Hypovolemic shock is a decrease in intravascular volume as a result of blood or extracellular fluid loss. In addition to this, hemorrhagic shock (HS) is a type of shock caused by blood loss(1). Shock indicators include high heart rate, low blood pressure, narrowed pulse pressure, decreased capillary filling, cold and moist extremities, little urine output, and changes in consciousness(1). HS is classified between stages 1 to 4 according to its severity. Stage 1 shock refers to the loss of up to 15% of blood volume, as in one unit of blood donation, and there is typically no change in vital parameters. In stage 4 shock, more than 40% of the blood volume is lost, and it is a life-threatening condition that requires immediate treatment(2, 3). The management of HS, whether traumatic or not, requires early recognition of the source of bleeding and adequate hemodynamic support.
HS remains a vexed issue with high morbidity and mortality rates despite the better understanding of its pathophysiology and significant advances in technology. In cases of suspected bleeding, traditional vital parameters (blood pressure, pulse rate, respiratory rate, urine output, and changes in consciousness) and repeated complete blood count follow-up have been used for many years(4). The vital signs of patients with early stage HS may be within normal limits, and laboratory tests may be time-consuming, so undesirable delays may occur(2, 3). The physiological response to bleeding can be remarkably variable. Because of its insidious course from the compensated phase to the decompensated phase, vital parameters alone may be insufficient in the management of HS(5). There are invasive methods to evaluate the volume status of patients followed up with mechanical ventilators in the intensive care unit(6). However, most of these methods are not suitable for use in the emergency department, being invasive interventions(6, 7). For this reason, it is more appropriate to evaluate patients with suspected bleeding with the aid of rapid and noninvasive methods.
One of the most popular methods of estimating hypovolemia is to evaluate the diameter of the inferior vena cava (IVC) or respiratory variation with the help of ultrasound (US). Previous studies have shown that the diameter of the inferior vena cava measured by US is an effective modality for determining acute blood loss(8, 9, 10). However, it was reported in another study that the evaluation of IVC diameter and respiratory variations by US did not seem to be a reliable method to predict fluid response(11). Mitral annular plane systolic excursion (MAPSE) measurement method is used to evaluate left ventricular systolic functions in US(12). MAPSE is the movement of the lateral ring of the mitral valve towards the apex and refers to left ventricular contraction in the long axis. MAPSE is usually evaluated by transthoracic echocardiography in the M-mode from the apical window(13). MAPSE is less dependent on optimal image quality, and it is easy to perform(12). As far as we know, there have been no studies investigating a possible relationship between MAPSE and intravascular volume status. The aim of this study is to compare the diameter of the inferior vena cava with the MAPSE measurement in order to determine the volume loss pre and post blood donation in healthy volunteers.
This single-center, prospective and cross-sectional planned study was carried out in the largest university blood center in the Aegean region. The study was approved by the Ethics Committee of Istanbul Medipol University.
Donors meeting blood donation criteria, whose hemogram data were suitable for blood donation, were included in the study. The patients enrolled in the study were planned according to the days when the personnel who would perform the procedure were available. The inclusion criteria for the study were: volunteers aged 18–65 years, over 50 kg in weight, who met blood donation criteria, with hemoglobin values of >13.5 g/dL for males and >12.5 g/dL for females. The exclusion criteria were: individuals with chronic obstructive pulmonary disease, pulmonary hypertension, asthma, medical history of valvular surgery, arrhythmia, heart failure, known mitral regurgitation and left heart disease, technical borderline volunteers for inferior vena cava and MAPSE imaging, and volunteers under 18 years of age.
After obtaining the participants’ consent, their systolic, diastolic, mean arterial blood pressures (standing and lying) and pulse rates were checked by the attending physician pre and post blood donation. For the volunteers, measurements were performed on the antebrachial region in a sitting position and after a minimum rest period of 10 minutes. The same medical personnel measured and weighed each volunteer. Body mass index, weight (kilogram)/height (meter)2, was calculated. A volume loss of up to 15% of the total blood volume, that is, approximately 750 mL, is defined as stage 1 hemorrhagic shock. One unit of blood taken in the blood center is about 450 ml ± 10%.
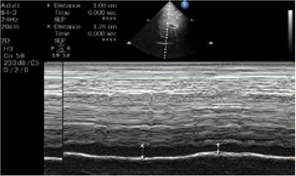
Volunteers who had given their consent were included in the study. After basic measurements, IVC and MAPSE measurements were performed with a phased array transducer (Mindray DC-60 Exp Ultrasound system, China) at 3.5–5 MHz in the B-mode scan. After the volunteer had rested for a while, IVC measurements were performed on the subxiphoid region, while the volunteer was in the supine position. By imaging the adjacency of the liver and heart through the subxiphoid window, the junction of the inferior vena cava and the left atrium was detected. A measurement was performed on the image obtained in the M-mode, approximately 2 cm distal from this part. Measurements were done, and the diameters of the vena cava in inspiration and expiration were recorded. A video recording was performed in the B-mode during at least three breathing cycles. Maximum IVC measurement was performed from one inner wall to the other inner wall during inspiratory and expiratory phases in the B-mode, where the edges of the IVC were clearly visible (Fig. 1). While the patient is in the supine position, to evaluate mitral annular plane systolic motion, which provides important information about the patient’s left ventricular functions, an M-mode tracing was obtained from the junction where the mitral annulus combines with the lateral free wall in the apical four-chamber view. In this tracing, two movements towards the apex were observed. The first forward movement was the systolic movement of the annulus, while the second positive wave was low amplitude and belonged to the atrium systole. Taking presystolic thinning as the baseline level in these two movements, the distance from baseline to peak gave information about the magnitude of systolic movement for systolic function (Fig. 2). Both the IVC and MAPSE measurements were repeated three times, and an average was calculated for the analysis. After the initial US measurements were completed, the volunteers were allowed to proceed to the blood donation procedures. Each procedure took 10–15 minutes. Following the IVC and MAPSE measurements and 450 mL blood donation, and after 10 minutes of rest, the initial measurement procedures were repeated without changing the body position of the volunteer, and vital signs measurements were recorded in the same way.
Fig. 1
Ultrasound image of IVC diameter during inspiration and expiration

Fig. 2
Ultrasound image of MAPSE measurement

Cohen’s effect size coefficient, which is used in unknown situations, was employed in this study because there were no literature reports that could provide a prediction for the previous power analysis in the sample size calculation. The basic two hypotheses was be solved by the dependent-t test (paired t-test). For the dependent t-test, the smallest sample size of the Cohen’s medium effect size (0.5) was 45 individuals, at 95% power and 95% confidence interval.
In the presentation of data as descriptors, categorical data and variables obtained by frequency and percentage and continuous measurement were expressed using the mean and deviation in the parametric condition, and using the median, minimum and maximum values in the nonparametric condition. The conformity to the normal distribution was checked with the Kolmogorov Smirnov test. In the basic analytical evaluation, the statistics of the difference between repeated measurements before-after were analyzed with the paired t-test in the parametric condition and the Wilcoxon test in the nonparametric condition. The difference between the vena cava inferior diameter and the before and after MAPSE measurements were considered as a distinguishing finding for hypovolemia. The analyses were performed with SPSS version 23.0 software (IBM Corporation, Armonk, NY). In all statistical evaluations, p <0.05 was accepted as the statistical significance limit value, and 95% confidence range was used for the average values of all parameters.
The study included 46 healthy blood donor volunteers who met the inclusion criteria. Of the volunteers enrolled in this study, 40 (87%) were male and 6 (13%) were female. The characteristics of the volunteers participating in the study are listed in Tab. 1.
Demographic characteristics, mean distribution of hemoglobin, blood volume and loss value
| Mean ± SD | 95% CI for mean | |
|---|---|---|
| Gender: male/female [n, %] | 40/6 | 87.0/13.0 |
| Age [years] | 37.48 ± 9.64 | 34.61–40.34 |
| Height [cm] | 177.41 ± 9.13 | 174.7–180.12 |
| Weight [kg] | 85.96 ± 15.44 | 81.37–90.54 |
| Body Mass Index | 27.23 ± 4.09 | 26.02–28.45 |
| Hemoglobin [mg/dl] | 14.91 ± 1.05 | 14.6–15.22 |
| Blood volume [L] | 5.38 ± 0.8 | 5.14–5.62 |
| Blood loss [%] | 8.57 ± 1.43 | 8.14–8.99 |
Significance was detected between the standing and lying SBP, MAP and pulse values pre and post blood donation (p <0.05). The IVC (inspiration and expiration) and MAPSE values were also statistically significant. No difference between the other variables pre and post blood donation was detected (Tab. 2).
Average distribution of vital signs pre and post blood donation
| Mean ± SD | 95% CI for mean | P | |
|---|---|---|---|
| Delta SBP (pre-post donation) (standing) | 10.91 ± 11.46 | 7.51–14.32 | 0.000 |
| Delta DBP (pre-post donation) (standing) | 0.13 ± 7.94 | –2.23–2.49 | 0.912 |
| Delta MAP (pre-post donation) (standing) | 3.72 ± 8.27 | 1.27–6.18 | 0.004 |
| Delta PR (pre-post donation) (standing) | –4.13 ± 9.09 | –6.83 – –1.43 | 0.004 |
| Delta SBP (pre-post donation) (lying) | 10.22 ± 12.85 | 6.4–14.03 | 0.000 |
| Delta DBP (pre-post donation) (lying) | 0.89 ± 9.34 | –1.88–3.67 | 0.521 |
| Delta MAP (pre-post donation) (lying) | 4 ± 8.85 | 1.37–6.63 | 0.004 |
| Delta PR (pre-post donation) (lying) | 3.54 ± 6.66 | 1.57–5.52 | 0.001 |
| Delta IVCexp. [mm] (pre-post donation) | 3.66 ± 2.66 | 2.87–4.45 | 0.000 |
| Delta IVCins [mm] (pre-post donation) | 2.35 ± 2.96 | 1.47–3.22 | 0.000 |
| Delta MAPSE [mm] (pre-post donation) | 1.7 ± 1.17 | 1.35–2.04 | 0.000 |
| Paired Sample t test |
SBP – systolic blood pressure; DBP – diastolic blood pressure; MAP – mean arterial pressure; PR– pulse rate; IVCexp – expiratory diameter of inferior vena cava; IVCins – inspiratory diameter of inferior vena cava; MAPSE – mitral annular plane systolic excursion
A negative and excellent correlation between blood volume and blood loss rate, as well as a positive weak correlation between IVCexp and IVCins difference, were detected (p <0.05). No statistically significant correlation was found between any other variables (Tab. 3).
Correlation of differences of VCIins, VCIexp and MAPSE variables with the differences of other variables pre-post blood donation
| Delta IVCexp | Delta IVCins. | Delta MAPSE | ||||
|---|---|---|---|---|---|---|
| r | p | R | p | r | p | |
| Delta IVCins | 0.349 | 0.018 | 1.000 | |||
| Delta MAPSE | 0.112 | 0.460 | 0.157 | 0.298 | 1.000 | |
| Delta SBP (pre-post donation) (standing) Delta DBP (pre-post donation) (standing) | –0.158 ¬–0.109 | 0.295 0.472 | –0.082 –0.138 | 0.587 0.359 | –0.111 –0.192 | 0.461 0.202 |
| Delta MAP (pre-post donation) (standing) Delta PR (pre-post donation) (standing) | –0.142 0.068 | 0.345 0.653 | –0.127 –0.131 | 0.402 0.385 | –0.174 –0.192 | 0.247 0.202 |
| Delta SBP (pre-post donation) (lying) Delta DBP (pre-post donation) (lying) | –0.013 0.093 | 0.934 0.538 | –0.047 –0.070 | 0.758 0.645 | –0.034 –0.348 | 0.823 0.018 |
| Delta MAP (pre-post donation) (lying) Delta PR (pre-post donation) (lying) | 0.060 0.334 | 0.694 0.023 | –0.072 0.082 | 0.636 0.590 | –0.262 0.073 | 0.079 0.630 |
| Pearson correlation | ||||||
SBP – systolic blood pressure; DBP, diastolic blood pressure; MAP – mean arterial pressure; PR– pulse rate; IVCexp – expiratory diameter of inferior vena cava; IVCins – inspiratory diameter of inferior vena cava; MAPSE – mitral annular plane systolic excursion
In this study, we found that after 450 ml of blood donation, decreased IVC (inspiration-expiration) diameter and MAPSE values were effective in determining blood loss. Also, we revealed that the MAPSE measurement supports hypovolemia, as the main finding. In addition, we found that the changes in SBP, pulse and MAP values before and after blood donation were significant. These results may be beneficial in detecting early-stage hemorrhagic shock in the emergency department, so that prompt measures can be taken for patients. For all we know, this is the first cross-sectional and cohort study in which a comparison of the results of IVC and MAPSE measurements as factors for determining blood loss was made.
A variety of shock indices covering vital signs have been used in trauma patients, but it has been observed that they fail to reliably and accurately define shock states(14). In patients, blood pressure, pulse, pulse pressure, respiratory rate, consciousness status and urine output are utilized in the staging of bleeding, but these vital signs are poor indicators of acute blood loss and response to treatment(15, 16, 17, 18). In their study evaluating the accuracy of the internal jugular vein waveform to detect the early stage of hemorrhagic shock, Rouhezamin et al. reported that the decrease in SBP and a little increase in pulse after blood loss in voluntary blood donor were unreliable(19). In our study, after approximately 450 ml of blood loss, a decrease in MAP and SBP values and an increase in pulse measured both standing and lying were observed. Even though the differences between the values pre and post blood donation were statistically significant, the values were within normal limits.
A number of different sonographic parameters are used to detect blood loss. Ultrasonographically measured IVC diameter is accepted as a non-invasive method of evaluating the fluid status in critical care and acute situations. Many studies have indicated that the IVC diameter measurement values change before the detection of any significant change in vital signs(8,20,21). Lyon et al. found a significant difference between the IVC diameters during inspiration and expiration in healthy blood donors before and after blood donation. Moreover, they argued that the IVC diameter was an accurate indicator of blood loss and should be included in focused abdominal trauma sonography (FAST) US examination(8). In their prospective study, Yanagawa et al. concluded that the IVC diameter was an important indicator for the early diagnosis of hypovolemia in trauma patients(22). Sefidbaht et al. claimed that the measurement of IVC provided a significant benefit for trauma patients and that IVC requiring a minimum of additional time can be assessed together with FAST in trauma patients(10). In their prospective study, Akilli et al. showed that the IVC diameter measurement provided more accurate data than the shock index and other commonly used indicators (blood pressure, pulse, serum lactate level, base deficiency) in acute blood loss(23). Johnson et al. showed that the IVC diameter measurement was important during blood loss and that the IVC diameter decreased before changes in traditional vital signs(24). In our study, pre-procedural IVC inspiratory diameter was 16.24 ± 4.39 and expiratory diameter was 9.63 ± 3.79, while post-procedural inspiratory diameter was 12.58 ± 3.96 and expiratory diameter was 7.28 ± 2.76. These findings showed that the decrease between the IVC diameters during inspiration and expiration was significant, which was consistent with the literature.
MAPSE is another echocardiographic method that is becoming increasingly popular in the assessment of left ventricular function(25). It has been shown that there is a linear correlation between left ventricular EF and MAPSE. In one study, a MAPSE value of <7 mm had a sensitivity of 92% and a specificity of 67% for detecting severe left ventricular dysfunction(13). In another study, a MAPSE value of <12 mm had a sensitivity of 90% and a specificity of 88% for detecting EF <50%(26). MAPSE is a procedure performed through the apical four-chamber window using the M-mode at the junction of the mitral valve plane and the left ventricular free wall to evaluate longitudinal contraction of the left ventricle. The MAPSE measurement is simple, less sensitive to optimum image quality, and can be easily performed even by novice practitioners with little training in ECHO(13). Moreover, it has been shown that the MAPSE measurement can be easily done by medical students(27). Many studies have revealed that a decrease in the MAPSE value is related to many factors, including hypertension, heart failure, atrial fibrillation, dilated cardiomyopathy, myocardial infarction, shock, and age, which affects left ventricular function(12,28, 29, 30). In our study, in addition to these factors, a significant decrease was detected in the MAPSE values pre and post procedure in healthy volunteers who were blood donors (pre-procedure MAPSE: 16.95 ± 1.75, post-procedure MAPSE: 14.63 ± 1.47). Our study not only provided a new perspective for the diagnosis of left ventricle dysfunction in trauma patients, but also showed that the MAPSE measurement was useful in addition to IVC in detecting patients with early-stage HS.
In our study, the importance of using both the IVC and MAPSE measurements in diagnosing hypovolemic shock at a very early stage was proven. We think that the MAPSE measurement performed with US may help emergency physicians to diagnose patients more efficiently and manage the condition in hypovolemic shock patients. Moreover, we believe that serial measurements of changes in IVC and MAPSE in determining blood loss or continuing blood loss can help clinicians with the diagnosis and management of these patients.
There are certain limitations of our study. Firstly, the number of subjects was limited, and the female/male ratio was low. Secondly, neurohormonal changes that occur as a result of accident or injury can affect both vital signs and MAPSE and IVC values. For these reasons, the variables we measure should be tested on real patients. Besides, our study was based on the basis of variation between the two measurements, not on a single measurement. The absence of a video recording operator, although the operator who performed the MAPSE and IVC measurements was blind to the group, is another limitation.
It was shown that MAPSE performed by an emergency medicine specialist with advanced training in bedside ultrasound could be a reliable bedside test suitable for the early detection of acute blood loss.