Have a personal or library account? Click to login
Anomalous origin of the right coronary artery from the main pulmonary artery treated surgically in a 6-week-old infant. A case report and review of the literature Cover

Anomalous origin of the right coronary artery from the main pulmonary artery treated surgically in a 6-week-old infant. A case report and review of the literature

Open Access
|Mar 2018

Full Article

Introduction

Anomalies of the coronary arteries, and especially their abnormal origin from the pulmonary artery (ARCAPA) trunk, are among the least common but at the same time the most dangerous congenital heart defects. They are associated with the risk of severe ischemia or even myocardial infarction, dangerous arrhythmias, chronic circulatory failure and sudden death(1). At the same time, anatomical abnormalities of the coronary arteries are subtle and thus extremely difficult to visualize, especially in patients in whom permanent extensive damage of the cardiac muscle has not yet occurred. For this reason, the diagnosis is usually established when the disease is highly advanced, oftentimes only postmortem(1,2).

In the present paper, the authors describe a case of anomalous origin of the right coronary artery from the main pulmonary artery diagnosed in a 5-week-old infant who was deemed eligible for surgical treatment based solely on echocardiography.

Case presentation

A female child, born from pregnancy 2 and delivery 2 at term (39 weeks of gestation, birth body mass 2830 g) with Apgar score 10. In the course of repeated intrauterine prenatal ultrasound examinations (weeks 12, 20, 24, 26 and 28 of gestation), the fetus was diagnosed with circulatory system abnormalities manifested as two-vessel umbilical cord, ductus venosus agenesis, aberrant right subclavian artery (ARSA) and polycystic right kidney. Echocardiography performed in the second day after birth demonstrated the presence of foramen ovale and grade I/II mitral regurgitation. The above described vascular and nephrological abnormalities combined with distinct facial dysmorphic features, such as short neck, periauricular tags, slight exophthalmus (ophthalmological examination demonstrated corneal opacity in the left eye with fragmentary ingrown blood vessel) resulted in a search for the genetic background. Genetic consultation showed a normal karyotype. In addition, anti-KELL antibodies were detected in the mother, but the child showed no hematological disturbances. The newborn girl was followed-up in a specialist outpatient clinic and demonstrated normal development without any alarming signs associated with the circulatory system. In view of the entire clinical picture and mitral regurgitation without any tangible morphological background detected in the initial examination, an early (at 5 weeks of age) echocardiographic follow-up was planned. The examination for the first time showed anomalous origin of the right coronary artery from the pulmonary artery (ARCAPA) (Fig. 1 and Fig. 2). Echocardiography demonstrated intensive outflow from the distended right coronary artery to the pulmonary artery trunk, as well as intensified flow from the aorta to the left coronary artery and its branches. However, no restricted contractibility was noted in any ventricular muscle zones; the previously detected mitral regurgitations were not detected either.

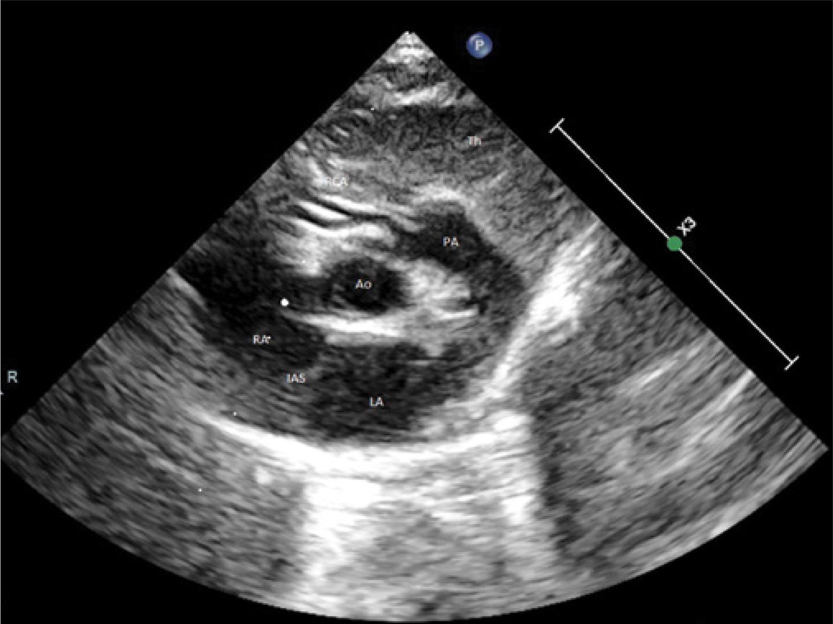
Fig. 1

Origin of the right coronary artery from the pulmonary artery visualized in ECHO 2D, in modified cross-sectional vascular parasternal projection. PA – pulmonary artery, Ao – cross-section of the initial segment of the ascending aorta, RCA – right coronary artery, LA – left atrium, RA – right atrium, Th – thymus, IAS – interatrial septum

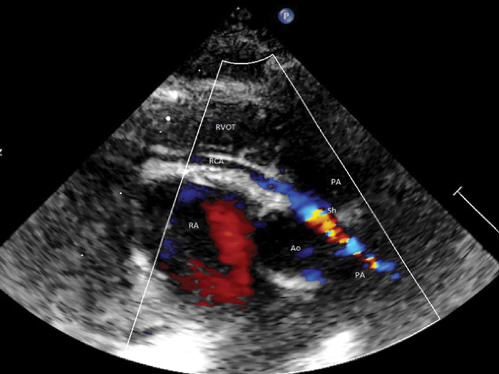
Fig. 2

Preoperative ECHO. Modified cross-sectional parasternal vascular projection. See the inflow from the right coronary artery to the pulmonary artery. Ao – cross-section of the ascending aorta, PA – pulmonary artery trunk, RCA – right coronary artery, RVOT – right ventricular outflow tract, RA – right atrium, Sh – RCA-PA shunt.

The infant was referred to the Department of Cardiac Surgery for surgical correction. Following the analysis of the previous examinations and verification of the diagnosis performed by the team from the Department, the girl was deemed eligible for cardiosurgical treatment. The operation was performed using the median sternotomy approach and cardiopulmonary bypass. The aorta and right atrium were cannulated employing a single stage venous cannula. Moderate hypothermia of 32ºC (rectum) was used. Following the aorta (Ao) and main pulmonary trunk (MPA) clamping, crystalline cardioplegia was administered to both arterial trunks. The MPA was dissected open – the right coronary artery (RCA) opening from the right anterior Valsalva sinus was identified. The RCA opening was dissected free from the MPA with a vascular wall margin of approximately 8 x 8 mm. The ascending aorta was incised obliquely just above the Ao valve and the incision was extended towards the right coronary sinus. The posterior segment of the incision was extended posteriorly, thus achieving a free Ao wall flap approximately 6x3 mm in size. The RCA opening was rotated and sutured to the incision in the ascending aorta. The MPA wall defect was closed with a CorMatrix patch. Follow-up epicardial echocardiography demonstrated normal inflow to the RCA from the Ao (Fig. 3). Discontinuation of the cardiopulmonary bypass was uneventful. Postoperatively, no ventricular systolic dysfunctions were observed; there were no arrhythmia or signs of circulatory failure. The child was discharged after 14 days. Follow-up echocardiography performed on postoperative day 18 demonstrated laminar aortopulmonary flow in the transplanted right coronary artery (Fig. 4), normal mitral valve function and normal ventricular systolic function. The child is followed-up by the Department of Cardiology, Medical University of Warsaw.

Fig. 3

Epicardial intraoperative imaging visualizing the flow in the right coronary artery implanted to the aortic bulb of the right coronary artery. Presently, the flow directed upward is uniform red color-coded (laminar flow). PA – pulmonary regurgitation filling the outflow tract from the right ventricle. Ao – cross-section of the aortic bulb, RCA – right coronary artery

Fig. 4

Postoperative ECHO. The initial segment of the right coronary artery in postoperative examination (18 days postoperatively). In order to achieve appropriate resolving power, a linear transducer was employed along with the color Doppler scale allowing representation of low flow rates (0.15m/s). Due to the arched course of the coronary artery making it impossible to capture the entire initial segment in a single image, two image frames are presented visualizing the consecutive fragments of the vessel. Uniform, laminar flow from the aorta (red color-coded) was visualized along the entire length of the examined vessel. Ao – aortic bulb, PA – initial segment of the pulmonary trunk, RCA – right coronary artery

Discussion

Congenital defects of the coronary arteries are noted in 0.2–1.4% of the general population (1,3,4). The most dangerous malformations include anomalous origin of the main coronary arteries, especially the left one, from the pulmonary artery trunk (ALCAPA). In such patients, a physiological decrease in pulmonary resistance within several days or weeks leads to decreased perfusion pressure in the abnormally branching coronary artery and impaired blood supply to the relevant part of the cardiac muscle. Due to the significant pressure gradient between the branches of the normal and pathological-origin arteries, natural connections between the said arteries become open; thanks to the development of collateral circulation, it is possible to partially preserve the coronary perfusion of the pathological site from the artery with the normal origin, but in consequence, blood escapes through the abnormal artery to the pulmonary trunk(1,5). Finally, particularly in the case of ALCAPA where blood supply impairment predominantly involves the thick-walled high-pressure left ventricle, severe ischemia or even extensive myocardial infarction develop. The course is usually insidious, since coronary perfusion reduction progresses gradually with decreasing pulmonary resistance; at the same time, early symptoms of ischemia manifested as stenocardiac pain are extremely difficult to be properly interpreted in the neonatal period and early childhood. For this reason, the diagnosis is usually established when the disease is highly advanced and the patient presents with symptoms of overt circulatory failure. More rarely – in 0.002% of the population(24,6) – anomalous origin of the right coronary artery from the main pulmonary artery (ARCAPA) is characterized by a milder course, which could most likely be associated with a different physiology of the coronary perfusion in the low-pressure left ventricle(7), but it should be emphasized that also in this form, ARCAPA is associated with a risk of sudden death: a great number of ARCAPA cases were diagnosed in postmortem examinations of individuals from various age groups, who died suddenly and in whom pathomorphology revealed cardiac muscle necrosis(2,7). The abnormal cardiac muscle structure was visualized in intravital imaging studies, especially in adult patients(4,810). Delayed diagnosis of congenital abnormalities involving coronary arteries is associated not only with the insidious, initially oligosymptomatic course of the disease, but also with difficult echocardiographic visualization of the vessels in young children(11,12). The arteries are narrow and thin-walled, their course runs in the close vicinity to the arterial trunks and pericardium and, therefore, the images of these structures overlap and are blurred. Oftentimes, the pathological origins are situated close to the expected location of the normal origins, what creates a risk of producing falsely positive images. Initially non-accelerated blood flow inside the coronary arteries may be registered by means of color Doppler echocardiography only when low-scale color mapping and high enhancement are employed, which results in the formation of intense artifacts and decreases the sensitivity of the method. For this reason, in routine echocardiography, the flow in the coronary arteries is usually not evaluated. The width of the coronary arteries and the intensity of their filling with color increase significantly with decreasing pulmonary resistance and increasing degree of blood stealing and, by the same token, with an increase in the volume of blood flowing through the pathological vessels. In this phase of the disease, it is easier to visualize abnormalities, but it is necessary to exercise vigilance and observe the rule of routine thorough examination of the initial segments of the coronary trunks also in such cases. This rule is particularly valid in the case of patients presenting with symptoms suggestive of cardiac muscle ischemia, such as impairment of the ventricular systolic function, cardiac cavity enlargement and finally ischemic mitral regurgitation(1113).

The above presented difficulties result in the fact that only fewer than twenty cases of isolated ARCAPA have been described to date in children below two years of age(1322). An additional diagnostic problem is posed by the fact that approximately 40% of ARCAPA cases occur concomitantly with other congenital defects, such as tetralogy of Fallot, aorto-pulmonary window, bicuspid aortic valve, partial anomalous pulmonary venous drainage, septal defects and aberrant right subclavian artery(2,4,6,14,2124). Especially in cases involving increased pressure and flow volume in the pulmonary artery, perfusion pressure in the RCA does not drop below the critical level and, in consequence, no wide interaortic connections are formed and there is no distinct blood flow from the RCA to the pulmonary artery (PA). Hence, it is difficult to diagnose a coronary anomaly not only using imaging methods, but also in a direct way during surgical correction of the primary heart defect, as it happens in the case of ARCAPA concomitant with non-restrictive ventricular septal defect and atrial septal defect(23). ARCAPA was diagnosed only 2.5 years after the primary correction, when the child again developed symptoms of circulatory failure secondary to a large RCA-PA shunt. Diagnostic methods such as computed tomographic angiography, nuclear magnetic resonance or invasive coronarography are characterized by higher sensitivity and specificity as compared to echocardiography(2530), but are also a greater burden for the child; that is why, contrary to echocardiography, they are not performed as first-line examinations in diagnostic management of coronary anomalies. They are of a decisive importance, particularly in patients demonstrating symptoms of myocardial ischemia, such as ventricular systolic dysfunction or cardiomegaly and atrio-ventricular valve dysfunction, when echocardiography does not provide an unambiguous explanation of their cause. In all the below listed reports, definitive diagnosis and eligibility for cardiosurgical treatment were based on these very examinations (in various sequences), with the role of echocardiography being limited at best to arouse suspicion and give direction to further diagnostic management.

With infrequent exceptions, typical clinical symptoms of coronary and circulatory failure in the course of ARCAPA become evident in later periods of life. In infants and young children, this anomaly is most commonly identified in the course of diagnostic management of cardiac murmur, arrhythmias, infections and abnormal physical development; in slightly older children, it is diagnosed due to non-specific chest pains(2529). In addition, adult patients often present with non-characteristic symptoms, such as pain in the right chest that is associated with physical exercise in a variable manner, or with non-specific changes in ventricular repolarization detected in ECG; only very thorough diagnostic management does lead to establishing a correct diagnosis(810,30).

In the presented case, echocardiographic follow-up examination was performed early because of moderate mitral regurgitation detected in echocardiography on the second day of life; such a finding in a newborn is always alarming. The general state of the child and the remaining echocardiographic findings (patent foramen ovale, abnormal course of the right subclavian artery) did not explain the mitral dysfunction and that is why, due to inability to find a tangible reason, a decision was made to repeat the evaluation promptly. As soon as after 5 weeks, the picture of ARCAPA was evident: the 2D presentation showed the opening of a wide right coronary artery to the proximal segment of the pulmonary artery trunk (in the region of the right Valsalva sinus), as well as left coronary artery distension. Color Doppler echocardiography demonstrated intense flow from the pathological artery to the pulmonary artery trunk, increased aortic flow from the left coronary artery, as well as sinuous, vivid flows within the interventricular septum and free wall of the right ventricle that corresponded to emerging collateral vessels. The signs of a high degree of blood stealing from the coronary circulation by the right coronary artery to the pulmonary trunk were recognized as a significant risk factor of complications and therefore, in spite of the absence of evident signs of ischemic cardiac muscle damage, a decision was reached to perform corrective surgery. The echocardiographic image of the defect did not raise any doubts, and it was therefore decided not to attempt other imaging studies; the child was deemed eligible for implantation of the right coronary artery opening to the right Valsalva sinus.

It should be emphasized that early results of surgical treatment of isolated ARCAPA, found in the literature, are very good. A case of death concerned a patient with a complex heart defect (tetralogy of Fallot with pulmonary atresia(6)). On the other hand, as it follows from the available literature, the risk of sudden and unexpected development of significant complications, including sudden death, is considerably high, hence the common view shared by all the cited authors that the treatment of choice in ARCAPA is reimplantation of the right coronary artery to the aorta, also in the neonatal period and in infancy. In the case of elderly patients or those suffering from concomitant health-associated problems, consideration is also given to the closure of the pathological artery in order to prevent blood stealing from the coronary bed or – in exceptional instances – to the departure from causal treatment(10). In all the remaining cited publications, a decision was reached to perform the correction. It should be emphasized that in spite of the rapidly increasing number of reports addressing diagnostic and therapeutic management of the defect, the observed group of patients continues to be small (even large centers report single cases only), and the postoperative follow-up period is too short to allow a reliable statistical analysis of surgical results. The available material indicates a high variability in the course of the disease – starting from the rare presentation in the neonatal period to completely incidental diagnosis in elderly patients. The importance of the range of cardiac muscle vasculature provided by the pathological artery is stressed. When the left coronary artery is dominant, it also provides blood supply to the extensive portion of the left ventricular muscle, and thus a more severe clinical course is suggested in such patients. In view of the low total number of described cases, there is no evidence pointing to the potentially favorable anatomical variant that could justify the wait-and-see attitude and surgical treatment delay. For this reason, in the presented case, it was not deemed necessary to establish preoperatively which coronary artery was dominant, which would require extending the diagnostic management to include one of angiographic methods. Some light is cast on the possible postoperative course by long-term follow-up of a large group of patients after anatomical correction of transposition of the great arteries, which includes reimplantation of the coronary arteries to the neoaorta. Also in the case of ARCAPA correction, one should avoid excessive tension and bending of the implanted coronary artery and also anticipate thrombotic problems and late stenosis of the implanted vessel. In the analyzed material, two such cases were presented(6,31). In one case(31), recurrent thrombosis occurred in a 21-year-old male patient twice in the left coronary artery with a normal origin, which was considered a consequence of the decreased flow in the previously excessively perfused artery. This unexpected complication led the authors to pose a question whether reimplantation of the right coronary artery is indeed the optimal technique of ARCAPA correction if, in consequence of the treatment, there might occur sudden stenosis of the hitherto normal left coronary artery. Thrombotic problems developing in patients operated on late, and thus with a long-term defect, appear to be an additional argument for a possibly early correction. In both described cases of thrombosis, antithrombotic medications restored the patency of the involved coronary artery. Irrespectively of the patient’s age at which the operation is performed, individuals after ARCAPA correction must be subjected to systematic, long-term cardiological follow-up.

Ethics approval and consent to participate

This is a case report based on existing patient data. Parental consent was obtained for the representation of the clinical data of the child without disclosing the child’s image and personal details.

DOI: https://doi.org/10.15557/jou.2018.0011 | Journal eISSN: 2451-070X | Journal ISSN: 2084-8404
Language: English
Page range: 71 - 76
Submitted on: Oct 15, 2017
Accepted on: Feb 14, 2018
Published on: Mar 30, 2018
Published by: MEDICAL COMMUNICATIONS Sp. z o.o.
In partnership with: Paradigm Publishing Services
Publication frequency: 4 issues per year

© 2018 Krzysztof Grabowski, Maciej Aleksander Karolczak, Ewa Zacharska-Kokot, Wojciech Mądry, Jacek Pająk, published by MEDICAL COMMUNICATIONS Sp. z o.o.
This work is licensed under the Creative Commons Attribution-NonCommercial-NoDerivatives 4.0 License.