder or bile ducts | |
| Detection and anatomic delineation of bile leaks | |
| Gastrointestinal tract and peritoneum | Preoperative assessment of gastric neoplasms |
| Detection of small bowel neoplasms | |
| Assessment of inflammatory disorders of the small or large bowel and mesentery (including MR enterography); | |
| Assessment of peritoneal adhesive disease | |
| Detection and evaluation of primary and metastatic peritoneal or mesenteric neoplasms | |
| Detection and characterization of intra-abdominal fluid collections, as well as follow-up after percutaneous or surgical drainage | |
| Evaluation and follow-up of lymphadenopathy | |
| Other applications | Imaging follow-up of abnormalities of the abdomen deemed indeterminate on initial MRI and for which surgery is not advised |
| Detection and characterization of extraperitoneal neoplasms other than above | |
| Evaluation of the abdomen as an alternative to computed tomography (CT) when radiation exposure is an overriding concern in susceptible patients, such as pregnant or pediatric patients, or in patients with a contraindication to iodinated contrast agents | |
| Assessment of treatment response to medical therapy of malignant neoplasms of the abdomen | |
| Determining the organ of origin of an indeterminate (benign or malignant) lesion in the abdomen when the origin is not obvious from other imaging modalities | |
| Identification and characterization of vascular malformations | |
| Evaluation of abdominal wall abnormalities not adequately assessed by other imaging modalities | |
| Assessment of traumatic injury of the abdomen when CT is contraindicated |
Indications for a given imaging modality as per the category of abdominal pathology
| Ultrasound | CEUS | CT | MRI | |
|---|---|---|---|---|
| Abdominal emergencies (non-traumatic) | First-line imaging technique | Technique of choice if US is inconclusive | Can be used, as an alternative to CT in selected cases (e.g. suspicion of acute appendicitis), especially in children or young patients | |
| Abdominal emergencies (traumatic) | First-line imaging technique in low-energy trauma limited to the abdomen; FAST technique for the detection of hemoperitoneum, particularly useful in unstable patients | Improves the sensitivity of US in detecting parenchymal trauma and active hemorrhage | First-line imaging technique in high-energy trauma | |
| Jaundice | First-line imaging technique. Confirms the obstructive cause of jaundice by showing bile duct dilatation | Can be used as a substitute ifMRI is not available. Low sensitivity for bile duct calculi | Technique of choice if US is inconclusive | |
| Urinary symptoms | First-line imaging technique. Confirms the presence of hydronephrosis | Technique of choice for the diagnosis of renal or ureteral calculi | ||
| Palpable abnormality (abdominal mass or organomegaly) | First-line imaging technique for confirming hepato- or splenomegaly. Can be used to exclude an abdominal mass in order to avoid excessive irradiation by CT | Technique of choice for characterizing an abdominal mass discovered by US or clinical examination. | Can be used as a substitute for CT in selected cases. Technique of choice for characterizing pelvic masses. | |
| Elevated liver enzymes | Imaging technique of choice for diagnosing and characterization of diffuse liver disease | Complementary to US; can be used to quantify diffuse liver disease | ||
| Staging and evaluation of already known oncologic disease | Used in the characterization of indeterminate liver lesions seen on CT | Technique of choice, both for baseline imaging and also for follow-up | Used complementary to CT for the characterization of indeterminate lesions, particularly focal liver lesions | |
| Evaluation of suspected congenital abnormalities | First-line imaging technique, both ante-and postnatal | Used in the characterization of complex urinary tract malformations | Better characterization of abnormalities, incompletely evaluated by US. Can be used both ante-and postnatally | |
| Pre- and post-transplantation evaluation | Can be used in the follow-up of transplanted patients in order to avoid excessive irradiation | Improves US sensitivity in depicting vascular complications in the transplanted patient | Technique of choice due to its better suitability in assessing vascular structures | |
| Guiding of interventional procedures | Technique of choice | Can be used to improve US-guided procedures (e.g. avoid the punction of the necrotized area in necrotic tumors) | Second-line technique in cases when UScannotguide the procedure (lesion not identifiable by US, or vascular/digestive interpositions) | |
| Evaluation of peritoneal and retroperitoneal fluid | First-line imaging technique, both ante-and postnatal | Used in the characterization of complex urinary tract malformations | Better characterization of abnormalities, incompletely evaluated by US. Can be used both ante-and postnatally | |
| Postoperative complications | First-line imaging technique | Can be used for better characterization of abnormalities, such as collections or free fluid, discovered by ultrasound, for characterization of inconclusive US findings or in cases of discrepancy between US and the clinical status of the patient | ||
| Follow-up of liver cirrhosis and characterization of liver nodules in the cirrhotic liver | First-line imaging technique, used for the detection of liver nodules on the cirrhotic liver | Characterization of liver nodules discovered by routine US | Characterization of liver nodules discovered by routine US | Characterization of liver nodules discovered by routine US |
| Evaluation of abdominal vessels | Can be used in the follow-up of ectatic abdominal aorta to avoid overirradiation | Technique of choice for the initial characterization and follow-up of abdominal aortic aneurysms | ||
| Characterization of incidentally discovered focal liver lesions | In experienced centers, it can represent the first-line imaging technique for characterization of focal liver lesions | Substitute to MRI in cases when MRI is not available or not feasible | Technique of choice in cases of inconclusive CEUS findings | |
| Liver infections | First-line imaging technique for the detection of liver abscess or hydatid cyst | It can be used, as a second-line imaging technique for the differentiation between infectious lesions and other focal liver lesions | It can be used, as a second-line imaging technique for the differentiation between infectious lesions and other focal liver lesions | It can be used, as a second-line imaging technique for the differentiation between infectious lesions and other focal liver lesions |
| Evaluation of pancreatic tumors | Endoscopic US can be used complementary to CT as a second-line technique to evaluate inconclusive CT findings | Technique of choice for staging pancreatic tumors | It can be used to clarify inconclusive CT findings, particularly in the case of cystic pancreatic tumors | |
| Inflammatory bowel disease | US and MRI have complementary roles in the initial evaluation and in the subsequent follow-up of patients with inflammatory bowel disease | CTcan be used as a substitute for MRI due to its better spatial resolution; its usage should be limited to cases when MRI is not available or not feasible due to the fact that patients with IBD are in most cases adolescents or young adults and it is recommended to avoid irradiation in those patients | US and MRI have complementary roles in the initial evaluation and in the subsequent follow-up of patients with inflammatory bowel disease | |
| Local staging of rectal tumors | Endoscopic US can be used complementary to MRI for the characterization of rectal wall invasion (differentiation between T1/T2/T3a tumors) | Technique of choice for local staging of rectal cancer; evaluation for distant metastases is done by CT as for every abdominal or pelvic malignancy | ||
| Perianal fistulas | Technique of choice for the evaluation of perianal fistulas |
Indications for abdominal ultrasound [AIUM Practice Parameter for the Performance of an Ultrasound Examination of the Abdomen and/or Retroperitoneum_ http://www_aium_org/resources/guidelines/abdominal_pdf]
| Abdominal, flank, and/or back pain |
| Signs or symptoms that may be referred from the abdominal and/or retroperitoneal regions, such as jaundice or hematuria |
| Palpable abnormalities, such as an abdominal mass or organomegaly |
| Abnormal laboratory values or abnormal findings on other imaging examinations suggestive of abdominal and/or retroperitoneal pathology |
| Follow-up of known or suspected abnormalities in the abdomen and/or retroperitoneum |
| Evaluation of cirrhosis, portal hypertension, and transjugular intrahepatic portosystemic shunt (TIPS) stents; screening for hepatoma; and evaluation of the liver in conjunction with liver elastography |
| Abdominal trauma |
| Search for metastatic disease or an occult primary neoplasm |
| Evaluation of urinary tract infection and hydronephrosis |
| Evaluation of uncontrolled hypertension and suspected renal artery stenosis |
| Search for the presence of free or loculated peritoneal and/or retroperitoneal fluid |
| Evaluation of suspected congenital abnormalities |
| Evaluation of suspected hypertrophic pyloric stenosis, intussusception, necrotizing enterocolitis, or any other bowel abnormalities |
| Pretransplantation and posttransplantation evaluation |
| Planning for and guiding an invasive procedure |