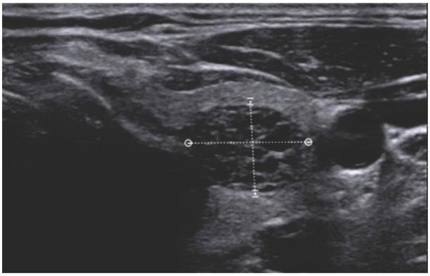
Fig. 1

Fig. 3

Fig. 5

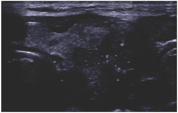
Fig. 2

Fig. 4

Fig. 6

Comparison of diagnostic parameters of the K-, ACR- and EU-TIRADS classification in relation to the cut-off point for category 4 or 5(23)
| Category 4 or 5 | Sensitivity (%) | Specificity (%) |
|---|---|---|
| K-TIRADS | 89 | 64 |
| ACR-TIRADS | 95 | 55 |
| EU-TIRADS | 96 | 52 |
Comparison of diagnostic parameters of the K-, ACR- and EU-TIRADS classification in relation to the cut-off point for category 4 or 5(22)
| Category 4 or 5 | Sensitivity (%) | Specificity (%) |
|---|---|---|
| K-TIRADS | 92 | 61 |
| ACR-TIRADS | 95 | 49 |
| EU-TIRADS | 96 | 48 |
Comparison of diagnostic parameters of K-, ACR- and EU-TIRADS classification in relation to the cut-off point for category 5(23)
| Category 5 | Sensitivity (%) | Specificity (%) |
|---|---|---|
| K-TIRADS | 55 | 95 |
| ACR-TIRADS | 66 | 91 |
| EU-TIRADS | 82 | 90 |
EU-TIRADS classification according to the recommendations of the European Thyroid Association (2017)
| Category EU-TIRADS | Type of change | Risk of malignancy | Indications for biopsy |
|---|---|---|---|
| 1 | without focal changes | close to 0% | not recommended |
| 2 | anechogenic mixed solid-cystic with spongiform structure | close to 0% | not recommended (exception: therapeutic biopsy in symptomatic patients, e.g. cyst emptying) |
| 3 | oval shape isoechogenic regular or margins hyperechogenic without high-risk ultrasound features | 2–4% | >20 mm |
| 4 | oval shape slightly regular hypoechogenic margins without high-risk ultrasound features | 6–17% | >15 mm |
| 5 | deeply hypoechogenic shape irregular other margins than oval microcalcifications | 26–87% | >10 mm |
Sensitivity, specificity, LR(+), LR(-), DOR, AUC for individual TIRADS qualifications
| TIRADS classification | Number of tests | Sensitivity (95% CI) | Specificity (95% CI) | LR(+) (95% CI) | LR(-) (95% CI) | DOR (95% CI) | AUC |
|---|---|---|---|---|---|---|---|
| ACR-TIRADS | 13 | 0.85 (0.84–0.86) | 0.68 (0.6–0.69) | 2.98 (2.37–3.75) | 0.22 (0.16–0.29) | 15.23 | 0.8553 |
| EU-TIRADS | 4 | 0.85 (0.83–0.87) | 0.61 (0.59–0.62) | 2.84 (1.43–5.64) | 0.21 (0.13–0.34) | 13.18 | 0.8810 |
| K-TIRADS | 4 | 0.85 (0.83–0.86) | 0.47 (0.46–0.48) | 2.60 (1.2–5.57) | 0.18 (0.08–0.39) | 14.57 | 0.9022 |
| Kwak-TIRADS | 6 | 0.94 (0.94–0.95) | 0.62 (0.6–0.63) | 3.23(0.90–11.61) | 0.08 (0.04–0.16) | 43.15 | 0.9101 |
Comparison of the diagnostic parameters of the K-, ACR-and EU-TIRADS classifications against the cut-off point for category 5(22)
| Category 5 | Sensitivity (%) | Specificity (%) |
|---|---|---|
| K-TIRADS | 64 | 93 |
| ACR-TIRADS | 70 | 89 |
| EU-TIRADS | 78 | 89 |
ACR TI-RADS classification – ultrasound features and their score values
| Ultrasound features | Ultrasound scoring characteristics Details of US characteristic with point values |
|---|---|
| Morphology | cystic = 0 |
| spongiform = 0 | |
| mixed cystix and solid = 1 | |
| solid = 2 | |
| indeterminate = 2 | |
| Echogenicity | anechogenic = 0 |
| isoechogenic = 1 | |
| hyperechogenic = 1 | |
| heterogeneous = 1 | |
| hypoechogenic = 2 | |
| deeply hypoechogenic = 3 | |
| Shape | wider than tall = 0 |
| taller and wide = 3 | |
| Margins/borders | smooth = 0 |
| ill-defined = 0 | |
| cannot be determined = 0 | |
| lobulated or irregular = 2 | |
| extra-thyroidal extension = 3 | |
| Hyperechogenic | none = 0 |
| areas | comet tail artefacts = 0 |
| macrocalcifications = 1 | |
| peripheral (rim) calcifications = 2 | |
| punctate echogenic foci (microcalcifications) = 3 | |
Head-to-head comparison of relative diagnostic odds ratio (RDOR) with CI 95%
| ACR-TIRADS | EU-TIRADS | K-TIRADS | Kwak-TIRADS | |
|---|---|---|---|---|
| ACR-TIRADS | - | 0.7308 (0.3000–1.7803) | 0.5734 (0.2759–1.1919) | 0.5564 (0.2552–1.2131) |
| EU-TIRADS | 1.3683 (0.5617–3.3332) | - | 0.7846 (0.3075–2.0020) | 0.7614 (0.2498–2.3208) |
| K-TIRADS | 1.7439 (0.8390–3.6247) | 1.2745 (0.4995–3.2518) | - | 0.9703 (0.3697–2.5466) |
| Kwak-TIRADS | 1.7972 (0.8243–3.9183) | 1.3138 (0.4309–4.0035) | 1.0306 (0.3927–2.7048) | - |