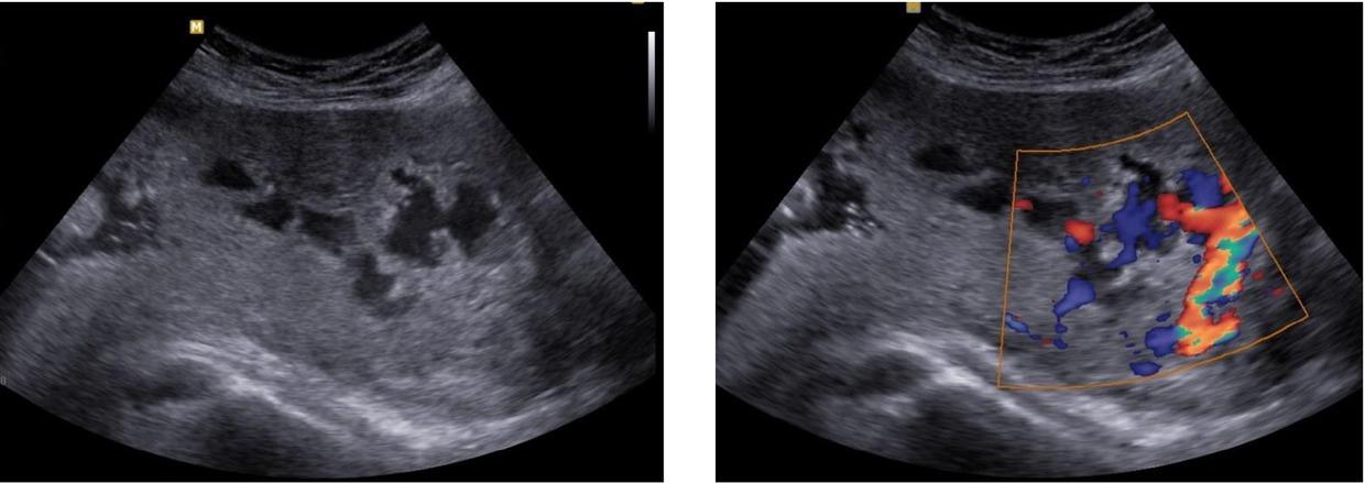
Fig. 1

Fig. 2

Comparison of the two study groups regarding the number of vessels in the placenta, size and number of echolucent zones with/without color flow at different sites
| Variables | Patients with morbidly adherent placenta (mean ± SD) | Patients without morbidly adherent placenta (mean ± SD) | P value |
|---|---|---|---|
| Size of the largest echolucent areas at the fetal surface (mm) | 21.3 ± 8.1 | 15.42 ± 11.68 | 0.001 |
| Size of the largest echolucent areas at the non-fetal surface (mm) | 19.4 ± 7.04 | 9.21 ± 10.64 | <0.001 |
| Size of the largest echolucent areas extended to both surfaces (mm) | 21 ± 15.3 | 7.77 ± 14.41 | <0.001 |
| Size of the largest echolucent areas enclosed in placenta (mm) | 16.93 ± 7.34 | 11.63 ± 7.60 | 0.01 |
| Size of the largest echolucent area at any site (mm) | 29.4 ± 8.4 | 21.66 ± 12.83 | 0.004 |
| Number of echolucent areas at the fetal surface | 4.86 ± 2.89 | 2.49 ± 2.08 | <0.001 |
| Number of echolucent areas at the non-fetal surface | 3.53 ± 3.39 | 1.11 ± 1.29 | <0.001 |
| Number of echolucent areas extended to both surfaces | 1.0 ± 0.84 | 0.40 ± 0.87 | 0.001 |
| Number of echolucent areas enclosed in placenta | 9.06 ± 2.40 | 5.10 ± 4.26 | <0.001 |
| Total number of intraplacental echolucent areas* | 18.40 ± 6.78 | 9.12 ± 6.45 | <0.001 |
| Number of echolucent areas with flow at the fetal level | 1.86 ± 1.55 | 0.06 ± 0.28 | <0.001 |
| Number of echolucent areas with flow at the non-fetal level | 1.4 ± 1.24 | 0.08 ± 0.39 | 0.01 |
| Number of echolucent areas with flow extended to both surfaces | 0.73 ± 0.70 | 0.04 ± 0.25 | <0.001 |
| Number of echolucent areas with flow enclosed in placenta | 4.33 ± 5.12 | 0.06 ± 0.31 | <0.001 |
| Total number of intraplacental echolucent areas with flow* | 7 ± 3.6 | 0.24 ± 0.76 | <0.001 |
| Number of vessels in placenta | 5.53 ± 1.68 | 2.39 ± 2 | <0.001 |
Sensitivity and specificity of echolucent areas in predicting morbidly adherent placenta
| Variables | Amount | Sensitivity | Specificity |
|---|---|---|---|
| Total number of intraplacental echolucent areas with flow | >2 | 0.93 | 0.98 |
| Total number of intraplacental echolucent areas | >13 | 0.86 | 0.80 |
| Size of the largest echolucent area in non-fetal part | >11 | 0.93 | 0.66 |