In tropical countries, dengue virus infection is a common infectious disease transmitted to humans by means of Aedes aegypti and A. albopictus. Approximately 60% of the population of tropical countries is at risk of infection with dengue virus [1]. Dengue virus infection is characterized by a spectrum of severity including undifferentiated, dengue hemorrhagic fever, and dengue shock syndrome. Patients infected with dengue can present with myalgia, rash, and a tendency toward bleeding. High-grade fever and rash are 2 typical presentations of dengue infection, which overlap with other tropical diseases, such as Rickettsiosis [2]. Apart from infectious diseases, connective tissue diseases can cause fever with non-organ-specific symptoms. Lupus erythematosus is a common autoimmune disease and systemic lupus erythematosus (SLE) is characterized by end organ damage, and dermatological and immunological disorders [3]. Cytopenia and rash are among the criteria for diagnosing SLE. Some patients with SLE can be misdiagnosed with the early stage of viral infection. These two diseases have similar clinical presentations, such as acute febrile illness, but different treatments and disease prognosis. Thus, many hospitals provide a dengue diagnostic test to improve the decisions of physicians when assessing patients presenting with an acute febrile illness. Dengue-specific tests including for dengue nonstructural protein 1 (NS1), dengue IgM, and dengue virus immunoglobulin G (dengue IgG) are widely used for diagnosis [4, 5]. However, several studies have demonstrated false-positive dengue test results among patients with abnormal immune systems [6, 7, 8, 9]. Data to guide physicians when assessing acute febrile patients with non-organ-specific symptoms in dengue-endemic areas are inadequate.
The report of the present case was approved by the Rajavithi Hospital Ethical Committee (approval No. 61102 111/2561). The patient freely provided their written informed consent to publish details of their case including photographs and descriptions. A 19-year-old Thai woman presented with high body temperature, myalgia, and rash on both her legs for 2 days. She lived in Bangkok and her history of previous dengue infection and recent travel was negative. She denied a prior history of illness and medication, but felt she had a high fever and self-administered acetaminophen at a standard dose (2,000 mg/day) for relief. On the day of admission (the third day of illness), she developed progressive maculopapular rash on both her lower legs, nausea, and pain in her abdomen. She presented with high body temperature (40 °C), tachycardia (130 bpm), tachypnea (24/min), and blood pressure of 90/65 mmHg. A clinical examination determined that she had good consciousness, no conjunctivitis, no pharyngitis, and normal cardiovascular and respiratory systems. Her liver and spleen were slightly enlarged and painful. There were no signs of bleeding and basic laboratory tests upon admission showed leukopenia and thrombocytopenia. A serological test for dengue was negative for NS1, but both dengue IgM and IgG (Panbio immunochromatographic tests) results were positive. She was infused with 5% dextrose in normal saline solution as fluid resuscitation for 48 h and prescribed ceftriaxone (2 g/day intravenously) because bacterial infection could not be excluded. Moreover, she continued high-grade fever and developed an erythematous rash on the malar area, a circular, hyperpigmented plaque on both ears, and an erythematous nonblanchable patch on her abdominal wall (Figure 1) on the fifth day. A chest X-ray image showed no evidence of pleural effusion, and abdominal ultrasonography showed splenomegaly (measuring 14.5 cm) with a small amount of fluid in a cul-de-sac and hepatorenal areas. A complete blood count showed pancytopenia and elevated C-reactive protein (38 mg/L; normal range <5 mg/L) and lactate dehydrogenase (523 U/L; normal range 240–480 U/L; Table 1). Microbiological studies (blood culture for bacteria) were negative and proteinuria grade 2+ was found on a urine dipstick test. Her clinical condition did not improve during the first 3 days of hospitalization, and a real-time polymerase chain reaction (qPCR) blood assay for dengue virus was performed; antinuclear antibody, anti-dsDNA, and anti-Sm antibody tests were conducted, and a skin biopsy was taken from her abdominal area. She was immediately administered dexamethasone intravenously according to body weight (1 mg/kg/day) for about 1 week before receiving the diagnostic results. During the second week of hospitalization, her fever pattern abated (ranged from 36.8 to 37.0 °C), and her clinical symptoms (abdominal distension, skin rash, and cytopenia) disappeared. She appeared to be healthy during the follow-up period, and laboratory tests were all negative including qPCR for DENV-1, 2, 3, and 4. Her autoimmune antibodies were positive (speckle pattern titer >1:1,280 and nucleolar pattern titer >1:1,280, anti-dsDNA of 547 IU/mL), but negative for anti-cardiolipin IgM and IgG, and anti-β2-glycoprotein 1). The skin biopsy showed a pattern of vasculitis (Figure 2). Finally, she was diagnosed with SLE according to revised criteria for SLE [3]. She was administered prednisolone (20 mg/day) and chloroquine (200 mg/day) to control her immune status and her clinical symptoms were in remission 2 months after receiving this treatment.
Laboratory findings during hospitalization and follow-up of an acutely febrile patient with suspected dengue infection†
| Day of fever | 2 | 4 | 5 | 7 | 2nd wk | 5th wk | 6th wk | 8th wk |
|---|---|---|---|---|---|---|---|---|
| Body temperature (°C) | 39.8 | 39.4 | 37.2 | 36.8 | 36.5 | 36.2 | 36.5 | 36.5 |
| Hematocrit (%) | 29.4 | 21.9 | 22.0 | 27.5 | 37.3 | 43.7 | 41.3 | 44.3 |
| WBC (×103/μL) | 4.1 | 3.7 | 5.1 | 11.4 | 11.9 | 8.4 | 3.6 | |
| Neutrophils (%) | 64.0 | 59.0 | 71.0 | 79.0 | 75.0 | 62.0 | 41.0 | |
| Lymphocytes (%) | 14.0 | 20.0 | 22.0 | 20.0 | 20.0 | 28.0 | 50.0 | |
| Atypical lymphocytes (%) | 6.0 | 2.0 | 4.0 | 0 | 0 | 0 | 0 | |
| Monocytes (%) | 3.0 | 4.0 | 3.0 | 0 | 4.0 | 9.0 | 8.0 | |
| Eosinophils (%) | 10.0 | 10.0 | 0 | 1.0 | 0 | 1.0 | 2.0 | |
| Basophils (%) | 0 | 0 | 0 | 0 | 1.0 | 0 | 0 | |
| Platelet count (×103/μL) | 59 | 43 | 58 | 194 | 275 | 179 | 202 | |
| AST (U/L) | 28 | 16 | ||||||
| ALT (U/L) | 16 | 24 | ||||||
| LDH (U/L) | 523 | 769 | ||||||
| NS1 Ag | Negative | |||||||
| Dengue virus IgM and IgG antibodies | Positive |
WBC, white blood cells; AST, aspartate transaminase; ALT, alanine aminotransferase; LDH, lactate dehydrogenase; Ig, immunoglobulin; NS1, dengue virus nonstructural protein 1 was negative and the †ultimate diagnosis was systemic lupus erythematosus

Presentation of a 19-year-old acutely febrile patient from a region endemic for dengue. A. Shallow clear painless ulcer on the soft palate area. B. Erythematous macular rash on the malar area. C. Discoid rash on the ear. With consent for publication from the patient.

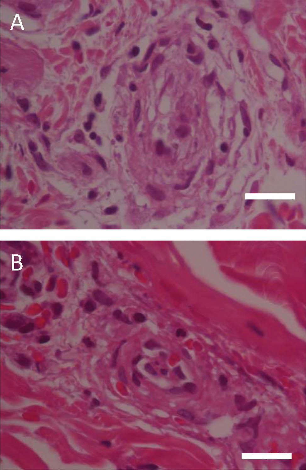
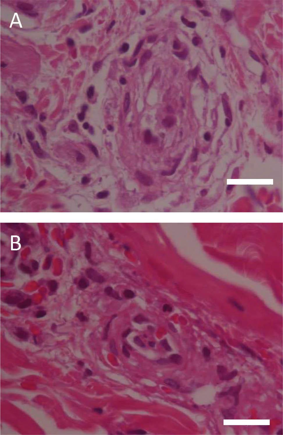
A and B. Skin biopsy from an erythematous nonblanchable patch on the abdomen of the acutely febrile patient showing a pattern of vasculitis. Dense superficial and mid-perivascular and interstitial mixed inflammatory cell infiltrate composed of lymphohistiocytes, neutrophils, a few nuclear remnants, and extravasated red blood cells (hematoxylin and eosin staining; original magnification ×100; scale bars indicate 10 μm).
Patients with dengue virus infection can have symptoms and signs that mimic other infectious and non-infectious diseases [10]. The World Health Organization recommends diagnostic criteria for dengue infection using a combination of clinical data and specific laboratory tests [1, 4]. These laboratory tests play an important role in helping physicians to make their decision, and NS1 and dengue IgM/IgG screening tests are also available. We have reported the case of a patient presenting with acute febrile illness and finally diagnosed with lupus erythematosus.
Based on a clinical approach, there is always the problem that acutely febrile patients presenting with nonspecific dermatological manifestations can be misdiagnosed as having a dengue virus infection. Physicians should be vigilant for skin abnormalities in a differential diagnosis of dengue virus infection and autoimmune disease, such as SLE. Our patient presented with nonspecific skin rashes during the first few days of admission. Skin rash occurs in from 46% to 82% of patients with dengue infection, which ranges from nonspecific to blanchable, commonly with maculopapular eruptions on the extremities and trunk [11, 12, 13]. In dengue infection, the lesion appears as a flushing erythema of the face caused by a capillary dilatation [14]. Our patient developed a skin rash in the malar area, which is a diagnostic criterion for SLE [15, 16]. However, both dengue infection and SLE can present with maculopapular rash, fever, and nonspecific symptoms and skin abnormalities can be found in 70% of patients with SLE [17]. Specific skin lesions include subacute (6.5%), and chronic lupus (26.0%) lesions [18]. Acute cutaneous lupus erythematosus may present in either a localized (40%–51%) or a generalized (5%–12%) distribution, which is induced by exposure to ultraviolet light [19, 20]. The rest are nonspecific lesions (such as vasculitis (18%–70%), photosensitivity (28%–63%), Raynaud's phenomenon (18%–60%), alopecia (24%–59%), and oral ulcers (19%–31%)) [17, 18, 19]. Our patient showed a vasculitis-like-lesion in the pathological section taken from the skin biopsy. Our case was a definite diagnosis according to clinical and skin abnormalities, but physicians might become confused and conduct routine dengue laboratory tests in endemic areas.
Basic laboratory parameters might aid physicians in making a provisional diagnosis of dengue because the bicytopenic condition occurs commonly in patients with dengue virus infection, but pancytopenia with proteinuria can be found in patients with SLE. The recommended dengue virus laboratory tests are NS1 and dengue IgM according to the days of fever. The Panbio dengue test is an acceptable predictive tool (sensitivity 0.92; specificity 0.91) in dengue-endemic countries, but one should be aware of its false-positive dengue results [5]. We found only one study in vitro showed a false-positive dengue IgM test result for an autoimmune blood patient [8]. A specific protein may cause a reaction similar to that of a cellular dengue virus infection. This reaction could be a cross reactivity between the NS1-specific disease, the host protein, the endothelial cells, and the platelets [6]. Another hypothesis is that autoimmune patients may have a rheumatoid factor that coats with anti-human IgM antibody and causes nonspecific binding [5]. As in our case, the dengue IgM test result may be in doubt if the patient has a strong clinical presentation of connective tissue disease.
Our case demonstrated a false-positive dengue test result in a patient with SLE patient who lives in dengue-endemic country. Nonspecific symptoms of dengue infection can overlap with those of the autoimmune disorder, which subsequently causes confusion during the early clinical course [2, 6]. Physical examinations should be conducted frequently to obtain clinical information on specific skin lesions. We recommend using all clinical data (including history, physical examinations, and general laboratory results) as a better way to diagnosis than using dengue-specific tests alone to make a diagnosis of acute febrile illness in dengue-endemic countries.