Have a personal or library account? Click to login
The usefulness of respiratory ultrasound assessment for modifying the physiotherapeutic algorithm in children after congenital heart defect surgeries Cover

The usefulness of respiratory ultrasound assessment for modifying the physiotherapeutic algorithm in children after congenital heart defect surgeries

Open Access
|Apr 2019

Full Article

Introduction

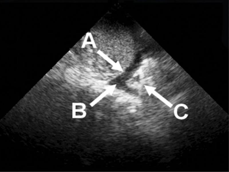
Early postoperative respiratory complications in pediatric patients after cardiac surgeries using cardiopulmonary bypass significantly prolong the use of mechanical ventilation and patient’s stay in the intensive care unit, increase mortality and affect treatment outcomes(1,2). Predominant clinical symptoms include altered parenchymal aeration of the lungs in the form of atelectasis, observed in 12–42% of non-intubated and 68–100% of intubated patients, as well as an accumulation of fluid in pleural spaces, found in 11–39% of pediatric patients in the early postoperative period(3,4) (Fig. 1).

Fig. 1.

An ultrasound image of: A – diaphragm; B – pleural fluid; C – consolidated pulmonary parenchyma within the pulmonary tissue

Despite a number of therapeutic concepts, there are no effective methods for setting therapeutic goals or tools for measurable assessment of treatment outcomes in respiratory physiotherapy after pediatric cardiac surgery(5). Currently, standard chest radiography (X-ray) is the basic source of information about the location and severity of pulmonary pathology for a physiotherapist. A number of limitations of this method, such as: one-dimensional image difficult to interpret, static method, and the risk of complications related to ionizing radiation, prevents its widespread use in physiotherapy(6,7).

Considering the specificity of pediatric surgery, point-of-care ultrasound ultrasonography is a potentially attractive tool for the monitoring of the respiratory tract due to its availability, non-invasiveness, and the possibility of multiple repetitions.

Aim

The aim of the study was to assess the effectiveness and the possible use of diagnostic transthoracic ultrasound of the respiratory tract to qualify patients for therapy and to monitor the effectiveness of physiotherapy in children after cardiac surgeries.

Materials and methods

A total of 103 patients after a series of congenital heart surgeries using cardiopulmonary bypass (CPB) in the Department of Cardiac and General Pediatric Surgery, Medical University of Warsaw, were qualified for prospective analysis. The patients were aged between 1 and 12 months (mean age 5.24 months, SD ± 2.94). Four main echocardiographic diagnoses defining the morphology of the defect were defined in the study group: atrial septal defect (ASD) in 8 patients, ventricular septal defect (VSD) in 51 patients, tetralogy of Fallot (F4) in 19 patients and atrioventricular septal defect (AVSD) in 25 patients. The group included 24 patients with Down syndrome. The median value of CPB time was 78 minutes (56–95 minutes), and the median value of the length of aortic cross – clamping time (AoCC time) was 43 minutes (26–52 minutes).

The ultrasonographic assessment of the respiratory system for physiotherapeutic purposes in children after cardiac surgeries required an appropriate examination protocol. The investigated area of the lateral and anterior chest wall was divided into three left- and right-sided sectors in the frontal plane: upper sector (1), middle sector (2) and lower sector (3), and corresponding sectors in the transverse plane. The graphical form of the protocol allows to record location, type and severity of pulmonary pathologies shown on ultrasound.

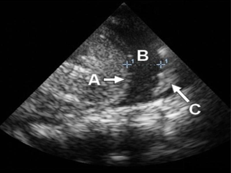
Ultrasonographic assessment of the respiratory tract, as in accordance with the author’s protocol, was performed every day by the same investigator (W. M) at patient’s bedside using the GE VIVID 3 ultrasound system (GE Medical Systems, Waukesha, WI, USA) with a sector convex transducer (2.5 to 7 MHz) and a linear probe (3–12 MHz), throughout the stay in the intensive care unit. Ultrasonography was performed in a supine position due to patients’ condition in the early postoperative period. Each left and right lung segment was evaluated, moving the transducer along intercostal spaces that form a physiological acoustic window on the anterior and lateral surface of the chest. The evaluation of lung apices was performed via the supraclavicular access. The costodiaphragmatic recess and the diaphragm were assessed using the epigastric and abdominal access. B-mode projection was mainly used; M-mode projection was used in the case of uncertain lesions. Pulmonary parenchyma and pleura were evaluated during a minimum of 3 breathing cycles (either spontaneous or mechanically induced). Artifacts and ultrasonographic symptoms indicating normal and abnormal lung image, as in accordance with the guidelines proposed by Lichtenstein et al.(810), were assessed during ultrasound scan. The obtained findings were recorded in a digital format as well as in the author’s graphical protocol (in real time). The patients were assessed for major pulmonary complications typical of pediatric patients after cardiac surgeries: impaired pulmonary parenchymal aeration and the presence of excess pleural fluid(3,4) (Fig. 2).

Fig. 2.

An ultrasound image of: A – diaphragm; B – pleural fluid (with fluid layer thickness measurement); C – pulmonary parenchyma within the pulmonary tissue

The obtained results were compared with chest radiography, which was performed in accordance with the standards and the clinical needs of postoperative care, in order to verify the effectiveness of the protocol for ultrasonographic assessment of the respiratory tract.

A totoal of 230 assessments including ultrasonographic evaluation of the respiratory tract and standard radiography performed at intervals of no more than 3 hours (the same day) were included in the comparative analysis. The presence of lesions in the obtained image (X-ray = 1 and/or US = 1) were recorded in one of three right or left-sided sectors. Sectors without lesions were marked as X-ray = 0 and/or US = 0. The same results in the sectors were described as concordant, different results were defined as discordant. Additionally, the presence of excess pleural fluid with location specified in the protocol was recorded for sector 3.

Results

The highest concordance rate (i.e. when the same findings in a given sector were obtained in both ultrasound and radiography) of 89.6% (206 cases) was reported for S1L (apex of the left lung), while the lowest corresponding value (57.0%, 131 cases) was reported for S2L (pericardial area). The concordance rate for pleural fluid was 73.9% (170 cases) for the right S3PP sector and 62.2% (143 cases) for the left S3LP sector (Fig. 3).

Fig. 3.

Concordance rate (X-ray = 1 and US = 1) for ultrasonography and radiography in the individual sectors. L – left side, P – right side, S1P – sector 1 on the right, S1L – sector 1 on the left, S2P – sector 2 on the right, S2P – sector 2 on the left, S3P – sector 3 on the right, S3L – sector 3 on the left, S3PP – sector 3 – excess pleural fluid on the right side, S3PL – sector 3 – excess pleural fluid on the left side

The analysis of the discordance rate, i.e. when a lesion was shown in radiography (X-ray = 1), but was not confirmed by ultrasound (US = 0), showed a significant difference in the diagnostic value in S1P and S2L sectors (26.1% and 40.0%, respectively) (Fig. 4). The obtained data indicate limited diagnostic possibilities of the right lung apex due to anatomical relationships in this region (limited contact between the structures and the parietal pleura) and the specificity of postoperative care (position during US scan, the presence of central venous access), which prevent normal ultrasound wave propagation, and thus proper interpretation of findings. The obtained results for S2L also indicate difficulties in the interpretation of the diagnostic image (both radiograms and US scans) for the pericardial region, especially shortly after surgical correction. The lowest discordance rate was reported for S3P and S3L – 3.5% and 5.7%, respectively.

Fig. 4.

Discordance rate (X-ray = 1 and US = 0) for ultrasonography and radiography in the individual sectors. L – left side, P – right side

Analyzing the discordance rate, i.e. when ultrasound showed a lesion (US = 1), but radiography showed no lesion (X-ray = 0), a significant difference was observed in sectors S3LP and S3PP (29.1% and 14.3%, respectively) (Fig. 5). The evaluated sectors correspond to the presence of excess pleural fluid. High discordance rate was also reported for sectors S3P (28.3%) and S3L (26.1%).

Fig. 5.

Discordance rate (X-ray = 0 and US = 1) for ultrasonography and radiography in the individual sectors. L – left side, P – right side

Discussion

The analysis of concordance rate in detecting pulmonary lesions using ultrasound and radiography in the study group showed the highest consistency ratio in sector 1 on the left (the apex of the left lung) and sector 2 on the right (an area located approximately at the level of the sternal body on the right) – 89.60% and 73.9%, respectively. A methodologically similar study with division into sectors conducted by Acosta et al.(11), who assessed the efficacy of respiratory ultrasound to detect atelectasis in pediatric patients with magnetic resonance as a reference tool, demonstrated ultrasound sensitivity of 88% and specificity of 89%. The authors demonstrated the highest discordance rate, i.e. when a lesion was shown in MRI, but no lesion was shown on ultrasound, for sectors corresponding to upper and middle segments of the left and right lung. The findings presented in this paper also show significantly higher discordance rate (lesions in radiography, but not confirmed on ultrasound) for corresponding sectors including the central mediastinum on the right S2P = 18.70% and on the left S2L = 40.00%. This high discordance rate may be due to the fact that the heart area is particularly difficult to interpret using both ultrasound and radiography, especially in infants after cardiac corrections.

High discordance rate, i.e. when no atelectasis was shown in radiography, but was detected by ultrasound (X-ray = 0, US = 1), was reported for sector 3 on the right (the right supradiaphragmatic region and the base of the lung) and sector 3 on the left (the left supradiaphragmatic region and the base of the lung) – 28.3% and 26.1%, respectively. This may be explained by arguments proposed by Corne et al.(12), who argued that the imaging of atelectasis (in radiography) in the right middle and lower lobe is more precise in the sagittal plane, which is inaccessible in the study group of patients. The left lower lung lobe corresponding to the left sector 3 is also difficult to interpret as any atelectatic lesions may be obscured by the heart in the sagittal plane in radiography.

In February 2018, Cantinotti et al.(13) presented a methodologically similar study assessing postoperative ultrasonographic and radiographic diagnostics in pediatric patients after cardiosurgical corrections. The authors used a smaller sample size (79 patients aged up to 2 years), a smaller number of scans (138 radiographic and ultrasonographic scans) and a different ultrasound protocol. The study showed that concordance between ultrasound and radiography for the detection of pleural fluid was 76.1%, which is comparable to our findings (S3PP = 73.90%; S3LP = 62.20%). Concordance in detecting atelectatic lesions was 64.5% and was similar to our findings (RTG1 = USG1 between 57.00% and 89.6%). However, it should be noted that Cantinotti et al. used no detailed division of the evaluated area into sectors; therefore, an accurate comparison of findings is not possible. Differences in the data obtained relate to discordance, when a lesion was shown in ultrasound, but not in radiography (US = 1, X-ray = 0). This study had a discordance rate of 50.00% compared to 3.5%-28.3%, depending on the sector assessed, in our study. This discrepancy may be due to a different methodology of ultrasonographic examination used in our study.

When analyzing the number of tests in which no fluid was detected in a given sector using ultrasonography, but such finding was confirmed by means of radiography (X-ray = 1, US = 0), a rate of 11.70% and 8.70% was calculated for S3PP and S3LP, respectively. Due to the lack of a reference diagnostic method in the study, it is impossible to clearly determine the number of false positive or false negative results, particularly in the S3PP sector. The studies cited above, which estimate the specificity of diagnostic radiography to detect excess pleural fluid at 81%-85% (with CT or MRI used as reference), suggest that the data obtained result from methodological limitations of the procedure(1416).

The sensitivity and specificity of ultrasound for the detection of pulmonary pathologies are 92–100% and 96–100%, respectively, in a group of 18-year-old intensive care patients, as confirmed by a number of studies(14,17,18). In analogous reports, the detection rate for pulmonary pathologies in radiography, which is defined by sensitivity, is estimated at 39% to 65%, and the specificity ranges between 81% and 85%(8,14,1921). Our findings obtained in the population of infants after cardiosurgical corrections confirm literature reports on the effectiveness of ultrasound in detecting pulmonary pathologies compared to radiography. Lichtenstein et al., who assessed the use of ultrasonography for respiratory assessment in intensive care infants, concluded that due to the physical nature of ultrasonographic artifacts, their clinical interpretation should not differ from the interpretation of artifacts in adults(8).

The available literature data point to higher efficacy of respiratory ultrasonography vs radiography in detecting pulmonary pathologies in infants(20,22,23). However, our data indicate that diagnostic accuracy of ultrasound largely depends on the location of the analyzed lung segment. Reduced radiographic detectability of pulmonary atelectatic lesions may be due to factors such as small size of non-aerated pulmonary areas, invisible in radiography; technical aspects (supine position, sagittal plane only) and limited visibility of some areas; spontaneous or mechanical breathing, which may distort the diagnostic picture. Additionally, standard radiographs provide only 2-dimensional information. Ultrasonographic respiratory assessment allows obtaining 3-dimensional diagnostic images due to a flexible methodology of examination(23).

The lack of a reference diagnostic method (CT or MRI) for the comparative analysis of respiratory ultrasonography and radiography is the main limitation of our study. Due to the nature of the study group, the specificity of postoperative care in infants after cardiac surgeries and ethical aspects of implementing a clinically unnecessary diagnostic process, such methodology was not used in this study. There are literature reports assessing ultrasonographic and radiographic effectiveness using an objective reference method in a group of pediatric intensive care patients with other diseases(8,22,24,25). Our findings are in line with the trend reported in the cited publications, suggesting that the methodological assumptions of the conducted study were justified. Other limitations include a relatively small and heterogeneous study group, as well as the dependence of the results on the experience and skills of the operator. The study was not blinded as the examination was a part of the therapeutic process.

This is the first factual report assessing the potential of respiratory ultrasonography in pulmonary physiotherapy using an individually tailored protocol.

Diagnostic ultrasonography for the purpose of physiotherapy is currently used mainly in orthopedic and sports rehabilitation, as a tool for assessing the musculoskeletal system in the process of rehabilitation(2628). First review reports on the theoretical possibility to use diagnostic respiratory ultrasonography in pulmonary physiotherapy in adult patients were presented by Leech et al.(29) and Neindre et al.(30) The authors pointed to the great potential of the method, mainly due to the possible real-time assessment of the respiratory system, non-invasiveness and wide availability. In clinical practice, this will enable assessment before, during and after a physiotherapy session, thereby allowing for the choice of appropriate therapeutic techniques and an assessment of the effectiveness of the implemented management.

Few papers on the potential use of diagnostic ultrasound in pulmonary physiotherapy clearly point to the need for developing a comprehensive training program for physiotherapists. Previous reports on the standardization of forms and methods of training to enable inexperienced medical personnel to interpret respiratory ultrasonographic images were mainly targeted at specialists in anesthesiology, intensive care and nurses(18,29,31,32). It has been suggested by some researchers that proper ultrasound image interpretation is possible only after performing at least 100 unassisted scans and a 3-month internship led by an experienced specialist. Other reports indicate that a correct diagnosis of basic pulmonary complications, such as pleural exudate, focal consolidations of pulmonary parenchyma or pulmonary atelectasis, is possible already after 6 weeks of training. Tutino et al.(33) recommend at least 7 months of clinical internship as a necessary minimum for the correct interpretation of an ultrasound image of the respiratory system. According to Volpicelli et al.(34) and Doelken and Strange(35), the interpretation of an ultrasonographic image for consolidated pulmonary parenchyma and pleural fluid may be considered to be the basic technique of pulmonary ultrasonography. As pointed out by the authors, training in the field of effective ultrasonographic methodology should be relatively accessible for medical personnel lacking in experience in interpreting ultrasound images(33,34). As further pointed out by researchers, developing a uniform training system in the field of ultrasonographic respiratory assessment for physiotherapists requires standardization of elements such as: terminology used, equipment requirements, methodology, clinical use, costs and possibilities of further development(18,33).

It should be noted that further research on the training system for physiotherapists, the clinical importance of the examination and validation of the effectiveness of individual therapeutic techniques using the developed protocol is needed in order for the potential of respiratory ultrasonography to be properly used for the patient’s good.

Conclusions
  • 1.

    A tailored protocol for ultrasonographic assessment of the respiratory tract is an optimal tool for determining therapeutic goals, as well as for the assessment of the efficacy of pulmonary physiotherapy in pediatric patients after cardiac corrections.

  • 2.

    The diagnostic value of ultrasonographic assessment of the respiratory tract and standard radiography in the study group depends on the location of the investigated lung segment.

DOI: https://doi.org/10.15557/jou.2019.0003 | Journal eISSN: 2451-070X | Journal ISSN: 2084-8404
Language: English
Page range: 17 - 23
Submitted on: Nov 4, 2018
|
Accepted on: Jan 21, 2019
|
Published on: Apr 30, 2019
In partnership with: Paradigm Publishing Services
Publication frequency: 4 issues per year

© 2019 Marcin Myszkowski, published by MEDICAL COMMUNICATIONS Sp. z o.o.
This work is licensed under the Creative Commons Attribution 4.0 License.