Have a personal or library account? Click to login
Ultrasound screening for pyelectasis in pregnant women. Clinical necessity or “art for art’s sake”? Cover

Ultrasound screening for pyelectasis in pregnant women. Clinical necessity or “art for art’s sake”?

By: Piotr Szkodziak  
Open Access
|Aug 2018

Figures & Tables

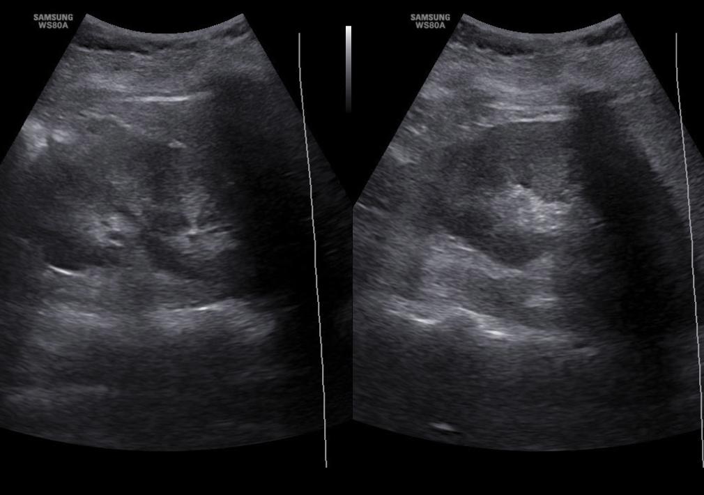
Fig. 1.

Ultrasound assessment of the right kidney. Longitudinal section of the organ on the right, transverse section on the left. On both images a hypoechoic area consistent with the dilatation of the renal pelvis is visible in the middle of the central field
Ultrasound assessment of the right kidney. Longitudinal section of the organ on the right, transverse section on the left. On both images a hypoechoic area consistent with the dilatation of the renal pelvis is visible in the middle of the central field

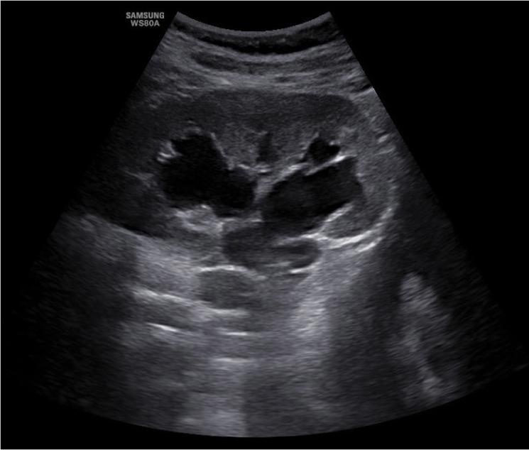
Fig. 2.

Ultrasound assessment of the right kidney (longitudinal section). Visible dilatation of the pelvis and major calyces
Ultrasound assessment of the right kidney (longitudinal section). Visible dilatation of the pelvis and major calyces

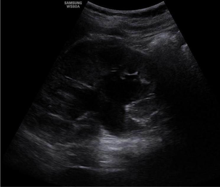
Fig. 3.

Ultrasound assessment of the right kidney (longitudinal section). Visible dilatation of the pelvis and of major and minor calyces
Ultrasound assessment of the right kidney (longitudinal section). Visible dilatation of the pelvis and of major and minor calyces

Fig. 4.

Three-dimensional ultrasound assessment of urine retention volume in the pelvicalyceal system. The VOCAL software has been used for volume calculations. Estimated pelvicalyceal volume = 9.95 cm3. The case presented in Fig. 1
Three-dimensional ultrasound assessment of urine retention volume in the pelvicalyceal system. The VOCAL software has been used for volume calculations. Estimated pelvicalyceal volume = 9.95 cm3. The case presented in Fig. 1

Fig. 5.

Three-dimensional ultrasound assessment of urine retention volume in the pelvicalyceal system. The VOCAL software has been used for volume calculations. Estimated pelvicalyceal volume = 13.74 cm3. The case presented in Fig. 2
Three-dimensional ultrasound assessment of urine retention volume in the pelvicalyceal system. The VOCAL software has been used for volume calculations. Estimated pelvicalyceal volume = 13.74 cm3. The case presented in Fig. 2

Fig. 6.

Three-dimensional ultrasound assessment of urine retention volume in the pelvicalyceal system. The VOCAL software has been used for volume calculations. Estimated pelvicalyceal volume = 32.66 cm3. The case presented in Fig. 3
Three-dimensional ultrasound assessment of urine retention volume in the pelvicalyceal system. The VOCAL software has been used for volume calculations. Estimated pelvicalyceal volume = 32.66 cm3. The case presented in Fig. 3
DOI: https://doi.org/10.15557/jou.2018.0022 | Journal eISSN: 2451-070X | Journal ISSN: 2084-8404
Language: English
Page range: 152 - 157
Submitted on: Jan 3, 2018
|
Accepted on: Jun 29, 2018
|
Published on: Aug 31, 2018
In partnership with: Paradigm Publishing Services
Publication frequency: 4 issues per year

© 2018 Piotr Szkodziak, published by MEDICAL COMMUNICATIONS Sp. z o.o.
This work is licensed under the Creative Commons Attribution-NonCommercial-NoDerivatives 4.0 License.