Have a personal or library account? Click to login
Anomalous retroaortic paravertebral course of the left innominate vein in a child with atrial septal defect Cover

Anomalous retroaortic paravertebral course of the left innominate vein in a child with atrial septal defect

Open Access
|Apr 2019

Figures & Tables

Fig. 1.

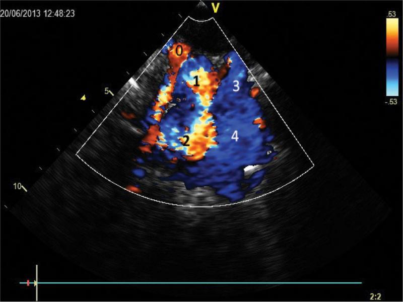
Cross-section showing the upper mediastinum in an inclined plane close to the plane where the aortic arch passes. Visible distal transverse portion of the arch (1) and the initial segment of the descending aorta (2). Systole. The scale of representation of flow velocities with color is adjusted to the visualization of relatively low velocities (max. 53 cm/s, so the aorta is filled with mosaic color dominated by blue (downward flow). A wide vessel (3) runs laterally to the left and posteriorly from the aorta, with a continuous downward flow much at a velocity considerably lower than in the aorta. The inferior segment of the vessel (4) crosses the thoracic aorta posteriorly; the further course of the vessel cannot be traced. Multiple color artefacts caused by proximity to the vessels of aerated lung tissue (0)
Cross-section showing the upper mediastinum in an inclined plane close to the plane where the aortic arch passes. Visible distal transverse portion of the arch (1) and the initial segment of the descending aorta (2). Systole. The scale of representation of flow velocities with color is adjusted to the visualization of relatively low velocities (max. 53 cm/s, so the aorta is filled with mosaic color dominated by blue (downward flow). A wide vessel (3) runs laterally to the left and posteriorly from the aorta, with a continuous downward flow much at a velocity considerably lower than in the aorta. The inferior segment of the vessel (4) crosses the thoracic aorta posteriorly; the further course of the vessel cannot be traced. Multiple color artefacts caused by proximity to the vessels of aerated lung tissue (0)

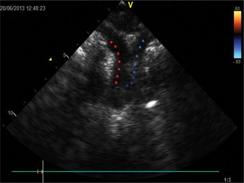
Fig. 2.

Image presented in Fig. after color removal. Without color, the vein which passes retroaortically (red dotted line) is far less clearly visualized, but its lumen can still be identified (blue dotted line)
Image presented in Fig. after color removal. Without color, the vein which passes retroaortically (red dotted line) is far less clearly visualized, but its lumen can still be identified (blue dotted line)

Fig. 3.

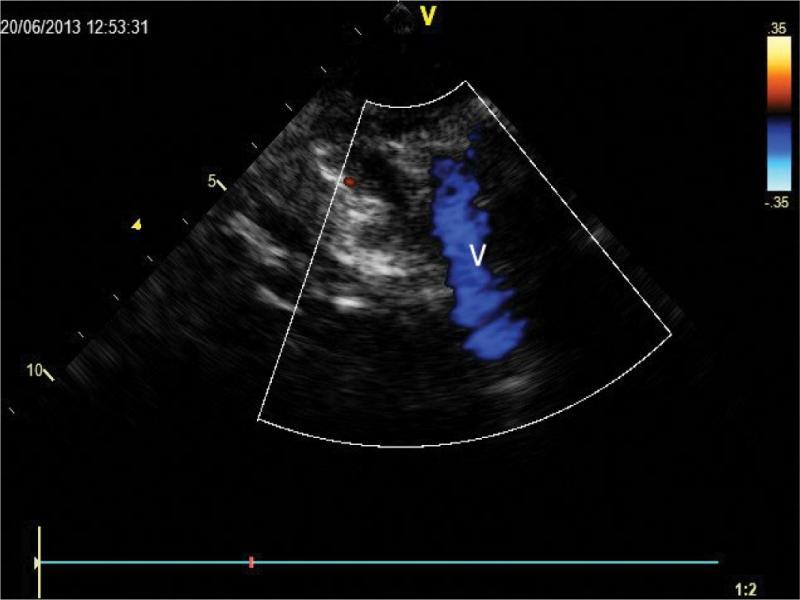
Corresponding view during diastole, with flow noted only in the venous vessel (V) adjacent to the aorta
Corresponding view during diastole, with flow noted only in the venous vessel (V) adjacent to the aorta

Fig. 4.

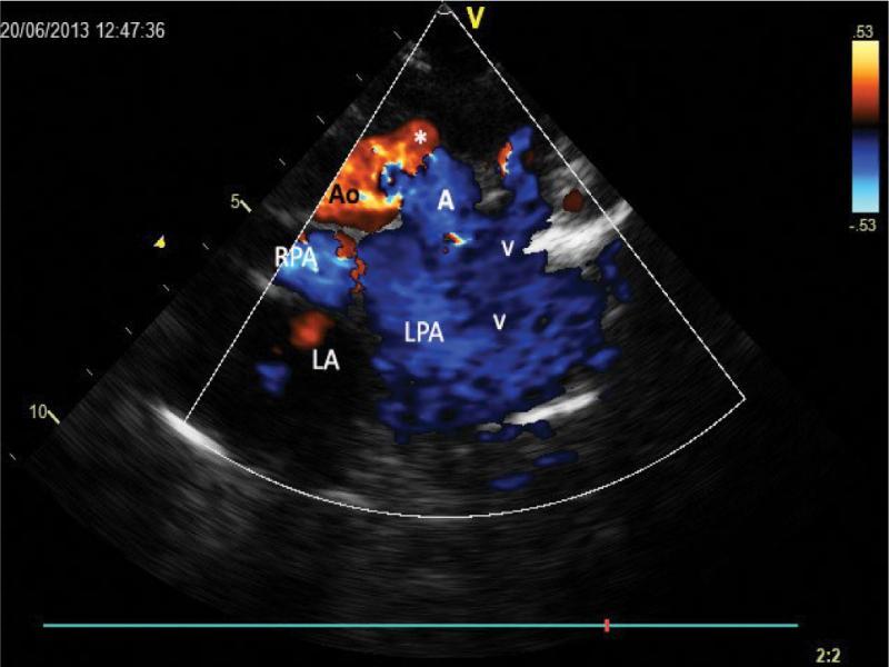
Cross-section in a plane close to frontal (with slight head rotation). Visible proximal part of the aortic arch (Ao) and its transverse section; a vertically running vein (V) crosses posteriorly the left pulmonary artery (LPA) and the descending aorta. Multiple respiratory artefacts obscuring the view of vascular flow. LA – left atrium, RPA – right pulmonary artery
Cross-section in a plane close to frontal (with slight head rotation). Visible proximal part of the aortic arch (Ao) and its transverse section; a vertically running vein (V) crosses posteriorly the left pulmonary artery (LPA) and the descending aorta. Multiple respiratory artefacts obscuring the view of vascular flow. LA – left atrium, RPA – right pulmonary artery

Fig. 5.

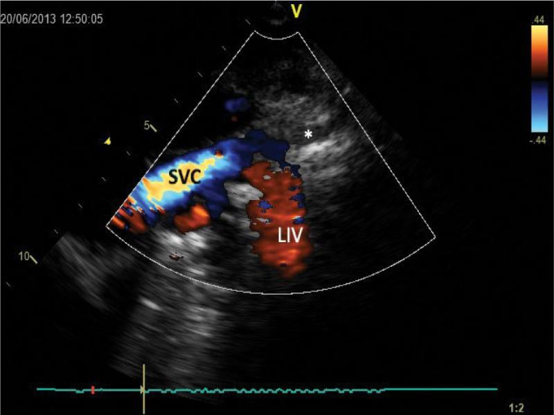
High parasternal view (right) visualizing mediastinal structures in the sagittal plane. Superior vena cava (SVC) with a wide venous vessel (LIV) draining into it slightly above the junction with the right pulmonary artery. It is the typical drainage site of the azygos vein, though in normal conditions it is markedly less intensely color-filled. Another important observation is a significant increase in flow rate in the proximal segment of the superior vena cava. (*) right brachiocephalic vein
High parasternal view (right) visualizing mediastinal structures in the sagittal plane. Superior vena cava (SVC) with a wide venous vessel (LIV) draining into it slightly above the junction with the right pulmonary artery. It is the typical drainage site of the azygos vein, though in normal conditions it is markedly less intensely color-filled. Another important observation is a significant increase in flow rate in the proximal segment of the superior vena cava. (*) right brachiocephalic vein

Fig. 6.

3D angiotomography reconstruction – posterior view, with removed bone elements of the posterior chest wall: vertebral column and ribs. In the foreground, a wide flattened venous vessel (V) located posteriorly from the descending aorta (Ao) is visualized. The vein is a continuation of the atypically running left brachiocephalic vein. Very clear deformation by adjacent thoracic vertebral bodies is seen; at this level, a relatively wide venous channel, probably the azygos vein, drains into the vessel from the bottom. Anomalous left innominate vein (V) joins the right brachiocephalic vein (RVBC) slightly above the junction with the right pulmonary artery (RPA). Normal drainage of pulmonary veins into the left atrium is clearly visualized. IVC – inferior vena cava
3D angiotomography reconstruction – posterior view, with removed bone elements of the posterior chest wall: vertebral column and ribs. In the foreground, a wide flattened venous vessel (V) located posteriorly from the descending aorta (Ao) is visualized. The vein is a continuation of the atypically running left brachiocephalic vein. Very clear deformation by adjacent thoracic vertebral bodies is seen; at this level, a relatively wide venous channel, probably the azygos vein, drains into the vessel from the bottom. Anomalous left innominate vein (V) joins the right brachiocephalic vein (RVBC) slightly above the junction with the right pulmonary artery (RPA). Normal drainage of pulmonary veins into the left atrium is clearly visualized. IVC – inferior vena cava

Fig. 7.

CTA – anterior and top view. Preserved features of vertebral bodies with a wide venous channel extending tightly on the spine (*)
CTA – anterior and top view. Preserved features of vertebral bodies with a wide venous channel extending tightly on the spine (*)
DOI: https://doi.org/10.15557/jou.2019.0011 | Journal eISSN: 2451-070X | Journal ISSN: 2084-8404
Language: English
Page range: 71 - 74
Submitted on: Nov 4, 2018
Accepted on: Jan 22, 2019
Published on: Apr 30, 2019
Published by: MEDICAL COMMUNICATIONS Sp. z o.o.
In partnership with: Paradigm Publishing Services
Publication frequency: 4 issues per year

© 2019 Wojciech Mądry, Maciej A. Karolczak, Krzysztof Grabowski, published by MEDICAL COMMUNICATIONS Sp. z o.o.
This work is licensed under the Creative Commons Attribution 4.0 License.