Recent surgical literature has raised doubts regarding the efficacy of surgical subacromial decompression(1). It is likely that management pathways will change and possible that healthcare providers will restrict funding for these procedures.
This potential substantial change in practice will place interventional radiologists, sports physicians and other musculoskeletal physicians at the forefront when managing patients with shoulder pain. Ultrasound is already regarded as a pinnacle diagnostic imaging technique in the diagnosis of shoulder pain and in its treatment. Ultrasound guided procedures are likely to become more important and a key part of patient care.
In this article, I will describe the role of ultrasound for the diagnosis and treatment of different causes of shoulder pain with an up-to-date review of the literature.
The key to diagnosis remains the patient’s history.
The pain resulting from subdeltoid subacromial (SDSA) bursitis is commonly referred down the anterior upper arm and, on occasion, reaching as far as the wrist and hand. Whilst long head of biceps tendon disease may cause similar pain, it is less frequent than symptoms referred from the subdeltoid subacromial bursa. Clinical signs and symptoms are unreliable in trying to differentiate these two conditions.
Night pain can be caused by subdeltoid subacromial bursitis, osteoarthritis, glenohumeral joint capsulitis and a bone tumor. In these patients, it may also be prudent to take a plain radiograph to assess the bone and joint.
Capsulitis causes a limitation of both external and internal rotation. In its acute phase, it can be very painful. It is more common in patients with diabetes mellitus and often affects both shoulders at a time interval apart. If a patient has had a previous shoulder capsulitis, then the other shoulder is more vulnerable. Note that the loss of external rotation can be very subtle.
Capsulitis may coexist with subdeltoid subacromial bursitis or a rotator cuff tendon tear. In patients who fail to respond to treatment for their subdeltoid subacromial bursitis, always think of capsulitis as a secondary diagnosis.
An acute pain, which if in the left shoulder, may be confused with the referred pain of a heart attack, can be the result of an acute calcific tendinosis. This is more commonly seen in countries with higher temperatures suggesting that dehydration is a factor. Early diagnosis and treatment can be advantageous when the calcification is soft and liquid, and arguably easier to aspirate.
It is important that the patient tells you where the site of pain is. It may be at a specific area, for example the acromioclavicular joint.
Clinical tests used to assess the presence of impingement and rotator cuff tears unfortunately are not reliable(2).
The Hawkins and Kennedy test can help with the assessment of impingement but will not reliably assess the presence of a rotator cuff tear.
If the loss of external rotation feels like a bony block, then there may be significant glenohumeral joint osteoarthritis rather than a capsulitis. Not all patients sent for an ultrasound examination have had a prior X-ray to exclude this diagnosis.
A loss of internal rotation is commonly due to either subdeltoid subacromial bursitis and impingement or capsulitis.
On assessing movement, the examiner may detect an instability of the acromioclavicular joint due to ligament damage or winging of the scapula due to weakness of the surrounding muscles.
There may be muscle atrophy which is usually seen in the context of shoulder girdle disuse and may be associated with a tendon tear.
It is important to start the examination in a bright room so that you can assess the patient clinically. The ultrasonographer should understand physical examination techniques. The assessment of limitations of movement is especially important. If there is doubt in the assessment, especially of external rotation, then comparing both shoulders together is advantageous to look for subtle capsulitis. Full ultrasound examination of the shoulder should cover:
-
the long head of the biceps tendon in both a transverse and longitudinal position;
-
the subscapularis tendon in transverse and longitudinal position;
-
the supraspinatus tendon in transverse and longitudinal position;
-
the infraspinatus tendon in transverse and longitudinal position;
-
the teres minor tendon in transverse and longitudinal position;
-
the posterior glenohumeral joint;
-
muscles of the supraspinatus, infraspinatus and subscapularis to examine for atrophy;
-
the acromioclavicular joint in both static and dynamic assessment;
-
the surface of the bone of the tuberosities and humeral head to look for fractures and impingement;
-
the subdeltoid subacromial bursa after dynamic motion to look for movement of fluid;
-
dynamic assessment of the tendons under the coracoacromial ligament, although this test can be flawed in the context of impingement.
Both shoulders should be examined at each consultation. This will allow the detection of subtle changes in the tendons, joints and muscles, especially if the normal side is examined first.
The presence of a rotator cuff tear in the younger patient will usually benefit from surgery, and therefore this will not be discussed any further in this article.
A rotator cuff tear in an older patient who does not want surgery or in a patient who is not fit for surgery can be managed conservatively with physiotherapy and injection therapy. Often there is a coexistence of subdeltoid subacromial bursitis, and this can be treated successfully with steroid and local anesthetic injection. There may be coincidental capsulitis or glenohumeral joint osteoarthritis.
When there is a full thickness rotator cuff tear with a direct connection with the glenohumeral joint, care should be taken with local anesthetics. Recent evidence suggests that we should not use lidocaine or higher concentrations of long-acting local anesthetics inside the joint as these agents are chondrotoxic(3). Also, if the patient is considering a rotator cuff repair at a later stage, the injection of steroids should be timed not to occur within two months of surgery. There is no evidence that the rotator cuff tear will extend due to the use of steroid treatment or that there is an increased infection risk, but there is some evidence that it may increase the risk of failure of surgery due to its collagen weakening effect, as it alters the repair process of any damaged collagen(4,5).
Often impingement and bursitis coexist. If there is irregularity of the cortex of the tuberosities or humeral head, this suggests impingement of a chronic nature.
The subdeltoid subacromial bursa may show thickening of the walls and fluid within. Often the bursa shows thickening of its inner wall with low echogenic material. This should always be compared with the opposite asymptomatic side, as some patients may have thick bursae because of their lifestyle. For example, an overhead throwing athlete or someone with an occupation that uses the shoulders will have a more prominent bursa than someone who sits at a computer. Also note that the bursal thickness may differ with movement. Fluid may also move and be pushed into or out of the bursa, and therefore the examination should not be confined to a static examination.
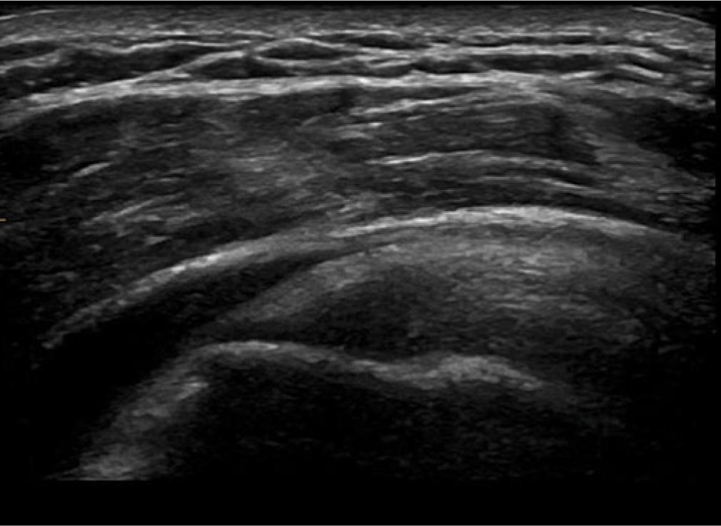
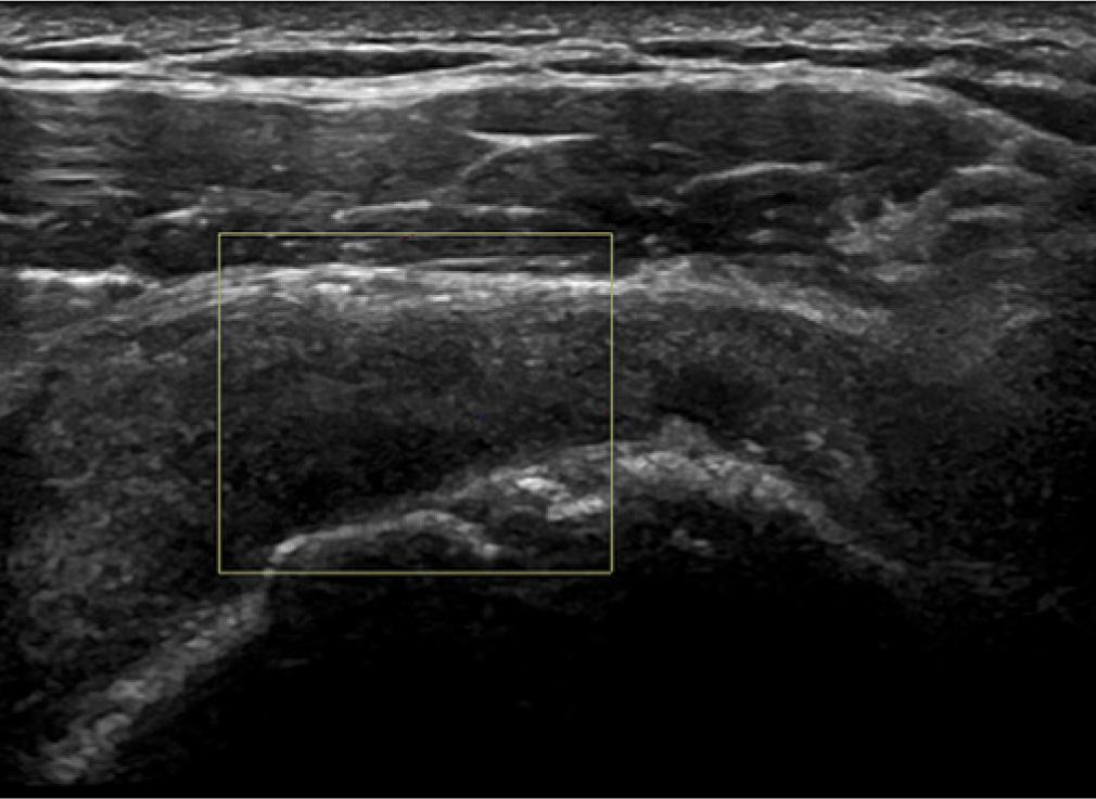
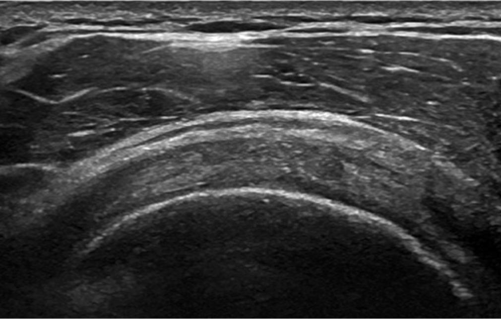
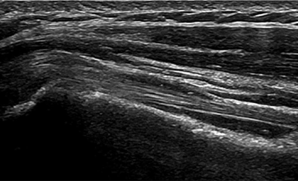
The bursa should be seen as three parallel stripes. The top and bottom should be of high echogenicity compared to the low central stripe (Fig. 1). If the lower stripe is not seen, then this would imply a bursal surface supraspinatus or infraspinatus fraying (Fig. 2). If the stripes are not clear in outline, appearing blurred, then the presence of an adhesive bursitis should be considered (Fig. 3). In a child or young adult, the central stripe may be very thin, and the bursa may appear as one stripe if the resolution of the ultrasound machine is poor.

The 3 distinct stripes of the subdeltoid subacromial bursa are seen here

The upper layer of the supraspinatus tendon is missing

The subdeltoid subacromial bursa is not as distinct on the right of the image compared to the left
It is important to distinguish these different appearances as the use of steroids alone may not be able to distend the bursa and open up these adhesions. This appearance makes the use of a larger volume of fluid important. When injecting the subdeltoid subacromial bursa, I would normally use one milliliter of triamcinolone 40 mg per mL and 9 mL of a mixture of bupivacaine 0.25% and normal saline. Some authors would advocate the use of larger volumes of fluid than this for adhesive bursitis, but I do not think this is necessary, and it will lead to bursal rupture with extravasation of these agents into the surrounding soft tissues.
This is often seen in the supraspinatus and subscapularis tendons but may occur in the other tendons of the shoulder.
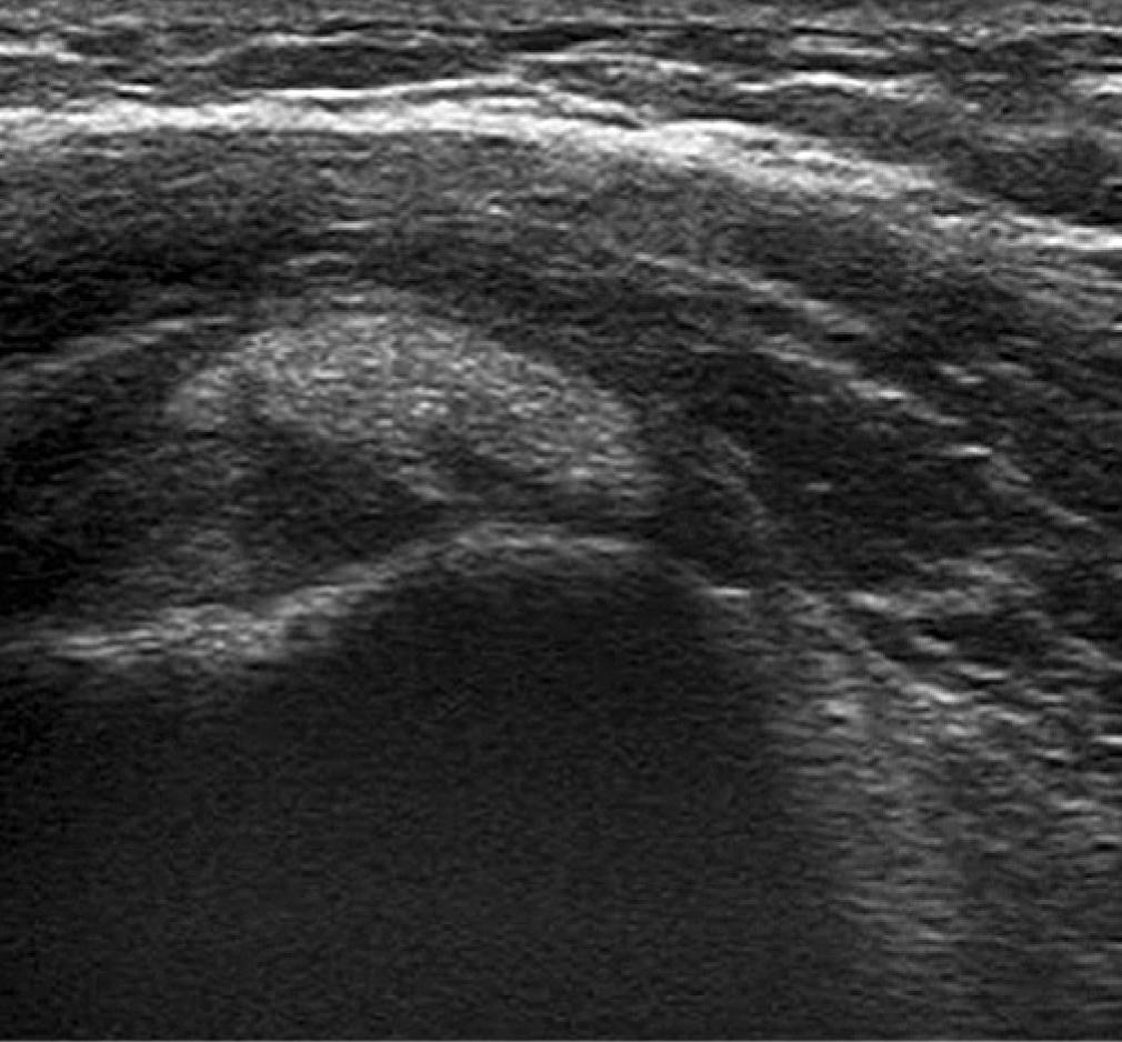
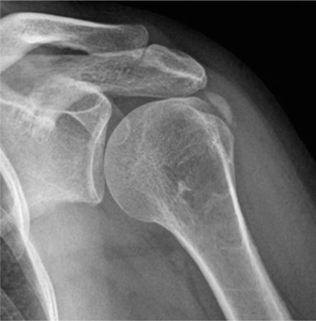
In the acute phase, the calcification can be very cloudy and sometimes difficult to see with ultrasound. It will not cause significant acoustic shadowing and will be particularly hard to identify if using compound imaging on the ultrasound machine. To make the calcification more conspicuous, the operator should switch off the compounding technology. The calcification may be easier to identify with a conventional radiograph at this early stage (Fig. 4 and Fig. 5).

Calcific tendinosis with no acoustic shadowing

Calcific tendinosis seen in Figure 4 on X-ray
Acute calcification causing tendinosis will have neovascularization around it and in the adjacent tendon. (Fig. 6). Hard, established calcification will not have neovascularization around if it is quiescent and not causing tendinosis. The calcified area may give a mass effect which will impinge as the shoulder is moved, however. It is also important to assess calcification within a tendon dynamically. This hard calcification normally gives acoustic shadowing behind it.

Calcific tendinosis with loss of the subdeltoid subacromial bursal interface, acoustic shadowing and neovascularization
The calcium can be removed by barbotage which involves washing of the calcification with warm normal saline using either a single or double needle technique(6,7). This will lead to extraction of a cloudy/milky fluid from the tendon and immediate resolution of the patient’s pain. When the calcification is established this will not succeed. Sometimes, a little of the calcification is removed but often it remains. The calcification can then be broken up by the needle tip by passing the needle through the hard calcification. This is likely to block the needle, and therefore a replacement needle may be needed for the steroid injection into the subdeltoid subacromial bursa. This should be regarded as a mandatory procedure following barbotage due to the intense pain that ensues as the calcification leaches into the bursa.
When a patient arrives with very severe pain, the calcification may be rupturing into the subdeltoid subacromial bursa. In these patients, the most important injection is the steroid into the bursa. In a recent article, it is suggested that at 5 years follow-up barbotage may offer no more benefit than subdeltoid subacromial bursal injection in some patients(8).
Often this diagnosis is obvious as the patient cannot externally rotate the shoulder for visualization of the subscapularis tendon. There is often a small amount of fluid in the long head of biceps tendon sheath which reflects the small glenohumeral joint effusion that is present (Fig. 7 and Fig. 8).

Fluid in the long head of biceps tendon sheath and the subdeltoid subacromial bursa – transverse view. There is a vessel visible (a branch of the anterior humeral circumflex artery) but no neovascularization

Fluid in the long head of biceps tendon sheath and the subdeltoid subacromial bursa – longitudinal view
Some authors have suggested that the presence of neovascularization in the anterior interval of the rotator cuff or thickening of the coracohumeral ligament can be helpful in establishing the diagnosis of capsulitis(9,10). In my experience, neither of these are necessary or useful and neovascularization within the anterior interval is rare. Some authors suggest looking at the axillary recess(11). This is incredibly difficult in these patients due to the presence of the lack of motion of the shoulder, and in the early phases of severe pain I would not recommend this technique. If the patient has any limitation of external rotation compared to the asymptomatic other shoulder, even if there is no glenohumeral joint effusion or other signs, it is worth treating as capsulitis and they will often benefit.
Patients often present with established capsulitis, at a late point in the disease process. When a patient has had a previous shoulder capsulitis, they will know when a capsulitis is developing in their other shoulder. In these patients, I have observed subtle loss of external rotation and no other ultrasound features to support this diagnosis, but a significant response to treatment.
For capsulitis, current literature supports the technique that follows. I perform a steroid and long-acting local anesthetic injection into the shoulder joint. This is the most important element of the injection. In established capsulitis there’s often backpressure from the glenohumeral joint, and therefore fluid will be seen to spurt from the needle in the shoulder after the injection if not closed off. I would recommend the use of a three-way tap that can be sealed off after removing the syringe containing the steroid and long-acting local anesthetic. It is also useful to use luer lock syringes for this procedure so you can exert more pressure without the syringe becoming detached and losing the injectate. The second element to the treatment is the use of normal saline to distend the joint capsule, a procedure called hydrodilatation or hydrodistension. I use a maximum of 20 mL of normal saline, according to the patient’s tolerance. It is not necessary to use a large volume and rupture the capsule. If this is tried it can sometimes lead to further problems with pain down the arm and even compartment syndrome. Also, the steroid is no longer contained within the glenohumeral joint, and therefore it will not be providing maximum benefit. Once saline has been injected into the glenohumeral joint, then the needle can be removed, and the track of the needle disrupted by distracting the superficial tissue above it. The patient should then undergo intensive physiotherapy(12). This should be performed immediately after the procedure for maximum benefit. If the patient remains with limited movement, then the second procedure should be performed two weeks later, using the same protocol. Patients should only be sent for surgery if they do not respond to this treatment(13).
Often the acromioclavicular joint appears osteoarthritic with marginal osteophyte formation and capsular thickening. Instability of the joint should be assessed, and the point of pain generation can be judged at the same time. If the patient has pain at the site of the probe during dynamic stress, then there is an element of the patient’s pain from the joint itself. If the patient’s pain is deep within the shoulder, this is likely to be secondary to impingement. Patients may also experience pain down the anterior forearm and this gives a positive diagnosis of impingement. If the patient experiences pain in the anterior shoulder, this can either be due to focal subdeltoid subacromial bursitis or capsulitis.
If the patient’s pain seems to be coming from the acromioclavicular joint, then a diagnostic/therapeutic injection of the joint can be performed. Methylprednisoslone is the preferred steroid to use in this joint as the literature suggests there is less risk of fat atrophy in the skin.
Anterior shoulder pain with upper arm pain can be secondary to long head of biceps tendinosis. This can be easily diagnosed by ultrasound and treated with a guided injection. It is easily accessed by a transverse approach.
The patient may be experiencing pain from several sites, and therefore you must be aware of that when performing injections, and you may need to perform the second and possibly the third injection to follow. With experience you will hopefully be able to assess which is the most significant area of pain generation. If not, then you may have to start with the most likely cause of pain and perform a diagnostic/therapeutic injection. The most common site of pain is the subdeltoid subacromial bursa. If the patient has a coexistent capsulitis there is some evidence that an injection at the site can also help the capsulitis. It is therefore worthwhile starting with a subdeltoid subacromial bursal steroid injection. If this does not resolve the pain completely by two weeks, then it is worth following up with the glenohumeral joint steroid injection with hydrodilatation. Some patients will need an injection of the bursa and the acromioclavicular joint.
It is very important to follow patients with a pain diary to assess the next step. I feel that as clinical radiologists we should be following patients after we provide treatment. It is not good enough to send a patient back to a clinician without getting feedback as to whether your injection has been therapeutic. All interventionalists should be involved in further management and should deal directly with complications and failure to respond(15).
Physiotherapy, as an adjunct to all injection therapies, is essential in the patient’s recovery for shoulder pain(14). This will help with improved movement and prevention of muscle atrophy. The injection may be used to decrease pain, so that the patient can perform their physiotherapy more effectively.
Steroid has been mentioned as the main injection material but the use of sodium hyaluronic acid in joints is beneficial in osteoarthritis(16). Established hard calcification in the tendons can also be treated with extracorporeal shockwave therapy guided by ultrasound(17,18).