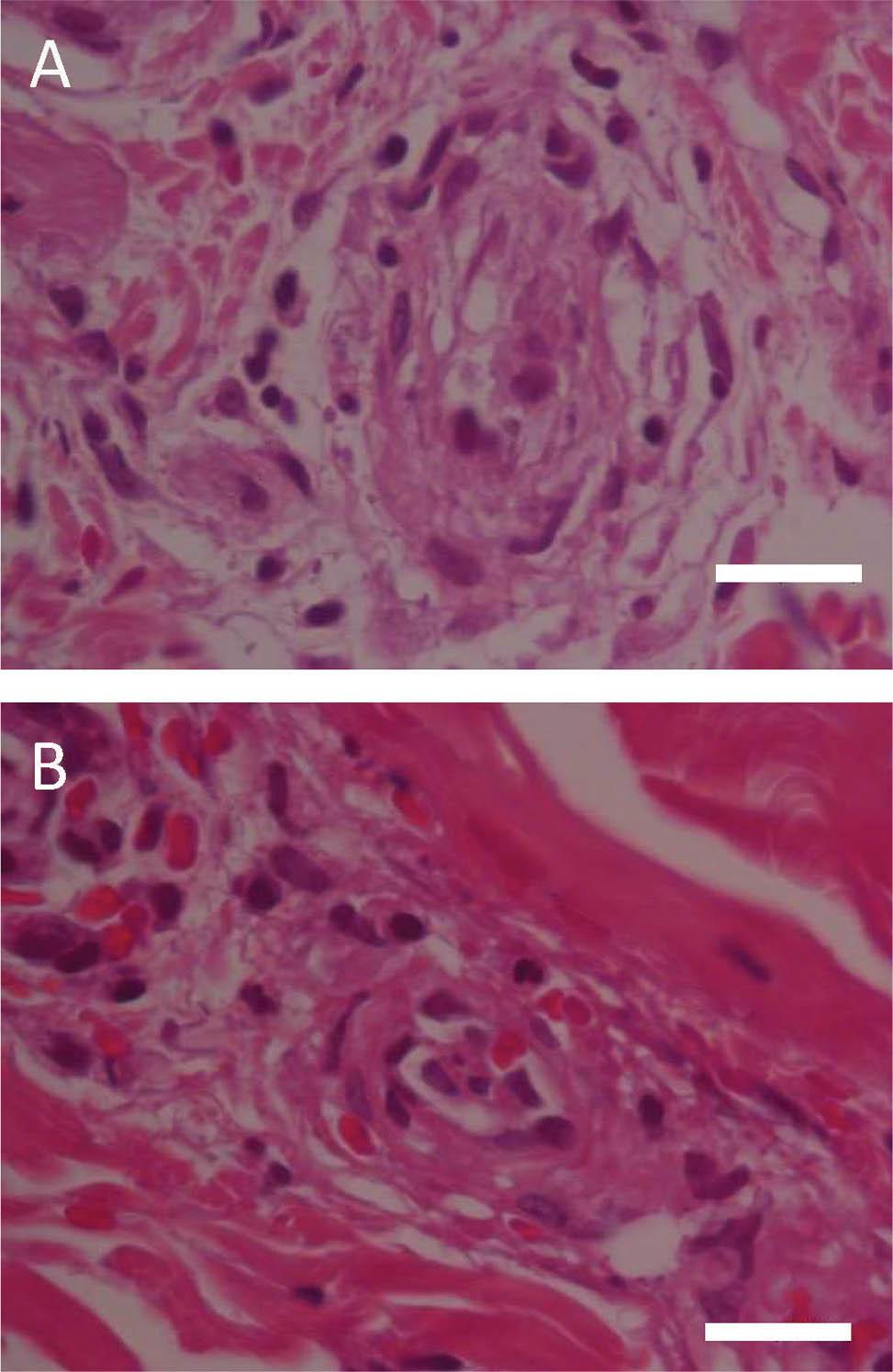
Figure 1

Figure 2

Laboratory findings during hospitalization and follow-up of an acutely febrile patient with suspected dengue infection†
| Day of fever | 2 | 4 | 5 | 7 | 2nd wk | 5th wk | 6th wk | 8th wk |
|---|---|---|---|---|---|---|---|---|
| Body temperature (°C) | 39.8 | 39.4 | 37.2 | 36.8 | 36.5 | 36.2 | 36.5 | 36.5 |
| Hematocrit (%) | 29.4 | 21.9 | 22.0 | 27.5 | 37.3 | 43.7 | 41.3 | 44.3 |
| WBC (×103/μL) | 4.1 | 3.7 | 5.1 | 11.4 | 11.9 | 8.4 | 3.6 | |
| Neutrophils (%) | 64.0 | 59.0 | 71.0 | 79.0 | 75.0 | 62.0 | 41.0 | |
| Lymphocytes (%) | 14.0 | 20.0 | 22.0 | 20.0 | 20.0 | 28.0 | 50.0 | |
| Atypical lymphocytes (%) | 6.0 | 2.0 | 4.0 | 0 | 0 | 0 | 0 | |
| Monocytes (%) | 3.0 | 4.0 | 3.0 | 0 | 4.0 | 9.0 | 8.0 | |
| Eosinophils (%) | 10.0 | 10.0 | 0 | 1.0 | 0 | 1.0 | 2.0 | |
| Basophils (%) | 0 | 0 | 0 | 0 | 1.0 | 0 | 0 | |
| Platelet count (×103/μL) | 59 | 43 | 58 | 194 | 275 | 179 | 202 | |
| AST (U/L) | 28 | 16 | ||||||
| ALT (U/L) | 16 | 24 | ||||||
| LDH (U/L) | 523 | 769 | ||||||
| NS1 Ag | Negative | |||||||
| Dengue virus IgM and IgG antibodies | Positive |