Thoracic Outlet Syndrome (TOS) is one of the most controversial compression (vascular and neurogenic) syndromes both due to the fact it is difficult to diagnose (there are no uniform criteria of diagnosis in clinical tests) and because of the lack of unanimous evidence for the superiority of any of the applied treatment methods (surgical or conservative treatment, including rehabilitation). TOS may take one of three compression forms, i.e. neurogenic type with the compression of brachial plexus branches, vascular type with the compression of subclavian artery, axillary artery and subclavian vein, as well as non-specific type where clinical symptoms indicating a compression syndrome such as pain in the shoulder, arm and neck with radiation, paraesthesia, weaker muscles, ischemia or oedema of an upper limb are not confirmed in objective imaging or neurophysiological examinations [1]. The term ‘Thoracic Outlet Syndrome’ was first used in the literature in 1956 in the work by Peet and referred to the scalene triangle as a place where neurovascular bundle was compressed and for a long time it was used interchangeably with the term ‘anterior scalene syndrome’ [2]. The incidence of TOS is estimated at 10 per 100 000 people, vascular TOS (arterial and venous) is diagnosed in approximately 5% of patients, while neurogenic TOS limited to C7, C8 is found in 1-3% of patients [3–5].
In their research, Redman et al. analysed intra-operative material of 219 patients referred to surgical treatment within the last decade due to TOS symptoms and found out that brachial plexus defects were noted in 99% of the patients, soft tissue defects in 58% of the patients, while osseous system defects were observed only in 27% of the patients [6]. The clinical study included numerous provocative tests (e.g. Adson test, Wright test, Roos test) proving the existence of TOS. Unfortunately, statistical analysis revealed their low specificity, since in as many as 30% of cases they show positive results in a group of patients experiencing no symptoms [7]. Despite this, imaging examinations (MRI in particular) confirm the change of scalene fissure, costoclavicular space and space behind pectoralis minor muscle available for neurovascular bundle in the positions at rest and during exercise. Therefore, the application of provocative tests seems justified despite their imperfection [8].
In the case of objective obstacles which compress components of neurovascular bundle such as cervical rib, fibromuscular bands or posttraumatic scars, where clinical symptoms of brachial plexus ischemia or damage are confirmed by the results of imaging tests (CT, Doppler ultrasound, angiography) and neurophysiological tests (EMG), efficient procedures of surgical treatment are applied (first rib resection, cervical rib resection). However, complex anatomy and biomechanics of cervicothoracic junction with costovertebral joint and sternoclavicular joint foster the occurrence of functional (reversible) isthmus and the conflict with brachial plexus and subclavian vessels in the thoracic outlet area. Patients with dysfunctions leading to TOS symptoms defined in literature as disputed TOS constitute the biggest group of patients in rehabilitation units. Although there are numerous publications dealing with the methods of improvement and recommendations to self-therapy, a uniform programme of conservative treatment continues to be an unattained goal [1].
In general, thoracic outlet is defined as an aperture surrounded by segments of the spine at the back, upper ribs laterally and the sternocostal joint at the front. However, if this area is treated more broadly as a cervicothoracic passage, it has to include the pectoral girdle and the acromioclavicular joint with numerous muscles and ligaments as well as upper thoracic area. This area includes significant structures such as large arterial and venous vessels which are connected with lymphatic vessels, vagus nerves, phrenic nerves, ganglia and fibres of the autonomic nervous system, upper lobes of lungs, oesophagus and trachea. The fascial system of the head and neck is continued in particular layers surrounding thoracic outlet from the outside and constituting a complicated “pocket” system which serves as a safe ending point for the aforementioned anatomical elements. Thus, superficial cervical fascia turns into superficial pectoral fascia surrounding greater pectoral muscle and deltoid muscle from the front and trapezius muscle from the back. In its duplications there are superficial veins and cervical plexus nerves. The middle cervical fascia beginning at the hyoid bone surrounds thyroid gland, pharynx and cervical vessels. Then it separates into three layers creating a suspensory system for subclavian vessels and brachial plexus via clavipectoral fascia and turns into endothoracic fascia on the internal surface of the anterior part of the thorax and connects with pericardial and pleural fascia through bundles constituting pericardiosternal ligaments. Deep cervical fascia, which has its origin at the pharyngeal tubercle of the occipital bone and descends the anterior surface of vertebral bodies of the thoracic spine and the longus colli muscle, provides branches for scalene muscles fascia and creates environment for cervical ganglia of the sympathetic nervous system. The upper part of an anterior layer of the deep fascia connects with the middle vertebral bodies of the thoracic spine and while entering the thorax its lower part connects with the system of pericardial and pleural vertebral ligaments and reconnects with the continuation of the middle cervical fascia. The thoracic outlet area teems with peculiarities regarding the connection of the system of fasciae and bones with viscera via a complicated system of suspensory ligaments of pleura (vertebro-pleural ligament, transverse-pleural ligament, costoclavicular ligament, numerous fascial bundles running from trachea and oesophagus to anterior longitudinal ligament and minor scalene muscle) [9,10].
Another peculiarity is that in a relatively small area there are numerous big vessels such as carotid, subclavian and vertebral arteries, respective veins as well as vessels and lymph nodesof the lymphatic system, i.e. right lymphatic duct on the right side and thoracic duct on the left side, both entering the venous angles created at the point of contact of cervical and subclavian veins. These vessels may be compressed at the cervical level (scalene muscles triangle), at the costoclavicular level or at the level of minor pectoral muscle. Proper pressure gradients in these vessels are guarded by intelligent fascial pockets in the thoracic outlet. It is the system of fasciae that brings about the fact that subclavian arteries move in order to avoid being pressed by scalene muscles through pulling them down by clavipectoral fascia connected with thoracic muscles. It is due to fasciae that cervical and subclavian veins do not retract even at sudden verticalisation. Also, thanks to suspensory system of pleura and tight adherence of intrathoracic fascia and parietal pleura, it is possible to maintain the lung in expansion against bronchial tree elasticity forces and to maintain negative pressure in the thorax ensuring the return of lymph and blood towards the heart.
In the thoracic outlet area there is an interesting connection between elements of the somatic nervous system (brachial plexus) and the autonomic nervous system, which is of huge significance in the occurrence of algodystrophy and pain syndromes similar to TOS but in reality being dysfunctions of the autonomic nervous system resulting from the dysfunctions of motor segments of cervicothoracic junction and upper thoracic segments (e.g. T4 syndrome). Preganglionic nerve fibres coming from the spine may ascend without change at the level of their own ganglion and leave the ganglion located a few levels above. Thus, even from such distant levels as T5 and T6, fibres may ascend to cervical ganglia, create vegetative innervation of neck and head and constitute somatic fibres creating brachial plexus. Therefore, each somatic costovertebral dysfunction regarding this area may turn into an improper sensitisation of the spine and vegetative ganglions leading to the disorders of vascular activity and pain conduction. A unique place is taken by T1 segment and the 1st rib because of the direct contact with inferior cervical ganglion of the sympathetic system and pleural cupula. The dysfunction of this segment has repercussions in the system of anatomical regulation, e.g. in the heart and lungs system and in blood supply to coronary vessels through the contact with inferior cervical ganglion of the sympathetic system and in the somatic system through the participation of T1 nerve in brachial plexus. Moreover, separate nerves, i.e. the so-called Kuntz nerves, may lead postganglionic nerve fibres to brachial plexus, which explains the fact that autonomic functions are not switched off completely even if stellate ganglion block is performed. The anatomical area of the thoracic outlet also teems with individual variabilities. Transverse processes of lower cervical segments may become so big that they appear as the so-called cervical ribs that may come into conflict with elements of the neurovascular bundle. Also, it is not uncommon that there occur additional connective tissue bands running from transverse processes and cervical vertebrae bodies towards the 1st rib and pleura in the form of transverse-pleural ligaments and vertebro-pleural ligaments as well as additional, usually residual scalene muscles. The most constant among these muscles is the smallest scalene muscle, which may connect the 1st rib with C7 transverse process. With its lower insertion it may also reach pleural cupula. It is not uncommon that in this area there occur additional nervous bundles or improper divisions of brachial plexus which are entrapped between muscle bands [10].
In the functional TOS, often referred to as disputed TOS, it is assumed that there are no anatomical reasons for the compression of neurovascular bundle and the condition itself is analysed in two separate age groups. The first type is connected with postural defects encountered more often in women aged 40-50 with asthenic body type and is attributed to a physiological process of the lowering of shoulder girdle and the weakening of the stability of cervicothoracic junction. Certainly in the case of women, large breasts and obesity which usually result in an increase in thoracic kyphosis with head protraction may lead to a greater narrowing of the costoclavicular area, but in this group TOS is encountered paradoxically less frequently. The second type occurs in young men with built-up muscle mass in the area of shoulder girdle and neck, most often with the history of overloads (physical work, bodybuilding, gymnastics, asymmetric sports) [11].
In the functional TOS, a typical postural syndrome with head protraction, extended curvature in cervicothoracic junction, lowered 1st rib and clavicle with exhalatory ribs position and shortened sagittal diameter of the thorax is worth noting. Muscular imbalance of the shoulder girdle and the neck is the result of this postural change. It is typical that scalene muscles are shortened, which directly affects the area of scalene muscles triangle available for brachial plexus and subclavicular artery. Strong superficial sternocleidomastoid muscles located over scalene muscles deepen head protraction, which is followed by the shortening of infrahyoid and suprahyoid muscles and cervical fasciae. The shortening of an upper part of the trapezius muscles and levator scapulae muscles at the back and at the same time the weakening of the scapula stability by serratus anterior and rhomboid muscles will facilitate internal rotation of the scapulae (larger costoscapular angle), which, in turn, will foster the shortening of thoracic muscles. The shortening will particularly affect minor pectoral muscles whose lower edge may undergo fibrosis and constitute a rigid obstacle for a lower part of brachial plexus and subclavian vessels in the position of an elevated upper limb [12].
Moreover, the shortening of anterior thorax wall muscles generates compression forces in the sternocostal joint. This, in turn, brings about the deepening of the exhalatory ribs position and relative immobilisation of the sternum with the tendency to stiffen the ligament system at the meeting point of sternum-pericardium and pericardium-thoracic spine (sternopericardial and vertebropericardial ligaments). Further consequences of this situation will include adhesions and the shortening of fascia and joint capsule of the anterior wall of the shoulder joint with a strengthened restriction of external rotation. In this case, pain complaints which occur during an attempt at elevating in TOS provocative tests may be mistakenly interpreted as neurogenic pain of compressional origin where, in fact, these are complaints of fascial origin. The above deformities are accompanied by the shortening of a suspensory system of pleura and of subclavicular neurovascular bundle, which brings about the disorder of the natural mobility of a neurovascular bundle.
The main pain complaints most often presented in the clinical image include:
– pain in the shoulder area with radiation to the arm and to the neck or thorax;
– disorders of blood supply with such symptoms as pale skin and coldness of the distal parts of the limbs, which increases mainly during elevation and additional effort;
– disorders of lymph flow with such symptoms as oedema in upper limbs with cyanosis, feeling of heaviness and swelling of soft tissues.
These complaints are often accompanied by chronic fatigue syndrome caused by hypoventilation, joint pain and morning stiffness in small joints of hands caused by disorders of lymphatic flow from joint capsules and oedema of sheaths of flexor tendons, tension headaches or Raynaud syndrome caused by contraction oversensitivity of vessels regulated by the sympathetic system.
In the overload group, scalene muscles, subclavius muscle and thoracic muscles undergo hypertrophy and get shortened, which, particularly during the continuation of an effort, leads to the symptoms of the compression of arteries and veins. It is not uncommon that this is the reason for thrombus, especially when the effort is accompanied by dehydration. Apart from professional athletes doing such sports as swimming, water polo, volleyball, handball, wrestling or weight lifting, this group also includes patients who experience adaptational outgrowth of scalene muscles caused by an arm position in their work, e.g. hairdressers, cashiers or musicians.
In the clinical imaging, a domination of vascular symptoms over neurogenic ones can be noted, i.e. pseudoparesis in the position of lengthened elevation, disorders of blood supply to distal parts of an arm with such symptoms as pale skin, Raynaud syndrome, paresthesis of all fingers (in contrast to neurogenic disorder regarding only the 4th and 5th finger), and in the case of lymphatic obstruction – skin cyanosis or oedema of fingers. If blood clots occur (Paget-Schroetter disease), the above symptoms are accompanied by the pain of the whole limb, increasing oedema also in a closer area and phlebectasia of superficial veins. In the case of the conflict with brachial plexus, paresthesis of the 4th and 5th finger occurs typically due to the compression on C8 and T1 nerve roots. Hypothenar muscles and palmaris brevis muscles depending on these roots atrophy gradually, which is reflected in EMG and Froment’s sign tests [13].
Numerous algorithms of a rehabilitation procedure for the functional TOS have been described. Unfortunately, there is a scarcity of scientific evidence to the preponderance of any procedure due to the lack of randomised trials. In their analysis of literature from the years 1983-2001, Vanti et al. concluded that although conservative treatment implemented by the authors improved the clinical state of the patients and accelerated their return to work, there was no scientific evidence that it was notably better than placebo or that any of the algorithms was definitely more effective [14].
In general, algorithms may be divided into instructional and therapeutic ones. In the first group, Lindgren’s work from 1997 is worth noting. This researcher put forward a scheme of 4 exercises for self-therapy including head position correction, shoulder girdle mobilisation, first rib mobilisation as well as scalene muscles and levator scapulae muscle stretching (fig. 1). Then, the author conducted a 2-year observation of 119 individuals and concluded that 88% of the patients were satisfied with a considerable reduction of TOS symptoms [15].

Position for self-therapy of scalene muscles according to Lindgren
Kenny et al. put forward another instructional scheme which focused mainly on the improvement in muscle strength and range of motion within shoulder girdle with the use of resisted shoulder elevation exercises. After 3 weeks of exercising under the supervision of the therapist, a significant reduction of the symptoms of functional TOS was noted [16]. In his work, Novak draws attention to stretching the muscles engaged in postural patterns independently by a patient, focusing particularly on initial positions in stretching the anterior wall and activating lower serratus muscles [17]. Unfortunately, a significant variable which may affect the result of instructional treatment is constituted by an individual variability of the shape of anatomical channels leading to neurovascular bundle, because of which taking an initial position for stretching may appear to be suboptimal. The application of a feedback method using real-time USG imaging seems to be a solution to this issue (fig. 2). It ensures a constant observation of the flow in subclavicular and axillary vessels while selecting an initial position for the recommended exercises. Later, during these exercises, the therapist explains the observed changes of the flow visible to the patient at the USG monitor, and then, leaves the patient a certain margin of a safe range of motion or force (e.g. in post-isometric relaxation) which do not reduce the flow. Educating the patient in the programme of feedback with real-time imaging significantly shortens the time devoted to it, improves understanding of the exercise aim, engages the patient in the rehabilitation process, and, first and foremost, ensures a maximally individual approach [18].

Feedback with real-time USG imaging while stretching thoracic muscles
The therapeutic procedure included the description of the application of such passive techniques as cervical traction or special orthoses suspending shoulder girdle which reduce the complaints significantly in 67% of the patients and cause a paraesthesia remission in over 80% of them [19, 20].
Numerous versions of manual therapy (osteopathy, chiropractic, fascial therapies, etc.) are another concept of conservative treatment very broadly described in the literature but with a lower number of randomised comparative trials and meta-analyses. The main goal of this concept is to recover the natural tissue mobility by exerting manual impact directly or indirectly on the tissues engaged in creating an isthmus for a neurovascular bundle (fig. 3).

Manipulation of dorsal cervicothoracic fascia
In soft tissue therapy, it is recommended to apply fascial mobilisation and manipulation techniques which eliminate adhesions between fascial layers protecting the natural ability of a bundle to glide in various positions of a limb, as well as freeing the so-called centres of coordination improving the synergy of muscular chains. Therefore, the treatment focuses on cervical fascia, supraclavicular fascia, suspensory system of pleura, thoracic fascia, and more broadly on fascial sheaths covering visceral organs [21].
Muscle energy techniques are aimed at restoring muscle balance in terms of their tension, length and strength. It is particularly recommended in postural syndrome where contractures occur in muscles with a significant domination of tonic fibres (scalene muscles, levator scapulae, pectoral muscles). Chronic contracture leading to muscle fibrosis in the form of nodules confirmed in the microscopic examination is partly connected with the lack of inhibition by mechanoreceptors of intervertebral joints in chronic postural defects. This theory seems to be confirmed by dynamic sonography, or, more precisely, recruitment of fibres of neck flexors (sternocleidomastoid muscle and longus colli muscle) before and after the mobilisation of the cervical segment. It appears that performing such mobilisation in the sagittal plane improves the recruitment of longus colli muscle and weakens sternocleidomastoid muscle, which fosters deep stabilisation of the cervical spine [22].
Therefore, apart from such techniques as post-isometric relaxation or reciprocal inhibition through activating antagonists, articular mobilisations and manipulations in the cervical and thoracic spine as well as mobilisation and manipulation of shoulder girdle joints are applied due to the reflexive effect normalising muscle tonus [23].
As far as the symptomatic treatment of TOS is concerned, there is a lot of focus in literature on an improvement in neurodynamics of brachial plexus (neuromobilisation techniques) manifested as a recovery of a proper glide between nervous tissue and border (fascial) layer. This hypothesis assumes that the recovery of this glide is a necessary condition for an improvement in viscoelastic properties of the nervous tissue, which is supposed to improve its trophics and axonal transport, and facilitate higher resistance to mechanical overloads of nervous fibres with the reduction of their spontaneous discharges and stimulating the autonomic nervous system during repetitive unfavourable tensions [24–26].
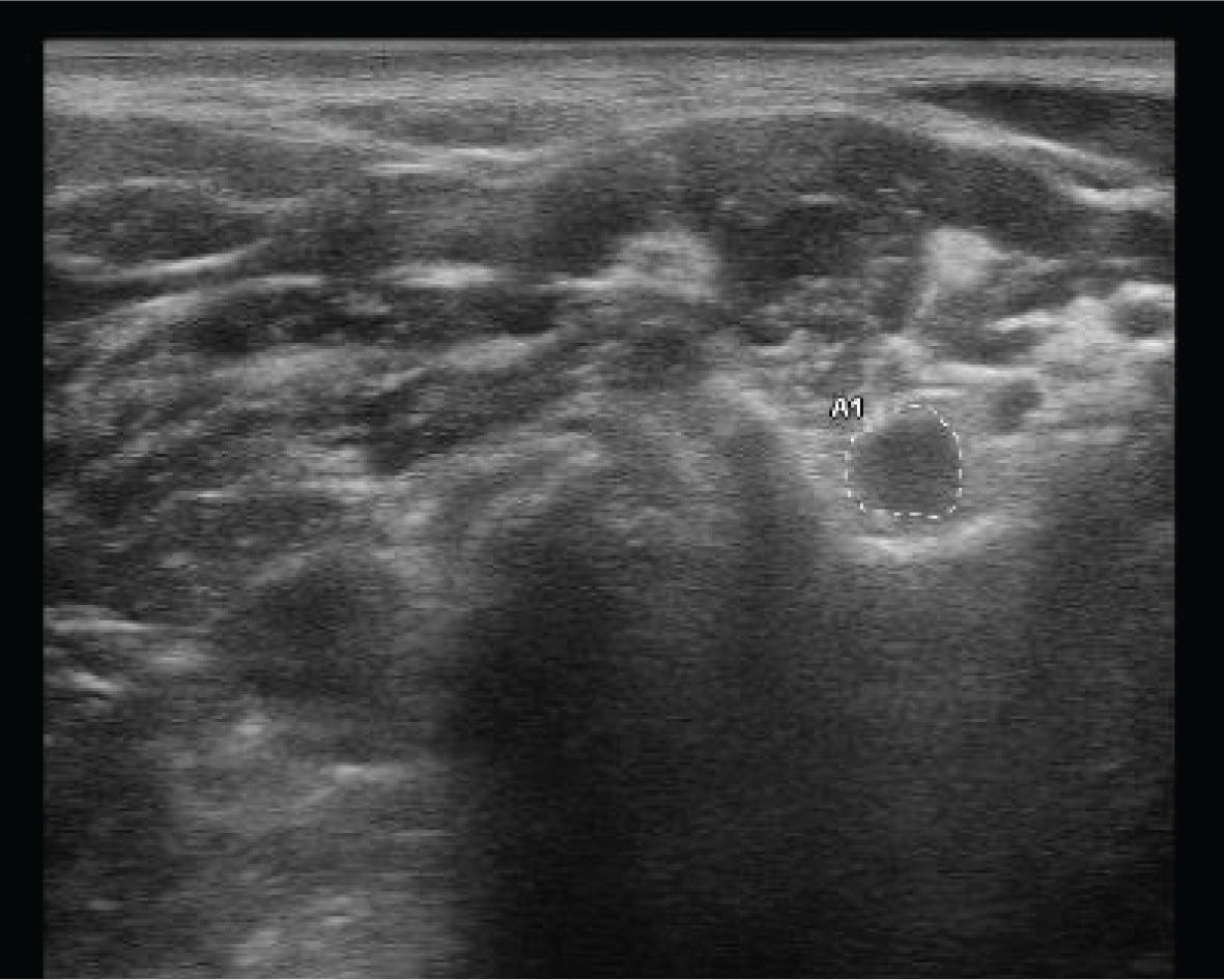
However, the development of a special, very precise sense of endpoint of the tension of the nervous system elements and the knowledge regarding phases this technique may be used in (which requires certain experience) is the basis for efficient neuromobilisation. This leads to the fact that, surprisingly, the results of the therapy vary from spectacular pain reduction to an increase in pain and paraesthesia symptoms. Excessive stimulation of the nervous tissue with inflammatory oedema without removing an obstacle is a highly probable cause of this. In this case, a quick USG diagnosis (fig. 4) makes it possible to assess the degree of nerve or root oedema and avoid mistakes by reducing the oedema in the first phase (unblocking the lymphatic drainage ducts, broadening border sphere for the nervous tissue) and performing mobilisation in the next phase (fig. 5).

USG image of the oedematous root of brachial plexus – measurement of the area at the level of the transverse process

Neuromobilisation of the brachial plexus
Particular attention should be drawn to working with the autonomic nervous system and using viscerosomatic reflex in normalising tensions in the thoracic outlet area [27].
Taking into account the fact that sensitisation of spinal segments is, to a large extent, caused by visceral dysfunctions of the organs located in the thorax and abdominal cavity later reflected in improper tensions of a parietal zone surrounding thoracic outlet, we receive a valuable source of neuromodulation through the mobilisation of the autonomic nervous system only. While mobilising costotransverse joints and simultaneously the sympathetic trunk ganglia, we achieve something more than just a local change of tension. We induce input stimulation through the ways of the sympathetic system to Th1-Th5 segments, and afterwords, through somatic ways, we exert an indirect influence on innervation and vascularity of muscles, joint capsules, ligaments and fascia of the thoracic outlet area. Positions used in ribs mobilisation and respiratory support of self-mobilisation may be recommended as a programme of the patient’s own work to help form a proper pattern of breathing (fig. 6).

Mobilisation of ganglia of the autonomic nervous system via costotransverse joints
Taking into account the above analysis, it seems that the lack of repeatable results of TOS rehabilitation may be caused partly by the lack of individualised recommendations regarding initial positions for exercises and self-therapy where conditions for maintaining optimal areas available for neurovascular bundle are not fully recovered. In this aspect, the application of feedback using real-time USG imaging may be a valuable tool for eliminating insufficient positions and suboptimal directions and ranges of movement. Another cause of the lack of effects despite intensive rehabilitation may result from an objective fact of referred pain and vasomotor stimuli from generators located outside the area traditionally associated with thoracic outlet. Stimuli from the thoracic segment, visceral organs of the mediastinum, or even sub-diaphragmatic area bring about the fact that even the most individualised positions for self-therapy are insufficient without the support of manual techniques normalising the tensions of soft tissues, restoring joint play, and normalising tensions in the vegetative nervous system. The combination of these two therapies seems to be the most effective and complete type of rehabilitation in the conservative treatment of functional TOS.