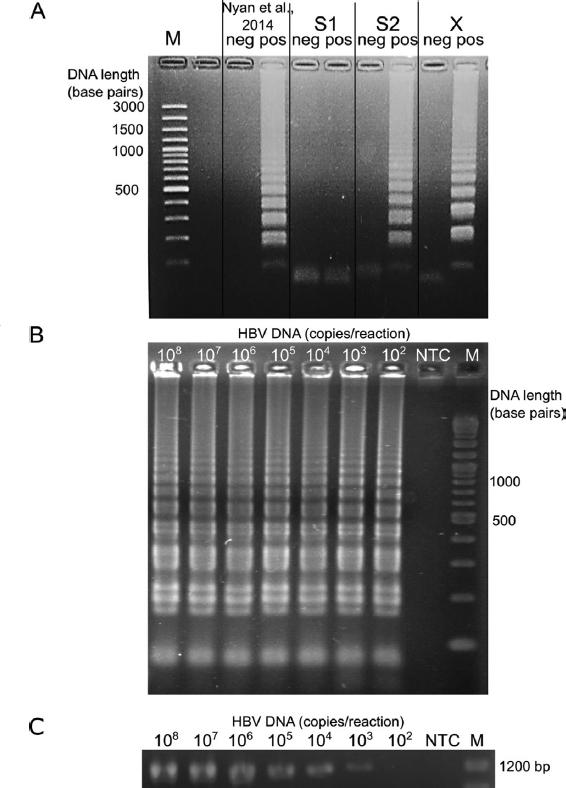
Figure 1

Figure 2

Figure 3

Performance of turbidity-, and gel electrophoresis-based HBV LAMP assay at other cutoff titers of HBV qPCR results
| Cutoff | Sensitivity | Specificity | PPV | NPV | Accuracy | ||||
|---|---|---|---|---|---|---|---|---|---|
| Turbidity | |||||||||
| 106 | 131/139 | 94.2% | 74/105 | 70.5% | 131/162 | 80.9% | 74/82 | 90.2% | 84.0% |
| 5 × 105 | 140/152 | 92.1% | 70/92 | 76.1% | 140/162 | 86.4% | 70/82 | 85.4% | 86.1% |
| 105 | 146/162 | 90.1% | 66/82 | 80.5% | 146/162 | 90.1% | 66/82 | 80.5% | 86.9% |
| 5 × 104 | 150/170 | 88.2% | 62/72 | 83.8% | 150/162 | 92.6% | 62/82 | 75.6% | 86.9% |
| 104 | 156/185 | 84.3% | 53/59 | 89.8% | 156/162 | 96.3% | 53/82 | 64.6% | 85.7% |
| 103 | 157/202 | 77.7% | 37/42 | 88.1% | 157/162 | 96.9% | 37/82 | 45.1% | 79.5% |
| Gel electrophoresis | |||||||||
| 106 | 135/139 | 97.1% | 63/105 | 60.0% | 135/177 | 76.3% | 63/67 | 94.0% | 81.1% |
| 5 × 105 | 147/152 | 96.7% | 62/92 | 67.4% | 147/177 | 83.1% | 62/67 | 92.5% | 85.7% |
| 105 | 154/162 | 95.1% | 59/82 | 72.0% | 154/177 | 87.0% | 59/67 | 88.1% | 87.3% |
| 5 × 104 | 157/170 | 92.4% | 54/67 | 73.0% | 157/177 | 88.7% | 54/67 | 80.6% | 86.5% |
| 104 | 163/185 | 88.1% | 45/59 | 76.3% | 163/177 | 92.1% | 45/67 | 67.2% | 85.2% |
| 103 | 168/202 | 83.2% | 33/42 | 78.6% | 168/177 | 94.9% | 33/67 | 49.3% | 82.4% |
Sensitivity of turbidity- and gel electrophoresis-based HBV LAMP detection system
| HBV DNA (copies/ reaction) | Percent detection (No. of times detected/total replicated) | |
|---|---|---|
| Turbidity based | Gel electrophoresis based | |
| 2000 | 100 (6/6) | 100 (3/3) |
| 1000 | 100 (6/6) | 100 (3/3) |
| 200 | 83 (5/6) | 100 (3/3) |
| 150 | 83 (5/6) | 100 (3/3) |
| 100 | 100 (9/9) | 100 (3/3) |
| 50 | 50 (3/6) | 67 (2/3) |
| 20 | 67 (4/6) | 67 (2/3) |
| 10 | 33 (1/3) | – |
| 5 | 33 (1/3) | – |
| 2.5 | 67 (2/3) | – |
| 1 | 33 (1/3) | – |
| 0.5 | 0 (0/3) | – |
| 0.1 | 33 (1/3) | – |
Performance of turbidity-, and gel electrophoresis-based HBV LAMP assay at the 2 × 105 IU/mL cutoff titer of HBV qPCR results
| Methods | Sensitivity (%) | Specificity (%) | Positive predictive value (%) | Negative predictive value (%) | Accuracy (%) |
|---|---|---|---|---|---|
| Turbidity-based | 90.12 (146/162) | 83.33 (90/108) | 89.02 (146/164) | 84.90 (90/106) | 87.40 (236/270) |
| Gel electrophoresis | 95.06 (154/162) | 75.00 (81/108) | 85.08 (154/181) | 91.01 (81/89) | 87.03 (235/270) |
Cost comparison between quantitative PCR and LAMP
| Methods | Price (per equipment) | Price (per reaction) | Price (per test, include positive and negative controls) | ||
|---|---|---|---|---|---|
| Equipment | DNA extraction | Amplification reagents | Detection | Total | |
| Quantitative PCR | qPCR 30,000–50,000 USD | 5 USD | 30 USD | – | 105 USD |
| LAMP | Turbidimeter 2000 USD, or heat block (200–1200 USD), or waterbath (50–100 USD) | – | 20 USD | – | 60 USD |
Oligonucleotide sequences of three newly designed and one previously reported primer sets
| Primer set | Primer name | Location | Primer sequence (5‘ à 3‘) | Genetic region |
|---|---|---|---|---|
| S1 | S1_F3 | 470–491 | CCGTTTGTCCTCTAATTCCAGG | S and P gene |
| S1_B3 | 665–688 | GCACTAGTAAACTGAGCCAGGAGA | ||
| S1_FIP | 541–564 | GGAGGGATACATAGAGGTTCCTTG-TTTT-CCTCAACAACCAGCACGGGA | ||
| 494–513 | ||||
| S1_BIP | 571–592 | TGTACCAAACCTTCGGACGGAA-TTTT-CCCACTCCCATAGGAATTTTCC | ||
| 631–652 | ||||
| S1_LF | 520–540 | AGCAGTAGTCATGCAGGTCCG | ||
| S1_LB | 595–616 | TGCACCTGTATTCCCATCCCAT | ||
| S2 | S2_F3 | 659–678 | CTGCATGACTACTGCTCAAGGA | S and P gene |
| S2_B3 | 712–731 | AGCCAAACAGTGGGGGAAAG | ||
| S2_FIP | 595–615 | TGGGATGGGAATACAGGTGCA-TTTT-CCTCTATGTATCCCTCCTGTTGCT | ||
| 548–571 | ||||
| S2_BIP | 631–651 | GGAAAATTCCTATGGGAGTGGG-TTTT-CCCTACGAACCACTGAACAAATGG | ||
| 688–711 | ||||
| S2_LF | 572–591 | TCCGTCCGAAGGTTTGGTAC | ||
| S2_LB | 659–678 | CCCGTTTCTCCTGGCTCAGT | ||
| X | X_F3 | 1493–1512 | CCTTCTCCGTCTGCCGTTCC | X gene |
| X_B3 | 1728–1747 | CCCCAACTCCTCCCAGTCTT | ||
| X_FIP | 1577–1596 | GTGAAGCGAAGTGCACACGG-TTTT-CACCTCTCTTTACGCGGACTCC | ||
| 1529–1540 | ||||
| X_BIP | 1627–1646 | CGCCCACCAAATATTGCCAA-TTTT-TATGCCTCAAGGTCGGTCGTTG | ||
| 1686–1707 | ||||
| X_LF | 1559–1576 | TCCGGCAGATGAGAAGGC | ||
| X_LB | 1662–1685 | GGACTCTTGGACTCTCAGCAATGT | ||
| Nyan et al. [19] | Ref_F3 | 530–249 | TCCTCACAATACCGCAGAGT | S and P gene |
| Ref_B3 | 402–421 | GCAGCAGGATGAAGAGGAAT | ||
| Ref_FIP | 305–326 | GTTGGGGACTGCGAATTTTGGC-TTTT-TAGACTCGTGGTGGACTTCT | ||
| 251–270 | ||||
| Ref_BIP | 333–354 | TCACTCACCAACCTCCTGTCCT-TTTT-AAAACGCCGCAGACACAT | ||
| 379–396 | ||||
| Ref_LF | 271–294 | GGTGATCCCCCTAGAAAATTGAG | ||
| Ref_LB | 357–378 | AATTTGTCCTGGTTATCGCTGG | ||