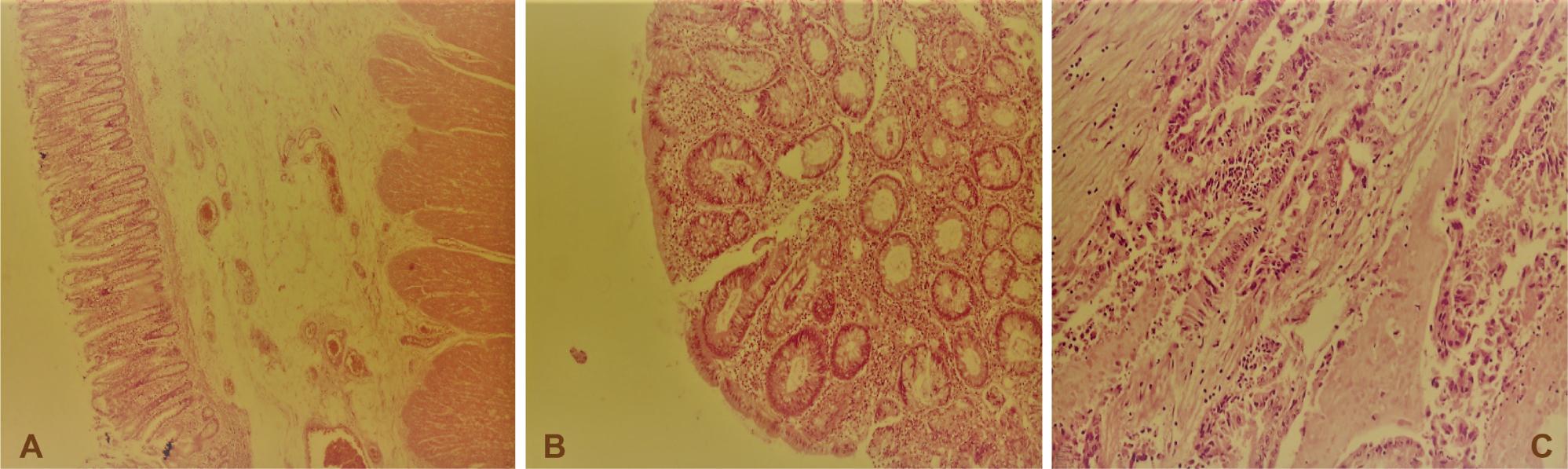
Fig. 1.

Fig. 2.



© 2022 Jamal Sarvari, Shahab Mahmoudvand, Neda Pirbonyeh, Akbar Safaei, Seyed Younes Hosseini, published by Polish Society of Microbiologists
This work is licensed under the Creative Commons Attribution-NonCommercial-NoDerivatives 4.0 License.