Have a personal or library account? Click to login
Ultrasound-guided vacuum-assisted breast biopsy in the diagnosis of cancer recurrence at the surgical scar: a report of three cases Cover

Ultrasound-guided vacuum-assisted breast biopsy in the diagnosis of cancer recurrence at the surgical scar: a report of three cases

Open Access
|Feb 2022

Figures & Tables

Fig. 1

A. Mammogram LMCC shows surgical clips at the surgical scar in the upper outer left breast. Group of suspicious calcifications anterior to surgical clips (arrow). Multiple other groups of suspicious linear calcifications in the lower inner left breast (curved arrow). B. Breast MRI axial subtraction post-contrast image shows a suspicious enhancing mass measuring 1.4 x 0.9 cm at the scar posteriorly. Another adjacent tiny enhancing mass seen inferiorly in the posterior third of the mid-outer left breast (image C). C. Focal non-mass enhancement at 3:00 in the anterior third of the left breast (solid arrow). D. Sagittal MR MIP rotated image shows enhancing masses at the region of the scar posteriorly (arrow) and non-mass enhancement (solid arrow). E. Ultrasound showed post-operative scar in the upper outer left breast. Subtle hypoechoic lesion anterior to the scar may correlate with suspicious calcifications on mammogram (arrow). F. Heterogeneous non-specific lesion may represent ductal abnormality in the mid-outer periareolar left breast correlating with non-mass enhancement on MRI (solid arrow)
A. Mammogram LMCC shows surgical clips at the surgical scar in the upper outer left breast. Group of suspicious calcifications anterior to surgical clips (arrow). Multiple other groups of suspicious linear calcifications in the lower inner left breast (curved arrow). B. Breast MRI axial subtraction post-contrast image shows a suspicious enhancing mass measuring 1.4 x 0.9 cm at the scar posteriorly. Another adjacent tiny enhancing mass seen inferiorly in the posterior third of the mid-outer left breast (image C). C. Focal non-mass enhancement at 3:00 in the anterior third of the left breast (solid arrow). D. Sagittal MR MIP rotated image shows enhancing masses at the region of the scar posteriorly (arrow) and non-mass enhancement (solid arrow). E. Ultrasound showed post-operative scar in the upper outer left breast. Subtle hypoechoic lesion anterior to the scar may correlate with suspicious calcifications on mammogram (arrow). F. Heterogeneous non-specific lesion may represent ductal abnormality in the mid-outer periareolar left breast correlating with non-mass enhancement on MRI (solid arrow)

Fig. 2

A. Mammogram LMCC showed post-operative scarring in the upper outer left breast. Developing asymmetry with suspicious linear calcifications at and just anterior to the scar, measuring 1.2 × 0.4 cm. B. Ultrasound showed post-operative changes in the upper outer left breast with a subtle small hypoechoic lesion close to the surgical scar in the upper outer left breast (2:00–3:00) measuring less than 1 × 1 cm (arrow). C. Another subtle irregular hypoechoic mass with adjacent shadowing and a few tiny hypoechoic lesions (abnormal duct-like appearance) at periareolar 1:00, may correlate with mammographically seen calcifications and measures 1 × 0.5 cm. D. MR showed non-mass enhancement at 1:00 in the left breast (solid arrow) and non-mass enhancement at the scar in the posterior third of the upper outer left breast (curved arrow). E. Reconstructed sagittal MR image shows non-mass enhancement in the upper outer left breast (solid arrow) and few enhancing foci close to the scar in the deep upper outer breast (curved arrow)
A. Mammogram LMCC showed post-operative scarring in the upper outer left breast. Developing asymmetry with suspicious linear calcifications at and just anterior to the scar, measuring 1.2 × 0.4 cm. B. Ultrasound showed post-operative changes in the upper outer left breast with a subtle small hypoechoic lesion close to the surgical scar in the upper outer left breast (2:00–3:00) measuring less than 1 × 1 cm (arrow). C. Another subtle irregular hypoechoic mass with adjacent shadowing and a few tiny hypoechoic lesions (abnormal duct-like appearance) at periareolar 1:00, may correlate with mammographically seen calcifications and measures 1 × 0.5 cm. D. MR showed non-mass enhancement at 1:00 in the left breast (solid arrow) and non-mass enhancement at the scar in the posterior third of the upper outer left breast (curved arrow). E. Reconstructed sagittal MR image shows non-mass enhancement in the upper outer left breast (solid arrow) and few enhancing foci close to the scar in the deep upper outer breast (curved arrow)

Fig. 3

A. MLO mammogram. B. Magnification views shows post-operative scarring in the upper outer left breast with surgical clips. New developing focal asymmetry at (arrow) just lateral to the scar. C. Post biopsy mammogram shows the clip (solid arrow). MR images T1W axial images (D, E), MR axial subtracted post-contrast images (F, G) and reconstructed sagittal post-contrast MR image (H) show post-operative surgical clip and adjacent architectural distortion with enhancement (I, J). Ultrasound image shows a large heterogeneous hyperechoic mass in the outer mid and upper left breast, with visible small regions of hypoechoic shadowing
A. MLO mammogram. B. Magnification views shows post-operative scarring in the upper outer left breast with surgical clips. New developing focal asymmetry at (arrow) just lateral to the scar. C. Post biopsy mammogram shows the clip (solid arrow). MR images T1W axial images (D, E), MR axial subtracted post-contrast images (F, G) and reconstructed sagittal post-contrast MR image (H) show post-operative surgical clip and adjacent architectural distortion with enhancement (I, J). Ultrasound image shows a large heterogeneous hyperechoic mass in the outer mid and upper left breast, with visible small regions of hypoechoic shadowing

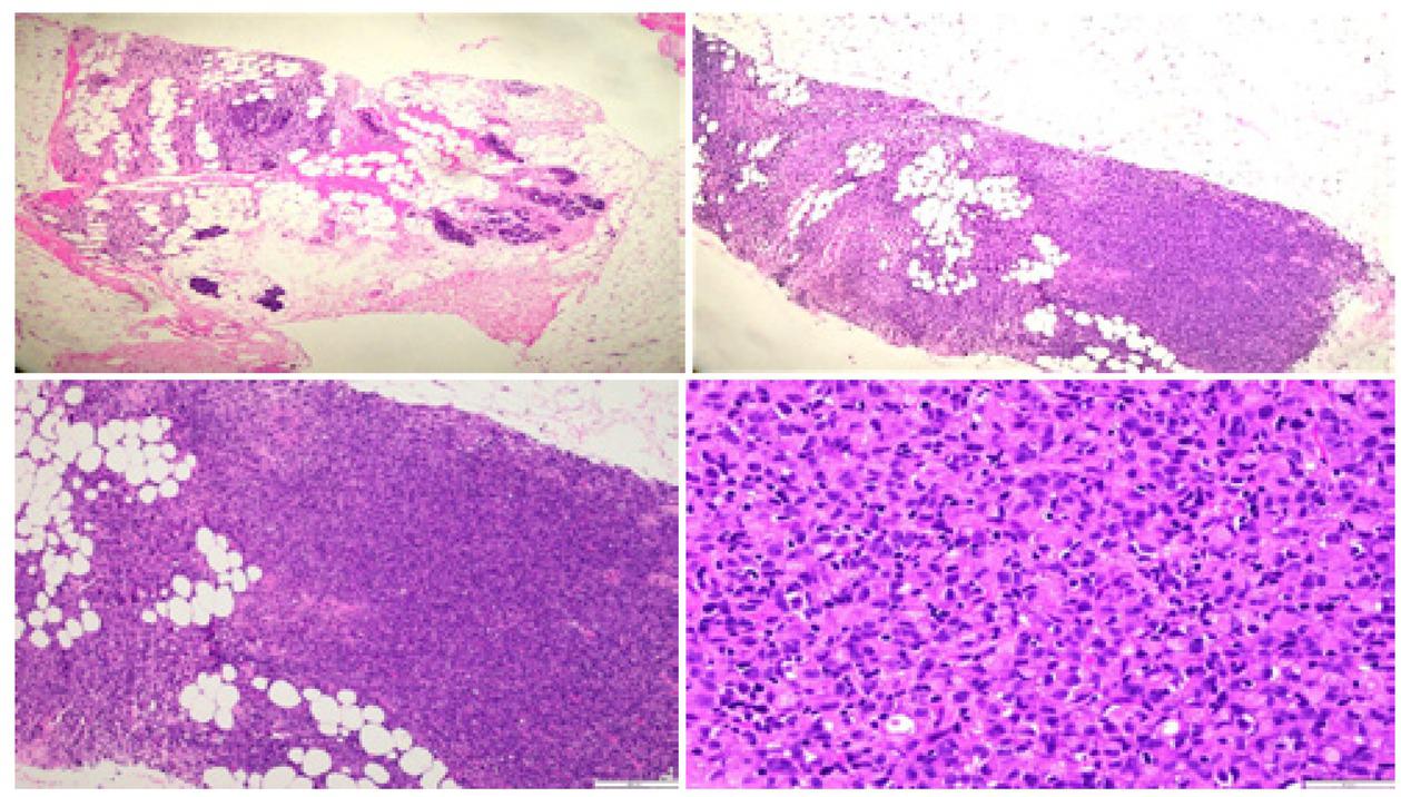
Fig. 4

Pathological examination revealed multifocal nodular aggregates of high grade tumor cells with pleomorphic nuclei and prominent nucleoli. Typical single file pattern and targetoid growth are seen infiltrating around ducts and between fat lobules. Pathological examination confirmed invasive pleomorphic lobular carcinoma
Pathological examination revealed multifocal nodular aggregates of high grade tumor cells with pleomorphic nuclei and prominent nucleoli. Typical single file pattern and targetoid growth are seen infiltrating around ducts and between fat lobules. Pathological examination confirmed invasive pleomorphic lobular carcinoma
DOI: https://doi.org/10.15557/JoU.2022.0010 | Journal eISSN: 2451-070X | Journal ISSN: 2084-8404
Language: English
Page range: 57 - 63
Submitted on: Aug 21, 2021
Accepted on: Nov 17, 2021
Published on: Feb 8, 2022
Published by: MEDICAL COMMUNICATIONS Sp. z o.o.
In partnership with: Paradigm Publishing Services
Publication frequency: 4 issues per year

© 2022 Laila Abu Tahoun, Bayan Maraqa, published by MEDICAL COMMUNICATIONS Sp. z o.o.
This work is licensed under the Creative Commons Attribution-NonCommercial-NoDerivatives 4.0 License.