Figure 1

Figure 2

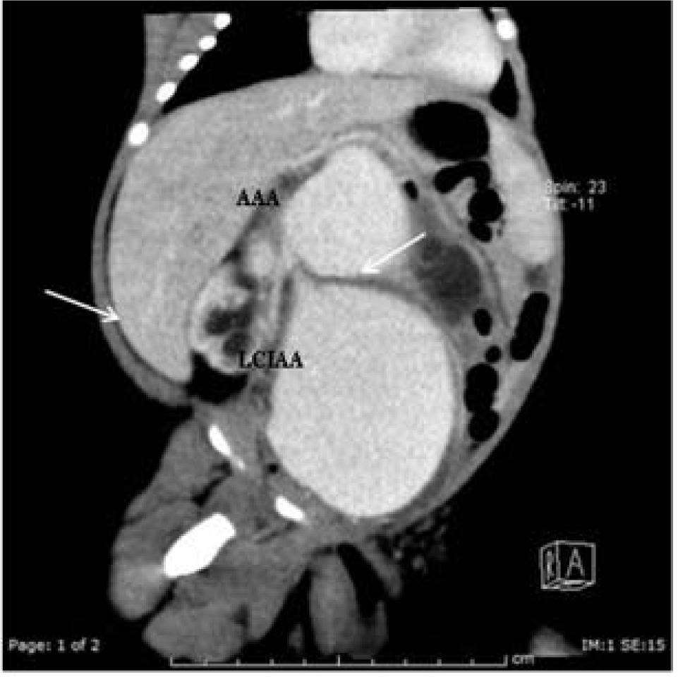
Figure 3




© 2017 Anongnart Sirisabya, Panruethai Trinavarat, Jule Namchaisiri, Santi Punnahitanonda, Pimolrat Thaithumyanon, published by Chulalongkorn University
This work is licensed under the Creative Commons Attribution-NonCommercial-NoDerivatives 3.0 License.