Isolated left subclavian artery (iLSA) coexisting with right aortic arch is a rarely described vascular anomaly. It is a consequence of impaired aortic arch formation, when the arterial duct connects the left subclavian artery with the pulmonary trunk (Fig. 1). Other congenital defects that coexist with iLSA (60% of cases) and are usually found in the right side of the heart include tetralogy of Fallot (ToF)(1–6), double outlet right ventricle (DORV)(7), tricuspid atresia(1), proximal stenosis of left pulmonary artery(8), and pulmonary sling(9). The presence of iLSA was also reported in simple defects, such as ventricular septal defect(10), and complete atrial septal defect (Department’s own data). We present a case of iLSA coexisting with tetralogy of Fallot, with a focus on important elements of non-invasive preoperative diagnosis.

Preoperative CT angiography. Ao – ascending aorta, PA – pulmonary trunk, LPA – left pulmonary artery, RAo – right aortic arch, DA – ductus arteriosus, LCCA – left common carotid artery, LVA – left vertebral artery
A 6-month-old girl (second pregnancy, second delivery, birth weight 2,630 g) with DiGeorge syndrome and a congenital heart defect in the form of tetralogy of Fallot was admitted to the Department of Cardiac Surgery for surgical correction.
Echocardiographic diagnosis revealed situs solitus, compatible venoatrial and atrioventricular junctions; aortic dextroposition (40–50%) over a large (approx. 12 mm) perimembranous ventricular septal defect (VSD). There was a bidirectional ventricular septal defect shunt, with left-to-right predominance. Right-sided aortic arch. Due to difficult anatomical conditions, no conclusion was made regarding the morphology of arterial branches of the arch (Fig. 2, Fig. 3, Fig. 4. Fig. 5, Fig. 6, Fig. 7 and Fig. 8). Figure 2, Fig. 3, Fig. 4 and Fig. 5 show a series of upper mediastinal vessel sections in a plane similar to transverse plane – horizontal.

Formation of left-sided aortic arch. RaoG – right dorsal aorta, LAoG – left dorsal aorta, LSA – left subclavian artery (the arrow indicates the direction of its migration), LCA – left carotid artery, III and IV – pharyngeal (aortic) arch arteries, DA – ductus arteriosus, AoS – aortic sac, PA – pulmonary trunk (author’s own scheme – M.A.K)

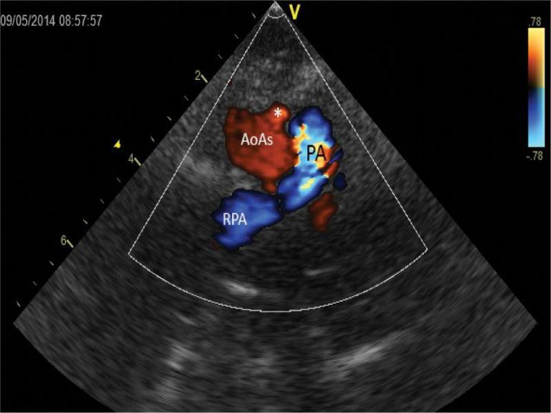
Systole. A round cross-section of the ascending aorta (AoAs) filled with red, and the pulmonary trunk (PA) and the right pulmonary artery (RPA) – blue color. A bulge corresponding to the origin of the left common carotid artery (*) is present in the anterior left contour of the ascending aorta (*)

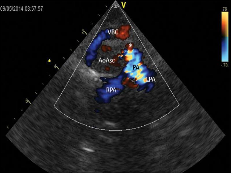
A slightly higher cross-section, diastole. The ascending aorta (AoAsc) is not filled with color. Despite the diastolic phase, the pulmonary trunk (PA) and its two branches (RPA and LPA) are filled with intensive blue color – with distinct turbulence. A bulge corresponding to the outlet of the ductus arteriosus (*) is seen in the anterior contour of the pulmonary trunk (PA). The left common carotid artery is not visible during this phase. VBC – the brachiocephalic vein

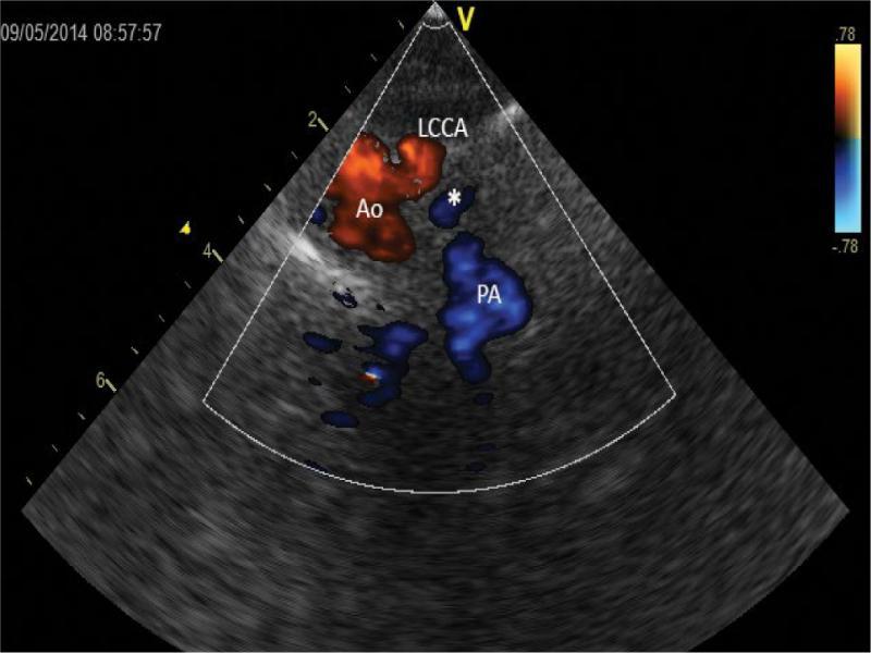
A further shift of ultrasonic beam upwards, systole. Cross-sections of the ascending aorta (Ao) and the left common carotid artery (LCCA), which runs separately at the same level – both vessels are coded in red – as well as the ductus arteriosus (*) and the pulmonary trunk (PA) – these vessels are filled with blue color, indicative of a flow in the opposite direction

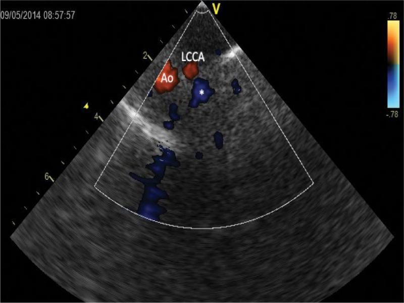
Even a higher position of the plane of the beam, systole. Cross-sections of the apical portion of the aortic arch (Ao) and the left common carotid artery (LCCA) filled with red color and the ductus arteriosus (*) filled with blue color. A very close proximity of these vessels is noticeable

Systole. The ascending aorta (Ao) branching into the left common carotid artery (LCCA) is shown; both vessels are filled with red color and the initial segment of the aortic arch (AAo – blue color)

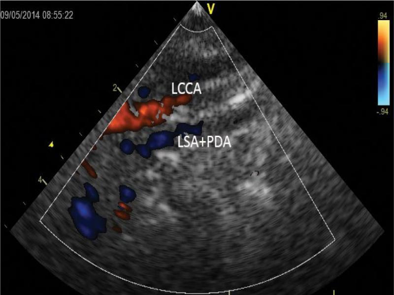
Systole. Further shift of the ultrasound beam to the left side – two close parallel vessels with opposite directions of flow: the left common carotid artery (LCCA) coded in red and the left subclavian artery with ductus arteriosus coded in blue (LSA + PDA)
Subsequent images were recorded by gradually moving the ultrasound beam bottom-to-top. Figure 6, Fig. 7 and Fig. 8 show a series of upper mediastinal vessel sections in a plane similar to sagittal plane. Subsequent images were acquired by moving the ultrasound beam from the median plane toward the left side of the patient). The pulmonary trunk originated from a hypoplastic, relatively short outflow tract. The diameter of the ostium of the outflow tract was about 4 mm (stenosis due to hypertrophied septomural trabeculae and displacement of the infundibular septum) in the midportion – about 8 mm. A tortuous patent ductus arteriosus with increased flow was detected, most probably originating from the left subclavian artery or left brachiocephalic trunk. The examination was hampered by very poor echogenicity of this region due to the absence of thymus.
The diagnosis was extended by CT angiography (Fig. 9) – the presence of isolated left subclavian artery giving rise to a tortuous patent ductus arteriosus extending vertically (from the anterior aspect) to the pulmonary trunk was confirmed. It was shown that the major portion of left vertebral flow is directed to the ductus arteriosus and pulmonary circulation. We assumed that closure of the ductus arteriosus will reduce steal from the left vertebral artery, which supplies both the ductus and the normal left subclavian artery; therefore, it will not increase cerebral circulation disorders or reduce blood supply in the left upper extremity(10,11).

During diastole, the left subclavian artery/ductus arteriosus (PDA+LSA) are more intensely filled, whereas the red color coding for blood flow in the left common carotid artery disappears. Poorly filled with blue color brachiocephalic vein (BCV) is most superficially seen
We attempted to experimentally clamp the posterior descending artery (PDA) during echocardiography-guided cardiac correction and found no deficit in blood supply in the left upper limb. PDA was ligated and divided. A total correction of tetralogy of Fallot was performed. The post-operative period was uneventful. Postoperative ultrasonography still showed reversed flow in the left vertebral artery (LVA), representing the only supply of the left subclavian artery (LSA) (Fig. 10 and Fig. 11 show altered flow in the left common carotid artery and left vertebral artery after defect correction and ductus arteriosus closure). The flow in both arteries was systolic and high-resistance, which confirmed the decreased volume of cerebral steal. It may be therefore concluded that the closure of ductus arteriosus reduced the risk of cerebral perfusion deficit, with maintained blood supply to the left upper extremity.

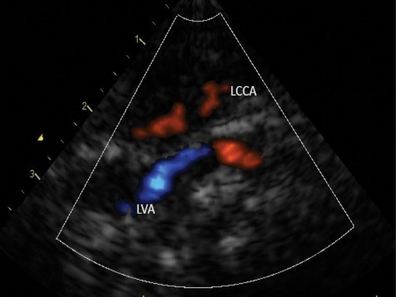
Postoperative assessment. Visible carotid segments of LCCA and LVA. Systole. The direction of the flow in the left vertebral artery is opposite to the flow in the left common carotid artery

Recorded flow in the left vertebral artery using pulse Doppler. Systolic flow. Closure of the ductus arteriosus undoubtedly reduced cerebral steal with maintained perfusion in the left upper extremity
The development of the final form of a single aortic arch and its main branches is a complex process of transition from a symmetrical structure of pharyngeal arch arteries (III and IV) and two dorsal aortas to a single left- or right-sided arch (Fig. 3). This transition involves both involution of one of dorsal aortas, incorporation of fourth pharyngeal arch artery in the aortic arch, as well as cranial migration of the seventh intersegmental artery, from which the subclavian artery will eventually form(12). It seems that some significant genetic disorders, such as 22q11.2 microdeletion, may promote intracardiac defects of the outflow tract (ToF), as well as impair normal aortic arch formation(9). The presence of DiGeorge syndrome in our patient was also important(3).
Therefore, we assumed that isolated left subclavian artery (iLSA) results from the lack of involvement of the fourth left pharyngeal arch artery in the formation of aortic arch segment between the left common carotid artery and the left subclavian artery, with a simultaneous involution of the left dorsal aorta distally from LSA origin from the arch. Consequently, a right-sided aortic arch is formed, and the remainder of the fourth pharyngeal arch artery, i.e. ductus arteriosus, becomes the only source of supply for LSA. Reduced pressure in the pulmonary artery after birth or obstructed right ventricular outflow, which is observed in e.g. tetralogy of Fallot, increases the symptoms of basilar-vertebral steal. The described iLSA is a very rare defect, found in only 0.8% of right-sided aortic arch cases(9).
Patients with right-sided aortic arch usually present with one of the following two types of arterial distribution:
-
1.
The branches are almost a mirror image of the left-sided arch – the left brachiocephalic trunk (divided into the left subclavian artery and the left common carotid artery), followed by the right common carotid artery and the right subclavian artery. The first branching (the left brachiocephalic trunk) is clearly wider than the others and divides into two vessels (common carotid artery and subclavian artery), which is easily visualized on ultrasound. This configuration is often observed in patients with tetralogy of Fallot.
-
2.
An aberrant left subclavian artery (ALSA), which is the last to arise from the arch, runs from the right half of the chest to the left half of the posterior mediastinum, posteriorly crossing the esophagus and the trachea, is present. The diameter of the first branch of the arch (the left common carotid artery) is similar to that of other branches, and the subclavian artery runs at a significant distance; therefore, its simultaneous visualization with the carotid artery poses difficulty.
In the discussed case, the image of aortic arch branches deviated from typical systems described above. The first branch, i.e. the left common carotid artery, was relatively narrow, corresponding to an image typical of ALSA, but a long artery, which could be easily considered as a continuation of the brachiocephalic trunk – the left subclavian artery, was present in its immediate vicinity. However, despite a very close proximity of both vessels, their continuity was not shown. Furthermore, Doppler ultrasound revealed an opposite direction of flow in each of the evaluated arteries: systolic upward (cranial) flow in the common carotid artery, and full-cardiac-cycle caudal flow in the other vessel. A more detailed evaluation showed a vessel linking the LSA with the pulmonary trunk. The nature and direction of flow suggested that the vessel was a ductus arteriosus. Due to very difficult imaging conditions in the mediastinum as a result of absent thymus (DiGeorge syndrome) and the growing anxiety of the child (intracardiac anatomical anomalies associated with tetralogy of Fallot were assessed in the initial phase of diagnostic imaging), we did not obtain the image of the peripheral segment of this vessel, particularly its junction with systemic arteries; therefore, a decision was made to extend the diagnosis with 3-dimensional CT angiography, which resolved the doubts.
The above reasoning allows for a thesis that echocardiography may be an important diagnostic tool to help make a correct diagnosis. The presence of tetralogy of Fallot with a right-sided aorta should prompt the diagnostician to analyze the direction and the nature of flow in the left subclavian artery. Medical history and clinical examination indicative of reduced pulse in the left radial artery, headache, and impaired vision (due to the steal syndrome) help make a correct diagnosis(10,11). It should be emphasized that the topographic proximity between LCCA and LSA (Fig. 2) accounts for the difficulties in ultrasonographic detection of vascular anomaly and relying mainly on CT findings.