Have a personal or library account? Click to login
The role of ultrasonography in methotrexate therapy for ectopic pregnancy Cover

The role of ultrasonography in methotrexate therapy for ectopic pregnancy

By: Piotr Czuczwar  
Open Access
|Aug 2018

Figures & Tables

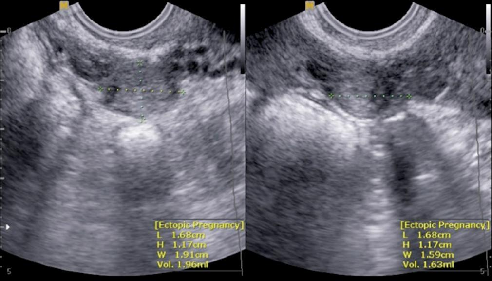
Fig. 1.

TVS of an ectopic mass consistent with EP of 19 mm. In terms of its size, the mass meets the eligibility criteria for MTX therapy
TVS of an ectopic mass consistent with EP of 19 mm. In terms of its size, the mass meets the eligibility criteria for MTX therapy

Fig. 2.

TVS of a patient diagnosed with EP shows a large amount of free fluid. Not eligible for MTX therapy
TVS of a patient diagnosed with EP shows a large amount of free fluid. Not eligible for MTX therapy
DOI: https://doi.org/10.15557/jou.2018.0023 | Journal eISSN: 2451-070X | Journal ISSN: 2084-8404
Language: English
Page range: 158 - 161
Submitted on: Nov 13, 2017
|
Accepted on: Jun 29, 2018
|
Published on: Aug 31, 2018
In partnership with: Paradigm Publishing Services
Publication frequency: 4 issues per year

© 2018 Piotr Czuczwar, published by MEDICAL COMMUNICATIONS Sp. z o.o.
This work is licensed under the Creative Commons Attribution-NonCommercial-NoDerivatives 4.0 License.