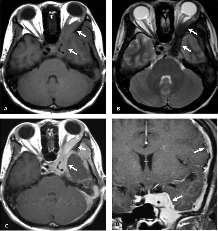
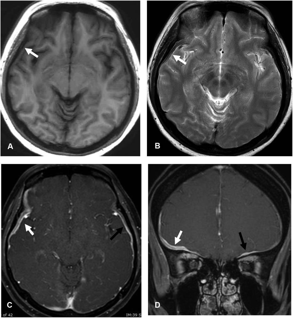
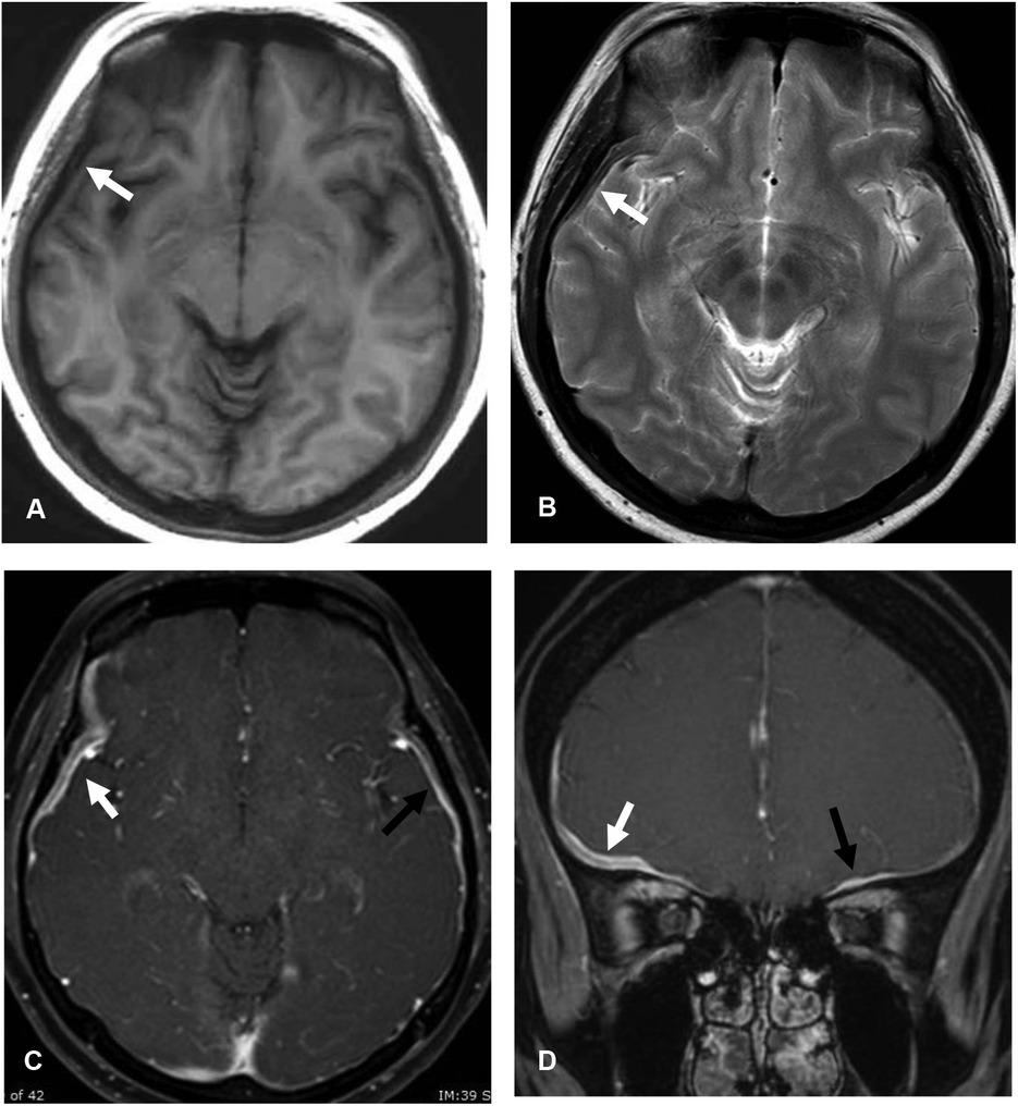
Figure 1

Figure 2

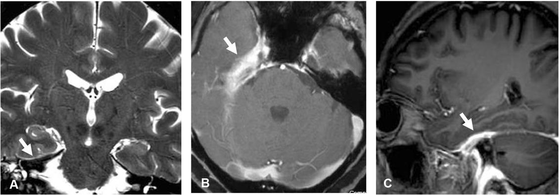
Figure 3

Figure 4

Configurations and locations of dural thickening in idiopathic HP and secondary HP groups
| Characteristics | Idiopathic HP | Secondary HP | P |
|---|---|---|---|
| (N = 23) | (N = 11) | ||
| n (%) | n (%) | ||
| Configurations | |||
| Linear/smooth | 12 (52) | 6 (55) | 1.00 |
| Nodular/undulated | 11 (48) | 5 (45) | 1.00 |
| Locations | |||
| Supratentorial lesions | 22 (96) | 11 (100) | 1.00 |
| Cavernous sinus | 13 (57) | 6 (55) | 1.00 |
| Orbital apex | 4 (17) | 4 (36) | 0.388 |
| Supraorbital foramen | 1 (4) | 0 | 1.00 |
| Sphenoid wing | 2 (9) | 2 (18) | 0.58 |
| Cerebral convexity | 8 (35) | 7 (64) | 0.151 |
| Tentorium cerebelli | 9 (39) | 5 (46) | 1.00 |
| Falx cerebri | 4 (17) | 2 (18) | 1.00 |
| Anterior and middle cranial fossae | 3 (13) | 6 (55) | 0.033* |
| Infratentorial lesions | 6 (26) | 0 | 0.145 |
| Posterior fossa | 6 (26) | 0 | 0.145 |
| Foramen magnum | 0 | 0 | |
| Diffuse | 6 (26) | 0 | 0.145 |
| Spinal canal | 1 (4) | 0 | 1.00 |
Location of hypertrophic pachymeningitis
| Supratentorial | Cavernous sinus |
| Orbital apex | |
| Superior orbital fissure | |
| Sphenoid wing | |
| Cerebral convexity | |
| Tentorium cerebelli | |
| Falx cerebri | |
| Anterior and middle fossae | |
| Infratentorial | Posterior fossa |
| Foramen magnum | |
| Diffuse | Throughout the calvarium |
| Spinal canal | Spinal canal |
Demographic data and clinical presentations of idiopathic HP and secondary HP patients
| IHP | Secondary HP | P | |
|---|---|---|---|
| n (%) | n (%) | ||
| Number of patients | 23 (68) | 11 (32) | |
| Age (mean, range) (years) | 46 (20–68) | 55 (8–79) | 0.235 |
| Male | 8 (35) | 4 (36) | 1.00 |
| Female | 15 (65) | 7 (64) | |
| Neurological symptoms | |||
| Headache | 15 (65) | 2(18) | 0.026* |
| 1.00 | |||
| Duration (mean, range) (months) | 6.6 (0.1–120) | 0.5 (1.5–4.0) | |
| Neurological deficits | 20 (87) | 9 (82) | |
| - CN I | 0 | 1 (9) | |
| - CN II | 9 (39) | 2 (18) | |
| - CN III | 8 (35) | 3 (27) | |
| - CN IV | 5 (22) | 1 (9) | |
| - CN V | 6 (26) | 1 (9) | |
| - CN VI | 6 (26) | 0 | |
| - CN VII | 1 (4) | 3 (27) | |
| - Others (both arms weakness and left hemiparesis) | 1 (4) | 2 (18) |
Signal intensity of dural thickening in idiopathic HP and secondary HP groups
| Signal intensity | IHP | Secondary HP | P |
|---|---|---|---|
| (N = 23) | (N = 11) | ||
| n (%) | n (%) | ||
| T1-weighted image | 15 (65) | 9 (82) | 0.784 |
| Iso-intensity | 7 (30) | 2 (18) | |
| Hypo-intensity and dark intensity | 1 (4) | 0 | |
| Hyperintensity | |||
| T2-weighted image | 5 (22) | 3 (27) | 0.148 |
| Iso-intensity | 12 (52) | 3 (27) | |
| Hypo-intensity and dark intensity | 3 (13) | 5 (46) | |
| Hyperintensity | 3 (13) | 0 | |
| T2-rim pattern | |||
| Diffusion-weighted image | 12 | 10 | 0.455 |
| Restricted diffusion | 0 | 1 (10) | |
| No restricted diffusion | 12 (100) | 9 (90) | |
| Enhancement pattern | 16 (70) | 5 (46) | 0.344 |
| Homogeneous | 5 (22) | 5 (46) | |
| Heterogeneous | 2 (9) | 1 (9) | |
| Rim | |||
| T2 hypo-/dark intensity with | 12 | 3 | 0.014* |
| Homogeneous enhancement | 9 (75) | 0 | |
| Heterogeneous enhancement | 2 (17) | 3 (100) | |
| Rim enhancement | 1 (8) | 0 |