Hydroxyapatite has been widely used as bioactive coating on metallic implants to promote the bioactivity of the underlying implants by creating the direct chemical bonding between bone and implant [1]. Examples of the coating applications include hip implants, knee implants, pedicle screws, fixation pins, and dental implants [2, 3]. Such bioactive coating can increase the stability and decrease the prevalence of fixation failure of the implant [4, 5]. The improvement of fixation induced by bioactive coating has been observed under stable-unloaded, stable-loaded, and unstable mechanical conditions [6]. Besides enhanced bone bonding, hydroxyapatite coating was shown to convert a motion-induced fibrous membrane into a bony anchorage [7].
Typically, hydroxyapatite coating is applied using a plasma spraying process that involves the use of extremely high temperatures resulting in the phase heterogeneity and coating delamination, which could lead to instability and even the failure of coated implants [3]. Alternatively, low-temperature sol–gel coating has shown to offer several advantages, including better control of the chemical composition of the coating, homogeneity of coatings, uniform coating microstructure, low processing temperature, low-cost equipment, and non-line-of-sight coating. Therefore, sol–gel techniques are considered to be a flexible and commercially promising for preparation of hydroxyapatite coatings on medical devices [8, 9]. Recently, a new sol–gel system for coating was developed by authors in which the sol solution used for coating was modified to improve the coating uniformity and had a long storage time without premature gel formation compared with typical sol gel systems [10]. The present study aimed to evaluate the performance of the hydroxyapatite coating produced by this new sol–gel system in vitro and in vivo. Titanium alloy was used as the substrate because of its increasing use in medical implants as a result of its several advantages compared with other metals, for example the higher strength-to-weight ratio, greater fatigue resistance, lower rigidity, and greater corrosion resistance. For studies in vitro, biocompatibility in terms of osteoblast proliferation and cell matrix mineralization on the prepared coating was examined and compared with that of uncoated titanium. For studies in vivo, a rabbit model was used whereby self-tapping coated screws were inserted in the trabecular bone of the femur and tibia. New Zealand white rabbits were used because they provide sufficient bony mass to insert the screws and determine extraction torques. We conducted examinations of extraction torques, surfaces, and histology of the samples after 7 weeks, 12 weeks, and 24 weeks of implantation.
Forty titanium alloy (Ti6Al4V) disks (10 mm in diameter and 0.5 mm thick) and 36 screws (3 mm in diameter and 1.5 cm long) were used. Coating sol with calcium to phosphorus molar ratios (Ca/P) of 1.67 using ammonium hydrogen carbonate as a gel retarding agent was prepared as described previously [10]. Briefly, precursors were prepared by separately mixing calcium nitrate tetrahydrate (Sigma-Aldrich) and phosphorus pentoxide (BDH) with ethyl alcohol (BDH) in a laboratory atmosphere for 30 min. The precursors were then mixed together, and 10 mL of 25% ammonium hydrogen carbonate (Sigma-Aldrich) was added and further stirred for 8 h to produce a sol. Samples (20 disks and 18 screws) were coated by dipping them into the prepared sol using a dip coater (PTL-200; MTI Corporation) with a dipping and withdrawing rate of 2 mm∙min–1 and then heated in air at 550°C in a furnace for 1 h before cooling to room temperature. Uncoated disks (20) and screw samples (18) were also prepared similarly for comparison.
Osteoblasts had been isolated from human donor cancellous bone after Institutional Review Board approval and written informed consent provided by the donors. The isolates had been anonymized such that we could not identify any connection with the donor. In brief, human donor cancellous bone immediately after surgery was stored in Dulbecco’s modified Eagle medium (DMEM; BioWhittaker) and brought to a laboratory where they were maintained at 37°C in a humidified incubator under an atmosphere of 5% CO2 for 48 h and further washed in DMEM to remove erythrocytes and adipose cells. The cleaned bone was then crushed into small pieces and placed with DMEM in a culture dish. The bone fragments (BFs) were further incubated at 37°C in a humidified incubator under an atmosphere of 5% CO2. The primary human osteoblasts started growing out from the fragments of bone after a few days, and the cells almost reached confluence within 2 weeks with changes in the medium 2 times per week. For each isolation, the cells were tested for mycoplasma contamination and bacterial contamination, and examined for typical osteoblast morphology before cryopreservation. We used primary subculture human osteoblasts (passage No. 3) from the in-house cryopreserved stock. Before use, they were again tested for mycoplasma contamination and bacterial contamination, and examined for typical osteoblast morphology.
Coated and uncoated titanium disks (20 each) were sterilized by autoclaving and placed in the tissue culture plate. We placed 0.1 mL of suspended human osteoblasts in DMEM (BioWhittaker) supplemented with 15% fetal calf serum and 1% penicillin/streptomycin solution (1 × 105 cells/mL) onto each sample. The samples were then incubated at 37°C under an atmosphere of 5% CO2 and 95% relative humidity for 1, 3, 7, 14, and 21 days. The cell survival and proliferation were determined using a methyl thiazolyl tetrazolium (MTT; (3-(4,5-dimethyl-2-thiazolyl)-2,5-diphenyl-2H-tetrazolium bromide) assay. After incubation at each period, 500 μL of 0.5 mg/mL MTT (Sigma-Aldrich) was added to each well and incubated for 2 h. Dimethyl sulfoxide (Sigma-Aldrich) was then added, and the supernatant was transferred to a 96-well plate. The absorbance of the mixture was measured at 570 nm using a UVM 340 microplate reading spectrophotometer (Easys) to quantify cell viability. The experiments were run in quadruplicate for each sample and incubation time. Uncoated titanium disks (20) were used as comparative controls.
Cultured samples were washed with phosphate-buffered saline and fixed with cold methanol for 30 min. They were then washed with sterile deionized water, stained with 1% Alizarin red S (Color Index 58005) for 5 min, and washed again to remove the residual Alizarin red S until the rinses were clear. Subsequently, 10% cetylpyridinium chloride (Sigma-Aldrich) was added, and the supernatant was transferred to a 96-well plate. The absorbance of the mixture was measured at 570 nm using a UVM 340 microplate reading spectrophotometer (Easys) to quantify the cell staining, which corresponded to the amount of calcification.
The morphology of cells was determined by fixing the osteo-blasts using glutaraldehyde solution for 2 h at room temperature, dehydrated by series of ethanol and observed by a scanning electron microscope (JEOL JSM-5410) at the accelerating voltage of 20 kV.
The animal experimental protocol was reviewed and approved by the Chulalongkorn University Animal Care and Use Committee (approval No. 0831080), and all procedures were conducted in accordance with the National Institutes of Health Guide for the Care and Use of Laboratory Animals (Washington, DC: National Academy Press; 1996) and the Animals for Scientific Purposes Act, BE 2558 (AD 2015) (Thailand). Three adult male New Zealand white rabbits weighing approximately 3 kg each (mean standard deviation: 3.1 ± 0.14 kg) were obtained from the Faculty of Veterinary Science, Chulalongkorn University, and used in this study. Each rabbit was housed in a room with controlled temperature (20 ± 2°C) and humidity (60 ± 10%) under a 12–12 h light–dark cycle and allowed access to a rabbit-specific diet and water ad libitum. The rabbits were anesthetized with isoflurane by inhalation. Once under anesthesia, the level of anesthesia was monitored and maintained by a veterinarian. Surgery was performed using standard aseptic techniques. Bones were exposed, and 18 uncoated and 18 coated screws were inserted into 3 locations (proximal femur, distal femur, and proximal tibia). The wound was then closed with monofilament sutures (Supramid 3-0; Braun).
Postoperatively, carprofen (Rimadyl (Pfizer), 2.2 mg.kg–1) and enrofloxacin (Baytril (Bayer), 12 mg.kg–1) were daily given for 7 days. Visual observations of animal conditions and soft tissue healing were made for 24 weeks. After reaching the specified periods (7 weeks, 12 weeks, and 24 weeks), the rabbits were euthanized with an intravenous overdose of phenobarbital followed by cervical dislocation. The tibiae and femurs were dissected en bloc and further resected using a hand saw near screw locations. The samples were divided into two groups. One group was used to measure extraction torque, while another was placed in 40% w/v buffered formalin for histology.
The resected bone with screws in place was clamped and tested using a torsion tester (MT2; Instron) to measure the extraction torque at 23°C and 50% relative humidity. Elemental analysis was conducted using energy dispersive spectroscopy (Oxford Instruments). The surfaces of the tested screws after extraction were sputtered with gold before observation with a JSM 5410 scanning electron microscope (JEOL).
Bone samples were dehydrated through series of increasing ethanol concentrations and dried using a critical point dryer (CPD 020; Balzers). They were then embedded in epoxy resin under vacuum and cured for 12 h. Sections were cut, ground, and polished into thin slices (400CS; Exakt). They were then decalcified using 10% formic acid for 48 h and stained with hematoxylin and eosin (Varistain Gemini NS; Thermo Scientific). Photomicrographs of sections were obtained using a light microscope (Olympus DX41).
The differences in MTT assay, Alizarin red S assay, and screw extraction torque results between uncoated and coated samples were analyzed using independent-sample Student t tests. P 0.05 was considered as significant.
The proliferation of osteoblasts on the surface of the samples was studied by the MTT assays. There is a linear correlation between cell numbers and absorbance by the MTT formazan. Osteoblasts could attach and proliferate on all samples as could be seen from the increase in absorbance with incubation time (Figure 1). By comparison, osteoblasts on hydroxyapatite-coated titanium samples initially showed similar proliferation rate to those on uncoated titanium until day 7, but absorbance in MTT assays was significantly greater than that for uncoated samples at day 14 and day 21 (P < 0.05). Therefore, coated samples could better support the proliferation of osteoblast cells than the uncoated samples. This better support can be attributed to the surface modification, which favors the mechanisms of cell proliferation [11].

Comparison of cell proliferation on the surfaces between 20 uncoated and 20 coated (gray bars) titanium samples by methyl thiazolyl tetrazolium (MTT) assay (error bars, standard deviation, n = 4 per type per time point). Absorbance by the MTT formazan chromophore at 570 nm, and D indicates the time of incubation in days. *P < 0.05
The ability of cells to produce a mineralized matrix and nodules is important for the development of materials for bone regeneration. Many materials are biocompatible and can support cell proliferation, but cannot induce mineralization, and require addition of growth factors and other agents to improve the cell responses. Mineralization, or calcification generally occurs in the differentiation stage, which follows cell proliferation. Alizarin red S is a dye that binds selectively to calcium salts and is a common histochemical technique used to detect and quantify calcium deposits in mineralized tissues and cultures [12]. Figure 2 compares the absorbance of the Alizarin red S cell staining between coated and uncoated titanium at various culture times. Both uncoated and coated titanium samples initially produced low absorbance until day 7, indicating that the mineralization of the cells was low. However, the absorbance produced by coated titanium

Comparison of cell mineralization on the surfaces of 20 uncoated and 20 coated (gray bars) titanium samples by Alizarin red S assay (error bars, standard deviation, n = 4 per type per time point). Absorbance by the Alizarin red S at 570 nm, and D indicates the time of incubation in days. *P < 0.05
increased significantly at days 14 and 21, while that produced by uncoated titanium remained unchanged (P < 0.05). Mineralization is considered to be the final result of differentiation and function of the osteoblasts. Great matrix mineralization was reported to be a favorable factor for osseointegration and bone remodeling, which can be used as a direct indicator of osteogenesis [13]. Figure 3 shows images of osteoblasts grown on uncoated and coated titanium samples. The cells are well spread, adherent, and attained a normal morphology on surfaces of both samples with various long filopodia. Osteoblasts tend to flatten, elongate, and cover the surface of uncoated samples, whereas cells on the coated samples show a more differentiated or oriented appearance with greater inter-cellular connections. The margins of the cells on coated surfaces were irregular, having numbers of processes extending out and following the contour of the surface. This difference was possibly because of the differences in microtopology and roughness of uncoated and coated samples as reported previously [14]. However, the degree of flattening may not only indicate the adhesion forces between the cells and the surface. A smooth and a rough surface may have similar adhesion forces, while equal amounts of flattening could produce different adhesion forces [15]. Cell–material interactions are extremely complex and depend on several mixed parameters, for example, chemical composition of the surfaces, physical features of the surfaces, types of cells, and culture period. The change in both physical and chemical properties promoted by hydroxyapatite coating may enhance a stronger cell–cell interaction via extracellular matrix proteins and the amount of Ca and P secreted by osteoblasts [16]. Therefore, all the findings for biocompatibility in vitro suggested that the sol–gel-coated titanium was more bioactive than uncoated titanium because the coated titanium induced greater osteoblast proliferation and mineralization.

Scanning electron microscopy (SEM) images of osteoblast morphology on uncoated and coated titanium samples. a) uncoated 1 day; b) coated 1 day; c) uncoated 3 days; d) coated 3 days; e) uncoated 7 days; f ) coated 7 days; g) uncoated 14 days; h) coated 14 days; i) uncoated 21 days; and j) coated 21 days (magnification ×1000). Scale bars represent 60 μm
All rabbits tolerated the procedure well and survived throughout the duration of the study. They were healthy with good appetites and had no altered behavior or sign of inflammation, infection, or complication. Figure 4 compares the maximum extraction torque that was required to remove the screws from bone. Extraction torque of uncoated screws was relatively constant regardless of implantation period. The torque values for the coated screws were significantly greater than those for uncoated screws for all implantation periods (P < 0.05). The torques were approximately 2 times greater than

Extraction torque from bone of 12 uncoated and 12 coated titanium screws at different implantation periods (wks, weeks) (error bars, standard deviation, n = 4 per type per time point). *P < 0.05
those for the uncoated screws at all implantation periods and tended to increase with increasing period of implantation. The torques of coated screws at 24 weeks postimplantation were significantly greater than those at 7 and 12 weeks (P < 0.05). This significant increase in the torques possibly resulted from an increase in numbers of bone contact as could be seen from the area and content of residual BFs on the screw surface (Figure 5) and the time-dependent maturation of the remodeled bone as was observed histologically (Figure 6). The greater torque holding coated screws compared with uncoated screws in the present study is in agreement with previous studies of hydroxyapatite coating showing increased torque required for removal of screws and fixation pins of up to 2.5 times than that of uncoated implants [17]. Hydroxyapatite coating can effectively improve the purchase of pedicle screws. Less radiolucent zones were found surrounding coated screws than those surrounding uncoated screws, which resulted in improved fixation with reduced risk of loosening [5].

Scanning electron microscopy (SEM) image of uncoated and coated screws extracted from the bone. No detachment of the coating from the underlying screw is noted. Arrows indicate bone fragments (BFs). The amount and size of the BFs increased with increasing implantation periods. a) uncoated 7 weeks; b) coated 7 weeks; c) uncoated 12 weeks; d) coated 12 weeks; e) uncoated 24 weeks; and f ) coated 24 weeks (magnification ×100). Scale bars represent 1 mm

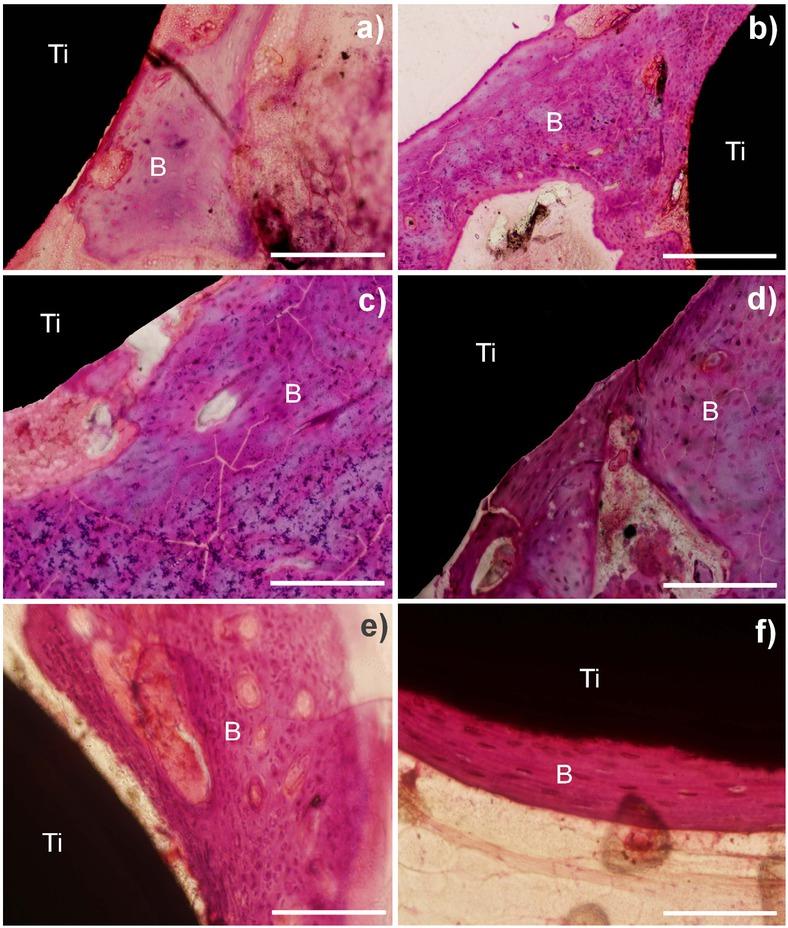
Histology of bone healing around the hydroxyapatite-coated and -uncoated screws in New Zealand white rabbits at 7 weeks, 12 weeks, and 24 weeks after surgery. Hematoxylin and eosin staining demonstrates bone remodeling comprising bone trabeculae with mixed woven bone and lamellar bone. Mature lamellar bone is only observed in coated sample at 24 weeks of implantation. a) uncoated 7 weeks; b) coated 7 weeks; c) uncoated 12 weeks; d) coated 12 weeks; e) uncoated 24 weeks; and f ) coated 24 weeks (magnification ×100; Ti, titanium; B, bone). Scale bars represent 200 μm
Examination of extracted screws by scanning electron microscopy (Figure 5) revealed that the surfaces of the uncoated screws were clean without attached tissue at any implantation period. Thus, the bonding strength directly between bone and titanium was relatively low. For coated screws, the coating was observed to remain intact without detachment at all implantation periods. BFs were observed to attach on the coating of the extracted screw, and the amount and size of the BFs increased with increasing implantation time. This indicated that the failure occurred within the bone itself and strong bonding between the coating and bone was created. The bonding of the coating to titanium was sufficiently strong to resist delamination during removal. By contrast, if the coating failure occurred at the interface between the metal and coating, there is a deficiency in the bonding strength between the metal and its coating [18]. Similarly, a failure at the interface between bone and coating would indicate a low bonding between the bone and the implant [19]. Moreover, failure within the coating itself implies that the cohesive strength of the coating is weaker than the interfacial bonding strength [20]. Delamination and degradation of plasma spray coatings, which can lead to a coating failure at the metal and coating interface or within the coating, are potential risk of failure when using hydroxyapatite-coated implants clinically [3]. Studies of the coated screws in vivo in the present study showed that interfacial bonding strength of the sol–gel hydroxyapatite coating at all interfaces was high and may overcome the disadvantages of plasma spray coating.
Qualitative histological studies of the hematoxylin and eosin-stained bone slices at all periods postoperatively (Figure 6) indicate that no samples showed any active inflammatory response. At 7 weeks and 12 weeks post surgery, bone remodeling comprising bone trabeculae with mixed woven bone and lamellar bone was observed for both uncoated- and coated-screw samples. At 24 weeks postoperatively, uncoated screws still showed bone remodeling comprising bone trabeculae with mixed woven bone and lamellar bone, but mature lamellar bone indicating complete bone healing was only observed for coated screws. In general, bone healing occurs in 3 stages including an inflammatory stage, a reparative stage, and a remodeling stage, in which the bone remodels and matures to regain its mechanical strength. From the histology, it can be seen that bones surrounding both uncoated and coated screws were similarly in a typical remodeling stage, but the bioactive hydroxyapatite coating could induce faster bone healing than uncoated titanium.
A limitation of the histology performed in this study is that the amount of bone contact was not determined quantitatively. However, screw extraction torques as determined in this study can be used to indicate such bone contact and bonding ability of the screws, at least in part. The findings are consistent with the greater cell mineralization ability of the coated samples compared with that of the uncoated samples seen in vitro. Comparison data for the plasma processing coating are not available in the present study, which limits time-dependent comparisons of the osteoblast cultures and histological observations.
The newly developed hydroxyapatite coating on titanium samples could enhance osteoblast proliferation and mineralization in vitro compared with uncoated samples. Mechanical and histological analyses of the screws inserted into the rabbit bone showed that fixation of the sol–gel-derived hydroxyapatite-coated titanium screws to the bone was stronger and the bone healing around the coated screws was faster than for uncoated titanium screws. Therefore, bioactivity was shown both in vitro and in vivo for the sol–gel-derived hydroxyapatite coating, which could be potentially exploited as alternative to the typical plasma spray coating technique to improve the bone bonding ability of implants.