Non-Hodgkin’s lymphomas (NHLs) arising from the tissues other than primary lymphatic organs (lymph nodes, bone marrow, spleen, thymus and Waldeyer’s ring of pharyngeal lymphatics) are named primary extranodal lymphoma (PEL).1, 2 Although PEL can arise in almost every organ, gastrointestinal tract is the most frequently involved localization. Its incidence accounts for 30–40% of all extranodal cases in hospital and population-based series published so far. The most common locations in gastrointestinal system (GIS) are stomach (50–60%) and the small intestine (approximately 30%).3 PEL usually presents at stage I-II in up to 74% of the patients.4 Disseminated nodal disease involving an extranodal site is different from PEL. Extranodal involvement is seen in approximately 25–40% of lymphomas and less common in Hodgkin’s lymphoma (HL).5 On the other hand, involvement of an extranodal organ as the predominant site with a few minor draining lymph nodes (LNs) only, can be categorized as PEL.
PELs have different etiopathogenesis, genetic origin, biologic features, clinical characteristics and outcome. It has been claimed in previous studies that extranodal lymphomas should be regarded as separate nosological entities.6 Computed tomography (CT) is the most frequently used imaging modality in the management of patients with PEL. CT, 18-fluorodeoxyglucose positron emission tomography (FDG-PET) and FDG-PET/CT are used to stage PEL. FDG-PET is a superior imaging technique which proved its utility especially in oncologic field. It is able to show functional alterations that precede the anatomical changes. Integration of CT to FDG-PET combines anatomical detail with functional information and yields excellent anatomic and functional information, increasing accuracy and detection capability. All these advantages of FDG-PET/CT potentially makes it a superior imaging modality for primary staging, evaluation of treatment response and restaging in PEL just like in other types of HL and many of NHL lymphomas.
FDG-PET/CT also has a high prognostic value with respect to overall survival (OS) and disease-free survival (DFS). The semi-quantitative measurement of standardized uptake value (SUV) is an easy-to-calculate and noninvasive index reflecting FDG metabolic rate. Its assessment has additional prognostic value in early response to treatment and long-term outcome in lymphoma patients and improves the prognostic value of the test manifestly according to visual analysis.7 A great majority of the studies pertaining to PEL in literature evaluated metabolic tumor parameters in different primary sites (organs) and histopathologic variants generally for treatment response. We aimed to evaluate the prognostic value of metabolic tumor indices over quantitative parameters derived from initial FDG-PET/CT in patients with a medley of PEL in this study.
There were 67 patients of NHL with PEL histopathologically proven by biopsy in our retrospective cohort study. The study was conducted at Nuclear Medicine Department of a training and research hospital of a medical school between 2004 and 2015. FDG-PET/CT was requested for primary staging. These patients were treated and followed up by Medical Oncology Department of our hospital. CD20-positive cases were treated by R-CHOP protocol (rituximab, cyclophosphamide, doxorubicin, vincristine, prednisolone), CD20-negative cases by CHOP protocol. Radiotherapy (RT) was applied in selective cases for curative purpose or consolidation.
The patients were followed by clinical history, physical examination, LDH and sedimentation rate measurement, haemogram, liver function tests, CT and/or FDG-PET/CT. Information and data were obtained from clinic follow-up files, radiation therapy records, physician records of other departments at our hospital or personal contact with the patients by telephone. Extranodal disease with LN involvement, cutaneous T-cell lymphomas or cases originating from LN, spleen, thymus, bone marrow and Waldeyer’s ring were excluded from the study. Patients who didn’t have primary staging FDG-PET/CT and inadequate follow-up were also omitted. Patients having a primary extranodal site with a minor regional LN, primary head and neck lymphomas not originating from the lymphatic tissues of this region were included. Primary orbital extranodal lymphomas were accepted as CNS lymphoma, primary natural killer (NK)/T-cell lymphomas of nose and paranasal sinuses as head and neck lymphoma.
Staging with PET/CT is usually reserved for highly metabolically active (high-grade) PEL and it is not an appropriate method for MALT lymphomas because of potential false negative results.8 But this is not a definite rule for primary staging of PEL of MALT type. The histopathological diagnosis was MALT lymphoma in our 12 patients and PET/ CT results might be false negative necessitating the exclusion of these cases from the study. However, all these cases with MALT lymphoma had no other metastasis detected by primary staging FDG-PET at initial diagnosis (no false negative results were seen). This was proven by CT component, other imaging modalities (USG, MR), laboratory tests and clinical staging. Besides, no recurrence/metastasis was seen during their follow-ups. According to our study design, primary site (organ) and variants of PEL (DLBC, MALT, T cell, Burkitt, mantle cell) were accepted as predefined risk factors. Also, they belong to an organ (some of the orbital lymphomas and many of gastric lymphomas were MALT type). Although these patients had MALT lymphomas, we included them in the study due to the above mentioned reasons.
Patients fasted for 6 hours and their blood glucose level had to be under 150 mg/dl before the injection of an activity of 370–555 MBq of 18F-FDG according to patient’s weight. Image acquisitions were performed 1 hour later with an integrated PET/CT scanner (Discovery 690-GE Healthcare). Unenhanced low dose CT and PET emission data were acquired from mid-thigh to the vertex of the skull in supine position with the arms raised over head. CT data were obtained by automated dose modulation of 120 kVp (maximal 100 mA), collimation of 64 × 0.625 mm, measured field of view (FOV) of 50 cm, noise index of 20% and reconstructed to images of 0.625 mm transverse pixel size and 3.75 mm slice thickness. PET data were acquired in 3D mode with scan duration of 2 min per bed position and an axial FOV of 153 mm. The emission data were corrected in a standardized way (random, scatter and attenuation) and iteratively reconstructed (matrix size 256 × 256, Fourier rebinning, VUE Point FX [3D] with 3 iterations, 18 subsets).
Quantitative PET/CT parameters used in the study were maximum standardized uptake value (SUVmax), average standardized uptake value (SUVmean), metabolic tumor volume (MTV) and total lesion glycolysis (TLG). They were calculated according to a standard protocol on a dedicated workstation (Volumetrix for PET-CT and AW volume share 4.5, GE Healthcare, Waukesha, WI, USA). SUV max and SUV mean corrected for body weight were computed by standard methods from the activity at the most intense voxel in three-dimensional tumor region from the transaxial whole body images on attenuation-corrected PET/CT images. MTV (cm3) was measured with semiautomatic PET analysis software using an automatic isocontour threshold method based on a theory of being greater than 42% of the SUVmax value within the tumor. TLG values were calculated by multiplying MTV and SUVmean.
We retrospectively examined demography, clinic, histology, clinical stage, response to treatment and outcome of the patients. OS was defined as the time from diagnosis to death of any cause (including ones other than the disease itself too) or to the last follow-up. DFS was defined as the time from diagnosis to detection of relapse or to the last follow-up. Ann-Arbor staging system and definitions were used in this study.
The whole data were analyzed using IBM Corp. Released 2013. IBM SPSS Statistics for Windows, Version 22.0. Armonk, NY: IBM Corp. Number and percentage values were used for the description of categorical data; mean, median, standard deviation (SD), minimum (min) and maximum (max) values were used for the description of continuous data. Univariate and multivariate Cox regression models were performed to determine related factors with disease free survival time. The variables having a value of p < 0.20 were included in multivariate analysis. Backward LR (logistic regression) elimination method was used to refine regression model. ROC (receiver operating characteristic) curve was drawn to evaluate the diagnostic value of SUVmean, MTV and TLG. SUVmean was dichotomized by splitting two groups according to ROC curve. Kaplan-Meier method with log-rank test was used to compare disease free survival times of SUVmean groups. One way ANOVA test was used for the comparison of histopathological variants of PEL according to metabolic tumor parameters. Chi-square test was used for the comparison of primary site and histopathologic variant of PEL according to recurrens/metastasis (rec/met). Informed consent was deemed as a retrospective study using records, documents and data of patients referred to our clinic for the test. The study was approved by Our Institutional Review Board Committee.
Mean age of the patients at diagnosis was 52 ± 17 years (2–87). 30% of the patients were female (n: 20), 70% (n: 47) male (male/female ratio: 2.35). 42/67 (63%) of the patients had DLBC, 12/67 (18%) MALT, 5/67 (7.5%) T cell, 4/67 (6%) Burkitt and 4/67 (6%) mantle cell (MC) lymphoma. 25/67 (37%) of the cases in our study group was GIS lymphoma, 8/67 (12%) testis lymphoma, 11/67 (16.5%) central nervous system (CNS) lymphoma, 13/67 (19.5%) bone lymphoma, 7/67 (10.5%) head and neck lymphoma, 2/67 (3%) pulmonary lymphoma and 1/67 (1.5%) breast lymphoma. 62/67 (92.5%) of our patients were at stage I, 5/67 (7.5%) at stage II. Mean SUVmax value was 11.5 ± 7.8 (2.9–42), average SUVmean 6.5±3.8 (2–21.1), mean MTV 73.75 cm3 (1.95–1212, median: 30.8), mean TLG 696 (7.4–18422, median: 180). Mean OS was 59 ± 39 months (3–160). Mean DFS was 49 ± 40 months (3–160). 21 patients (31%) died, 25 patients (37%) developed recurrence and/or metastasis during the follow-up. Patient characteristics and demography, clinicopathologic features and follow-up data were detailed in Table 1. 6 patients died of causes other than the disease (cardiovascular events, aging, etc). 15 patients died of the disease itself (widespread metastasis and its complications). OS at 5th year was 75%, at 10th year 70%. Recurrence rate was 37.5%. Average period untill recurrence or metastasis was 14.5 months (3–43). DFS was 81% at first year, 67% at second year, 58% at fifth year.
= Patient characteristics and demography; clinicopathologic features and follow-up data.
| Patient no | Age | Gender | Histology | Organ | Presentation site | Rec/Met | Ex | SUV max | SUV mean | MTV | TLG | DFS | OS |
|---|---|---|---|---|---|---|---|---|---|---|---|---|---|
| 1 | 52 | M | DLBC | GIS | Colon | - | - | 7.6 | 4.5 | 12.5 | 56.3 | 44 | 44 |
| 2 | 75 | M | DLBC | GIS | Stomach | - | - | 26.9 | 15.2 | 1212 | 18422 | 40 | 40 |
| 3 | 45 | M | DLBC | GIS | Pancreas | + | + | 20 | 13.1 | 113 | 1483 | 10 | 18 |
| 4 | 65 | M | DLBC | GIS | Jejunum | - | - | 10 | 4.5 | 7 | 31.3 | 67 | 67 |
| 5 | 52 | F | DLBC | GIS | Colon | + | - | 8.6 | 5.8 | 37.3 | 216.4 | 23 | 143 |
| 6 | 72 | F | DLBC | GIS | Stomach | + | + | 27.4 | 18.1 | 29.9 | 541.3 | 8 | 26 |
| 7 | 69 | M | MC | GIS | Stomach | - | + | 10 | 5.2 | 70.1 | 367.6 | 35 | 35 |
| 8 | 64 | F | MALT | GIS | Stomach | - | - | 5.1 | 2.6 | 57 | 148.2 | 63 | 63 |
| 9 | 52 | F | DLBC | GIS | Rectum | + | - | 14.8 | 7.1 | 13.7 | 97.7 | 4 | 39 |
| 10 | 82 | M | DLBC | GIS | Stomach | - | + | 15 | 8.8 | 90.1 | 792.8 | 48 | 48 |
| 11 | 50 | M | DLBC | GIS | Ileum | - | - | 6.1 | 4.4 | 35.2 | 154.8 | 27 | 27 |
| 12 | 25 | M | MALT | GIS | Duodenum | - | - | 6.6 | 4.1 | 30.8 | 126.3 | 122 | 122 |
| 13 | 47 | M | DLBC | GIS | Stomach | - | - | 9.9 | 5.7 | 96 | 547.2 | 111 | 111 |
| 14 | 65 | F | MALT | GIS | Stomach | - | - | 10.1 | 6 | 135.2 | 811.2 | 88 | 88 |
| 15 | 62 | M | MC | GIS | Jejunum | - | - | 5.2 | 3.1 | 29 | 89.9 | 40 | 40 |
| 16 | 80 | F | DLBC | GIS | Stomach | - | - | 5.2 | 2.85 | 10 | 28.5 | 59 | 59 |
| 17 | 35 | M | DLBC | GIS | Stomach | - | - | 39.9 | 21.1 | 144 | 3037 | 17 | 17 |
| 18 | 87 | M | T cell | GIS | Colon | - | - | 7.2 | 4 | 14.3 | 57.2 | 5 | 5 |
| 19 | 33 | M | MALT | GIS | Stomach | - | - | 3.2 | 2 | 17.9 | 36.5 | 34 | 34 |
| 20 | 57 | M | MALT | GIS | Ileum | - | - | 7.6 | 4 | 18.2 | 72.8 | 61 | 61 |
| 21 | 61 | F | DLBC | GIS | Stomach | - | + | 20.1 | 11.15 | 32.1 | 358.2 | 70 | 70 |
| 22 | 56 | M | DLBC | GIS | Stomach | - | + | 15.1 | 8.3 | 50.5 | 419.1 | 123 | 123 |
| 23 | 49 | M | MALT | GIS | Stomach | - | - | 3.45 | 2.8 | 8.5 | 23.75 | 57 | 57 |
| 24 | 77 | M | MALT | GIS | Stomach | - | - | 2.9 | 2.7 | 7.9 | 21.25 | 160 | 160 |
| 25 | 21 | M | Burkitt | GIS | Colon | + | - | 10.6 | 5.2 | 468 | 2423 | 7 | 32 |
| 26 | 60 | M | DLBC | Testis | L;R testicle | + | - | 14.8 | 8.1 | 98 | 793.8 | 21 | 34 |
| 27 | 53 | M | DLBC | Testis | L testicle | - | - | 6.5 | 4 | 124 | 496 | 50 | 50 |
| 28 | 66 | M | DLBC | Testis | L testicle | - | - | 7.2 | 3.8 | 45 | 171 | 101 | 101 |
| 29 | 68 | M | DLBC | Testis | R testicle | + | + | 6.9 | 4.5 | 143 | 643.5 | 16 | 26 |
| 30 | 67 | M | DLBC | Testis | L testicle | + | + | 7.8 | 4.3 | 112.5 | 483.7 | 24 | 88 |
| 31 | 2 | M | Burkitt | Testis | R testicle | - | - | 7.5 | 3.8 | 33 | 125.4 | 42 | 42 |
| 32 | 21 | M | DLBC | Testis | L testicle | + | + | 8.6 | 5.7 | 128 | 729.6 | 9 | 12 |
| 33 | 57 | M | DLBC | Testis | L testicle | + | + | 9.5 | 6.2 | 77 | 477.4 | 35 | 47 |
| 34 | 56 | F | DLBC | CNS | Corpus callosum | + | + | 19.2 | 10.4 | 43.9 | 456.4 | 8 | 58 |
| 35 | 31 | M | DLBC | CNS | Occipital lobe | + | + | 9.8 | 6.5 | 36.3 | 236 | 6 | 27 |
| 36 | 52 | F | MALT | CNS | R orbit | - | - | 3.1 | 2 | 5.6 | 11.2 | 119 | 119 |
| 37 | 49 | M | DLBC | CNS | Frontoparietal lobe;cerebellum | + | + | 16.2 | 8.9 | 183 | 1628.7 | 6 | 9 |
| 38 | 66 | F | DLBC | CNS | Parietooccipital lobe | + | - | 9.8 | 7.2 | 30.2 | 217.2 | 9 | 30 |
| 39 | 64 | M | MC | CNS | R orbit | + | - | 3.7 | 2.9 | 2.6 | 7.45 | 19 | 38 |
| 40 | 40 | F | DLBC | CNS | Cerebellum | + | - | 17.5 | 10.5 | 10 | 105 | 3 | 7 |
| 41 | 66 | M | MALT | CNS | R orbit | - | - | 5.8 | 3.8 | 1.95 | 7.4 | 33 | 33 |
| 42 | 45 | M | DLBC | CNS | Occipital lobe; cerebellum | + | + | 22.3 | 12.4 | 63.3 | 782.2 | 3 | 3 |
| 43 | 60 | M | MALT | CNS | L orbit | - | - | 7.1 | 4.5 | 2.6 | 11.8 | 36 | 36 |
| 44 | 34 | F | DLBC | CNS | Cerebellum; lateral ventricle | + | + | 15.6 | 8.2 | 21.8 | 180.1 | 9 | 11 |
| 45 | 50 | F | DLBC | Bone | Sacrum | - | - | 29.1 | 13.3 | 218 | 2896 | 34 | 34 |
| 46 | 45 | F | DLBC | Bone | Maxilla | + | + | 12.2 | 6.9 | 29 | 200.1 | 18 | 24 |
| 47 | 85 | M | T cell | Bone | Maxilla | + | - | 10.5 | 6.2 | 14 | 88 | 43 | 95 |
| 48 | 53 | F | DLBC | Bone | Mandible | - | - | 6.4 | 3.5 | 8.2 | 28.4 | 64 | 64 |
| 49 | 69 | M | DLBC | Bone | Ethmoid bone | - | - | 7.2 | 5.1 | 23 | 117.3 | 76 | 76 |
| 50 | 66 | M | DLBC | Bone | Distal femur | - | + | 8.5 | 6.4 | 13 | 83.2 | 43 | 43 |
| 51 | 69 | F | DLBC | Bone | Sacrum | - | + | 13.6 | 7.9 | 190 | 1501 | 93 | 93 |
| 52 | 49 | M | DLBC | Bone | Sphenoid bone | - | - | 5.7 | 3.2 | 61.4 | 196.5 | 129 | 129 |
| 53 | 43 | F | DLBC | Bone | T11 vertebrae | - | - | 7.2 | 4.8 | 8.2 | 39.4 | 59 | 59 |
| 54 | 49 | M | DLBC | Bone | Mandible | - | - | 13.2 | 7.5 | 17.2 | 129 | 119 | 119 |
| 55 | 15 | F | DLBC | Bone | Ilium;sacrum | - | - | 6.8 | 4.3 | 39.2 | 168.6 | 114 | 114 |
| 56 | 27 | M | DLBC | Bone | Sphenoid bone | + | - | 9.1 | 5.6 | 22 | 123.2 | 36 | 123 |
| 57 | 23 | M | DLBC | Bone | Iliac bone | - | - | 9.7 | 6.1 | 43.5 | 265.4 | 31 | 31 |
| 58 | 23 | M | T cell | HN | Nose | + | + | 9.1 | 5.7 | 38.2 | 217.7 | 13 | 35 |
| 59 | 42 | M | DLBC | HN | Nasopharynx | - | - | 7.1 | 3.9 | 9 | 35.1 | 100 | 100 |
| 60 | 39 | F | DLBC | HN | Velum (palatum molle) | - | - | 18.6 | 10.2 | 20 | 203 | 41 | 41 |
| 61 | 41 | M | Burkitt | HN | Gum | + | + | 16.6 | 8.5 | 18.6 | 158.1 | 16 | 23 |
| 62 | 54 | M | MC | HN | Nasopharynx | - | - | 7.9 | 4.4 | 5 | 22 | 127 | 127 |
| 63 | 75 | M | T cell | HN | Parotid gland | + | + | 10.2 | 6.6 | 27.6 | 182.2 | 13 | 29 |
| 64 | 53 | M | T cell | HN | Nose | - | - | 11.2 | 6.4 | 8.3 | 53.1 | 133 | 133 |
| 65 | 41 | F | Burkitt | Breast | R breast | + | - | 42 | 14.5 | 108 | 1555 | 10 | 63 |
| 66 | 36 | M | MALT | Lung | L lung | - | - | 3.8 | 2.3 | 7.75 | 17.7 | 50 | 50 |
| 67 | 48 | M | MALT | Lung | R lung | - | - | 6.4 | 3.95 | 109.9 | 431.8 | 53 | 53 |
CNS = Central Nervous System; DLBC = Diffuse Large B Cell; GIS = Gastrointestinal System; HN = Head and Neck; F = Female; M = Male; MALT = Mucosa-associated Lymphoid Tissue; MC = Mantle Cell; L = Left; R = Right; Rec = Recurrence
Univariate cox regression was performed for all potential risk factors (sex, age, pathology, primary site, SUVmax, SUVmean, MTV, TLG) impacting recurrence/metastasis development. Factors with p < 0.2 values after univariate analysis (SUVmax, SUVmean, MTV, TLG and age) were processed with multivariate model. SUVmean, MTV and TLG were found statistically significant after multivariate analysis. The results of univariate and multivariate Cox regression analyses are shown in Table 2, 3. ROC curve drawn to evaluate the diagnostic value of SUVmean, MTV and TLG is shown in Figure 1. SUVmean remained significant after ROC curve analysis. One unit increment of SUVmean amplifies recurrence rate 1.4 times. Sensitivity and specificity were calculated as 88% and 64%, respectively, when the cut-off value of SUVmean was set at 5.15. Cut-off values, sensitivity and specificity of SUVmean, MTV and TLG are shown in Table 4. SUVmean was dichotomized by splitting two groups according to ROC curve. Kaplan-Meier method with log-rank test was used to compare DFS of SUVmean groups. Kaplan-Meier curve drawn for SUVmean with a cut-off value of 5.15 is shown in Figure 2. When we analyze metabolic tumor parameters for histopatho-logical subtypes, SUVmax and SUVmean prove meaningful (p = 0.003 and p = 0.005, respectively). After the investigation of primary presentation sites and histopathological variants according to recurrence, there is no difference amongst the variants. Primary site (organ) of extranodal lymphomas however, appears to be statistically important (p = 0.014). Testis and CNS lymphomas have higher recurrence rate (62.5%, 73%, respectively). Risk of recurrence/metastasis development increases 3.5 times in testis lymphomas and 216 times in CNS lymphomas with comparison to GIS lymphomas.

ROC curve for SUVmean, MTV and TLG.

Kaplan-Meier curve of SUVmean with a cut-off value of 5.15.
Univariate Cox regression analysis.
| Factors | Significance (p value) | Hazard Ratio | 95% CI for Hazard Ratio | |
|---|---|---|---|---|
| Lower | Upper | |||
| Sex* | 0.363 | 0.495 | 0.108 | 2.254 |
| Age | 0.080 | 0.971 | 0.939 | 1,004 |
| DLBC** | 0.265 | Reference | ||
| Mantle Cell | 0.672 | 0.550 | 0.034 | 8.783 |
| T Cell | 0.038 | 10.535 | 1.135 | 97.758 |
| Burkitt | 0.720 | 1.535 | 0.147 | 15.982 |
| MALT | 0.962 | 0.000 | 0.000 | - |
| GIS*** | 0.000 | Reference | ||
| Testis | 0.163 | 3.503 | 0,602 | 20.378 |
| CNS | 0.000 | 216.611 | 20.786 | 2257.305 |
| Bone | 0.898 | 1.135 | 0.165 | 7.818 |
| Head and | ||||
| neck | 0.916 | 0.879 | 0.080 | 9.709 |
| Lungs | 0.999 | 3.422 | 0.000 | - |
| SUVmax | 0.032 | 0.680 | 0.478 | 0.968 |
| SUVmean | 0.000 | 3.630 | 1.791 | 7.355 |
| MTV | 0.001 | 1,035 | 1.015 | 1.056 |
| TLG | 0.011 | 0.996 | 0.993 | 0.999 |
Reference groups: *male sex, **DLBC,***GIS
Multivariate Cox regression analysis.
| Factors | Significance (p value) | Hazard Ratio | 95% CI for Hazard Ratio | |
|---|---|---|---|---|
| Lower | Upper | |||
| SUVmean | 0.000 | 1.418 | 1.226 | 1.640 |
| MTV | 0.000 | 1.020 | 1.009 | 1.031 |
| TLG | 0.002 | 0.998 | 0.996 | 0.999 |
Cut-off values, sensitivity, specificity of SUVmean, MTV and TLG.
| Factors | Cut-off Value | Sensitivity (%) | Specificity (%) |
|---|---|---|---|
| SUVmean | 5.15 | 88 | 64 |
| MTV (cm3) | 18.4 | 84 | 45 |
| TLG | 175.55 | 76 | 64 |
FDG-PET/CT was performed for 435 patients with NHL during this study in our department. The incidence of PEL in our study group is 15% (67/435) and apparently under the literature average. Because our patients formed a highly selective population after a meticulous exclusion according to the study criteria. The peak incidence is in the 6th-7th decade with a male predominance.9 Average age of our study group is 52 years with male preponderance and younger according to literature. Firstly, we want to give descriptive information about our patients with a medley of PEL.
The most frequent form of PEL is constituted by GIS lymphomas. Stomach is the most common site of primary GIS lymphoma and MALT lymphoma is the most common variety.10 Small intestine fills the second ranking. A heterogeneous group of lymphomas including MALT, DLBC, MC, Burkitt and T cell affect the small bowel. Primary colon lymphoma has features similar to small bowel disease with wall thickening without obstruction.11 DLBC, Burkitt and T cell lymphomas are strongly FDG-avid. 25/67 (37%) of our patients had primary GIS lymphoma. 14/25 (56%) of them were primary gastric lymphoma, 5/25 (20%) primary intestinal lymphoma and 5/25 (20%) primary colon lymphoma. 5/14 (36%) of gastric lymphomas were MALT type, while 8/14 (57%) DLBC variant (Figure 3). DLBC variants exhibited usually high FDG accumulation. MALT types had variable (usually moderate) up-take. Our incidence of gastric DLBC outnumbered gastric MALToma. This is an interesting result contrary to the literature. Other findings are nearly the same as in previous studies.

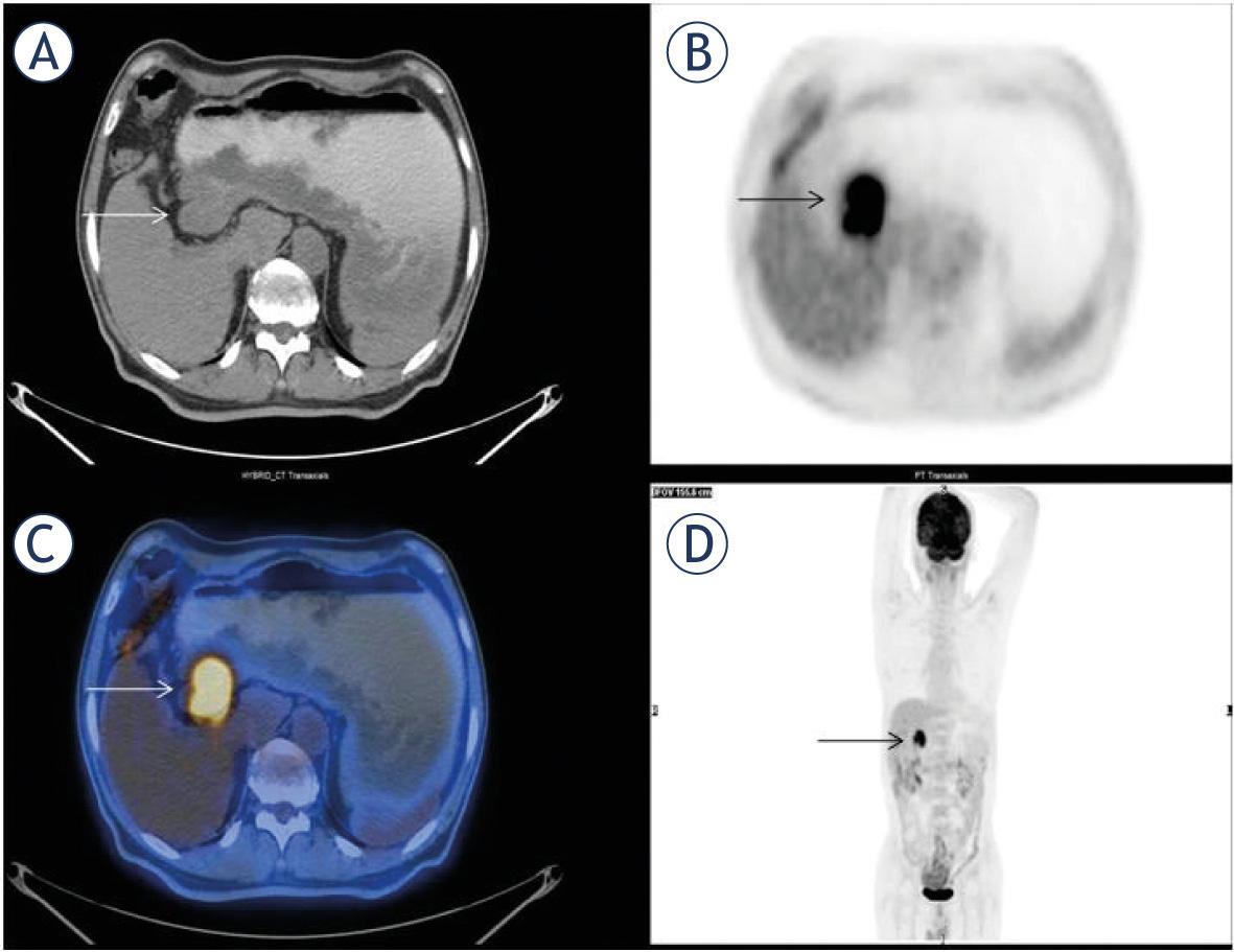
There was a mass in antrum of stomach on transaxial CT (A), PET (B), fusion (C) and MIP images (D) (arrows) of a 60-year old female patient with primary gastric lymphoma of DLBC type. She had metabolic tumor parameters of SUVmax: 11, SUVmean: 5, MTV:34 cm3, TLG:150. Her outcome was excellent with a DFS and OS of 111 months.
Primary testicular lymphoma is mostly DLBC and accounts for up to 5% of testicular masses presenting with painless swelling. It is usually aggressive with spread into the nervous system.12 Asymmetrical intense FDG uptake is usually seen. Over half of our patients either recurred or metastasized mainly into the nervous system. The disease showed its wicked face during its fatal cruise. Primary CNS lymphomas account for approximately 6.6–15.4% of CNS neoplasms and are usually of DLBC type.13 Although MRI is the choice of imaging modality due to the fact that presence of high physiologic FDG activity in cerebral cortex may hinder the visualization of lesions, FDG-PET/ CT is now well established in the evaluation of CNS lymphomas with a pattern of intense FDG uptake. All our cases of primary CNS lymphoma were DLBC type with high FDG accumulations. The disease was very aggressive and fatal (Figure 4). All the cases recurred and 5/7 (71%) of the patients died during the follow-up. Orbital lymphomas constitute approximately 8% of extranodal disease. Marginal zone (MALT) lymphoma is the most frequent variant, DLBC is the second most common type.14 They are invariably FDG-avid ranging from moderate to high uptake.14 4/11 (36%) of our CNS lymphomas were primary orbital lymphoma and mostly MALT showing mild to moderate uptake. Their prognosis was indisputably very well contrary to the intracranial DLBC subtype.

61-year old female patient was diagnosed with primary CNS lymphoma of DLBC type. There was a mass in right periventricular region adjacent to right thalamus on transaxial PET (A), CT (B) and fusion (C) images (arrows). She was in serious risk because of her high metabolic tumor parameters (SUVmax: 35, SUVmean: 25, MTV: 425 cm3, TLG: 2543) and died of the disease 11 months after the diagnosis.
Primary extranodal head and neck lymphomas are usually DLBC variant showing marked and asymmetrical FDG-avidity with the enlargement of organs and corresponding changes in the anatomical contours. A particular variant affecting the nose and paranasal sinuses is the NK/T cell variant. It is a locally aggressive form of lymphoma involving the nasal cavity, septum, paranasal sinuses and hard palate with the erosion of underlying bone unlike DLBC.2 These lesions are also intensely FDG-avid. Our patients had DLBC and T cell variants showing intense FDG-avidity too. Primary bone lymphoma is most usually a DLBC type and shows intense uptake.15 Our patents are fully in agreement with the literature. Primarily lung lymphoma is more common with HD than with NHL.16 Lung involvement is usually associated with mediastinal nodal disease in HD, as NHL presents with lung disease alone.16 The most common histologic variant of primary lung lymphoma is MALT arising from the bronchus.17 Lung MALToma has variable FDG uptake. There were two patients with lung MALToma having mild to moderate uptake in our study group concordant with the literature. Primary breast lymphomas constitute 0.1–0.5% of all breast neoplasms.18 Involvement is by mostly DLBC with intense FDG-avidity. Our single case of primary breast lymphoma was a Burkitt which is an extremely rare variant in the breast.
There is a correlation between FDG uptake and histologic grade of lymphoma. Although low-grade NHLs such as follicular lymphoma and MC lymphoma do not demonstrate FDG-avidity to the same degree that high-grade lymphomas do, they are still FDG-avid enough to be determined.19 MC lymphoma is a subtype of NHL. It accounts for approximately 5% of all cases of lymphoma.20 The majority of patients present with advanced-stage disease and often have extranodal sites of involvement. These patients have a poor prognosis with a median survival of 3 to 4 years.20 MC lymphomas in the study took up mild FDG and had good prognosis. However, it must be taken into consideration that our patients were at stage I. MALT lymphoma is the third most common NHL following only DLBC and follicular lymphoma in incidence and it comprises approximately 8% of all NHL.21 Most studies report that MALT lymphomas show moderate to high FDG accumulation.21, 22 But a few studies with limited numbers of patients claim that FDG-PET imaging is unreliable for primary extranodal MALT lymphomas.19, 21, 22 We found usually moderate uptake and 50% decreased recurrence risk according to DLBC in our cases of MALT lymphoma with a favorable prognosis.
DLBC lymphoma is the most common histologic subtype of NHL accounting for approximately 25% of NHL cases.23 42/67 (63%) of our patients were DLBC with high FDG uptake. Burkitt lymphoma is a highly aggressive B-cell NHL. It is the most frequent NHL in childhood (30–40%), presenting almost always as a rapidly growing tumoral mass in the abdomen (60–80%, typically in the ileocecal region).24 Our patients with Burkitt lymphoma had high FDG uptake and their prognosis was bad. T cell lymphomas (PTCL) are a heterogeneous group of generally aggressive neoplasms that constitute less than 15% of all NHLs in adults.25 Our cases had bad prognosis with intense FDG-avidity. We found 10.5 times increased recurrence risk in T cell lymphomas in comparison to DLBC.
Fifteen (22%) patients died of the disease itself (widespread metastasis) and its complications. 5/15 (33%) of them had CNS, 4/15 (27%) testis, 3/15 (20%) head and neck, 2 GIS, one bone lymphoma. Of these, 12/15 (80%) were DLBC, 2 T cell and 1 Burkitt lymphoma. We observed complete remission in 42 patients and DFS was 54% at the end of the study (at 160th month). Mean follow-up time of this group was 72 months (13–160). OS at 5th year was 75%, 70% at 10th year. These results are in line with the other studies in literature.
FDG-PET/CT is being widely used in many cancers and lymphoma patients. Some quantitative metabolic parameters derived from initial staging PET/CT (SUVmax, SUVmean, MTV, TLG) have also been used in prognosis estimation and evaluation of treatment response for many cancers and lymphomas. They consume glucose at a higher metabolic rate reflected by the abnormal FDG up-take. This event is measured by SUV and correlates with cellular metabolism.26 SUVmax is the first used one and represents the highest FDG uptake within the tumor. SUVmean is the average activity in a tumor volume. More lately increasing recognition of volume-based metabolic parameters (MTV and TLG) emerged for this purpose.27
Esfahani et al. researched TLG and other parameters in DLBC for DFS estimation on initial and interim PET.28 They found TLG the most significant parameter with regard to recurrence and their recurrence rate was 30%.28 Gallicchio et al. in their study of 52 patients found these quantitative parameters helpful in the management of DLBC lymphoma.29 Especially TLG proved its utility in this area and came out as a striking predictor in many cancers and lymphomas. As it combines the assessment of tumor volume and metabolism, it can stratify patients or predict the effectiveness of therapy regimens. Ceriani et al. in their cohort study of 103 patients with DLBC showed that TLG is the most powerful predictor on baseline PET/CT.30 However, no study is available researching the use of these parameters in a mixed group of PEL patients with different subtypes currently. Most of the studies investigated them for separate organs and unique variants with limited numbers of patients or compared different treatment approaches. To the best of our knowledge, our study is the first one in which the prognosis of a mixed group of PEL was predicted with these metabolic indicators. The results of previous studies on PEL are controversial with respect to the use of metabolic tumor parameters for prediction of their prognosis in the literature. After evaluation of all potential risk factors affecting metastasis/recurrence development with univariate cox regression analysis and multivariate model; SUVmean, MTV and TLG were found to have statistically significant correlation with DFS time in our study. The most meaningful of them was SUVmean. The first used metabolic index, SUVmax is not as effective in our study as compared with the previous ones claiming that it is the most useful in many of the studies. SUVmax can be a misleading metabolic parameter for some tumors in which cells are in different phases of mitotic cycle, causing nonuniform FDG distribution. SUVmean may reflect tumoral activity more correctly in these cases. When we evaluated the diagnostic value of SUVmean over ROC curve, we observed a sensitivity of 88% and a specificity of 64% with a cut-off value of 5.15. First impressions show that metabolic tumor parameters, especially SUVmean may be used in the management of PEL. However, our results should be supported with studies of larger number of subjects in more specific subgroups with regard to primary site (organ) with unique variants.