The knee is considered to be one of the largest and most anatomically complex joints in the human body. Therefore, it is predisposed to multiple injuries and overloads. Knee injuries are usually associated with sports, while knee overload is mainly due to work-related activities and obesity(1). Patellofemoral pain, which, according to studies, is more common among physically active individuals, is one of the clinical problems related to the knee(2). Women are more susceptible to overload in this anatomical region(3).
The etiology of patellofemoral pain is multifactorial. Injuries and damage to knee structures are obvious determinants. However, in the absence of injury, the commonly accepted hypothesis is associated with increased compression of articulating patellar and femoral surfaces, and, consequently, premature wear of the articular cartilage(4–8). The patella is a sesamoid for the quadriceps, increasing its power during knee extension(9). This results in considerable forces being transferred through the patella, from one-half of body weight during walk up(10) to 7 times body weight during squatting(11). The direction of the force produced by the quadriceps muscle in the knee is referred to as the Q-angle. It is formed by a line drawn from the anterior superior iliac spine (ASIS) to the center of the patella and a line from the center of the patella to the tibial tubercle(12). A Q-angle >15–20° is considered to be the cause of knee-extensor apparatus dysfunction and patellofemoral pain(13). Some authors also point to an increased risk of patellar chondromalacia(14) as well as patellar dislocation and subluxation(15).
The aim of the study was to perform an ultrasound evaluation of the thickness of articular cartilage covering the medial and lateral femoral condyle in patients with an increased Q-angle.
A total of 31 women aged between 35 and 45 years volunteered for the study. The volunteers experienced no knee pain during the study. A total of 26 women were enrolled in the study (mean age ± SD: 41 ± 3.7 years). A total of 13 patients with Q >15° (mean ± SD: 23.6°± 3) were included in the study group, and 13 patients with Q ≤15° (mean ± SD: 11.6° ± 1.5) were included in the control group. Exclusion criteria were as follows: a history of knee injury, knee surgery or knee pain during the last 4 weeks.
All volunteers were informed about the purpose of the research and gave voluntary informed consent to participate in the study. The study was approved by the Bioethics Committee of the University of Physical Education in Wroclaw and conducted in accordance with the 1975 Helsinki Declaration.
A goniometer was used for Q-angle measurements. The measurements were performed in a supine position with an extended knee and fully relaxed quadriceps muscle. A washable marker was used to mark landmarks for the goniometer: the anterior superior iliac spine (ASIS), the center of the patella and the tibial tubercle. The examined limb was positioned perpendicular to the bed surface on which the volunteers were lying (the line passing through the center of the heel and the second finger was perpendicular to the plane of the table). The measurements were performed for both limbs.
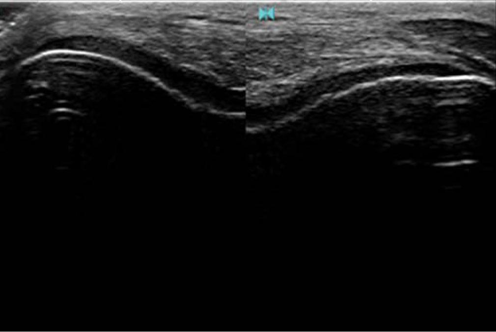
HONDA HS-2200 with 6.0/8.5/11.00 MHz HLS-584M transducer (Honda, Japan) was used for the measurement of articular cartilage covering the medial and lateral femoral condyle. The knee was positioned in the maximum flexion. The transducer was applied transversely just above the patella, perpendicular to the surface of the femoral condyles. The obtained images were used to measure the thickness of homogeneous low echoic or anechoic cartilaginous structure using ultrasound software (Fig. 1). Good repeatability of the measurement of the articular cartilage covering the lateral and medial femoral condyle was shown(16). Both limbs were evaluated by the same operator.

An ultrasound scan showing an articular cartilage layer covering the femoral condyle
STATISTICA 13.1 was used for statistical analysis. The Shapiro–Wilk test was used for the assessment of data distribution normality; the distribution was normal. The differences in the measured parameters were assessed with the ANOVA test for independent samples. The Bonferroni test was used for multiple comparison of cartilage thickness for both condyles. The differences between the assessed parameters were considered significant at p < 0.05.
The obtained results for the thickness of the surface cartilage of the medial femoral condyle (MFC) and the lateral femoral condyle (LFC) in both groups are shown in Table 1. The mean cartilage thickness (+SD) is shown in Table 2.
The thickness of the articular cartilage covering the femoral condyle in patients
| Patients | Articular cartilage thickness [mm] | |||||||
|---|---|---|---|---|---|---|---|---|
| Q >15° | Q ≤15° | |||||||
| LFC | MFC | LFC | MFC | |||||
| LLL | RLL | LLL | RLL | LLL | RLL | LLL | RLL | |
| 1 | RLL | 1.40 | 1.60 | 1.61 | 1.72 | 1.73 | 1.67 | 1.72 |
| 2 | LLL | 1.70 | 2.14 | 2.13 | 1.97 | 2.05 | 1.95 | 2.01 |
| 3 | RLL | 1.07 | 1.64 | 1.70 | 2.33 | 2.49 | 2.37 | 2.41 |
| 4 | LLL | 2.16 | 2.39 | 2.49 | 1.94 | 1.90 | 2.00 | 1.86 |
| 5 | RLL | 1.52 | 1.76 | 2.26 | 1.64 | 1.62 | 1.64 | 1.60 |
| 6 | LLL | 1.71 | 2.04 | 2.13 | 2.44 | 2.38 | 2.41 | 2.36 |
| 7 | RLL | 1.55 | 1.83 | 2.96 | 2.27 | 2.22 | 2.30 | 2.16 |
| 8 | 1.56 | 1.45 | 2.25 | 2.64 | 2.58 | 2.55 | 2.55 | 2.60 |
| 9 | 1.67 | 1.67 | 2.14 | 2.21 | 1.90 | 1.98 | 1.86 | 1.92 |
| 10 | 1.44 | 1.56 | 2.24 | 2.01 | 1.70 | 1.67 | 1.72 | 1.70 |
| 11 | 1.85 | 2.04 | 2.01 | 2.36 | 2.29 | 2.26 | 2.30 | 2.25 |
| 12 | 1.64 | 1.32 | 2.25 | 2.01 | 2.03 | 2.37 | 1.97 | 2.41 |
| 13 | 1.56 | 1.55 | 2.24 | 2.60 | 2.10 | 2.05 | 2.12 | 2.10 |
LFC – lateral femoral condyle
MFC – medial femoral condyle
LLL – left lower limb
RLL – right lower limb
The thickness of the articular cartilage covering the condyles in the Q >15° and Q >15° groups
| Condyle | Articular cartilage thickness [mm] (mean ± SD) | |
|---|---|---|
| Q>15° (n = 13) | Q≤15° (n = 13) | |
| LFC | 1.58 ± 0.25 | 2.08 ± 0.30 |
| MFC | 2.14 ± 0.33 | 2.07 ± 0.30 |
LFC – lateral femoral condyle
MFC – medial femoral condyle
The statistical analysis showed statistically significantly reduced thickness of LFC articular cartilage (p = 0.00) in the Q >15° group. No statistically significant differences were demonstrated for the thickness of MFC articular cartilage (p = 0.47) (Fig. 2).

A relationship between the thickness of condyle articular cartilage and the Q-angle
Ultrasonography has become a widely used imaging modality for the assessment of the musculoskeletal system due to its easy availability, short scan time and low costs. Recent technological improvements have rendered the technique increasingly precise and widely used in a number of clinical indications. Ultrasound allows for a good visualization of knee structures such as muscles, ligaments, periarticular tissues and fluid cisterns(17–19). It should be noted that magnetic resonance imaging is the method of choice for the meniscus, anterior cruciate ligament, bone marrow or articular surfaces inside the joint(20–24). However, femoral cartilage defects or thinning may be visualized and detected using ultrasonography(25,26).
Our findings indicate statistically significantly reduced thickness of LFC articular cartilage in women with an increased Q-angle. This may be due to increased compression imposed by the patellar cartilage on this condyle. The patellar movement in the patellofemoral joint has been widely described in different studies. Most of these studies indicate that the patella moves laterally and rotates medially during knee flexion(26–28). Interesting findings were presented by Mizuna et al.(27) An increase in the Q-angle in an in vitro setting led to lateral patellar movement and, consequently, increased patellar compression on the lateral condyle. A decrease in the Q-angle resulted not only in medial patellar shift, but also increased medial compression. Our findings extend this knowledge, pointing to structural changes in the patellofemoral joint in women with an increased Q-angle in an in vivo setting.
A small sample size was one of the limitations hindering clinical inference in the presented work. The number of patients should be higher in future research devoted to this issue. Furthermore, the Q-angle and patellar position within the joint also depend on other factors, such as the antetorsion of the femur, pelvic width and other anthropometric measurements, patellar tendon tension or knee ligament tension. All these factors should be considered in order to increase the clinical value of further studies.
The thickness of the articular cartilage on the lateral femoral condyle is lower than that of the medial femoral condyle in women aged between 35 and 45 years with the Q-angle >15°.