Branchial anomalies are the result of incomplete obliteration of the branchial arch structures during embryogenesis(1). During the course of normal development, the second branchial arch fuses with the third and fourth arches to form the cervical sinus and later disappears. Incomplete obliteration of this structure may result in cyst, sinus tract, or fistula formation(2). Second branchial arch anomalies, which account for 95% of all cases, are commonly found on the lower third of the neck, with an opening at the anterior border of the sternocleidomastoid muscle (SCM), and may drain secretions or purulent material. Various radiologic methodologies can be used to evaluate these lesions including ultrasonography, computed tomography (CT), and magnetic resonance imaging (MRI)(1). Second branchial cleft cysts have been described as compressible, well-circumscribed, thin-walled, anechoic structures on ultrasound imaging(3). This case demonstrates the use of handheld point-of-care ultrasound to aid in the diagnosis of a branchial anomaly.
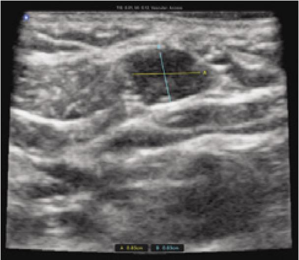
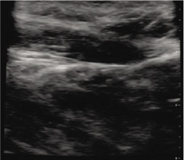
A 31-year-old female with no past medical history presented to the emergency department with the chief complaint of a “hole” in her neck that had been present since childhood, with no previous workup or diagnosis. The patient described intermittent, clear fluid of varying consistency draining from the site. She denied any recent illness, fever, pain, swelling, numbness, dysphagia, and dysphonia. Her speech was clear without hoarseness. On examination, a small, approximately 2 mm defect in the skin of the right lower neck, located just anterior to the SCM, was present. The skin around the area was normal in color, without erythema or purulent drainage, and was smooth to light palpation, with no mass appreciated on deep palpation (Fig. 1). No cervical lymphadenopathy was present. Cranial nerve examination was within normal limits. A handheld ultrasound system was used to evaluate the area of interest with a single, multi-frequency, capacitive micro-machined ultrasonic transducer (manufacturer: Butterfly IQ). A vascular access setting, roughly equivalent to a high-frequency linear piezoelectric transducer, was used to identify a well-defined, hypoechoic, heterogeneous, cyst-like structure with a thin, enhancing rim and moderate posterior acoustic enhancement that had a short axis length greater than 0.83 cm × 0.63 cm, and was approximately 0.4 cm deep to the skin at the most superficial aspect (Fig. 2 and Fig. 3). Color flow Doppler did not demonstrate any blood flow within the structure. After thorough ultrasound evaluation, a fistula tract was unable to be visualized; however, given the history of secretions and the presence of an obvious skin defect overlying the structure, a fistula tract to the underlying structure was felt to be likely present. Given the history, physical examination findings, and point-of-care ultrasound imaging, the diagnosis of a second branchial cleft sinus was made. The patient provided written consent for images and publication of this case.
Fig. 1
Anterior aspect of the patient’s neck demonstrating a small defect in the skin

Fig. 2
Short-axis view of a second branchial cleft cyst

Fig. 3
Long-axis view of second branchial cleft cyst

About 95% of branchial anomalies arise from the second cleft, and are usually found along the anterior SCM border in the lower third of the neck; however, they can develop at any point along the second branchial arch tract(3). Fistulas and sinus tracts openings in the lower neck along the anterior SCM border are usually diagnosed in childhood, and are accompanied by chronic drainage(1). Conversely, cystic structures often present during adulthood as a soft, non-tender, asymptomatic mass, but may increase in size or become painful if infected. This may lead to dyspnea, dysphagia, and dysphonia(4). The incidence of head and neck cancers presenting as neck masses has increased; therefore, it is essential for clinicians to differentiate between benign and malignant cystic lesions to prevent delays in diagnosis and tumor spread(5, 6).
Currently, no definitive guidelines for the diagnosis of branchial arch anomalies exist. Ultimately, a true diagnosis relies on pathologic examination following surgical excision(7). However, many authors agree that these structures can be reliably diagnosed based on the history and physical examination in conjunction with imaging. Radiologic modalities that may be used include CT, MRI, and ultrasound. Fine-needle aspiration may also be performed, and can be especially useful in cases where malignancy is suspected(1, 3, 8).
Ultrasound of suspected branchial arch anomalies provides a safe, non-invasive, rapid, low-cost option for imaging. These lesions typically present as round or oval, hypoechoic or anechoic, well-defined structures with thin walls which may extend to compress surrounding anatomy. Masses are typically compressible, have posterior wall enhancement, and may communicate to the skin or pharynx, forming a fistula or sinus tract(9). In this case, a low cost, handheld point-of-care ultrasound allowed for the rapid diagnosis of a suspected branchial cleft anomaly in an office-based setting. While the image quality of this modality is inferior to formal studies (e.g. higher cost ultrasounds, CT, MRI), handheld point-of-care ultrasounds allow numerous diagnoses to be made in real-time, eliminating the need for more costly studies and repeat visits. A CT scan of the neck with contrast was offered in order to further confirm the diagnosis; however, given the history and asymptomatic nature of her complaint, this was declined by the patient.
Asymptomatic branchial arch anomalies are often benign, and do not require treatment. Definitive treatment of symptomatic branchial anomalies requires surgical excision, as these lesions do not spontaneously resolve and have been associated with recurrent infections(1). There have been successful reports of ultrasound-guided ablation utilizing ethanol or other sclerotherapies as an alternative to surgical intervention(10, 11). In cases of infected branchial cleft cysts, needle drainage and systemic antibiotics are preferred to incision and drainage, as incision into these structures makes subsequent surgical removal more difficult(12).
In the evaluation of anterior neck abnormalities, the physician should consider branchial arch anomalies among their differential. The use of point-of-care ultrasound and knowledge of the sonographic characteristics of these lesions can assist the physician in the diagnosis of branchial arch anomalies.