Hypertrophic pachymeningitis (HP) is a rare chronic inflammatory disorder characterized by marked fibrous thickening of the cerebral and/or spinal dura mater. Neurological symptoms are non-specific. Patients commonly present with longstanding headache and/or progressive neurologic deficits, multiple cranial nerve palsies, or blindness [1]. Several etiologies have been recognized including infections (such as syphilis and tuberculosis), autoimmune disorders (such as IgG4-related disease, rheumatoid arthritis), vasculitis (such as Wegener’s granulomatosis), granulomatous inflammation (such as sarcoidosis), and neoplasms (such as lymphoma or metastasis) [2, 3, 4, 5]. Blood serology, CSF examination and cytology, and/or dural biopsy for histopathology are required for determining the etiology. If there is no identifiable cause, the condition is referred to “idiopathic HP.”
Idiopathic HP is a diagnosis of exclusion. Dural biopsy is definite diagnosis of idiopathic HP. Pathological findings of idiopathic HP are non-specific chronic inflammation, showing infiltration of lymphocytes, plasma cells, and fibrotic dura [6]. Corticosteroid therapy is an effective treatment in alleviating the symptoms and arresting the progression of idiopathic HP.
To date, there are a few studies regarding magnetic resonance imaging (MRI) findings of idiopathic HP, secondary HP, and comparison between those two entities. This study aims to describe the imaging findings on MRI and to determine the distinguished MRI features of idiopathic HP and secondary HP, which could be a complimentary tool to differentiate these two entities and eventually reduce invasive dural biopsy for diagnosis.
In total, 34 patients were retrospectively collected using searching tools in the picture archiving and communication system (PACS) and hospital information system (HIS) of King Chulalongkorn Memorial Hospital, The Thai Red Cross Society from January 1, 2003 to December 31, 2015. Searching terms included pachymeningitis, dural thickening, thickened dura, and hypertrophic pachymeningitis. Patients who did not have definite diagnosis by laboratory or histopathology, and patients with probable diagnosis by therapeutic diagnosis, who did not have follow-up MRI, were excluded. Patients with dural thickening caused by other entities including intracranial hypotension, post-surgical changes, or dural-based bulky mass were excluded. Our study was approved by the King Chulalongkorn Memorial Hospital Institutional Ethics Committee (certificate of approval no. 754/2015). Informed consent was waived due to retrospective nature of the study.
We collected the image data from MRI Signa Excite 1.5T (General Electric Healthcare, USA), MAGNETOM Aera 1.5T (Siemens Healthcare, Germany), Ingenia 1.5T (Philips Healthcare, Netherlands) and Achieva 3.0T (Philips Healthcare, Netherlands). Imaging comparison included T1-weighted image (T1WI), T2-weighted image (T2WI), diffusion-weighted image (DWI), and gadolinium-enhanced T1WI in all available planes for the data collection and analysis. DWI was not acquired in 11 of 23 idiopathic HP patients and 1 of 11 secondary HP patients.
Dural thickening was defined as maximal dural thickness more than 3 mm of any plane. We collected imaging characteristics of dural thickening: locations (supratentorial, infratentorial, diffuse, and spinal canal; Table 1), configuration (linear/smooth and nodular/undulated), signal intensity comparing to gray matter (hyperintensity, iso-intensity, hypointensity, and dark intensity (equal or less than CSF on T1WI, and equal or less than cortical bone intensity on T2WI), presence of rim pattern (defined as different intensity of the central part and the periphery of the lesions), presence of restricted diffusion, and pattern of enhancement (homogeneous, heterogeneous, and rim).
Location of hypertrophic pachymeningitis
| Supratentorial | Cavernous sinus |
| Orbital apex | |
| Superior orbital fissure | |
| Sphenoid wing | |
| Cerebral convexity | |
| Tentorium cerebelli | |
| Falx cerebri | |
| Anterior and middle fossae | |
| Infratentorial | Posterior fossa |
| Foramen magnum | |
| Diffuse | Throughout the calvarium |
| Spinal canal | Spinal canal |
MR images were individually and blindly reviewed by one diagnostic radiology resident (SW) and one 2-year experienced neuroradiologists (KJ). Disagreement of imaging interpretation was discussed and consensus.
Demographic data, clinical presentation, and each imaging characteristics of each group were described using mean, range, and percentage. Maximal thickness of lesions between two groups was analyzed using T-test. Imaging characteristics between two groups were analyzed using Fisher’s exact test. P < 0.05 was considered statistically significant. Inter-observer reliability was determined using Kappa statistics. Statistical analysis was performed using SPSS 17.0 for Windows (SPSS, Chicago, IL, USA).
Of 34 patients, 23 patients (68%) were idiopathic HP (8 were men, 15 were women with mean age of 46 years (range: 20–68 years). Eight patients had histopathological diagnosis. In all, 15 patients were diagnosed by therapeutic diagnosis. Eleven of 34 patients (32% were classified as secondary HP (4 were men, 7 were women with mean age of 55 years (range: 8–9 years). Secondary HP group included patients who were diagnosed IgG4-related disease, dural metastasis (from prostate cancer), primary dural lymphoma, acute promyelocytic leukemia, nasopharyngeal carcinoma with dural involvement, HIV infection with cryptococcal meningitis, HIV infection with TB meningitis, cavernous sinus thrombosis secondary to orbital cellulitis, meningioma, mastoiditis, and chronic sinusitis. Six of 11 patients had histopathological diagnosis, and 5 of 11 patients were diagnosed by therapeutic diagnosis.
There was no significant difference of age and sex between two groups (Table 2). Headache was present in 15 of 23 (65%) idiopathic HP patients and 2 of 11 (18%) secondary HP patients (P = 0.026). There was no significant difference between duration of headache and presence of neurological deficit. Neurologic deficits were presented in 20 idiopathic HP patients (87%), in 9 secondary HP patients (82%), and were mainly cranial nerve(s) palsy. Optic nerve involvement was the most common neurological deficit in idiopathic HP patients, whereas oculomotor nerve palsy was the most common neurological deficit in secondary HP patients (Table 2). Other neurological symptoms were both arms weakness and left hemiparesis.
Demographic data and clinical presentations of idiopathic HP and secondary HP patients
| IHP | Secondary HP | P | |
|---|---|---|---|
| n (%) | n (%) | ||
| Number of patients | 23 (68) | 11 (32) | |
| Age (mean, range) (years) | 46 (20–68) | 55 (8–79) | 0.235 |
| Male | 8 (35) | 4 (36) | 1.00 |
| Female | 15 (65) | 7 (64) | |
| Neurological symptoms | |||
| Headache | 15 (65) | 2(18) | 0.026* |
| 1.00 | |||
| Duration (mean, range) (months) | 6.6 (0.1–120) | 0.5 (1.5–4.0) | |
| Neurological deficits | 20 (87) | 9 (82) | |
| - CN I | 0 | 1 (9) | |
| - CN II | 9 (39) | 2 (18) | |
| - CN III | 8 (35) | 3 (27) | |
| - CN IV | 5 (22) | 1 (9) | |
| - CN V | 6 (26) | 1 (9) | |
| - CN VI | 6 (26) | 0 | |
| - CN VII | 1 (4) | 3 (27) | |
| - Others (both arms weakness and left hemiparesis) | 1 (4) | 2 (18) |
*P by Fisher’s exact test
In idiopathic HP patients, there were 12 patients (52%) with linear/smooth dural thickening configuration (Figure 1) and 11 patients (48%) with nodular/undulated dural thickening. In secondary HP patients, there were 6 patients (55%) with linear/smooth dural thickening and five patients (45%) with nodular/undulated dural thickening (Figure 2). There was no significant difference in configurations of dural thickening between 2 groups.
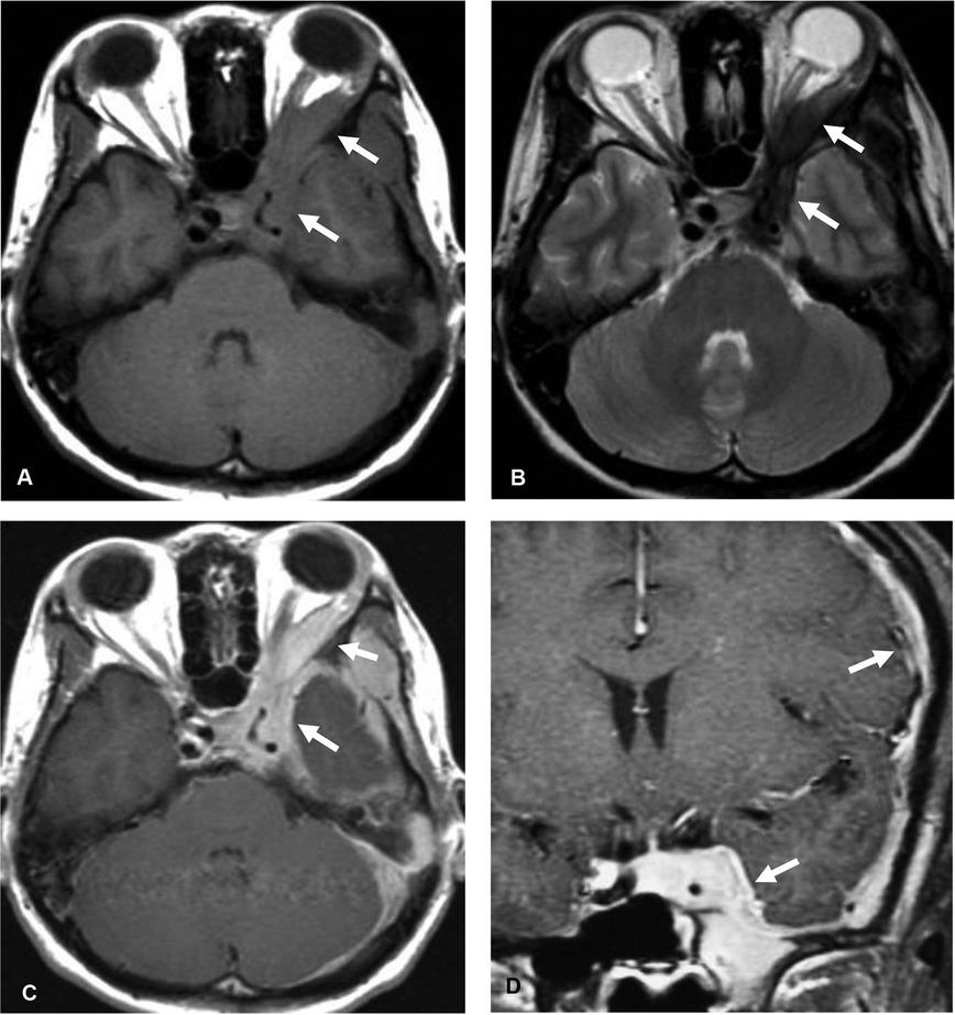
Figure 1
Idiopathic hypertrophic pachymeningitis (IHP). Axial T1-weighted image (A), axial T2-weighted image (B) shows an infiltrative T1 iso-intense, T2 hypointense lesion (arrow) involving left cavernous sinus with extension through left superior orbital fissure to left orbit, along left sphenoid ridge, left middle and posterior cranial fossae. Homogeneous enhancement is shown in axial (C) and coronal (D) gadolinium-enhanced T1-weighted images.

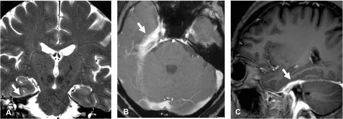
Figure 2
Primary dural lymphoma. Coronal T2-weighted image (A) shows hyperintense undulated thickened dura along the right cerebral convexity, anterior cranial fossa, and anterior falx cerebri (arrow). Axial (B) and coronal (C) gadolinium-enhanced T1-weighted images show homogeneously enhanced dural thickening.

Most of dural thickening involved supratentorium in both groups (96% in idiopathic HP group, and all patients in secondary HP group). Secondary HP group significantly had dural thickening at anterior and middle cranial fossae (55%) (Figure 3) as compared to idiopathic HP patients (13%), P = 0.033. There was no secondary HP patient having posterior fossa dural thickening (Table 3).
Figure 3
IgG4-related pachymeningitis. Coronal T2-weighted image (A) shows dark intensity dural thickening involving right tentorium cerebelli (arrow). Axial (B) and sagittal (C) gadolinium-enhanced T1-weighted images demonstrate mildly heterogeneous enhancement of the thickened dura involving right medial temporal region, right Meckel’s cave, and along anterior part of right tentorium cerebelli (arrow).

Configurations and locations of dural thickening in idiopathic HP and secondary HP groups
| Characteristics | Idiopathic HP | Secondary HP | P |
|---|---|---|---|
| (N = 23) | (N = 11) | ||
| n (%) | n (%) | ||
| Configurations | |||
| Linear/smooth | 12 (52) | 6 (55) | 1.00 |
| Nodular/undulated | 11 (48) | 5 (45) | 1.00 |
| Locations | |||
| Supratentorial lesions | 22 (96) | 11 (100) | 1.00 |
| Cavernous sinus | 13 (57) | 6 (55) | 1.00 |
| Orbital apex | 4 (17) | 4 (36) | 0.388 |
| Supraorbital foramen | 1 (4) | 0 | 1.00 |
| Sphenoid wing | 2 (9) | 2 (18) | 0.58 |
| Cerebral convexity | 8 (35) | 7 (64) | 0.151 |
| Tentorium cerebelli | 9 (39) | 5 (46) | 1.00 |
| Falx cerebri | 4 (17) | 2 (18) | 1.00 |
| Anterior and middle cranial fossae | 3 (13) | 6 (55) | 0.033* |
| Infratentorial lesions | 6 (26) | 0 | 0.145 |
| Posterior fossa | 6 (26) | 0 | 0.145 |
| Foramen magnum | 0 | 0 | |
| Diffuse | 6 (26) | 0 | 0.145 |
| Spinal canal | 1 (4) | 0 | 1.00 |
There was no difference of mean value of maximal dural thickness between idiopathic HP group (5.9 mm) and secondary HP group (5.8 mm) with P = 0.928. There was no significant difference of signal intensity on T1WI, T2WI, and enhancement pattern, and presence of restricted diffusion between two groups.
Three of 23 idiopathic HP patients (13%) showed central hyperintensity and dark intensity rim on T2WI, which was defined as T2-rim pattern (Figure 4). The T2-rim pattern was not found in secondary HP group. Details of MRI findings are in Table 4.
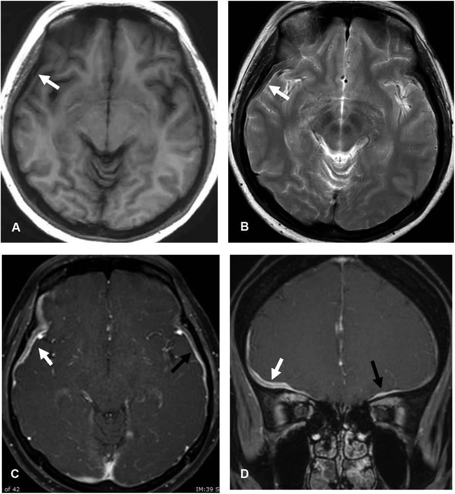
Figure 4
Idiopathic hypertrophic pachymeningitis (IHP) with T2-rim pattern. Axial T1-weighted image (A) and T2-weighted image (B) show T1 iso-intense and central T2 hyperintense with peripheral dark T2 intense (T2-rim pattern) of the thickened dura along right frontal and right temporal convexity (arrow). Axial (C) and coronal (D) gadolinium-enhanced T1-weighted images demonstrate rim enhancement (white arrows). Smooth and homogeneous enhanced thickened dura at left anterior cranial fossa (black arrows) is also observed.

Signal intensity of dural thickening in idiopathic HP and secondary HP groups
| Signal intensity | IHP | Secondary HP | P |
|---|---|---|---|
| (N = 23) | (N = 11) | ||
| n (%) | n (%) | ||
| T1-weighted image | 15 (65) | 9 (82) | 0.784 |
| Iso-intensity | 7 (30) | 2 (18) | |
| Hypo-intensity and dark intensity | 1 (4) | 0 | |
| Hyperintensity | |||
| T2-weighted image | 5 (22) | 3 (27) | 0.148 |
| Iso-intensity | 12 (52) | 3 (27) | |
| Hypo-intensity and dark intensity | 3 (13) | 5 (46) | |
| Hyperintensity | 3 (13) | 0 | |
| T2-rim pattern | |||
| Diffusion-weighted image | 12 | 10 | 0.455 |
| Restricted diffusion | 0 | 1 (10) | |
| No restricted diffusion | 12 (100) | 9 (90) | |
| Enhancement pattern | 16 (70) | 5 (46) | 0.344 |
| Homogeneous | 5 (22) | 5 (46) | |
| Heterogeneous | 2 (9) | 1 (9) | |
| Rim | |||
| T2 hypo-/dark intensity with | 12 | 3 | 0.014* |
| Homogeneous enhancement | 9 (75) | 0 | |
| Heterogeneous enhancement | 2 (17) | 3 (100) | |
| Rim enhancement | 1 (8) | 0 |
*P by Fisher’s exact test
There is significantly found T2 hypointensity and homogeneous enhancement in idiopathic HP (80%) (Figures 1 and 4). None of secondary HP patients had these findings, P = 0.014.
The inter-observer reliability was almost perfect for lesions configuration (k = 1.00), T1 signal intensity (k = 0.879), T2 signal intensity (k = 0.810), and enhancement pattern (k = 0.836).
Idiopathic HP can be presented with diffuse and localized dural thickening [7, 8, 9]. In our study, we found idiopathic HP in both diffuse and localized forms. The predominant pattern was the localized dural thickening (74%).
Our study found that idiopathic HP mostly showed variable signal intensity on T1WIs, which were iso-intense in 65% and hypointense in 30% of patients, which were described in the previous study [7].
Prior studies postulated characteristic imaging findings of idiopathic HP including marked enhancement of the dural edges on gadolinium-enhanced T1WIs [10], hypointense area with thin hyperintense edges on T2WIs [10, 11], markedly hypointense on T2-weighted [9]. Dense cellularity and collagenous material or fibrosis are associated with hypointensity on T2WI. Hypervascularity at the dural margins may result in thin hyperintensity at the dural edges [9, 10, 11].
Our study found T2 hypo-/dark intensity in majority of idiopathic HP (52%) and in minority of secondary HP (27%). However, our patients did not exhibit hypointensity with thin hyperintense edges on T2WIs as shown in prior studies [10, 11]. Interestingly, three idiopathic HP patients (13%) had thick hyperintense dura with hypointense rim on T2WIs (T2-rim pattern), which was described in the prior study [12]. None of secondary HP showed T2-rim pattern. This finding is promising to be MRI characteristics of idiopathic HP. Some of our patients (13%) showed diffuse T2 hyperintensity of the thickened dura. This finding was also described in the previous study and probably reflects vessels and inflammatory cells in the dural tissue [9, 10, 11]. There was no significant T2 intensity difference between idiopathic HP and secondary HP. Different signal intensity may represent different stages of disease with variable fibrosis, collagen, and inflammatory cells.
Majority of idiopathic HP showed homogeneous enhancement, which was well described in prior studies [9, 13, 14]. Prior studies showed enhancement of dural edges in idiopathic pachymeningitis [9, 10]. We found this enhancement pattern in two idiopathic HP and one secondary HP patients. Hypointense/dark SI on T2WIs with homogeneous enhancement pattern were found only in idiopathic HP and reached statistical significance (75% vs 0%, P = 0.044). These findings may raise possibility of idiopathic HP.
Major limitations of our study were small number of patients and lack of histopathologic examination in some patients. Future study with larger number of patients may clarify the promising imaging characteristics found in this study.
MRI plays an important role for evaluation of patients with dural thickening. Imaging characteristics of idiopathic HP are T2 hypointensity or dark intensity and enhancement of the dural edge. Central T2 hyperintensity with hypointense rim (T2-rim pattern) is one of the promising MRI findings in idiopathic HP.