Total anomalous pulmonary venous drainage (TAPVD) is a cyanotic heart defect. TAPVD accounts for around 1.5% of all congenital heart defects(1) (1:10 000 live births(2)). Depending on morphological variants of the pulmonary venous drainage to the heart, four types of the defect may be distinguished: supracardiac (the most common, around 45% of reported cases(1,3)), intracardiac, infracardiac and mixed.
Cyanosis, which accompanies TAPVD, depends on the effectiveness of the collateral circulation, the diameter of the pulmonary veins and the vertical vein, as well as the size of the coexistent atrial septal defect (ASD) (the only way by which oxygenated blood can reach the left atrium). Signs and symptoms typically exacerbate during physical exercise.
About 80% of patients with TAPVD die within the first year of life(1,4,5) if untreated, although the literature mentions oligosymptomatic cases with long-term survival(1,4,6). Common symptoms of TAPVD include shortness of breath, cyanosis, fatigue, somnolence and no weight gain. An open-heart surgery should be performed immediately after the diagnosis in the neonatal period(5).
A 5.5-month-old girl was admitted to the Department of Cardiac and General Pediatric Surgery, Medical University of Warsaw for the treatment of a congenital heart defect. The patient was born at 41 weeks of non-pathological pregnancy with a birth weight of 3650 grams and an Apgar score of 10. The main symptoms included dyspnea at rest, tachypnea, fatigue, sweating while feeding, reduced food intake, low body weight (below the 3rd percentile), and acrocyanosis on exertion.
Physical examination revealed a barrel-shaped chest, the activity of additional respiratory muscles without any pathological sounds over the heart or both lung areas. Plain chest radiography showed heart hypertrophy (cardiothoracic ratio: 0.65) with accompanying pulmonary overflow.
A supracardiac type of total anomalous pulmonary venous drainage (TAPVD) through a 12-millimeter-wide vertical vein with significantly dilated brachiocephalic vein and even more enlarged superior vena cava was diagnosed based on echocardiography (Fig. 1, Fig. 2, Fig. 3, Fig. 4, Fig. 5), and confirmed using CT angiography (Fig. 6, Fig. 7, Fig. 8). A 10 mm secundum atrial septal defect permitted a relatively unrestricted right-to-left atrial flow, and thus the survival of the patient. The right atrium and right ventricle were also enlarged. Echocardiographic signs of pulmonary hypertension were present. The marked dilatation of the SVC and unusual, turbulent flow pattern within this vessel, which was detected on ECHO, suggested that the right upper pulmonary vein drained separately to the SVC. This suspicion was not confirmed by either CT angiography or direct surgical inspection.

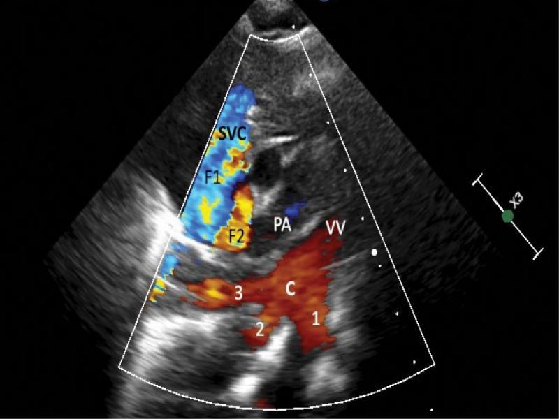
Echocardiographic view of upper mediastinum in the frontal plane. Presentation of flow with color Doppler. Diastole. The confluence of the pulmonary veins with two right and one (inferior) left pulmonary veins is visible (1, 2, 3). Also visible are: the connection of the confluence (C) with the left-sided vertical vein (VV), the part of the main pulmonary artery (PA), right pulmonary artery, transverse section of the ascending aorta and superior vena cava, dilated out of proportion regarding the flow it carries. The flow in pulmonary veins and in the confluence is directed upward, therefore is coded red. There is no flow in the arteries (diastolic phase). The flow in the superior vena cava would be expected to be directed exclusively downward and therefore shown in blue (F1); instead, the intensive, continuous red (directing upward) stream of flow (F2) is present close to the left wall of the SVC. This picture strongly suggests a connection of an additional vessel – most likely the right upper pulmonary vein – with the SVC

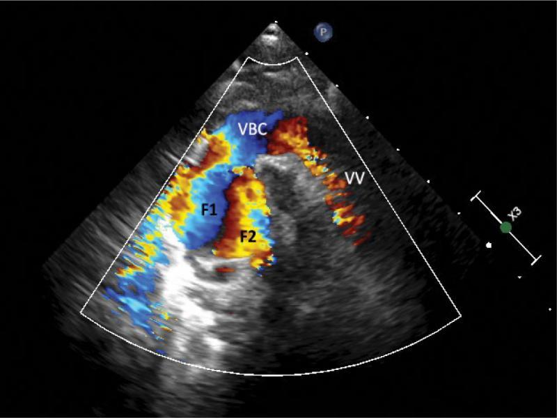
Slight anterior tilt of the probe revealed a wide, left-sided vertical vein (VV) – a connection of the pulmonary confluence and systemic veins. The SVC seems wider in this view compared to the former figure, also the upwardly directed flow appears clearer (F2)

The measurement of the velocity of this flow with spectral Doppler revealed the spectrum typical for the flow in the pulmonary vein in the case of large left to right shunt (high velocity, turbulent), again – upward, directed oppositely than anticipated normal flow in the SVC

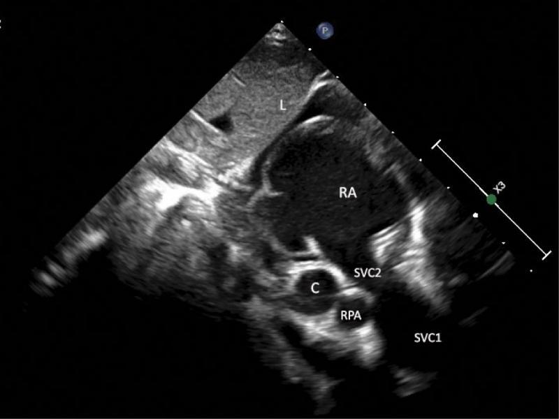
Subcostal sagittal view showing the entrance of the SVC (SVC2) to the right atrium (RA) and the interatrial septum. The diameter of the proximal part of the SVC seems normal; however, its more distal part is markedly dilated (SVC1). The valve of the foramen ovale is shifted toward the left atrium. Also visible are: transverse section of the right pulmonary artery (RPA) and the pulmonary veins’ confluence (C). The layer of the fluid in the pericardial space is suggestive of heart failure

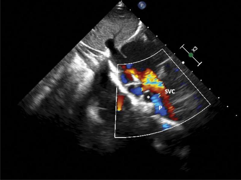
The same view as in Fig. 4, flow coded with color. Two streams of flow are visible within the SVC: typical inflow from SVC to the RA, coded in red, and, appearing at the level of SVC/RPA crossing, directed oppositely – coded in blue. Both the direction and possible site of connection suggest an additional pulmonary vein joining the SVC

Angio-tomography 3-D reconstruction. The heart seen from the posterior perspective after removal of the vertebral column and posterior parts of the ribs. C: pulmonary vein confluence; PVs – pulmonary veins; 1 left lower, 2 – right lower, 3 – right upper. VV – vertical vein, VBC – left brachiocephalic vein, SVC – superior vena cava, * ostium of the azygos vein; RPA – right pulmonary artery. All vascular structures are clearly delineated on this picture. The only vein joining the superior caval vein has typical features of an azygos vein: runs in sagittal plane, does not receive any veins from the lungs

The heart seen from the right side, 3D angio-CT reconstruction. From this perspective, the unusual dilatation of the distal SVC as well as the left brachiocephalic vein (VBC) with relatively narrow proximal part of SVC is more apparent

A corresponding 2D CT-angiographic view. The marked disproportion between the proximal and medial and distal part of the SVC is apparent. The prominent venous channel joining the SVC just above the crossing with RPA has typical features of azygos vein (*); runs in sagittal plane, emerges from the paravertebral space, does not receive any veins from the lungs
The patient was qualified for an urgent surgery. The correction was performed using cardiopulmonary bypass with deep hypothermia and circulatory arrest. The vertical vein was tied down and the confluence of pulmonary veins was anastomosed with the left atrium. The atrial septal defect was closed with a pericardial patch. The postoperative period was uneventful, and the patient was discharged 12 days after the surgery.
A follow-up echocardiography 3 weeks after the operation revealed proper cardiac contractility, adequate size of heart cavities, no constriction of the connection between the pulmonary venous drainage to the left atrium, and no signs of pulmonary hypertension.
Two months after the operation, the patient gained 1220 grams and reached the 3rd percentile.
TAPVC is one of the most dangerous and most insidious congenital heart diseases. Prenatal detection, even by an experienced ultrasonographer, poses difficulty. The gross anatomy of the heart is not obviously altered by TAPVD as the pulmonary veins join their confluence in the direct neighborhood of the left atrium, which may create an appearance of normal veno-atrial connection. During fetal life, the pulmonary flow is markedly reduced compared to the systemic one; therefore, the flow through an abnormal venous channel may be difficult to detect – e.g. left vertical vein which connects the confluence with the left brachiocephalic vein (LVBC). The abnormality becomes obvious only after birth, but even then echocardiographic examination requires a high level of diligence in paying attention to the direction of flow through the foramen ovale, the pattern of the connection between pulmonary veins and the left atrium (LA) and the presence of abnormal venous channels. Severe pulmonary hypertension and right/left ventricular size disproportion (markedly enlarged, volume and pressure-overloaded right ventricle (RV) and small, compressed, underfilled left ventricle (LV) are the most typical yet nonspecific features of TAPVD. In order to assess some important anatomical details, CT angiography or cardiac nuclear magnetic resonance (NMR) may be useful.
The clinical presentation depends mainly on the size of the path between the pulmonary veins and the left ventricle: to reach the LV and aorta, the oxygenated pulmonary venous blood must take the long path through the venous confluence, systemic veins, right atrium and finally the interatrial septum. Any segment of this long tract may become obstructed or narrowed, causing pulmonary edema and low LV output leading to shock and death(7). In the case of wide, nonrestrictive connection, the initial symptoms are mild if any, and the heart defect may go undiagnosed for many weeks, like in the presented case, or even, very rarely, for years. The site and degree of these obstructions can and should be defined by imaging techniques.
As has been mentioned, there are four main types of TAPVD, however many variants may be found among them. In the presented case, the echocardiographer’s attention was caught by an atypical dilatation of the superior vena cava and an atypical flow pattern inside this vessel. The direction of flow in the superior vena cava is always toward the heart, so the detection of two concurrent, vigorous streams of blood within the SVC had to raise a suspicion of connection with an atypical vein. Two explanations were most likely: first – an abnormal connection of the right pulmonary vein, second – interruption of inferior vena cava with its continuation through an azygos vein. The normal connection of the inferior vena cava with the right atrium was easily confirmed by a routine echocardiographic examination, so the latter possibility was excluded. Of course, one should expect that a normal azygos vein could typically join SVC, but this vessel does not carry a lot of blood, and this amount cannot create a vigorous, turbulent flow in the high-pressure SVC through which the complete pulmonary venous return additionally flows. On the other hand, the echo confirmed the typical drainage of two right pulmonary veins to the confluence, which questioned the presence of an additional pulmonary vein abnormally joining the SVC. It is possible, however, that the vein of the upper lobe may drain separately to the SVC while other pulmonary veins normally enter the left atrium.
As the abnormal flow within the SVC appeared to be large and vigorous, it seemed important to precisely assess venous morphology to exclude the presence of a large uncorrected shunt. CT angiography revealed no abnormal vein joining the SVC – the only vessel entering SVC was the azygos vein (the course of the vein parallel to the vertebral column, the arch of the vein in the sagittal plane). Since its most proximal part was filled with contrast entering from the large SVC, it was possible to follow the course of this vessel. The fact that a quite reasonable length of the azygos vein was filled with contrast coming from the SVC was a proof that the pressure difference between these two veins was low. Thus, it was unlikely that the inflow from the azygos vein would create fast, turbulent and continuous flow inside the SVC. The shape of the vein visible on the CT scan suggested that the flow stream would merge with the main flow in SVC having similar direction, so both flows should be depicted with color Doppler in the same color. Finally, the abnormal flow pattern in the SVC was interpreted as the effect of an aneurysmal dilatation of the distal SVC carrying a markedly increased amount of blood, and a relative narrowing of the proximal part of the vein. On the other hand, although the diameter of the proximal part of SVC was within normal limits, the clear disproportion between SVC segments could pose excessive resistance to the pulmonary inflow to the heart and create significant stenosis responsible for rapid clinical deterioration observed in this patient. After surgery, the redirection of pulmonary return into the left atrium decreased the volume of blood passing through the SVC and caused normalization of flow conditions within the vessel.
-
1.
TAPVD is a cyanotic congenital heart defect with a high mortality rate if not diagnosed properly and treated surgically in the earliest period of patient’s life. The presence of an obstacle in the flow throughout the entire path from pulmonary veins to the left ventricle in an essential factor contributing to the severity of the clinical course. The morphology of this path as well as all other anatomical details must be precisely assessed using the available imaging modalities to enable a complete surgical correction.
-
2.
Due to the insidious nature of the disease and nonspecific clinical presentation, it is necessary to take TAPVD as well as other congenital heart defects under consideration in the case of patients presenting with any unexplained symptoms like cyanosis, dyspnea, fatigue, drowsiness, diaphoresis, reduction of food intake, poor weight gain or weight reduction.