Juvenile idiopathic arthritis (JIA) is a heterogeneous group of diseases with the first appearance of symptoms before the age of 16. The classification of JIA issued by the International League of Associations for Rheumatology (ILAR) includes seven subtypes of this disease. Juvenile spondyloarthritis (which in adults is a separate group of diseases) is represented as the enthesitis-related arthritis (ERA), psoriatic arthritis (PsA) and undefined juvenile arthritis categories. One of the main principles of the revised (Edmonton 2011) ILAR classification is that all categories of JIA are mutually exclusive (Tab. 1)(1–3). Therefore, juvenile spondyloarthritis (JSpA) is defined as a group of seronegative rheumatologic disorders with initial complaints emerging before 16 years of age, characterized by enthesitis, oligoarthritis of lower extremities, axial involvement and HLA-B27 positivity, which can be classified as into the above-mentioned JIA categories.
Classification of Juvenile Idiopathic Arthritis by the International League of Associations for Rheumatology (ILAR)
| ILAR classification of JIA | |
| Category | Clinical presentation and laboratory markers |
|---|---|
| Oligoarthritis | 27%–60% of children with JIA. One to four joints are affected within 6 months of onset. The most commonly affected joint is the knee, followed by the ankle. ANA antibodies are identified in most patients and uveitis in approx. 20% of children |
| Systemic arthritis | 4%–20% of children with JIA. One or more joints are affected along with or preceded by at least 2 weeks of fever occurring daily for at least 3 days and with at least one of the following: transitional rash, generalized lymphadenopathy, hepato- or splenomegaly or serositis |
| Polyarthritis (RF positive) | 2%–7% of children with JIA. Five or more joints are affected within 6 months of onset, usually symmetric, small joints of the hands and feet, and with a positive RF test result. Large joints, like the knee, ankle, hip and shoulder, may also be inflamed at the beginning of the disease (approx. one third of patients) but alongside the inflammation of small joints. In approx. one third of patients, rheumatoid nodules are present. In this subtype, erosions are most frequent, seen in almost all children within the first 5 years of the disease |
| Polyarthritis (RF negative) | 11%–28% of children with JIA. Five or more joints, both small and large, can be affected within 6 months of onset, with two negative RF test results at least 3 months apart within 6 months of disease onset |
| Psoriatic arthritis | 2%–11% of children with JIA. Arthritis and psoriasis, or arthritis and two or more of the following features are present: dactylitis, nail pitting, oil drop sign or onycholysis, or psoriasis in a first-degree relative. In the first stage of the disease, synovitis usually occurs in the knee, ankle, and metatarsophalangeal joints. Initially, only few joints are affected (oligoarthritis) and later, more joints may be involved (asymmetric polyarthritis). There are very characteristic changes of the hand and foot joints (as in adults with PsA) |
| Enthesitis-related arthritis (ERA) | 5%–10% of children with JIA. Arthritis and enthesitis, or arthritis or enthesitis with two or more of the following features: the presence or a history of SIJ tenderness or IBP; a positive HLA-B27 antigen; male over 6 years of age at onset; acute anterior uveitis or a family history of ankylosing spondylitis, ERA, sacroiliitis with IBD, reactive spondyloarthritis, or acute anterior uveitis in a first degree relative. Mostly affects boys. The most typical sign is enthesitis. Often, there are also traits of oligo- or polyarthritis, including the hip and other lower limb joints. The disease may have a mild course, affecting ≤4 joints, but in 30%–40%, progression of the disease occurs to sacroiliitis and spondylitis |
| Undifferentiated | Around 11%–21% of children with JIA that does not fit the criteria of any of the other categories |
ANA – antinuclear antibodies
RF – rheumatoid factor
ERA – enthesitis-related arthritis
PsA – psoriatic arthritis
HLA – human leukocyte antigen
IBD – inflammatory bowel disease
SIJs – sacroiliac joints
IBP – inflammatory back pain
Recognizing juvenile SpA, particularly early in the course of the disease, has a unique set of challenges(4), and some changes in the classification of JIA will probably be applied in the near future to enable earlier recognition of JSpA, especially in patients with axial involvement(3). The main challenges are as follows: Firstly, the signs and symptoms at MSpA onset differ from those in adults, with inflammatory back pain being less prominent, reflecting the infrequent involvement of the sacroiliac and spinal joints in the juvenile form of the disease(5). Secondly, in contrast to adult SpA, hip and peripheral joints arthritis and enthesitis are common presenting features in children. As a consequence, juvenile SpA might be missed or confused with other forms of juvenile arthritis. Thirdly, psoriatic arthritis (PsA), which may also present with sacroiliitis and belongs to the SpA group diseases in adults, is a separate category from ERA. Fourthly, the classification criteria do not address reactive arthritis (ReA) or SpA coexisting with inflammatory bowel diseases (IBD), which are all parts of the SpA group in adults but in children they are classified to the last group of undifferentiated arthritis(2). Finally, the ILAR classification system for JIA, and the ERA subgroup in particular, do not specifically address children who meet the criteria for ankylosing spondylitis (AS)(4). Approximately 10% to 20% of patients eventually diagnosed with AS begin to experience symptoms before the age of 16, and a proportion of these individuals would fulfill the modified New York criteria for AS at this early age(6). The criteria for AS do not specify a lower age limit, and when children fulfill these criteria it is logical to classify them as having ‘juvenile-onset AS’ even if they also meet the criteria for ERA(4).
In contrast to ILAR’s classification, in the criteria of the European Spondyloarthropathy Study Group (ESSG)(7,8), juvenile spondyloarthritis is a separate disease group, with subtypes comparable to those of adult patients. In the early phase of the disease, the majority of cases of JSpA fall into the undifferentiated category, which is called seronegative enthesopathy and arthritis syndrome (SEA). The remaining JSpA – the so-called differentiated forms – comprise 4 entities: juvenile ankylosing spondylitis (JAS), reactive arthritis (ReA), arthritis associated with inflammatory bowel disease (IBD), and juvenile psoriatic arthritis (JPsA)(2,9). As per the classification criteria of ESSG, these require the presence of inflammatory back pain, similar to adults. Unfortunately, it is notoriously difficult to clinically assess this symptom in children(1,2,10,11). The above subtypes in children will rarely begin with involvement of the sacroiliac joints (SIJs) or spine, and rarely will the modified New York criteria be fulfilled(12). Instead, in the early stage, typically peripheral arthritis and enthesitis will be seen. As a result, in the majority of patients, the diagnosis can be delayed by several years (mean 8.3 years)(2,10,13–15).
In this paper we describe the imaging picture of different juvenile spondyloarthritides, including differences and similarities with their analogues in adult SpA.
Imaging of SpA in children usually starts with radiographs, followed by ultrasound and MRI. Typically affected in JSpA are joints and entheses of the lower limbs, such as the knee, hip, and hallux(16,17). Rarely, changes are seen in the upper extremities. Inflammation of the shoulder joint occurs, but the small joints of the hand are rarely affected(10). A unique feature of JSpA is the involvement of the tarsal joints, which is seen in 1/3 of patients at the beginning of the disease(10). Also, characteristic for JSpA is inflammation of joint capsule, fascia and entheses, which are clinically detected in 60–80% of patients(10). The juvenile form of enthesitis is more common than the adult form(16,17). According to clinical data, enthesitis most often occurs within the patellar tendon, Achilles tendon and plantar aponeurosis. However, cases of clinically-evident enthesitis not confirmed by imaging have been published(18–20).
The spectrum of changes seen in peripheral joints using radiography, ultrasound and MRI in early stage of JSpA does not differ from that described in JIA (i.e. synovitis, tenosynovitis, enthesitis, bone marrow edema). Thus differentiating JSpA from JIA in the early stage of the disease is challenging, except for features specific for JSpA, such as enthesitis and asymmetrical large joints oligoarthritis of the lower limbs(16).
Radiographic spine and sacroiliac joint changes are typically not present in early stages(16). If sacroiliitis occurs, similar to adults with SpA, the earliest stages may only be visualized on MRI (Fig. 1). According to the ASAS (Assessment of Spondyloarthritis International Society) criteria used in adults with SpA, patients should have an MRI when a radiograph does not fulfill the modified New York criteria for AS(21). Such criteria have not been established for children and adolescents with JSpA. Furthermore, to date none of the classification criteria or imaging recommendations include MRI for diagnosing early inflammatory changes in axial SpA in children and adolescents(21–23). Bollow et al.(24) used MRI to detect active inflammatory changes in patients with normal radiographs. Tse et al.(10) and Jaremko et al.(25) showed MRI to have a higher sensitivity than radiography in diagnosing sacroiliitis. Lin et al. (13) discovered that in contrast to adults, SI joint synovitis in children could be an independent risk factor of inflammation, without accompanying bone marrow edema (BME). Herregods et al. (26) found that increased fluid signal in the joint cavity, without other imaging features of sacroiliitis (e.g. BME), was insufficient abnormality to confirm the diagnosis of JSpA in children. These are examples of some controversies in MRI of sacroiliitis in children, which suggest that there is a need for more research in this area.

A 14 year-old boy with JSpA: A. ultrasound of the right knee: the right iliotibial band enthesitis is seen, and no more pathologies; normal iliotibial band in the left knee (right site of the image); B. a pelvic AP radiograph: ambiguous bilateral sacroiliitis with suspected dilated joint width – grade 1 or 2 bilaterally; C. an oblique coronal, T2-weighted and fat-suppressed MRI image; D. a T1-weighted fat-suppressed image after contrast injection: intensive BME in the right second segment of the sacrum and a smaller one in the right iliac bone with a signal increase after contrast injection compatible with sacroiliitis; E. 2 years later; a follow-up oblique coronal T2-weighted fat-suppressed MRI image – resolution of the inflammation
In the initial phase, asymmetric unilateral changes may be seen on radiographs, but eventually the classical bilateral, symmetric joint involvement occurs, with erosions, reactive sclerosis and eventually partial ankylosis(17). In most cases, utmost grade 2 of sacroiliitis is seen. Rarely do children progress to sacroiliac fusion. Diffuse osteopenia of the pelvic bones may be seen as a late change due to immobilization(16,17). Very rarely, the spine is involved, but in such cases radiographs may show erosions and sclerosis, particularly at vertebral margins(16).
The disease tends to begin with monoarthritis, usually of the lower limb. Most commonly affected are the knee and hip (Fig. 2, Fig. 3). Characteristic for the early phase of this disease is also inflammation of the metatarsophalangeal (MTP) and interphalangeal (IP) joints of the first toe (Fig. 4). Involvement of the joints of the upper limbs is sporadic; however, in such cases the sterno-clavicular joint may be the first affected in JAS. Sometimes the disease may start with eye inflammation.

Ultrasound in a 17-year-old girl with JAS: A. an image of the sagittal knee suprapatellar recess shows effusions and extensive synovial hypertrophy with mild vascularization; B. thickened, avascular synovium in the hip joint

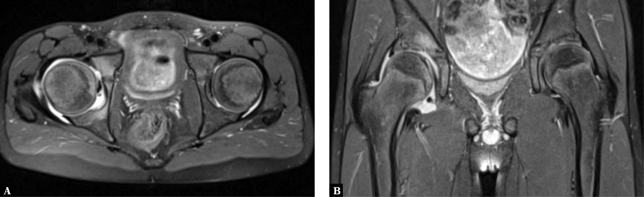
Hips MRI, T2-weighted fat-sat suppressed (FS) images in axial (A) and coronal (B) planes in a 10-year-old boy with JAS shows right joint synovitis and mild BME in the femoral head and acetabulum

First left “sausage” toe in a 9-year-old girl with JAS: A. a clinical image of the girl’s feet with thickened first toe of the left foot; B–E ultrasound of the left foot showing: B. effusions in the tibio-talar joint and talonavicular part of the Chopart joint; C. thickened, vascularized synovium in the Chopart and midfoot joints (tarsitis); D. mild synovitis in the MTP1, and E. mild tenosynovitis of the flexor hallucis longus (FHL) tendon
In peripheral joints, radiographs may show increased density of soft tissues, osteoporosis, and cysts. Erosions occur very rarely, and usually there is no significant destruction of the bones. MRI and US may show features of synovitis, BME and cysts. Enthesopathic lesions typically involve the Achilles tendon and plantar aponeurosis. On radiographs they are seen late in the course of the disease as ossifications of different shapes, with cysts, shallow irregularities or erosions at the bony part of the entheses. On MRI, thickening of the enthesis with abnormal signal may be seen, with enhancement following Gadolinium administration. In the bony portion of the enthesis, there may be BME, cysts and erosions, and surrounding soft tissue edema(18). On US, there may be abnormal echogenicity with loss of the fibrillar pattern and increased vascularity with irregularity of the insertion site.
Sacroiliitis in the early phase of the disease is usually unilateral(15). Lesions are classified on radiographs as grade 1, 2 or 3 according to the New York criteria, whereas ankylosis in children appears infrequently and, if it occurs, it is mostly in young adults. Early stages of sacroiliitis are, like in adults, only seen on MRI(27,28). Spine lesions may include changes of the cervical spine, in the form of destruction of vertebral bodies with consequent rebuilding / remodeling of the bone in later stages of the disease. This may be the sole abnormality within the spine. Squaring of the vertebral bodies, syndesmophytes, ossification of the sacroiliac ligaments and ankyloses of the costovertebral and intervertebral joints, along with spondylodiscitis and atlantoaxial joint lesions, all features commonly encountered in adults, are seen sporadically in children. “Bamboo spine” does not develop in children.
Juvenile psoriatic arthritis (JPsA) is a very peculiar subtype, mostly affecting ANA+ (antinuclear antibodies) girls presenting with dactylitis and peripheral oligo- or polyarthritis at disease onset. The radiographic changes seen in children with this disease differ from those observed in adults because sacroiliitis and spondylitis are rare, and the full gamut of radiographic changes of adult PsA is unusual in children(29,30). Like in JAS, the disease usually begins with monoarthritis, often of the knee joint, or oligoarthritis. Later in the disease course JPsA progresses to oligo- or polyarthritis, with asymmetrical changes of joints in the upper and lower extremities. The mean age of onset of this disease is 9 to 10 years, and girls are primarily affected (2.5:1 ratio)(16).
Initially the radiographic image is normal or shows thickening of periarticular soft tissue and periarticular osteoporosis. Like in adults with PsA, radiographs may show periosteal thickening (periostitis) along the shafts of the phalanges and the metacarpal and metatarsal bones. In addition, acro-osteolysis of the nail tuberosity, and distal interphalangeal joint (DIP) involvement with concomitant destruction (cysts and erosions) and proliferative bony lesions may be seen. Eventually, osteolysis and ankylosis may occur(29,31). However, DIP joint changes, which are characteristic of late stage adult PsA, are uncommon in children(17,29).
Thickening and increased density of the finger or toe soft tissues represent dactylitis, or the „sausage finger or toe,” reflecting flexor tenosynovitis and/or edema of the soft tissues along with synovitis (Fig. 5). Tenosynovitis and synovitis are well seen on US and MRI, like in adults with PsA(29). Finally, as in JAS, enthesopathic changes in JPsA could be the only abnormal finding(30).

Clinical and ultrasound images in a 12-year-old girl with JPsA: A. “sausage toe” 2 and 3 of the right foot; B. a US in a transverse view shows active synovitis in the MTP 2 and 3 joints; C. a longitudinal scan shows tenosynovitis of the long flexor of the 2nd toe and tendititis secondary to tenosynovitis seen in color Doppler US
Sacroiliitis may be unilateral and resemble reactive arthritis(17). Spondylitis rarely leads to subluxation in C1/C2 in children; syndesmophytes or parasyndesmophytes, which are typical of adults with PsA, are also seen rarely in children(29,32).
This form of juvenile SpA occurs in children sporadically. The features of this disease are the same as in adults(33). Frequently, eye inflammation is diagnosed. Asymmetrical oligo- or polyarthritis are seen most commonly, as in JPsA, with involvement of large joints of the lower limbs (knee and ankle, but rarely the hip). Sometimes foot dactylitis is seen (Fig. 6).

Right first toe synovitis and tenosynovitis in a 4-year-old girl: a feet AP radiograph (A) and an oblique view of the right foot (B) show increased density of periarticular soft tissues at the MTP1 and IP joints; ultrasound shows active synovitis at these 2 joints (C) and tenosynovitis of the FHL (D)
On radiographs, thickening and increased density of periarticular soft tissues of the affected joints is visible. Periarticular osteoporosis appears during an acute attack, but it could be absent in the chronic inflammation, or present only very discretely. Erosions are initially marginal, then subchondral, finally resulting in the narrowing of the joint spaces. US and MRI may show effusions, synovitis, and finally destructive lesions.
In comparison to adult patients with ReA, enthesopathy occurs infrequently, with the calcaneal tuberosity affected most commonly.
Sacroiliitis is mostly symmetrical and bilateral, and rarely unilateral with the same spectrum of features of other JSpA(16).
Arthritis is the most common extra-intestinal manifestation of IBD(16). This disease occurs in approx. 10% of children with inflammatory bowel disease(16,34,35). There are 2 main subtypes of this form of JSpA: more frequent peripheral form, associated with peripheral joint arthritis, and the more rarely occurring axial form, with involvement of the sacroiliac joints and the spine. The peripheral form usually involves the large joints of the lower limbs, typically the knee and ankle, more rarely the wrists, hands, and shoulders (Fig. 7), usually in an asymmetrical manner(16).

Glenohumeral joint US and MRI in a 17-year-old boy with Crohn’s Diseases: A. an AP radiograph shows numerous cysts in the right humeral head and medial aspect of the neck of the humeral bone, left joint is normal; ultrasound (B–D) shows active synovitis and two small erosions of the humeral head (B), tenosynovitis of the long head of the biceps tendon and (C), deep inactive erosion of the humeral head (D); an MRI T1-weighted fat-suppressed (FS) (E) and postcontrast T1-weighted FS (F) images show BME, a large cyst, multiple erosions, and a postcontrast signal increase within inflammatory lesions
On radiographs, thickening and increased radiodensity of the periarticular soft tissues and periarticular osteoporosis without destruction are seen.
Typical of this disease are enthesopathic changes of the Achilles tendon and the plantar aponeurosis.
Sacroiliitis and spondylitis, although rarely occurring, show the same features as in JAS: symmetric sacroiliitis and more rarely spondylitis, which after many years from the disease onset may lead to squaring of the vertebral bodies and syndesmophyte formation. Sacroiliitis and spondylitis may progress regardless of the control of the underlying bowel disease(16).
Juvenile spondyloarthropathies differ from those seen in adults and, in the majority of patients, manifest with symptoms of monoarthritis or asymmetric oligoarthritis of the lower limbs, sometimes accompanied with enthesopathy. Sacroiliitis and spondylitis are infrequent and usually occur late in the disease course. However, in some children and adolescents the axial disease may start early on. At present, the imaging approach to juvenile sacroiliitis has not been defined and varies between institutions. Some centers will still start with radiographs, others will immediately perform MRI. Unfortunately, there are neither clear guidelines nor criteria which would include MRI for early detection of sacroiliitis in children or adolescents. More research is needed to prove that the use of MRI in children and adolescents with a clinical suspicion of sacroiliitis would enable earlier identification of inflammatory changes, allowing patients to have a tailored treatment approach and monitoring(26–28).