Current methods for controlling insect vectors of different infectious diseases are based on the use of chemical insecticides (Hemingway et al., 2004; Macoris et al., 2007). However, excessive use of these chemicals has caused damage to ecosystems, environmental pollution, toxicity in humans and animals and development of resistance in insect vectors (Soderlund and Knipple, 2003; Grisales et al., 2013). These side effects have led to the search for new and more harmless control methods including biological methods, in which the bacterium Bacillus thuringiensis represents a very promising alternative (Boyce et al., 2013; Shingote et al., 2013; WHO 2012; 2016: Ingabire et al., 2017).
In Central and South America, several infectious diseases which affect humans, animals and plants are transmitted by insect vectors from all orders (López-Pazos et al., 2009; Hernández-Fernández 2011; Pérez et al., 2016; WHO 2016; Camacho-Millán et al., 2017). Among them are Diptera such as mosquitoes of Anopheles and Aedes genus involved in the transmission of malaria and dengue, respectively, which cause great impact in human heath (WHO 2016; Soares-da-Silva et al., 2017). Among the insect vectors that cause great pests in agriculture in Latin America, are Lepidoptera such as Tuta absoluta which produces great loss in tomato production (Salazar and Araya, 2001; Hernández-Fernández, 2011) and Coleoptera such as Premnotrypes vorax and Anthonomus grandis that cause devastating pests for potato and cotton crops, respectively (López-Pazos et al., 2009; Pérez et al., 2016). For these reasons it is very important in Latin America to seek more effective, sustainable and ecological methods to improve the campaigns to control and eradicate the various vectors of communicable diseases present in our countries (Prabakaran and Hoti, 2008; WHO 2016; Soares-da-Silva et al., 2017). One of the possible alternatives for biological control of these vectors is B. thuringiensis.
B. thuringiensisis (Bt) is a Gram-positive, aerobic and facultatively anaerobic bacterium that during the sporulation phase synthesizes a set of proteins that produce parasporal crystals with toxic activity against insects. These crystals consist of several proteins, including the Cry and Cyt protein families (Santos et al., 2012; Bravo et al., 2013). Using a nomenclature based on the phylogenetic relationships of the amino acid sequences deduced from coding genes, four orders of identity were established (Crickmore et al., 1998). Currently more than 700 cry gene sequences have been identified, classified into at least 70 groups, named cry1, cry2, cry3 ... cry70, whose corresponding insect toxicity is not as specific and simple as previously thought (Bravo et al., 2013; Soares-da-Silva et al., 2017).
Today it is relatively clear that both the intensity and specificity of the toxic effect against a particular insect order depends on the set of toxic proteins expressed by the bacterium. For example, larvicidal activity against Diptera larvae has been associated with proteins Cry4Aa, Cry4Ba, Cry10Aa, Cry11Aa, Cyt1 and Cyt2 (Cantón et al., 2011; Santo et al., 2012). The classical example of a bacterium with this protein pattern is B. thuringiensis var. israelensis, used all over the world as commercial preparations against Diptera larvae (Cantón et al., 2011; Santos et al., 2012). However, in addition to this set of proteins, in some cases other complementary proteins such as Cry1 and Cry2, have been detected that enhance the toxic effect against Diptera (Ben-Dov et al., 1997; Pinto et al., 2012). Most of the genes encoding these δ-endotoxins are localized in plasmids, such as the megaplasmid pBtoxis of 127,923 bp that is present in the B. thuringiensis var. israelensis strain (Berry et al., 2002). This plasmid encodes the six proteins toxic to Diptera mentioned above (Berry et al., 2002; Cantón et al., 2011; Santos et al., 2012). However, the Cry1 and Cry2 proteins are encoded by other plasmids (Porcar and Caballero, 2000).
Studies of B. thuringiensis strains isolated from Latin America strongly suggest that there is a heterogeneous geographic distribution of cry genes associated with toxicity against different insect orders (Bravo et al., 1998; Ibarra et al., 2003; Uribe et al., 2003; López-Pazos et al., 2009; Santos et al., 2012; Pérez et al., 2016; Camacho-Millán et al., 2017; Soares-da-Silva et al., 2017). Colombian strains of B. thuringiensis have been isolated mainly from the central region, e.g. Medellin (Segura et al., 2000; Ruiz et al., 2004) and few studies on B. thuringiensis samples from Caribbean regions of Colombia have been reported (Uribe et al., 2003; López-Pazos et al., 2009). It is very interesting to note that B. thuringiensis samples isolated from tropical forests contained different cry gene sets and showed distinct toxicity to insect orders compared to those isolated from agricultural soils. The tropical forest samples showed cry1, cry3 and cry7 genes and were toxic to coleopteran species, while the samples from agricultural soils only had cry1 genes and were toxic to Lepidoptera (Uribe et al., 2003).
Based on the literature reports mentioned above that suggest association between geographic origin and cry gene variants of B. thuringiensis, the aim of the present study was to isolate and characterize new B. thuringiensis strains toxic against dipterans of importance in human health from a tropical region not previously studied.
Strains. Twenty-eight isolates of B. thuringiensis were obtained from urban soil samples and mud from the water treatment plants of the city of Valledupar and stored in the laboratory of Parasitología Agroecología Milenio of the Universidad Popular del Cesar, Colombia (Table S1 in Supplementary Material). Two commercial strains of B. thuringiensis were used as positive controls in the toxicity tests; Turilav®, produced by Laverlam S.A., which is the strain B. thuringiensis var. kurstaki, and VectoBac® WDG, produced by Valent Biosciences Corporation, which is B. thuringiensis var. israelensis.
Production of spores and crystals. Isolates of B. thuringiensis containing spores and crystals conserved in filter paper were cultured as described (Santos et al., 2012). Briefly, these samples were submerged in 2 ml of nutrient broth: 0.1% (w/v) meat extract, 0.2% (w/v) yeast extract, 0.5% (w/v) bacteriological peptone and 0.5% (w/v) NaCl, incubated at 28°C for 24 h. Then, 200 ml of culture medium N° 1 were added and the solution was incubated at 28°C for 96 h with gentle agitation. The suspensions of each isolate were washed 3 times with 1.5 M NaCl and 3 times with distilled water and centrifuged at 10000 g for 10 min; the spore-crystal complex was stored at –20°C.
Bioassays. The toxic effect of the isolates of B. thuringiensis on larvae of A. aegypti was determined following the methodology recommended by the World Health Organization (WHO 2005). Twenty five third or fourth instar larvae of the reference strain (Rockefeller) were transferred to transparent watch glasses with 150 ml capacity (Santos et al., 2012). Determinations were performed in triplicate (Table S2 in supplementary material). The positive controls Turilav® and VectoBac® WDG were included in each assay. As negative control 100 larvae were placed in distilled water. Mortality was recorded after 48 h. Pupae were omitted in the analyses. If the negative control had mortality > 20% the assay was eliminated. Bioassays were performed in laboratory conditions at a temperature of 28°C and relative humidity of 65%.
Detection and sequencing of cry genes. The cry1 and cry2 genes were analyzed based on the methods described by Ben-Dov et al. (1997), using the primers Un1(d) and Un1(r) for cry1 and Un2(d) and Un(r) for cry2. The PCR conditions used for amplification of cry1 were: DNA denaturation for 3 min at 94°C; 35 cycles of 1 min at 94°C, 1 min at 55°C and 1 min at 72°C, with a final extension at 72°C for 10 min. Amplification of the cry2 gene was similar to the cry1 gene, only changing the number of cycles and annealing temperature to 40 cycles and 51°C, respectively. The primers and conditions used to detect cry4B, cry10 and cyt1 were based on Santos et al. (2012). The PCR protocol to amplify these genes was: a DNA denaturation step of 3 min at 94°C; 35 cycles for 1 min at 94ºC, 1 min at 50°C and 1 min at 72°C, and a final extension of 10 min at 72°C.
DNA amplification was performed in a TECHNE TC 412 thermocycler. All reactions were performed in a volume of 20 μl. PCR products were visualized in 2.5% agarose gels with TBE buffer (89 mM Tris-borate, 2 mM EDTA, pH 8.3), also including a 100 pb (base pair) DNA ladder (Invitrogen, Brazil).
Positive controls for cry1, cry4B, cry10 and cyt1 assays were performed using a DNA sample of B. thuringiensis var. israelensis generously donated by Mario Soberón, of the Instituto de Biotecnología, Universidad Nacional Autónoma de México.
PCR products of the cry1, cry4B and cry11 segments were purified using the Qiaquick PCR purification kit (Qiagen, Hilden, Germany) and then sent for sequencing to the DNA Core Sequencing Facility, University of Illinois, EEUU, with the corresponding primers. The GenBank accession codes for the sequences Bt1-cry1 and Bt3-cry1 are MG271933 and MG271934, respectively.
Analysis of DNA sequences. Colombian B. thuringiensis cry1 gene segments were aligned with B. thuringiensis cry1A gene for the insecticidal crystal protein segment located between 2780 and 3080 bp (GenBank accession code D17518.1). This information is available in the database http://www.ncbi.nlm.nih.gov/. Alignments were made with the CLUSTALX program and edition of the sequences was performed with the Bioedit software (Hall, 1999). The Colombian cry4B segment, corresponding to Bt-UPC-22 (Bt22), was aligned with the B. thuringiensis serovar israelensis cry4B gene coding sequence (cry4B, GenBank accession: D00247.1).
Bioassays. The highest mortality (27–30%) at the concentration 0.1 mg/l was caused by B. thuringiensis isolates Bt-UPC-15, Bt-UPC-20 and Bt-UPC-25 (Table S2, Supplementary Material). Two other isolates, Bt-UPC-5 and Bt-UPC-6, caused 17% and 23% mortality, respectively, at the highest concentration tested (10 mg/l). These five isolates with toxic activity came from urban soils (Table SI, Supplementary Material).
Detection of cry1 gene segments in three Colombian B. thuringiensis samples. The analysis of various isolates of B. thuringiensis to detect the cry1 gene showed a single PCR amplification product in the expected range of 274-277 bp (Fig. 1, Bt-UPC samples 1, 3, 8, 16 and 17). The cry1 was detected in 35.7% of the Bt-UPC samples analyzed (Table SII, Supplementary Material). However, the gene was not detected in any of the Bt-UPC samples that were toxic to mosquito larvae.
Fig. 1.
Detection of the cry1 gene in Bacillus thuringiensis DNA samples from a Caribbean region of Colombia.
Electrophoresis in 2.5% agarose gels, showing PCR amplification products for the cry1 gene using the primers and protocols described by Ben-Dov et al. (1997). Molecular marker: 100 base pair (bp) DNA ladder (lane 1), without sample (lanes 2, 20). Lanes 3–19: B. thuringiensis samples (Bt-UPC-1 to Bt-UPC-17). Lanes 21, 22: different concentrations of Bt-UPC-1. The Bt DNA samples and the volume analyzed are indicated above the figure. Expected size 274–277 bp (See Material and Methods for more details).

Two cry1 gene segments from DNA samples Bt-UPC-1 and Bt-UPC-3 were sequenced (Fig. 2). Importantly, the Bt1-cry1 and Bt3-cry1 sequences (GenBank accession numbers MG271933 and MG271934, respectively) are identical, and differ from the cry1A gene (GenBank accession number D17518.1) only in nucleotides 2894 and 2895 (indicated by a box into the figure). Interestingly, these nucleotide changes also produce a change in the aa (amino acid) encoded by the codon, from aa serine 965 to phenylalanine (S965F). The localization of the segment amplified by PCR with respect to the full length Cry1 amino acid sequence is shown in Fig. S1 in the Supplementary Material.
Fig. 2.
Aligment of a cry1 protein coding gene segment of two DNA samples from a Caribbean region of Colombia.
The corresponding deduced amino acid sequence is given below each nucleotide sequence. The first sequence corresponds to a segment of an open reading frame of the B. thuringiensis var. kurstaki HD-1 cry1A gene, from base pair 2731 to 3080 (Bthu-cry1A, Genbank code D17518.1). The second and third sequences are PCR products of cry1 amplified from Colombian B. thuringiensis Bt-UPC-1 (Bt1-cry1, GenBank code MG271933) and Bt-UPC-3 (Bt3-cry1, GenBank code MG271934) DNA samples, respectively. The box indicates the two single nucleotide polymorphisms (SNP) between sequences, and the corresponding changes of Serine 965 to Phenylalanine in Bt sequences.

Detection of a cry2 gene segment in Colombian B. thuringiensis samples. Using the method described by Ben-Dov et al. (1997) we detected the described segment of about of 700 bp in 32.1% of Colombian B. thuringiensis samples (Table SII, Supplementary Material). For instance, in Figure 3 there is clearly a single band of 700 bp in Bt samples 8, 17 and 18, and a very faint band is also observed in Bt sample 16. Interestingly, in Bt samples 8, 16, 17, 18, 26 and 28 both cry1 and cry2 were detected (Table SII, Supplementary Material). However, in Bt samples 22, 23 and 27 the cry2 segments were accompanied by cry4B gene segments (Table SII, Supplementary Material).
Fig. 3.
Detection of the cry2 gene in Bacillus thuringiensis DNA samples from a Caribbean region of Colombia.
Electrophoresis in 2.5% agarose gels, showing PCR amplification products for the cry2 gene using the primers and protocols described by Ben-Dov et al. (1997). Molecular marker: 100 base pair (bp) DNA ladder (lane M), without sample (lane 0). DNA of B. thuringiensis var. israelensi (Bti), 0.34 μg. Colombian B. thuringiensis samples Bt-UPC-18, Bt-UPC-1 to 19 (lanes 18, 1–19, respectively). The volume analyzed for each sample was 1 μl. Expected size about 700 bp (See Material and Methods for more details).

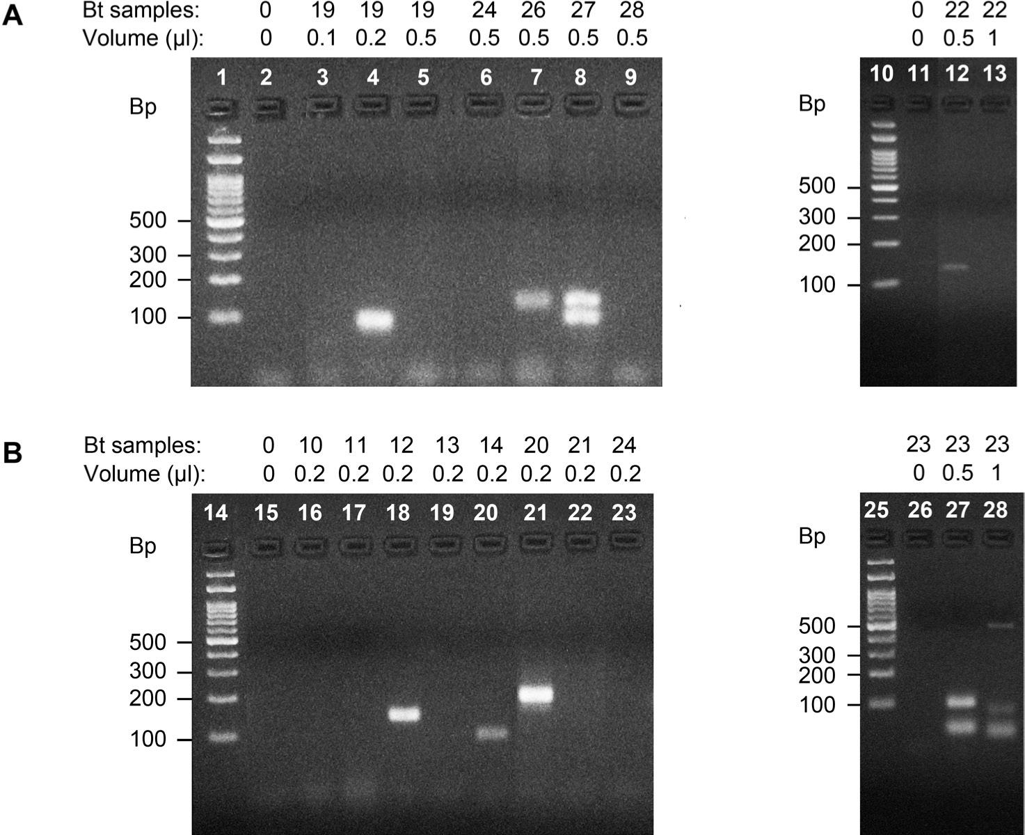
Detection of cry4B gene segments in Colombian B. thuringiensis samples. The detection of cry4B was not easy, because it was necessary to try different volumes of each sample to observe any amplification product (Fig. 4). Thus in most Bt-UPC samples it was possible to obtain a PCR amplification product of 100 bp only with certain volumes (Lanes 4, 20 and 27), 150 bp (Lanes 7, 12 and 18) or 200 bp (Lane 21). At high DNA concentration in the PCR assay, a larger PCR product of about 500 bp was detected in some samples (Lane 28, Bt23 sample).To determine whether these small length products really encoded segments of the cry4B gene, several attempts were made to obtain sufficient quantity of DNA of different-sized fragments to be sequenced. It was possible to obtain enough DNA for sequencing only from the Bt-UPC-22 sample. This PCR product of 150 bp was partially sequenced in the inverse sense; as shown (Fig. 5), a 97 bp segment was sequenced which aligned with segment 1707–1817 of the cry4B gene from B. thuringiensis serovar israelensis (accession code D00247.1). Three gaps and multiple nucleotide differences are shown between the sequences, corresponding to an identity of 50%. The localization of this cry4B segment amplified by PCR with respect to the full length Cry4B amino acid sequence is shown in Figure S1 (Supplementary Material).
Fig. 4.
Detection of the cry4B gene in different volumes of Bacillus thuringiensis DNA samples from a Caribbean region of Colombia.
The four electrophoreses were performed in 2.5% agarose gels, showing PCR amplification products for the cry4B gene using the primers and protocols described by Santos et al. (2012). Molecular marker: 100 base pair (bp) DNA ladder (lanes 1, 10, 14 and 25), without sample (lanes 2, 11, 15 and 26). Colombian B. thuringiensis samples (lanes 3–9, 12, 13, 16–23 and 27, 28, respectively). The corresponding Bt-UPC DNA samples and the volume analyzed are given above the figure.

Fig. 5.
Alignment of the cry4B segments from the Colombian B. thuringiensis Bt – UPC – 22 sample and from the B. thuringiensis serovar israelensis bacterium.
These nucleotide sequences correspond to a segment of 140 bp from B. thuringiensis serovar israelensis cry4B gene coding sequence (cry4B, GenBank code: D00247.1) and the 97 bp nucleotide segment sequenced from Colombian B. thuringiensis DNA sample Bt22 (cry4B-Bt22rc). Below each nucleotide sequence is the corresponding deduced amino acid segment.

Cry10 and cyt1 genes were not detected in any samples of the Colombian Caribbean. Several attempts were made using diverse dilutions and PCR conditions to detect segments of genes cry10 and cyt1, as shown in Figure S2, in which both assays clearly showed the expected fragments of 348 and 480 bp described for these gene segments, respectively, that were detected in the positive control with samples of B. thuringiensis var. israelensis (panels A and B, lanes 3–5). It must be mentioned that a very small amount of these Bt genes can be detected in the assay, even at dilutions higher than 1/1000, corresponding to a concentration lower than 17 ng/μl.
B. thuringiensis has been isolated from different ecosystems; the soil is one of the habitats in which it is most widely distributed (Arango et al., 2002; Jara et al., 2006; Pérez et al., 2016; Camacho-Millán et al., 2017; Soares-da-Silva et al., 2017). This fact, coupled with the wide variety of climatic regions and high diversity of insects in Colombia, provides opportunities to isolate new strains with toxic activity against Diptera or other insect orders (Ibarra et al., 2003). However, in spite of the importance of dipterans as etiological agents of infectious diseases, few studies have reported the molecular characterization of collections of B. thuringiensis in relation to the content of cry and cyt genes lethal to species of this order in Colombia (Segura et al., 2000; Ibarra et al., 2003; Ruiz et al., 2004).
The toxicity of B. thuringiensis isolates against insect larvae is a complex phenomenon which depends upon several factors (Martínez and Caballero, 2002; Santos et al., 2012; Soares-da-Silva et al., 2017). These can be classified into bacterial, larval and environmental factors. Bacterial factors include the concentration of spores and crystals, presence and expression of toxic genes against insects (Martínez and Caballero, 2002; Santos et al., 2012). Larval factors include the genus, species, strain and geographic origin of larvae, as well as the presence in their midgut of receptors which interact with the different toxic proteins expressed by the bacterium (Martínez and Caballero, 2002; Santos et al., 2012; Soares-da-Silva et al., 2017). Environmental factors include the temperature and pH of the water in which the larvae are infected with bacteria (Arunachalam et al., 2010; Santos et al., 2012). Thus it has been demonstrated that more acidic water yields higher toxicity of B. thuringiensis isolates against larvae (Martínez and Caballero, 2002; Santos et al., 2012; Soares-da-Silva et al., 2017). These authors suggest that one possible mechanism could be the stimulation of the ingestion of the bacteria by larvae. It appears that there is a range of optimal temperatures for high metabolism and ingestion of bacteria by larvae which is from 20–30°C (Arunachalam et al., 2010), but this range could change depending on the strain or origin of the larvae (Santos et al., 2012). In our study anti-larval activity was detected in 5 of the 28 B. thuringiensis isolates (17.9%), with mortality that ranged from 17% to 30% (Table SII, Supplementary Material). Considering the complex phenomenon of toxicity against larvae produced by toxins expressed by B. thuringiensis, we cannot rule out environmental factors in the low toxic effect observed in the present study.
Cry1 and cry2 genes have been associated mainly with toxic effects against Lepidoptera (Morse et al., 2001; Zhao et al., 2005; Mandal et al., 2007; Camacho-Millán et al., 2017), but in association with other cry genes toxic effects have also been reported against Dipteran larvae (Ben-Dov et al., 1997). In order to know whether cry1 and cry2 genes might be involved in toxic effects against Aedes aegypti larvae detected in Colombian Bt samples, the presence of these genes was investigated (Fig. 1–3). As mentioned above, the presence of cry1 and cry2 genes was not detected in any of the Bt-UPC samples that were toxic to mosquito larvae (Table SII). This result is concordant with results previously reported in Bt samples from Latin America, showing that cry1 and cry2 genes both together and separately are associated with toxicity against Lepidoptera and Coleoptera but not against larvae of Diptera (Uribe et al., 2003; Lopez-Pazos et al., 2009; Santos et al., 2012; Camacho-Millán et al., 2017; Pérez et al., 2016).
It is noteworthy that the sequenced cry1 gene segments of the two Colombian B. thuringiensis samples were almost identical to the respective cry1A homolog of the subspecies named Bt kurstaki HD-1 isolated from a commercial insecticidal formulation called Dipel (Abbott Laboratories, North Chicago) (Kondo et al., 1987), differing from the database sequence only in two nucleotides which caused a non-silent mutation from serine to phenylalanine (Fig. 2).
Interestingly, detection of the cry4B gene was very difficult; in almost all samples we were only able to detect segments much shorter than expected. Segments of 100, 150 and 200 bp were found instead of 321 bp segments (Fig. 4). In some samples two fragments were detected. In order to confirm that at least some of these fragments indeed correspond to segments of the cry4B gene, we tried to sequence them. It was only possible to sequence a PCR product of 150 bp from the Bt22 sample, obtaining a sequence of 97 nucleotides (Fig. 5). This segment corresponds to the delta-endotoxin C region of the respective Cry4B protein. Our results show that indeed, at least the 150 bp PCR fragment corresponds to a segment of the cry4B gene (Fig. 5). Further studies will be necessary to determine the total length of these genes in these Colombian samples and confirm whether the other fragments also are cry4B gene segments.
Based on the reduced length of cry4B gene segments detected in our samples, one explanation for the null or low larvicidal effect against A. aegypti larvae could be that these cry4B segments are pseudogenes. Confirming or refuting this hypothesis will require further study.
B. thuringiensis samples from the Colombian Caribbean area show atypical characteristics, which is consistent with the idea that the geographic origin of B. thuringiensis samples is associated with their biological and genetic characteristics.
Five of the twenty-eight isolates of B. thuringiensis showed a lethal effect against larvae of A. aegypti, the mosquito that transmits serious diseases such as dengue. Cry1 and cry2 genes were detected in 35.7% and 32.1% of the samples, respectively, but in none of the five Bt samples that were toxic against mosquito larvae.
Surprisingly, a reduced length of cry4B gene segments was detected in 28.6% of Bt samples, 100–200 bp instead of the expected 321 bp; neither of these segments was detected in the five Bt Colombian samples toxic to A. aegypti larvae. Cry10 and cyt1 were not detected in these Colombian B. thuringiensis samples.
Further studies will be required in order to identify other genes involved in the larvicidal effect observed in these Bt samples.