Lymphatic filariasis (LF) is a mosquito-borne parasitic infection responsible for long-term chronic morbidity in the form of lymphoedema, genital pathology (especially hydroceles), recurrent disabling fevers (lymphangitis) and elephantiasis in over 40 million people around the world (Ottesen et al., 2008). It is estimated that 2 % of the world’s population is infected by lymphatic filariasis and more than one billion people (20 % of world’s population) are at risk of acquiring infection (WHO, 2011). The infection can be treated with drugs. However, chronic conditions may not be curable by anti-filarial drugs and require other measures, e.g. surgery for hydrocele, care of the skin and exercise to increase lymphatic drainage in lymphoedema. Annual treatment of all individuals at risk (individuals living in endemic areas) with recommended anti-filarial drugs, diethyl - carbamazine citrate (DEC) and albendazole, or ivermectin and albendazole; or the regular use of DEC fortified salt can prevent occurrence of new infection and disease (Hoerauf, 2008). Owing to the complex nature of parasites, the immune system is confronted with a highly diverse antigen repertoire, which is perpetuated by a number of biological characteristics of the helminths. Vaccination against parasites is still not a reality, despite decades of research. Strategies to identify candidate vaccine antigens against brugian or bancroftian filariasis include screening expression libraries with immune sera (Freedman et al., 1989), differential screening of abundantly expressed mRNAs (Gregory et al., 2000) or by the Expressed Sequence Tag (EST) approach (Blaxter et al., 1999). These strategies have facilitated the identification of several potential vaccine candidates offering varying degrees of protection against filarial infection in animal models (Thirugnanam et al., 2007; Anand et al., 2008; Vanam et al., 2009; Dakshinamoorthy et al., 2013). Antioxidant enzymes thioredoxin (TRX), thioredoxin peroxidase (TPX), glutathione-S-transferase (GST), superoxide dismutase (SOD) and glutathione peroxidase (GPX), most of which are present in all stages of the parasite and have been involved to protect the parasites from the host are reported as promising vaccine candidates (Maizels et al., 2001; Veerapathran et al., 2009; Madhumathi et al., 2010).
A new approach in vaccine technology is using recombinant protein subunits as peptide vaccines. Synthetic peptide vaccines and B–T cell chimera’s containing immunodominant regions from antigens have been developed for malaria (Nardin et al., 2001), Schistosomiasis (Arnon et al., 2000) and many other viral and parasitic diseases. Thioredoxin and transglutaminase, though being reported as promising vaccine candidates cannot be used as whole antigen due to the homology that it shares with host proteins (Kunchithapautham et al., 2003; Vanam et al., 2009; Madhumathi et al., 2010). Hence immunologically dominant B and T epitopes from these proteins were identified and constructed as Multi antigen peptide on an inert lysine core.
Adjuvants are usually defined as compounds that can increase and/or modulate the intrinsic immunogenicity of an antigen. Adjuvants are molecules, compounds or macromolecular complexes that boost the potency and longevity of specific immune response to antigens, but cause minimal toxicity or long lasting immune effects on their own (Wack, 2005). Alum is the universally licensed adjuvant so far used in humans approved by the Food and Drug Administration (FDA). Aluminum adjuvants selectively enhance the type 2 immune response. Although alum is able to induce a good antibody (TH2) response, it has little capacity to stimulate cellular (TH1) immune responses which are important for protection against many pathogens. Alum has potential to cause severe local and more serious systemic side- effects. (Petrovsky & Aguilar, 2004). Hence, there is demand for safe and non-toxic adjuvants which are able to stimulate cellular (TH1) immunity.
N-acetylmuramyl-L-alanyl-D-glutamic acid (AcMur-L-Ala-D-Glu), a synthetic analog of Muramyl Di Peptide (MDP) increases the humoral immune response when given in aqueous media instead of the usual water-in-oil emulsion (Audibert et al, 1976). N-acetylmuramyl-L-alanyl-D-isoglutamine (MDP for muramyl dipeptide), a component of many bacterial cell wall peptidoglycans has a strong immunomodulatory activity and have been utilized in preparation of certain synthetic vaccines (Ellouz et al., 1974). MDP as well as its synthetic analogues possess direct mitogenic activity and the ability to polyclonally activate murine spleen cells in vitro under certain conditions (Wood & Staruch, 1980, Löwy et al, 1980). The present study focusses the immune response of Thioredoxin Transglutaminase Multi Antigen Peptide (TT MAP) which encompasses 3 immunodominant peptides (2 from thioredoxin and one from transglutaminase) formulated with MDP as an adjuvant in mice model. This formulation is also compared with TT MAP immunised with alum as adjuvant.
The chimeric MAP is a grouping of heteromeric/homomeric immunodominant peptide sequences. The synthesis is done using standard Fmoc chemistry. Briefly, the Fmoc-Gly-HMP-TentaGel resin, substitution factor 0.16 mmol/g, was pre-swelled in dichloromethane (DCM) for 10 min as per the manufacturer’s instructions and kept for swelling in dimethylformamide (DMF) overnight. The F-moc group was removed using 20 % piperidine in DMF. To this, F-moc-Lys-(ivDde) was attached. The N-terminal F-moc is removed and the peptide was synthesized. At the end of the sequence, the last amino acid used was with a different protecting group, t-Boc, in order to prevent its removal while deprotecting F-moc groups during attachment of different sequences and to prevent unwanted chain elongation thus end capping the synthesized peptide sequences. In the next step, the ξ-NH2 protecting group, ivDde is removed using 2 % hydrazine in DMF and another Fmoc-Lys-(ivDde) was attached. The cycle was repeated till the completion of all the sequences. The epitopic sequences are given in Table 1.
Epitope sequences in Thioredoxin Transglutaminase Multi Antigen Peptide (TT MAP)
| Antigens | Epitope Sequences | 
|---|---|
| Transglutaminase peptide | KEFLLHETNGLVGIRTSENRYQFD | 
| Thioredoxin peptide 1 | ADLLANINLKKADGTVKKGSDALANK | 
| Thioredoxin peptide 2 | SEIEKLKNKYEVAGIP | 
The peptide sequences were synthesized by solid phase technique, using f-moc chemistry and assembled on Tentagel resin (Sigma-Aldrich) as TRX-TGA MAP (TT MAP) constructs. The MAP construct were purified and the purity was analyzed by high performance liquid chromatography.
The partial sequence of Wb-TGA was cloned in T7 expression vector pRSETB (Invitrogen, Carlsbad, CA), with an N-terminal histidine tag, were expressed in E.coli GJ-1158. Bacterial cell cultures were induced for 4 hours with 150 mM NaCl at an O.D of 0.6. The recombinant protein were analysed on 12 % SDS-PAGE and the electro-transferred protein bands on to the nitro cellulose membrane were further analysed by Western blot analysis. Anti-TGA antibody raised in mice (1:10000 dilutions) and alkaline phosphatase labelled goat anti-mouse antibody were used as primary and secondary antibodies, respectively, for the immunoblot analysis. Bacterial culture was subjected to cell lysis by sonication. The recombinant protein was present in the insoluble fraction revealing its property to form inclusion body. The insoluble fraction was washed twice with cell lysis buffer (50 mM Tris-Cl, 100 mM NaCl, 0.5 % (v/v) Triton X-100, 1 M urea) pH8.0, centrifuged at 12000 g for 15 min. The pellets were then resuspended in 3 M urea in buffer (50 mM Tris, 200 mM NaCl, pH 8.2) overnight, centrifuged at 15000 g for 15 min. The solubilised protein in supernatant was purified using chelating sepharose fast flow (Amersham Biosciences, Uppasala, Sweden). After washing this column with the same buffer containing urea, the recombinant proteins were eluted with the same buffer containing 150mM imidazole. The eluted proteins were loaded on to a desalting column (GE Healthcare-Lifesciences) for further purification. The Bm-TRX-1 gene in pRSET B vector was expressed in E. coli (GJ1158) using 100 mM NaCl at 0.6 O.D. for 3 h. The soluble protein was purified in non-denaturing conditions by ion exchange chromatography using DEAE Sepharose and analyzed on 12 % SDS-PAGE. The protein was further analyzed using mouse anti-TRX sera.
Protein concentrations were estimated by Bradford assay (Biorad, CA, USA) and then used for immunization.
Six to eight weeks old female BALB/c (H-2d) were procured from TamilNadu Veterinary and Animal Sciences University, Chennai. All experiments were performed in accordance with ‘Indian Animal Ethics Committee’ regulations. A dosage of 50 μg of TT MAP/100 pil PBS was given for each mouse in TT MAP groups. TT protein groups received 12.5 μg each of rTRX & rTGA (total 25 μg/100μl PBS for each mouse) as cocktail vaccine. Individual proteins TRX and TGA (25 μg/100μl PBS for each mouse) were immunised with MDP/Alum as separate groups which served as whole protein controls. Aluminium hydroxide gel & MDP (Sigma Aldrich, USA)) were admixed to each dose. 5 μg of MDP/mice was given for each dose. In case of alum, a 1:1 ratio was given. Four doses at weekly intervals were administered intra muscularly for MDP groups and intra peritoneally for alum groups. Intramuscular immunizations were carried out by injection of 100 μl volumes in the hind right leg ventral muscle. The adjuvant control group received Phosphate Buffered Saline alone in MDP/alum. Sera collected periodically after immunization in mice was used to check the antibody titer by ELISA. Immunizations of all the groups were performed during the same period. Booster doses were given on days 14, 21 and 28.
The sera were collected periodically after immunization and stored at -80 °C and the antibody titer was determined by ELISA, in which 96-well microtiter plates (Immulon2, Dynatech, VA, USA) were coated with 100 ng/well of respective antigen. The plates were blocked with 5 % skimmed milk, after washing with PBST and PBS, a 2 fold serial dilution from 1:500 to 1:64000 were performed using respective antisera. The antibody titer was determined by fixing a cut-off value which was obtained by the mean plus 3SD of the OD value of pre-immune serum. The highest dilution of the antiserum that showed an OD value above the cut-off value was taken as the antibody titer. The colour developed using mouse antibody conjugated with alkaline phosphatase/p-nitrophenyl phosphate as substrate (1 mg/ml) in substrate buffer (100 mM Tris-Cl, pH 9.5, 100 mM Nacl, 5 mM MgCl2) and the absorbance was read at 405 nm.
For determination of antibody isotypes, the sera (dilution1:500) from different immunization groups of mice were incubated for 1 h at 37 °C, with respective proteins (100 ng of TRX/TGA for whole protein groups and 50 ng of TRX and 50 ng of TGA for TT protein groups and 100 ng of TT MAP for MAP immunised groups) coated on ELISA plates. The IgG isotype binding was detected using secondary rabbit anti-mouse IgG antibody specific for each subclass (Sigma, USA) as per the manufacturer instructions. The absorbance was read at 405 nm.
Immunized mice were splenectomised aseptically and the splenocytes were separated and washed twice with fresh culture medium (RPMI 1640 from Gibco BRL, USA). Lysis buffer (0.1 % ammonium chloride) was added to the pellet to remove the red blood cells after which the lymphocytes were counted. The single cell suspension was cultured in triplicate in 96 well plates at 0.2×106 cells/ml in RPMI 1640 medium (100 μl/well) supplemented with gentamycin (80 μg/ml), 25 mM HEPES, 2 mM glutamine and 10 % fetal bovine serum. The cells were then stimulated in vitro with respective antigen, a positive control Concanavalin (Con A) (1 μg/ well each). Wells with medium alone were used as unstimulated controls. After growth at 37 °C in a CO2 incubator for 72h, the cultures were pulsed with (H3) thymidine (USB, Amersham Pharmacia, UK) at 0.5 μCi/well. The cells were incubated for 18h and harvested onto glass fiber disks and thymidine incorporation was measured by a liquid scintillation counter. All cultures were set up in triplicate and the results were expressed as mean stimulation index (SI) = (counts per minute of stimulated cultures/ counts per minute of unstimulated cultures) ± SD.
Cytokine levels of the various immunised groups of mice were analysed. 5x106 cells (lymphocytes obtained from immunised mice)/ ml were stimulated with respective antigens. The culture supernatants were centrifuged at 5000 rpm for 15 min, filtered through 0.22-μm pores and assayed for cytokine levels using sandwich ELISA for anti-mouse IL-2, IL-4, IL-5, IL-10 and IFN-ɤ (e-Biosciences) according to the manufacturer’s instructions. All concentrations were derived from standard curves and data expressed in picograms/ml.
The statistical analysis of the data by One-way or Two-way ANOVA with Bonferroni post-test were performed using GraphPad Prism software (version 5.03). Probability (p) value of <0.05 was considered statistically significant.
The Thioredoxin-Transglutaminase Multi Antigen Peptide (TT MAP) used in this study comprises of a tri-peptide, one epitope from Brugia malayi Transglutaminase (TGA) (amino acids 203-226 named as TGA P1) and two epitopic portions from Brugia malayi Thioredoxin (TRX) (amino acids 2-27 named as TRXP1 and amino acids 94-107 named as TRX P2) attached to an inert lysine core. The three peptides were chosen to be synthesised as MAP based on previous studies in mice models (Madhumathi et al., 2010) with individual peptides (Data not shown). All the 3 peptides are bonded to the inert lysine core. The chemically synthesised TT MAP has a molecular weight of 7.8kDa which is shown in Tricine SDS-PAGE (Fig. 1a) and confirmed by immunoblot (Fig. 1b).

Thioredoxin-Transglutaminase Multi Antigen Peptide (TT MAP):
1a. SDS-PAGE analysis of the synthetic TT MAP antigen: Lane 1 - Molecular marker, Lane 2 -TT MAP.
1b. Immunoblot analysis of TT MAP peptide: Lane M - Molecular marker, Lane 1-3 - Cross-reactivity of TT MAP with antibodies raised in mice against individual peptides (Bm TGA P1, Bm TRX P1 and Bm TRX P2, respectively)
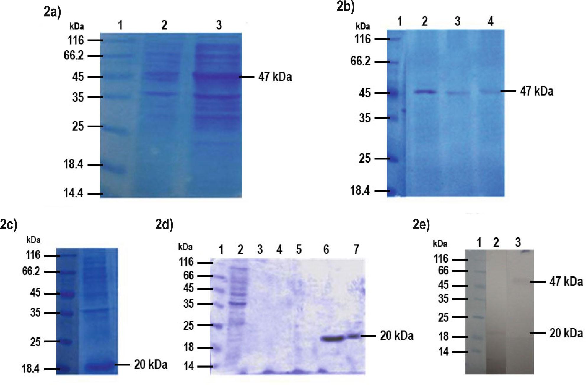
Expression and Purification of recombinant proteins TRX and TGA The rTGA was expressed as 47kDa protein and rTRX was expressed as a 20 kDa protein without histidine tag (Fig. 2a, 2c). Both the proteins were expressed in E. coli (GJ1158) Recombinant TGA was obtained in the insoluble fraction and hence the lysate was subjected to urea solubilisation which was then purified by Immobilised Metal Affinity Chromatography (Fig. 2b). Recombinant TRX was purified in the non- denatured form by Anion exchange chromatography (Fig. 2d). The purified proteins were then confirmed by mouse anti TGA and anti TRX sera (Fig. 2e).

Expression and purification of recombinant proteins:
(2a) Expression of the rTGA analyzed by 12 % SDS gel: Lane 1- Molecular marker, Lane 2 - pRSETB TGA uninduced, Lane 3 - pRSETB TGA induced
(2b) Purification of rTGA analyzed by 12 % SDS gel: Lane 1 - Molecular marker, Lanes 2-4 Pure TGA elutes
(2c) Expression of rTRX analyzed by 12 % SDS gel. Lane 1 - Molecular marker, Lane 2 - Expression of the 20 kDa rTRX produced from E. coli (GJ1158)
(2d) Purification of rTRX analyzed by 12 % SDS gel: Lane 1- Molecular marker, Lane 2- Flow through elute of TRX, Lanes 3-7 - Pure TRX elutes
(2e) Immunoblot cross-reactivity of purified rTRX and TGA with anti filarial mouse serum: Lane 1 - Molecular marker, Lane 2 - immunoblot with anti-TRX sera, Lane 3 - immunoblot with anti-TGA sera
Sera from mice were collected after each immunization and were used to measure the total IgG responses by ELISA. The antibody response was measured in terms of peak titers. Although the peak titers for TT MAP with MDP and alum were the same (1 in 64000) MDP group immunised with Individual proteins (TRX/TGA) showed a higher titer when compared with alum. TGA alone elicited a higher titre with MDP (1 in 1, 28,000) whereas TGA+alum elicited a peak titre of 1 in 32,000. MDP in combination with TRX elicited a peak titre of 1 in 32,000 which eventually dropped to 16,000 on 42nd day (Fig. 3a, 3b). The isotype profile of TT MAP with alum/MDP showed a similar pattern with a higher IgG1 response. TT MAP with alum shows a significant increase of all isotypes as compared to the individual and TT Protein groups immunised with alum (a***, P<0.001 in Fig. 4a). In case of MDP as adjuvant, TGA immunised group shows a significant increase in IgG2b levels as compared to other groups (b*** in Fig 4b). The IgG1 levels of TGA-MDP was in par with TT MAP immunised with MDP. The isotype levels of TT MAP was significant (c**, P<0.01) as compared to TT protein group immunised with MDP.

Humoral immune response of TT MAP with Alum and MDP
3a. Antigen specific antibody titers (in thousands) in mice immunised with alum as adjuvant at day 14, 21, 35 and 42 post-immunization.
3b. Antigen specific antibody titers (in thousands) in mice immunised with MDP as adjuvant at day 14, 21, 35 and 42 post-immunization.
3c. Comparison of peak antibody titers followed by immunization with TRX, TGA, TT protein and TT MAP with alum/MDP as adjuvants. Individual points represent mean peak titers determined on day 35 (n=5 mice per experimental group)

Immunglobulin isotype profiles detected after the immunizations with Alum or MDP adjuvant
4a. Immunoglobulin isotype profile (IgG1, IgG2a, IgG2b, IgG3, IgM, IgA) followed by immunization with TRX, TGA, TT protein and TT MAP with alum as adjuvant.
4b. Immunoglobulin isotype profile (IgG1, IgG2a, IgG2b, IgG3, IgM, IgA) followed by immunization with TRX, TGA, TT protein, TT MAP with MDP as adjuvant. The antibody isotypes measured in 1:500 diluted sera are shown in bars. Data represents mean titer ± SD (n=5 mice per experimental group). Asterisks represents level of significance between control (adjuvant) and immunised groups (*** P < 0.001; ** P<0.01)
The cell-mediated lymphoproliferative responses when examined using the splenocytes from each animal in proliferation assays, the maximum proliferation was observed for TT MAP with MDP. (Fig. 5). The difference in splenocyte proliferation was well pronounced between alum and MDP immunised groups (P < 0.001). The levels of the cytokines IL-2, IL-4, IL-5, IL-10, and IFN-ɤ were measured, to understand the cytokines involved in the cell-mediated pathway (Table 2).The IL-2 and IFN-ɤ levels in TT MAP with MDP immunized groups is higher than all the alum immunized groups. IL-4 levels in TT MAP with alum immunised groups were significantly higher than TT MAP with MDP group whereas there existed no significance in IL-5 levels of TT MAP groups. IL-10 level in TT MAP with MDP is significantly lower in comparison with alum immunised groups as wells as protein immunised groups with MDP/alum.

Splenocyte proliferation
Splenocyte proliferation in different mice groups stimulated with corresponding antigens TRX, TGA, TT protein, TT MAP, compared to MDP/Alum controls. Data are presented as mean (± SD) Stimulation Index (S.I.) of five mice per experimental group. Asterisks represents level of significance between the TGA and TT MAP group where the MDP was used as adjuvant (*** P < 0.001)
Cytokine levels
| Groups | IL2 | IFN-G | IL-4 | IL-5 | IL-10 | |
|---|---|---|---|---|---|---|
| TRX | Alum | 98 ± 10.6 | 160.81 ± 12.21(1) | 321 ± 3.11(2) | 230.33 ± 6.55(3) | 89.27 ± 2.29 | 
| MDP | 144.25 ± 1.76(4) | 100.81 ± 3.21 | 259.29 ± 0.41 | 116.53 ± 3.68 | 110.47 ± 1.45a | |
| TGA | Alum | 177.35 ± .88 | 375.81 ± 6.423 | 509 ± 2.49 | 216.85 ± 6.766 | 61.11 ± .66 | 
| MDP | 199.25 ± 5.3(5) | 367.45 ± 3.21 | 547.38 ± 1.35 | 336.30 ± 3.9(6) | 90.64 ± 0.06(7) | |
| TT Protein | Alum | 127.37 ± 0.88 | 230.54 ± 1.28(8) | 329.88 ± 6.66(9) | 283.88 ± 0.922 | 94.44 ± .54 | 
| MDP | 159.25 ± 1.78(10) | 150.81 ± 5.78 | 293.11 ± 4.57(11) | 263.95 ± 6.55 | 132.62 ± 7.25(12),(13) | |
| TT MAP | Alum | 149.25 ± 8.83 | 214 ± 2.86 | 341 ± 3.26(14) | 293 ± 5.48 | 85 ± 4.32(15) | 
| MDP | 221 ± 8.87(16),(17) | 412 ± 2.86(18),(19) | 226.91 ± 6.86 | 309.92 ± 5.09(20) | 44.4 ± 0.2 | 
Cytokine levels (pg/ml) in culture supernatants of spleen cells, from mice, immunized with the TRX, TGA, TT Protein or TT MAP with MDP as adjuvant and stimulated in vitro with respective antigens. Experiments were done thrice and data represented as mean concentration±SD.
Filariasis is considered one of the most complex infections of humans, and sufficient immunoprophylactic studies for lymphatic filariasis has not been carried out. The widespread chronic infection and the morbidity are due to the spectrum of immune evasion strategy developed by the filarial nematode. Mouse models provide us with the insight into the possible mechanism by which the filarial nematode can be destroyed (Lawrence & Devaney, 2001).
Metabolically active enzymes are highly conserved and hence they share homologous regions with host proteins which may show cross reactivity when developed as vaccines (Madhumathi et al., 2011). The sequence similarity of filarial TRX and TGA with host proteins is a major drawback towards the exploitation of their potent immunogenicity to be developed as vaccines. Apart from the homologous sequence, the immuno-modulatory effect of TRX reported by Kunchithapautham et al. (2003) sets another limitation for TRX to be used as a vaccine candidate. Hence, epitopic portions which were non homologous to the host proteins (Madhumathi et al., 2010) and were highly reactive to the sera of putatively immune individuals (Endemic normal) were chosen to be constructed as Multi Antigen Peptides on an inert lysine core.
The present study which focuses on the immune responses of TT MAP formulated with MDP is an attempt to improve the vaccine efficacy of TT MAP. MDP, the synthetic analogue of the bacterial peptidoglycan moiety has been reported as safe and potent adjuvant in various immunisation studies (Parant, 1979; Moschos et al., 2005). TT MAP-MDP showed a higher antibody response in comparison with TRX and TT protein cocktail mixture. IL-10 levels in TRX immunised mice seem to be higher, predicting the regulatory T cell effect which may have down regulated the humoral immune response in TRX immunised groups. MDP is Nucleotide Oligomerization Domain containing protein (NOD) dependent and activates the NF-κB for the stimulation of immune responses. Filarial nematode-derived thioredoxin influences the host immune cell activity by inhibiting the activity of p38 MAP kinase (Hashimoto et al., 1999). The immuno-modulatory effect of TRX well correlates with the mechanisms predicted by Kunchithapautham et al. (2003). On the contrary TT MAP that constitutes 2 immunodominant epitope from TRX has elicited a higher antibody response which shows that the epitopic portions are devoid of immuno-modulating sequences which may have inhibited the adjuvant potency. The antibody isotype elicited by TT MAP with alum/MDP showed similar patterns of isotype profile. IgG1 and IgM levels were higher in TT MAP immunized groups. The high levels of IgM antibodies indicate host defense mechanism. IgM and IgG1 have been implicated in protection in experimental filariasis (Thirugnanam et al., 2007; Rajan et al., 2005). T cell responses for both MDP and Alum with TT MAP seemed to have elicited different T helper response which is due to the immuno modulating activity contributed by the adjuvants. TT MAP formulated with alum had a biased TH2 response whereas TT MAP formulated with MDP shows a balanced TH1/TH2 response. Previous experiments on MDP has reported on the elicitation of cytokines in vitro mediated by chemical analogues of MDP (Gobec et al., 2004), where some resulted in type I cytokine secretion but others resulted in more balanced cytokine profiles (Moschos et al., 2005). Vaccines formulated with MDP when combined with liposomes may enhance higher cell mediated immune responses. Studies have confirmed that alum selectively promotes TH2 responses in mice, including IL-4 production and generation of IgG1 antibodies (Brewer et al., 1999) which also evident in the present study. Alum usually generates TH2-related specific immune responses. In part this bias is caused by alum’s ability to induce production of IL-4. IL-4 made in response to alum is not required to drive TH2 responses but rather, acts by suppressing TH1-related phenomena, leading to a more polarized immune response (McKee et al, 2009). The experiments described here demonstrated that TT MAP administered with MDP elicited TT MAP specific TH1 and TH2 cells, since both TH1 (IFN-ɤ)-and TH2 (IL-4 & IL-5) type cytokines were secreted in response.
In conclusion, our findings with MDP as adjuvant administered with TT MAP via intramuscular route in Balb/c mice model was safe and the formulation elicited a higher antibody response with a balanced TH1/TH2 response. However the assessment of this formulation capable of contributing to protective immune response could be confirmed only after immunisation and challenge studies carried out in permissive animal models.
= P<0.005, Comparison of individual groups of alum and MDP
= P<0.005, Comparison of individual groups of alum and MDP
= P<0.005, Comparison of individual groups of alum and MDP
= P<0.005, Comparison of individual groups of alum and MDP
= P<0.005, Comparison of individual groups of alum and MDP
= P<0.005, Comparison of individual groups of alum and MDP
= P<0.005, Comparison of individual groups of alum and MDP
= P<0.005, Comparison of individual groups of alum and MDP
= P<0.005, Comparison of individual groups of alum and MDP
= P<0.005, Comparison of individual groups of alum and MDP
= P<0.005, Comparison of TT Protein MDP and TT MAP MDP groups
= P<0.005, Comparison of individual groups of alum and MDP
= P<0.005, Comparison of TT Protein MDP and TT MAP MDP groups
= P<0.005, Comparison of individual groups of alum and MDP
= P<0.005, Comparison of individual groups of alum and MDP
= P<0.005, Comparison of individual groups of alum and MDP
= P<0.005, Comparison of TT Protein MDP and TT MAP MDP groups
= P<0.005, Comparison of individual groups of alum and MDP
= P<0.005, Comparison of TT Protein MDP and TT MAP MDP groups
= P<0.005, Comparison of TT Protein MDP and TT MAP MDP groups