Brain metastasis is the most common malignant brain tumor in adults. Accurate and precise diagnostic tools for the detection of brain metastases are crucial. The size and number of detectable brain metastases affect treatment planning. Surgery is usually performed for patients with a single brain metastasis, particularly when the tumor causes mass effect [1]. Stereotactic radio-surgery is performed in patients who have limited number of small brain metastases (<4–10 lesions) [2]. Prognosis worsens if tiny lesions are missed on pretreatment imaging evaluation and have not received an adequate treatment.
Magnetic resonance imaging (MRI) is an efficient noninvasive imaging modality for the evaluation of pretreatment tumor burden and posttreatment responses [3]. Gadolinium contrast-enhanced T1-weighted sequence is the prime sequence for the evaluation of brain metastases, as recommended by The Response Assessment in Neuro-Oncology Brain Metastases (RANO-BM) working group [4]. Three-dimensional (3D) T1-weighted sequence is recommended over two-dimensional (2D) T1-weighted sequence due to thinner slice thickness and the ability to perform multiplanar reformation [5, 6]. Nevertheless, there are several variants of 3D T1-weighted sequences that can be chosen, each with distinct characteristics. The main differences between those variants are (1) type of echo: spin echo vs. gradient echo [7] and (2) the presence of 180° inversion recovery (IR) preparatory pulse: magnetization-prepared vs. non-magnetization-prepared pulse [8, 9]. The minor differences are k-space trajectory and incorporation of fast imaging techniques.
The 3D T1-weighted magnetization-prepared rapid gradient-echo sequence (MPRAGE) is the most commonly used form of contrast-enhanced 3D T1-weighted sequences for the evaluation of brain tumors in both clinical and research settings [10]. The MPRAGE sequence is equipped with an IR pulse that provides a sharp differentiation between the gray matter and the white matter; however, the degree of contrast enhancement is suboptimal and enhancing lesions may be missed [11, 12, 13]. Two alternative 3D T1-weighted sequences are available for clinical use, namely (1) Volumetric Interpolated Brain Examination (VIBE) and (2) Sampling Perfection with Application optimized Contrasts using different flip angle Evolutions (SPACE). VIBE is a 3D fast gradient recalled-echo T1-weighted sequence without an IR pulse, which uses asymmetric k-space sampling and zero filling technique to rapidly obtain high spatial resolution images [14]. VIBE sequence was initially used for dynamic contrast-enhanced abdominal imaging [15], and then it was adopted to evaluate several types of brain lesions [14, 16, 17, 18]. SPACE is a 3D turbo spin-echo (TSE) sequence, which has higher sensitivity to low gadolinium concentration and lower sensitivity to susceptibility artifact [19, 20].
Danieli et al. recently published a study that showed a superior tumor-enhancement visualization in SPACE and VIBE compared with MPRAGE [21]. However, a direct comparison between SPACE and VIBE sequence was not addressed. Studies have compared the degree of contrast enhancement between MPRAGE and VIBE [14], and between MPRAGE and SPACE [22, 23, 24, 25, 26], but the comparison between SPACE and VIBE is lacking. The visualization of contrast enhancement is important for the detection and treatment planning of brain metastases. The objective of this study is to compare VIBE and SPACE sequences for the ability to detect brain metastases in cancer patients at 3 tesla.
This study was approved by the Institutional Review Board of the Faculty of Medicine, Chulalongkorn University, Bangkok, Thailand (certificate of approval no. 482/2018). For this type of study, formal consent is not required. The imaging database was searched using “metastasis” and “metastases” as keywords. Consecutive patients with evidence of brain metastasis between April 2017 and February 2018 were identified. Patients who underwent both sequences of MRI at 3 tesla, namely (1) contrast-enhanced 3D T1-weighted SPACE and (2) contrast-enhanced 3D T1-weighted VIBE, were included. The presence of brain metastasis was based on histological analysis, the inspection of the initial, or the follow-up MRI images. Exclusion criteria were (1) poor image quality that was considered nondiagnostic, (2) previous brain surgery, and (3) presence of intrinsic high T1 signal intensity within the brain parenchyma.
All imaging studies were performed according to clinical indications using a 3-tesla clinical MRI system (Skyra; Siemens Medical Solution, Erlangen, Germany) with 45 mT/m maximum gradient strength, 200 T/m/s maximum slew rate, and a 20-channel receiver head and neck coil. Pre-contrast and post-contrast images were acquired according to the institutional protocol. A standard dose of 0.1 mmol/kg of gadoterate meglumine (Dotarem, Guerbet, Roissy, France) was used in all patients. Patients underwent contrast-enhanced 3D T1-weighted SPACE acquisition before contrast-enhanced 3D T1-weighted VIBE acquisition. The parameters of both sequences are presented in Table 1.
Magnetic resonance imaging parameters
| Parameters | 3D T1-weighted SPACE | 3D T1-weighted VIBE |
|---|---|---|
| TR (ms) | 500 | 20 |
| TE (ms) | 20 | 3.69 |
| Flip angles (degree) | Variable | 12 |
| Reconstructed slice thickness (mm) | 0.98 | 1 |
| Voxel size (mm) | 0.98 × 0.98 × 0.98 | 0.65 × 0.62 × 1.25 |
| Echo-train length | 35 | Not applicable |
| Matrix size | 256 × 256 × 176 | 320 × 272 (85% of read) × 128 mm (80% of slice per slab) |
| Field of view | 250 × 250 | 210 × 171 |
| Partition direction | N/A | Zero-filled with 160 points |
| Bandwidth (hertz per pixel) | 621 | 130 |
| Number of acquisition (NEX) | 1 | 1 |
| Acquisition plane | Sagittal | Axial |
| Acceleration factor | 2 | 2 |
| Fat suppression | No | Yes |
| Acquisition time (min:s) | 4:47 | 4:51 |
3D, Three-dimensional; SPACE, Sampling Perfection with Application optimized Contrasts using different flip angle Evolutions; VIBE, Volumetric Interpolated Brain Examination.
All MRI datasets were anonymized and randomly assigned for image review. Two blinded reviewers included SP, a board-certified neuroradiologist with 8 years of experience, and SK, a neuroradiology fellow with 4 years of experience. Two levels of image analysis were performed. For the first-level analysis, each reviewer independently identified and counted the number of enhancing brain lesions on each sequence. The multiplanar reconstruction was obligatory to maximize the accurate detection of the enhancing lesions. Care was taken to differentiate the enhancing metastatic lesions in the brain parenchyma from high signal intensity in the vascular structures and leptomeningeal enhancement. The number, the location of the enhancing intraparenchymal lesions, and the maximal diameter of the largest enhancing lesion were documented. Leptomeningeal enhancement was not included in the analysis. Discrepancies were resolved by consensus.
For the second-level analysis, a head-to-head comparison was performed when there was a discrepancy in the number of enhancing lesions between the two sequences. The SPACE and VIBE images were reviewed side by side. A truly missed lesion was defined as a lesion that was not visible on one sequence, but was visible on the other sequence.
Statistical analysis was performed using SPSS software version 22.0 (IBM Corporation, Armonk, New York). Continuous parametric data were reported as mean and standard deviation (SD). Continuous nonparametric data were reported as median and interquartile range (IQR). Categorical data were reported as proportions. The numbers of the enhancing lesions detected on SPACE and VIBE were compared using the Wilcoxon signed rank test. P < 0.05 was considered statistically significant. A Bland–Altman plot and a scatter plot with linear regression were created.
Interobserver reliability was calculated as intraclass correlation (ICC) using two-way mixed effects and consistency definition. The ICC values were interpreted as follows: <0.5 poor, 0.5–0.75 moderate, 0.75–0.9 good, and >0.9 excellent [27].
A total of 27 patients were included in this study: 11 (40.7%) were men and 16 (59.3%) were women. The mean (±SD) age was 55.0 (±14.3) years. The age ranged from 17 to 76 years. All patients had at least one contrast enhancing lesions in the brain parenchyma. The primary malignancies included 18 lung cancer, 4 breast cancer, 2 head and neck cancer, 1 cervical cancer, 1 ovarian cancer, and 1 hepatocellular carcinoma. Of the 27 patients, 19 (70.4%) underwent previous cranial irradiation or chemotherapy while 8 (29.6%) received no prior treatment.
Significantly more contrast enhancing lesions in the brain parenchyma were detected on the SPACE than the VIBE sequence (the median [IQR] number of lesions 6 (18) vs. 5 (14), respectively, P = 0.008). The total number of detectable lesions, range, and IQR are listed in Table 2. Fifteen cases (55.6%) had equal number of parenchymal enhancing lesions across both sequences. Ten cases (37%) had more detectable parenchymal enhancing lesions on SPACE, while only 2 cases (7.4%) had more enhancing lesions on VIBE. The examples of missed lesions on VIBE and SPACE sequences are shown in Figures 1 and 2, respectively. The SPACE sequence detected up to nine more parenchymal enhancing lesions than VIBE, while VIBE detected only up to two more lesions than SPACE. A scatter plot with linear regression shows a systematic difference between the two sequences (Figure 3). The Bland–Altman plot is shown in Figure 4.
Results of detection of parenchymal enhancing lesions on 3D T1-weighted SPACE and 3D T1-weighted VIBE
| Parameters | Imaging sequence | ||
|---|---|---|---|
| 3D T1-weighted SPACE | 3D T1-weighted VIBE | P | |
| Separate reading | |||
| Total number of enhancing lesions | 424 | 378 | |
| Median number of enhancing lesions | 6 | 5 | 0.008* |
| Range | 1–122 | 1–117 | |
| Interquartile range | 18 | 14 | |
| Head-to-head comparison | |||
| Number of truly missed lesions | 1 | 7 | |
| Number of false-positive lesions | 3 | 3 | |
| Interobserver reliability | |||
| Intraclass correlation coefficient | 0.999 | 0.998 | |
P < 0.05.
3D, Three-dimensional; SPACE, Sampling Perfection with Application optimized Contrasts using different flip angle Evolutions; VIBE, Volumetric Interpolated Brain Examination.
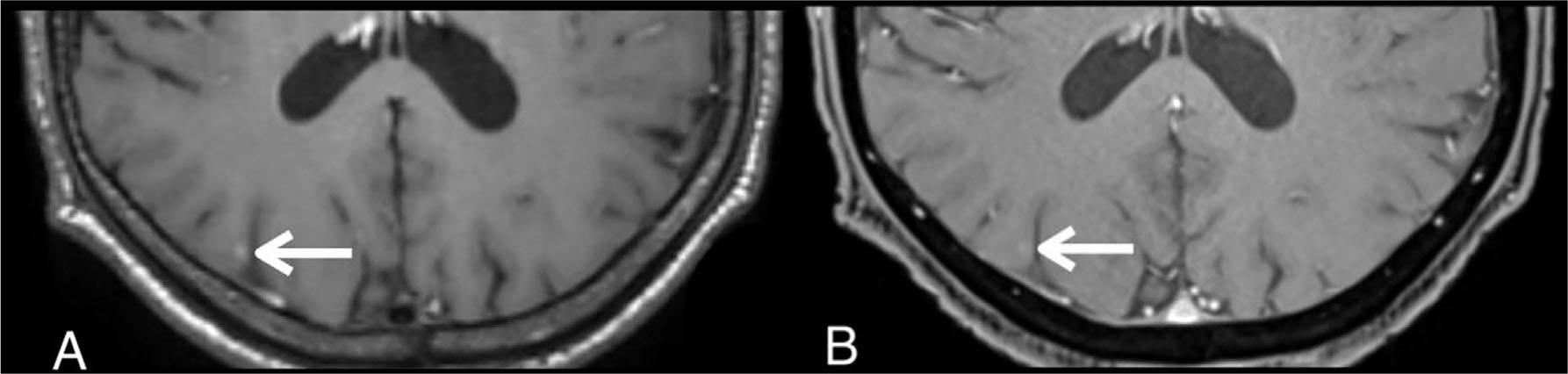
Figure 1
A 58-year-old lung cancer patient with a brain metastasis in the right occipital lobe (white arrow) that was missed by readers on contrast-enhanced 3D T1-weighted VIBE on a separate reading. Axial contrast-enhanced 3D T1-weighted SPACE (A) shows higher contrast enhancement compared with axial contrast-enhanced 3D T1-weighted VIBE (B).

Figure 2
A 76-year-old lung cancer patient with a brain metastasis in the right temporal lobe (white arrow) that was missed by readers on contrast-enhanced 3D T1-weighted SPACE. Axial contrast-enhanced 3D T1-weighted SPACE (A) and contrast-enhanced 3D T1-weighted VIBE (B). The degree of enhancement is similar on both sequences. However, this lesion was missed because it located close to a vessel and was mistaken for an incompletely suppressed vascular signal on contrast-enhanced 3D T1-weighted SPACE (A). Axial contrast-enhanced 3D T1-weighted VIBE (B) clearly distinguishes parenchymal enhancing lesion and adjacent vascular structure.

Figure 3
A scatter plot demonstrates correlation between the number of enhancing lesions on 3D T1-weighted SPACE and 3D T1-weighted VIBE. The black line represents the line of identity when y = x. The dotted line represents a trend line which was linearly fitted from the raw data. Note that the trend line lies above the line of identity which reflects a systematic difference between the two sequences.

Figure 4
The Bland–Altman plot demonstrates higher variability when the number of the enhancing lesions is large. The dotted line shows value of zero.

The largest parenchymal enhancing lesion in each patient ranged from 1.9 to 40.2 mm in maximal diameter (mean ± SD 11.7 ± 8.9 mm). The smallest lesion was about 1 mm. Among the largest lesions, 21 lesions located in the cerebral hemisphere, 5 lesions in the cerebellum and 1 lesion in the brainstem. Both SPACE and VIBE sequences had an equal ability to detect the largest parenchymal enhancing lesion in every case.
Both sequences truly missed at least one parenchymal enhancing lesion. The SPACE sequence truly missed one parenchymal enhancing lesion in one patient (Figure 5). The VIBE sequence truly missed seven parenchymal enhancing lesions in six patients (Figure 6). There were three false-positive lesions on SPACE sequence and three false-positive lesions on VIBE sequence. These false-positive lesions were probably leptomeningeal enhancement or vascular structure that was mistakenly counted as a parenchymal enhancing lesion on one of the sequences (Figure 7).
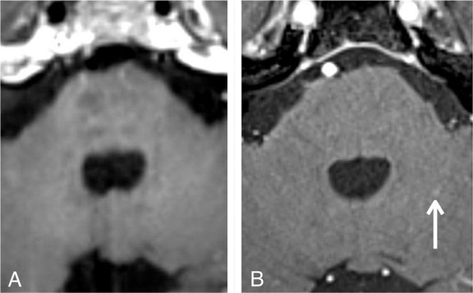
Figure 5
A 60-year-old lung cancer patient with a tiny enhancing lesion in the left cerebellar hemisphere (white arrow) that was not visible on contrast-enhanced 3D T1-weighted SPACE in head-to-head analysis. Axial contrast-enhanced 3D T1-weighted VIBE (B) shows a tiny enhancing lesion while contrast-enhanced 3D T1-weighted SPACE (A) shows no visible lesion.

Figure 6
A 53-year-old breast cancer patient with a tiny metastasis in the right frontal lobe (white arrow) that was not visible on contrast-enhanced 3D T1-weighted VIBE in head-to-head analysis. Axial contrast-enhanced 3D T1-weighted SPACE (A) shows a tiny enhancing lesion while contrast-enhanced 3D T1-weighted VIBE (B) shows no visible lesion.

Figure 7
A 62-year-old lung cancer patient with a false-positive lesion in the left temporal lobe (white arrow). Axial contrast-enhanced 3D T1-weighted SPACE (A) and contrast-enhanced 3D T1-weighted VIBE (B). A false-positive lesion is a partial hyperintensity of a blood vessel which mimics enhancing brain metastasis on contrast-enhanced 3D T1-weighted SPACE (A). The linear hyperintensity continues as a vascular structure on contrast-enhanced 3D T1-weighted VIBE (B).

The interobserver agreement was excellent on both the SPACE sequence (ICC = 0.999) and the VIBE sequence (ICC = 0.998).
The contrast-enhanced 3D T1-weighted SPACE sequence detected significantly more parenchymal enhancing lesions than the contrast-enhanced 3D T1-weighted VIBE sequence. This superiority was found in both separate reading and head-to-head analysis. It is known that spin-echo-based sequences can display higher degree of contrast enhancement compared with gradient-echo-based sequences [13]. A large body of evidence demonstrated that SPACE, which is a 3D TSE sequence, provides a higher contrast-to-noise ratio, higher detectability of enhancing lesions, and more accurate assessment of tumor size and morphology compared with MRPRAGE [21, 22, 23, 24, 25]. Both the MPRAGE and VIBE sequences are 3D gradient-echo sequences. Their difference is that MPRAGE is equipped with an IR pulse, while VIBE does not have an IR pulse. It is reasonable that the SPACE sequence detects more enhancing lesions than the VIBE sequence because of VIBE's gradient-echo component. However, the clinical impact of the absence of the IR pulse is not known. In addition, VIBE has a special k-space sampling and data interpolation pattern. The effect of this feature on the lesion detectability has not been previously addressed. Hasegawa et al. have compared 3D CUBE (i.e., equivalent to SPACE) and 3D SPGR (i.e., a fast spoiled gradient-echo sequence that is similar but not the same as VIBE sequence in terms of data interpolation) at 1.5 tesla [28]. They found that contrast-enhanced 3D CUBE is more sensitive than 3D SPGR for the detection of brain tumors, particularly small lesions that are less than 5 mm in diameter. Majigsuren et al. have compared 3D CUBE and 3D SPGR at 3 tesla [29]. Likewise, they demonstrated that 3D CUBE showed higher gadolinium enhancement in brain tumors compared with 3D SPGR. Both studies speculated that the presence of multiple flip angle in SPACE and CUBE worked as off-resonance pulse to provide a magnetization transfer effect that reduced the signal intensity in the background brain parenchyma [28, 29]. This effect increases the conspicuity of contrast enhancement because the enhancing lesion stands out from the suppressed background parenchyma. To the best of our knowledge, this is the first study that demonstrated that SPACE significantly detected a higher number of brain metastases compared with VIBE sequence at 3 tesla.
Another different characteristic between spin-echo-based sequences and gradient-echo-based sequences is the signal intensity of the flowing blood [7]. The signal intensity of the flowing blood in SPACE and other spin-echo-based sequences is black (i.e., signal void), while the signal intensity of the flowing blood in MPRAGE and VIBE which are gradient-echo sequences is white (i.e., flow-related enhancement). The high signal intensity in the blood vessels may confuse the reader and obscure the high signal intensity in enhancing lesions. We believed that the distinct characteristics of the SPACE and VIBE sequences have partly induced the discrepancy in the number of detectable lesions in the first-level analysis. This study found that some of the discrepancies in the number of the detectable parenchymal enhancing lesions on each sequence during the separate readings were due to human error. Those lesions were missed on the separate reading but were visible on both sequences on head-to-head analysis. The source of the discrepancies occurred because the enhancing lesions were less conspicuous, looked like a vascular structure, located near a vascular structure, or had a very tiny size (Figures 1 and 2). The obscured lesions due to susceptibility signal loss were not observed in this study.
Similar with previous studies [23, 26], this study found one false-positive lesion on the SPACE due to the scattering regions of short-segment vascular enhancement (Figure 7). On SPACE sequence alone, it is difficult to differentiate the enhancing metastasis from the partial hyperintensity in slow flow blood vessel when the continuity with the adjacent tubular-shaped vascular structure is lost. A study has suggested that concurrent review of 3D T1-weighted gradient-echo-based sequence (e.g., MPRAGE or VIBE) and 3D T1-weighted fast spin-echo-based sequence (e.g., SPACE) was helpful for differentiating the nature of the enhancing foci by showing their continuity with vascular structures [26]. We confirmed that the rest of the enhancing lesions detected on SPACE sequence were not false-positive lesions by head-to-head comparison of the lesions on both VIBE and SPACE sequences. Some investigators proposed additional options such as motion-sensitized magnetization prepared pulse and its variants to improve vascular signal suppression at the expense of higher susceptibility to motion due to longer acquisition time [30, 31, 32].
The sample size of patients with brain metastasis in this study was larger than the two previous studies that compared gadolinium enhancement on similar sequences (i.e., 3D CUBE vs. 3D SPGR) [28, 29]. The slice thickness, approximately 1 mm, was thinner than the previous studies. The thinner slice allowed more lesion detection with less partial volume averaging [5, 6]. In addition, this study focused on the differences in the numbers of detectable enhancing lesions in each patient rather than signal intensity. About half of the cases in this study showed equal number of parenchymal enhancing lesions across both sequences during the separate analysis. If only one of the sequences was performed, up to half of the cases would have demonstrated a lower number of enhancing lesions. This may not impact the patients who have innumerable lesions. However, it may affect the clinical decision-making and prognosis in cases that require a precise number of the lesions, for example, in candidates performing stereotactic radiosurgery. In agreement with earlier observations, the results of this study supported the use of isotropic submillimeter 3D T1-weighted TSE as an alternative way for evaluating brain metastases [23, 33].
The limitations of this study are as follows. First, the quantitative measurement (e.g., signal-to-noise or contrast-to-noise ratio) was not performed due to the presence of parallel imaging, which causes inhomogeneous noise distribution and imprecise calculation of signal-to-noise ratio using conventional method [34]. For that reason, the difference in signal-to-noise ratio as a potential cause of inferior lesion detectability was not discussed. Second, the sample size of this study was small. However, at least one enhancing brain lesion was detected in all patients and a significant superiority of the SPACE over the VIBE sequence in detecting the enhancing brain lesions in cancer patients was demonstrated. Third, the prolonged delay time after contrast injection may increase the sensitivity of the detection of enhancing lesions [35, 36]. In this study, the SPACE sequence was acquired before the VIBE sequence. Different outcomes may be observed if the order had been reversed or randomized. Fourth, it is impossible to truly blind the readers to the sequence types due to the distinctive appearance of each sequence. Fifth, this study did not evaluate the detection of leptomeningeal metastasis between the two sequences, thus which sequence that was better for a comprehensive evaluation of intracranial metastasis could not be concluded. However, a recent study in 78 cancer patients demonstrated an improved diagnostic accuracy for the detection of leptomeningeal carcinomatosis using a contrast-enhanced 3D T1-weighted fast spin-echo black blood sequence compared with the 3D T1-weighted gradient-echo sequence at 3 tesla [37]. Finally, this study was retrospective in nature. A prospective study would allow a larger sample size, better patient selection, and better randomization of scanning orders.
When the images were compared side by side, both sequences revealed some missing lesions and false-positive lesions. Future studies are required to determine which type of contrast-enhanced 3D T1-weighted sequence would be the best option for the detection of brain metastases. Would the use of delayed or two combined T1-weighted sequences offer an additional diagnostic value at lower contrast dose? The increased specific absorption rate (SAR), prolonged acquisition time, and time-consuming image evaluation are the factors that needed to be considered.
The contrast-enhanced 3D T1-weighted SPACE sequence demonstrated a higher ability to detect brain metastases compared with the contrast-enhanced 3D T1-weighted VIBE sequence at 3 tesla. Contrast-enhanced 3D T1-weighted TSE is a promising alternative technique for the detection of brain metastases.