Transthoracic echocardiography is the primary noninvasive modality for anatomical and functional cardiac assessment(1–9). Owing to its dynamic development, echocardiography boasts spatial resolution similar to that of magnetic resonance imaging, and, at the same time, it is superior over other imaging techniques in terms of three-dimensional imaging and functional assessment based on acoustic marker tracking.
Echocardiography uses the piezoelectric properties of crystals, whose synthetic elements contained in the ultrasound probe emit specific sequences of an ultrasonic waves in response to electrical stimulation.
Most of the emitted ultrasound wave is either dispersed or absorbed, and only a small part is reflected, mainly at the border of tissues differing in their structure (e.g. blood/muscle), thus creating an image based on the signal reflected by mobile heart structures. The lowest echogenicity, i.e. the ability to reflect an ultrasonic wave, is observed for blood, while the highest for air. The reflected wave produces an inverse piezoelectric effect in the crystal, which vibrates, generating an electrical voltage. The size of the electrical pulse determines speckle (acoustic marker) parameters on the display screen. The position of a speckle (acoustic marker) on the screen depends on the time difference between ultrasound wave transmission and return. Ultrasonic wave frequencies used in echocardiography range between 2 and 5 MHz. The higher the frequency, the better the image resolution, but the lower the penetration.
One-dimensional (M-mode) imaging is based on the analysis of an ultrasound wave along a single line, which ensures higher sensitivity in recording moving heart structures compared to a two-dimensional view. The returning ultrasound wave is displayed in the form of a diagram showing changes in the positions of examined structures over time, which allows for both a precise analysis of the duration of these changes and measurement of cardiac dimensions. The one-dimensional scan line is set under the guidance of a two-dimensional image. The M-mode view may be associated with color Doppler (color M-mode).
In the case of two-dimensional (2D) imaging, after an appropriate time, during which an ultrasound wave reflected by more distal parts of the heart returns in the form of an electrical pulse to the echocardiographic computer, the next wave is sent along another scan line. The waves are transmitted along successive scan lines to form a typical sector.
The two-dimensional imaging has evolved to a three-dimensional imaging, which is performed in real-time based on two-dimensional images emitted in three planes using a matrix probe.
The novel imaging mode, which involves speckle (acoustic marker) tracking, is based on two-dimensional imaging. A simultaneous assessment of the position of the individual speckles (acoustic markers) arranged in close proximity to one another allows for a precise assessment of systolic and diastolic myocardial activity based on such parameters as myocardial velocity and myocardial strain. This view further allows for an assessment of left ventricular rotation at different levels (base vs apex of the heart).
In the Doppler mode, the ultrasound signal is reflected by moving red blood cells (continuous-wave Doppler, CW Doppler; pulsed-wave Doppler, PW Doppler) or myocardium (tissue Doppler imaging, TDI). Doppler is used to assess the direction and velocity of blood flow or myocardium based on frequency changes between the emitted and reflected wave. By convention, blood flowing towards the probe is displayed in the form of Doppler spectrum above the baseline and blood flowing away from the probe is displayed below the baseline.
Continuous wave Doppler (CWD) uses two crystals – one to transmit an ultrasound wave, and the other to receive signals. The intensity of Doppler spectrum depends on the red blood cell volume at a given velocity. As CWD can record the peak flow velocity, it is used to assess the severity of valvular stenosis and regurgitation, currently in combination with the 2-dimensional mode. The inability to accurately locate the site of peak velocity is the major limitation of CWD.
The need to specify the site of disturbed blood flow has led to the development of pulsed wave Doppler (PWD). This mode uses a single crystal which acts both as a transmitter and receiver of ultrasound waves. Combination of pulsed wave imaging with two-dimensional view allows for setting the Doppler gate at the site of disturbed blood flow. PWD is used to assess diastolic heart function, measure the effective valvular orifice area, stroke volume, and intracardiac shunts. This method is also used to measure systolic and diastolic myocardial velocities.
Color Doppler imaging is a combination of two-dimensional imaging and PWD, which allows for the assessment of blood flow and myocardial movement along the scan line, as opposed to PWD alone. This results in the acquisition of a two-dimensional flow image. The velocity and the direction in which the red blood cells and the myocardium move are color coded. By convention, blue indicates flow away from the transducer and red is the flow toward the transducer; the higher the velocity, the brighter the color. When the velocity limit is exceeded, the color is reversed. Laminar blood flow is coded with a uniform color, whereas turbulent blood flow is depicted as a mosaic signal, which helps differentiate between pathological and normal flow. Color Doppler is used to detect abnormal blood flow, as well as for qualitative and quantitative estimation of valvular regurgitation. After appropriate signal processing, color Doppler was used to create advanced tissue Doppler imaging for the assessment of myocardial motion, systolic synchrony, myocardial strain and strain rate.
Depending on the position of the probe relative to the heart, transthoracic and transesophageal echocardiography may be distinguished; in the latter case, cardiac imaging is performed from the esophageal aspect using a miniature ultrasonic transducer mounted on a gastroscope.
Since ultrasonic waves are completely reflected from air, it is possible to evaluate the heart at sites where it is not separated from the chest by the lungs. These sites, known as acoustic windows, are identical to the site of absolute cardiac dullness and the apex beat (parasternal and apical views, respectively). In cases when the lungs separate the heart from the chest, a subrasternal view may be used. The ascending and descending aorta, as well as the aortic arch may be visualized in the suprasternal view.
In para-, sub- and suprasternal projections, the heart is evaluated in two-dimensional long and short axis views.
There are four apical projections: 4-chamber, 2-chamber, long-axis (previously known as three-chamber) and 5-chamber views.
Cardiac stress, such as exercise, pharmacological agents or high-rate pacing (in patients with pacemakers) may be used during echocardiography.
Intravenous echo contrast agent in the form of encapsulated microbubbles may be used in patients with a limited acoustic window to visualize the endocardium (especially during stress test) or other anatomical details, or to improve Doppler signal. Depending on their size and stability, determining their passage through pulmonary circulation, only the right side of the heart (shaken saline) or the entire heart (first and second generation contrast agents) is visualized.
Echocardiography is used for anatomical and functional cardiac assessment.
Anatomical assessment includes all cardiac structures: ventricles, atria, valves, large vessels and the pericardium. When assessing ventricles, their shape, size, mutual relations, wall thickness and additional echoes within ventricular chambers should be considered. Similarly, when examining the atria, their size, shape, and the presence of additional echoes in their chambers should be analyzed.
For arterial valves (aortic and pulmonary valve), the following elements are evaluated: the number and structure of cusps, the presence and severity of calcifications, dilation of the ascending aorta/pulmonary trunk, the presence of subvalvular/supravalvular stenosis and the form of this stenosis, as well as anatomical relationships between valves and major arterial trunks. When assessing atrioventricular valves (mitral and tricuspid), attention should be paid to all components of the valvular apparatus consisting of an annulus, cusps, tendinous cords, papillary muscles and free ventricular walls, from which these muscle arise. The thickness of the cusps, the presence and extent of calcifications (cusps, annulus), the thickness and length of tendinous cords are assessed. In the case of prolapsing cusp(s), torn tendinous cords or detached papillary muscle heads should be searched for.
Anatomical assessment is the basis for classifying valvular regurgitation into three types: I – valvular annulus dilation or cusp perforation, II – prolapsing cusp(s), III – reduced cusp mobility.
When assessing the valves, attention should be paid to the presence of additional cusp echoes (bacterial vegetations, clots, tumors). The use of different projections allows for an assessment of large vessels: the aorta, pulmonary arteries, superior and inferior vena cava, pulmonary veins, coronary sinus and hepatic veins. They are assessed for their width, and the presence of additional echoes within their lumens (clots, tumors, vascular grafts, catheters and electrodes); the thoracic aorta is assessed for wall dissection, periannular or periprosthetic abscesses, and stenotic isthmus.
Echocardiography is a method of choice in patients with suspected pericardial fluid, especially when clinical symptoms may suggest cardiac tamponade.
Functional cardiac assessment includes an analysis of systolic/diastolic ventricular function and valvular function.
Myocardial wall thickening may be assessed using one-dimensional imaging. Tissue Doppler and speckle tracking techniques allow for a precise evaluation of myocardial contraction rate, the size and strain (the rate of changes in its length) of a contracting muscle, as well as the magnitude and rate of its rotation. Two- or three-dimensional views may be used to calculate end-diastolic and endsystolic volumes, and the difference between them, i.e. stroke volume, as well as ejection fraction, which is the ratio of the stroke volume and the end-diastolic volume. Echocardiography is one of the basic tests to diagnose heart failure with systolic dysfunction, which is indicated by ejection fraction <40%. Typically, the ejection fraction is calculated using the Simpson method, i.e. by delineating the endocardial border in apical four-chamber and two-chamber views during both systole and diastole. The stroke volume is calculated based on a two-dimensional image of the left ventricular outflow tract and left ventricular ejection spectrum recorded with spectral Doppler. The two-dimensional heart image acquired in basic projections allows for contractility assessment of the individual segments of the left ventricular wall, as well as for determining the grade of the disorders (hypokinesis, akinesis, dyskinesis).
The early atrioventricular valvular flow wave (E wave), whose velocity can be measured using PWD, correlates with early-diastolic motion (e’ wave) of the tricuspid and mitral annulus, as well as the muscle of both ventricles, which is evaluated using tissue Doppler or speckle tracking technique. A similar assessment may be performed during late diastole of both ventricles, when right and left atrial contraction fills up both ventricles, generating flow A wave and myocardial velocity a’ wave. The ratio of E and A wave velocity (A/E) and myocardial velocity e’ are the primary parameters in the assessment of left ventricular diastolic function. PWD allows for the assessment of additional parameters, such as isovolumetric relaxation time (time interval from aortic valve closure to mitral valve opening), and E-wave deceleration time (time from the maximum E point to baseline). The use of one-dimensional color Doppler (the line of one-dimensional imaging runs through the middle of mitral inflow wave) allows for the assessment of the velocity of early mitral inflow wave propagation into the left ventricle. The ratio of the peak E wave (mitral flow) velocity to the peak e’ wave (myocardial motion) velocity allows for a non-invasive evaluation of left ventricular filling pressure. Mean e’ velocity <9 cm/s and E/A <9 cm/s indicate left ventricular diastolic dysfunction in the form of impaired relaxation. Diastolic dysfunction with increased left ventricular filling pressure is diagnosed when E/e’ ≥13, as also indicated by E/A >2. Echocardiography is the basis for the diagnosis of heart failure without systolic dysfunction. In addition to diastolic Doppler parameters, the thickness of the left ventricular wall and the size of the left atrium are also taken into account.
Pulmonary hypertension generates changes in the image of the right part of the heart, such as increased velocity of the tricuspid regurgitation jet, right ventricular and right atrial enlargement, dilated pulmonary trunk and inferior vena cava, abnormal motion of the ventricular septum, and an abnormal image of pulmonary valve flow. The peak velocity of tricuspid regurgitation jet >2.8 m/s and >3.4 m/s recorded with CWD indicates moderate and high probability of pulmonary hypertension, respectively. Tricuspid annular plane systolic excursion (TAPSE), which is measured by one-dimensional recordings from the two-dimensional apical 4-chamber view of the right ventricle, is the most commonly used parameter reflecting right ventricular systolic function. TAPSE <17 mm is indicative of impaired right ventricular function.
Various methods may be employed to assess the degree of valvular stenosis. The planimetric approach, which is rarely used due to patient non-echogenicity or massive valvular calcifications, is the simplest method. PWD and CWD are used to measure valve area. The area of a stenotic mitral or tricuspid valve may be estimated by dividing 220 (empirical value) by the pressure half-time. The stenotic aortic valve area is estimated using the continuity equation, which is based on an assumption that the volumes of blood entering and flowing through the valve are the same. Additional parameters, such as the peak and mean pressure gradient across the stenotic valve, may be used for the evaluation of valve stenosis. By entering the peak flow velocity (V) calculated using CWD or PWD into a simplified 4V2 formula, the maximum gradient (mm Hg) may be calculated, while a manual demarcation of the Doppler spectral waveform allows for the estimation of the mean gradient, which correlates better with the degree of stenosis than the maximum gradient.
Color Doppler is the basic modality for the assessment of regurgitation. The method detects a regurgitant jet and allows for identifying the site of leakage as well as for preliminary qualitative assessment of the magnitude of regurgitation (width and extent of the jet); regurgitation jet area may be planimetrically assessed, the ratio of its area to the area of the heart cavity to which it returns may be evaluated, as well as regurgitation depth may be measured. The proximal isovelocity surface area (PISA) measurement (flow convergence) is recommended for the quantitative assessment of regurgitation. By changing the color scale (Nyquist limit), the flow convergence proximal to the stenotic orifice (PISA) may be visualized and the orifice area may be measured. A two-dimensional color Doppler image of regurgitation, together with the spectrum of valvular regurgitation recorded by continuous wave Doppler allows for the assessment of the severity of regurgitation. Conventionally measured and calculated regurgitant parameters include vena contracta width (VCW), PISA radius, effective regurgitant orifice (ERO), and regurgitant volume. Three-dimensional echocardiography, which allows for a more precise visualization of cusps and annuli (Fig. 1), offers additional possibilities of valvular assessment. If the diagnosis cannot be reached using transthoracic echocardiography, transesophageal echo should be performed in the case of suspected valvular disease.

A three-dimensional view of mitral and tricuspid valves. Leaflet morphology is visualized. The three-dimensional view allows for the assessment of the tricuspid valve in a transverse plane. TV – tricuspid valve, MV – mitral valve
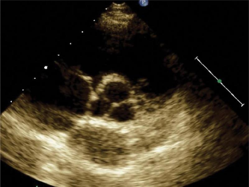
The image of the aortic valve is obtained in many echocardiographic projections. The long-axis parasternal view is used to assess the aortic annulus and the right coronary and noncoronary cusps, as well as to measure the left ventricular outflow tract diameter. The shortaxis parasternal view shows a cross-section of the aortic valve (Fig. 2) and allows for the measurement of its systolic surface area, which is 2.6–3.6 cm2 under normal conditions. Aortic valve flow is recorded in the 5-chamber view, using spectral Doppler. Normal left ventricular ejection is monophasic, with velocity at the level of aortic valve up to 1.7 m/s.

A cross-section of the aortic valve in 2D imaging, short-axis (vascular) parasternal projection. Three closed cusps are displayed
Bicuspid aortic valve (BAV) is the most common congenital cardiac defect, with a prevalence of 1-2%, which often leads to valvular dysfunction: regurgitation and/or stenosis.
Normal aortic valve should be impenetrable when closed. Degeneration of cusps or their edges is the most common cause of leakage. Color Doppler allows for the measurement of regurgitant width and vena contracta. CWD spectrum for aortic regurgitation resembles a trapezoid. The PHT measurement allows for an approximate estimation of regurgitant relevance. PISA is used to calculate the effective regurgitant orifice area and the regurgitant volume. Stages of aortic regurgitation are shown in Tab. 1.
The main echocardiographic criteria for the diagnosis of severe regurgitation
| AR | MR | TR | |
|---|---|---|---|
| The width of the vena contracta (mm) | >6 | ≥7 | ≥7 |
| ERO (mm2) | ≥30 | ≥40 | ≥40 |
| RVol (ml) | ≥60 | ≥60 | ≥45 |
| Other | PHT <200 ms | PISA radius – large | PISA radius >9 mm |
AR – aortic regurgitation; MR – mitral regurgitation; TR – tricuspid regurgitation; ERO – effective regurgitant orifice; RVol – regurgitant volume; PHT – pressure half-time; PISA – the proximal isovelocity surface area (PISA) measurement, also known as the „flow convergence”
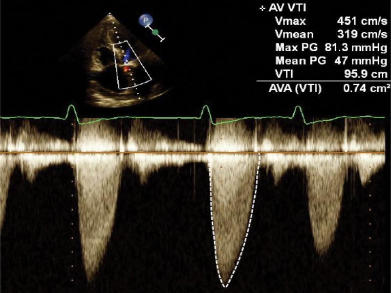
Aortic valve stenosis is usually caused by degenerative changes in the form of fibrosis and calcifications, which result in restricted mobility of the cusps. Continuous wave Doppler shows turbulent, rapid flow through the stenotic valve. The stage of aortic stenosis may be assessed based on the measurements of the peak velocity and the maximum/medium gradient, as well as planimetric calculation of the valve area or by using continuity equation from spectral Doppler recordings combined with the measurement of the left ventricular outflow tract width (Fig. 3). Stages of aortic stenosis are presented in Tab. 2.

Aortic stenosis. Flow spectrum in continuous wave Doppler. Peak velocity (Vmax), peak gradient (max PG) measurements, and aortic valve area (AVA) measurement using the equation of continuity are displayed
The main echocardiographic criteria for the diagnosis of severe valvular stenosis
| Aortic stenosis | Mitral stenosis | Tricuspid stenosis | |
|---|---|---|---|
| Orifice area (cm2) | <1,0 | <1,0 | |
| Effective orifice area index (cm2/m2 body surface) | <0,6 | ||
| Mean gradient (mm Hg) | >40 | >10 | ≥5 |
| Peak flow velocity (m/s) | >4,0 | ||
| Peak gradient (mm Hg) | >64 |
The mitral valve may be viewed in nearly any echocardiographic projection: long- and short-axis parasternal, apical 4-chamber, 2-chamber and 5-chamber. Each of these views shows different fragments of anterior and posterior leaflet, allowing for a precise assessment of the site where morphological changes occur. The short-axis parasternal view shows the cross section of the mitral valve and allows for a planimetric calculation of its area during diastole, which is estimated at 4–6 cm2 under normal conditions. The apical 4-chamber view using PWD will record mitral flow. Normal left ventricular filling pattern is biphasic (Fig. 4) with an early diastolic E wave and a late A wave. Under normal conditions, the peak left ventricular inflow velocity should not exceed 1.3 m/s.

Normal biphasic inflow into the left ventricle through the mitral valve in PWD in apical 4-chamber view
Myxomatous degeneration is a relatively common (2–3% of population) morphological change of mitral leaflets. They present in two-dimensional views as thicker (more than 5 mm) and with irregular echogenicity. Leaflet prolapse is defined as motion of the leaflet towards the left atrium during systole, which leads to the loss of coaptation (proper apposition of the leaflets in systole) and valvular leakage. Such prolapse may be caused by the elongation or rupture of tendinous cords, and papillary muscle detachment.
Normal mitral valve is rarely totally competent and a small amount of physiological regurgitation is often described. Pathological mitral regurgitation may be caused by degenerative changes in the form of leaflet fibrosis and calcifications, stiffening of their edges, leading to diastolic restriction (Carpentier type IIIA); mitral annular dilation (type I); mitral leaflet prolapse (type II) due to myxomatous changes or subvalvular apparatus damage; as well as systolic restriction (Type IIIB) due to left ventricular dysfunction. In addition to two-dimensional morphological assessment of the valve, echocardiography enables imaging and staging of valvular heart disease using color and spectral Doppler, and the PISA method (Fig. 5, Tab. 1).

A two-dimensional view of mitral regurgitation jet in color Doppler imaging in apical 4-chamber view. Altered color scale (Nyquist limit) and the PISA phenomenon along with the measurement of its radius (MS radius) and calculations of mitral effective regurgitant orifice area (MR ERO) and mitral regurgitant volume (MR volume)
Mitral valve stenosis is most often caused by leaflet degeneration; less often, in developed countries, it develops as a consequence of rheumatic fever. As a result of fibrosis and calcifications, the leaflets become thickened, the commissures loose their elasticity, which leads to restricted leaflets mobility. In mitral orifice stenosis, the inflow into the left ventricle becomes turbulent and more rapid. Echocardiography allows for staging the mitral stenosis, i.e. the measurement of mitral orifice area and the mean transvalvular gradient. The orifice area may be established planimetrically from a two-dimensional image, as well as calculated based on the flow spectrum recorded with CWD using the PHT method. It may be also estimated using the PISA phenomenon in color Doppler mapping, as well as using the continuity equation. The stages of mitral stenosis are shown in Tab. 2.
Three main projections are used to visualize the tricuspid valve: apical 4-chamber, short-axis parasternal and the modified parasternal long-axis view of the right ventricular inflow tract. Each of these views shows two different leaflets, and it is generally not possible to display a cross-section. The apical 4-chamber PWD recording of the tricuspid valve shows a biphasic flow with a peak velocity of 0.7 m/s.
Under normal conditions, the tricuspid valve usually does not close tightly, and physiologic trace regurgitation is often reported. Pathological tricuspid regurgitation is most often caused by annular dilation as a result of right ventricular enlargement, increased right ventricular pressure, as well as leaflet degeneration and prolapse, traumatic leaflet rupture, and the presence of an electrode restricting leaflet motion.
These changes can be visualized using two-dimensional echocardiography. CWD and color Doppler, as well as the PISA method facilitate the staging of tricuspid regurgitation (Tab. 1). The peak regurgitant velocity recorded with CWD is also used to calculate right ventricular systolic pressure.
Tricuspid stenosis is very rare. It is characterized by impaired leaflet mobility and increased tricuspid flow velocity, as recorded by CWD. The measurement of mean flow velocity is most often used for stenotic staging (Tab. 2).
The pulmonary valve is visualized only in short-axis (vascular) parasternal and/or suprasternal view. Visualization of its cross-section or all three cusps is not feasible. The same projection is used for Doppler measurement of the flow through the valve, which is monophasic and has a velocity of up to 0.9 m/s under physiological conditions.
Normal pulmonary valve does not close tightly and minor regurgitation may be observed, particularly among young individuals. Pulmonary hypertension is a common cause of regurgitation, which is, however, rarely hemodynamically significant. Pulmonary artery pressure may be measured based on regurgitant Doppler spectrum.
Pulmonary stenosis is rare and usually detected in complex heart defects, such as the tetralogy of Fallot. The peak gradient of 64 mm Hg in continuous wave Doppler indicates severe stenosis.
Each echo report should include heart chamber measurements: left ventricular size and volume (at systole and diastole), right ventricular size (at diastole), left atrial area and volume (at systole). The report should also include data on the size of the ascending aorta (at diastole), the thickness of the ventricular septum and the posterior left ventricular wall (at diastole and systole). The global left ventricular contractile function should be always estimated with the use of at least dual-plane Simpson measurement of ejection fraction; in the case of segmental contractility disorders, their severity and location should be determined; basic parameters for the assessment of diastolic function should be also provided. Each report should include anatomical and functional assessment of heart valves, including the stage of valve disease and the severity of pulmonary hypertension. Also, the intra- and extracardiac structures should be precisely described.
Standard echocardiography lasts about 30 minutes; inclusion of novel techniques extends the procedure time to over 60 minutes.