Angiomyolipomas are the most common benign renal neoplasms that are mixed between smooth muscle, vascular, and fat compartments. Polycythemia vera is rarely concomitant with renal angiomyolipomas. Polycythemia vera can be found in up to 3% of patients with renal cell carcinoma [1]. To our knowledge, there is only one previously published case report describing clinical presentation and laboratory investigation; but the report did not cover clinical progression during treatment [2]. The present report describes a rare case presenting in a woman with a renal angiomyolipoma and polycythemia vera diagnosed by a point mutation in the gene for Janus kinase 2 (JAK2) with outcome after partial nephrectomy.
A 59-year-old Thai woman, presented with a right abdominal mass and had suffered from abdominal discomfort for a few months. She had no history of underlying diseases, smoking or alcohol intake. She had facial flushing, dizziness, and anorexia. On physical examination, her respiratory and cardiovascular variables were within normal limits. A huge mass at her right upper abdomen was palpable and this was confirmed by computed tomography (Figure 1A). Hemoglobin was 17.7 gm/dL and hematocrit was 57.4% with leucocytosis (white blood cell count = 28.4 × 109/L), and platelet count 334 × 109/L. Her serum erythropoietin was 7.4 mIU/mL (reference range 3.7–29.5 mIU/mL). Renal and liver function test results and oxygen saturation were normal. Bone marrow was examined and showed hypercellularity with prominent erythroid appearance along with normal bone marrow chromosomes (Figure 2A). Cytogenetic analysis was positive for JAK2 (V617F) point mutation. Secondary causes of erythrocytosis were excluded. The patient was diagnosed with polycythemia vera according the 2007 World Health Organization (WHO) criteria, which include absolute erythrocytosis (woman with hemoglobin >16.5 g/dL), presence of JAK2 (V617F) mutation, bone marrow with hypercellularity as a panmyelosis appearance, and low level of erythropoietin. Meanwhile, she received hydroxyurea to control her symptoms and hematocrit level. A urologist performed a nephrectomy to evaluate the huge renal mass, and could not exclude renal cell carcinoma. The patient was diagnosed with renal angiomyolipoma based on histopathological findings (Figure 2C and 2D). Ultrasonography was performed to exclude residual renal mass or lymphadenopathy (Figure 1B and 1C). At 6 months after surgery, her hemoglobin did not return to a normal level, and she was given a low dosage of hydroxyurea (500 mg per day) for a year to control her symptoms and hematocrit.

(left) CT of the abdomen of a 59-year-old Thai woman showing a huge mass anterior to her right kidney. Lymphadenopathy was not seen. The rest of the image appeared normal. (middle and right) Ultrasonography of the kidney after partial nephrectomy showed ureter and bladder, normal size kidneys, and normal cortical thickness. The size of the right kidney was 9.7 cm long with a 9 mm cortical thickness, and the left kidney was 10.1 cm long with a 10 mm cortical thickness. An echoic area suggestive of a surgical scar is noted in the right renal upper pole. The rest of the image is unremarkable with a clearly defined corticomedullary junction and smooth renal contour. There was neither definite renal stone nor hydronephrosis.

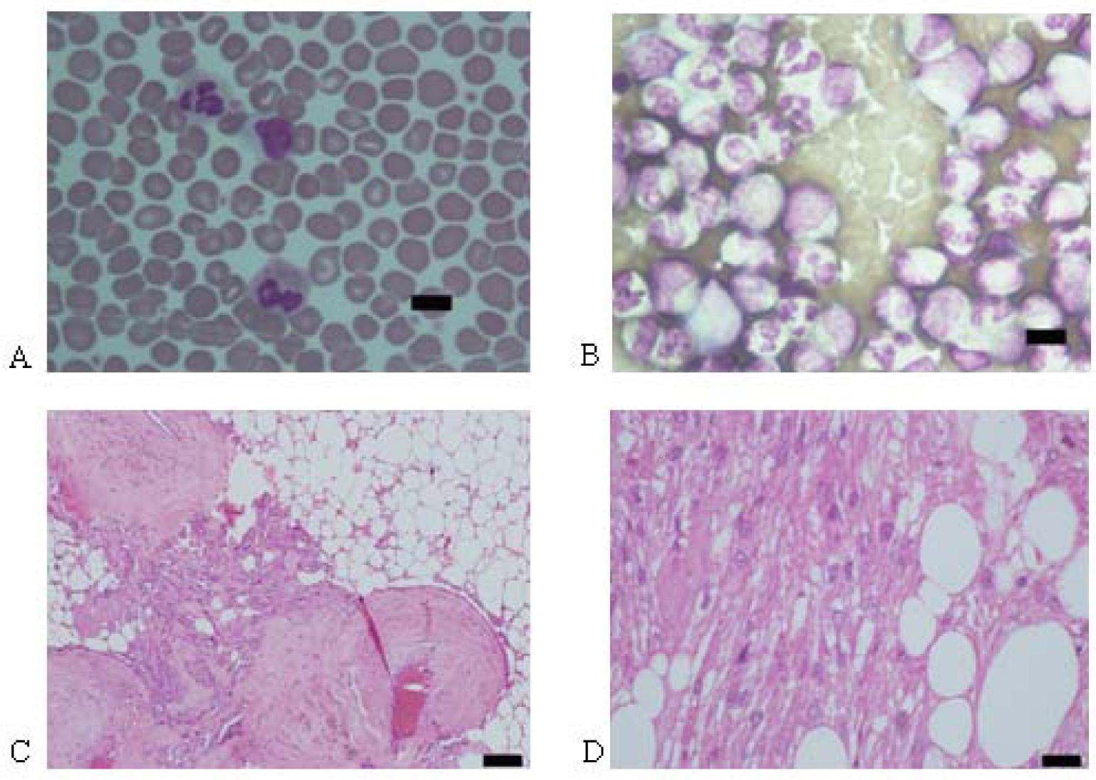
(A) Erythrocytosis in a blood smear (Wright–Giemsa stain, bar 10 μm, original magnification × 40) (B) Panmyelosis with moderately hypercellular marrow (Wright–Giemsa stain, bar 10 μm, original magnification ×100) (C). Angiomyolipoma from the kidney showing an admixture of fat, blood vessels, and smooth muscle (hematoxylin and eosin staining, bar 550 μm, original magnification ×40), and (D) higher magnification of smooth muscle and fat components in the angiomyolipoma (hematoxylin and eosin staining, bar 550 μm, original magnification ×60)
This study was approved by the Ethics Committee of Rajavithi Hospital (approval No. 103/2559). Written informed consent was obtained from the patient to publish this case report.
To our knowledge, only one case of concomitant renal angiomyolipomas and polycythemia vera has ever been reported [2]. Polycythemia vera was diagnosed by the 2007 WHO criteria and renal angiomyolipoma was diagnosed by tissue pathology [3]. The patient presented with hyperviscosity symptoms and a mass effect on abdominal organs. Many consider polycythemia vera may be related to renal cell carcinoma [4, 5, 6, 7]. The prevalence of polycythemia is up to 3% in patients with renal cell carcinoma [1]. Most patients present with a renal mass with or without splenomegaly. Only one patient with renal angiomyolipoma presented with erythema. The present patient showed both erythema and a renal mass. Remarkably, most erythematous patients with a renal tumor had high level of erythropoietin. The cause of this high level may similar to that of erythropoietin-producing carcinomas [5, 8, 9]. One patient with renal angiomyolipoma showed a non elevated erythropoietin level similar to our present finding. Nephrectomy for renal angiomyolipomas is not recommended, unless malignancy or renal cell carcinoma is suspected, or to prevent spontaneous rupture of larger tumors. The high prevalence and poor prognosis of renal cell carcinoma are important considerations [2]. The clinical presentations of polycythemia vera and renal angiomyolipoma are pointedly different from renal cell carcinoma as follows: (1) clinical presentation with an erythematous condition predominates in cases of concomitant polycythemia vera and renal angiomyolipoma, (2) low to normal erythropoietin level suggests concomitant polycythemia vera and renal angiomyolipoma.
Here we also present a clinical outcome for the present patient, who was not responsive to nephrectomy. The patient still required a low dose of hydroxyurea for hemoglobin to become normal after removing the renal tumor [1]. This has been explained by erythropoietin causing secondary polycythemia [1, 10]. However, we followed the erythropoietin level in the present patient for a year and found that the level became normal. We prescribed only cytoreductive therapy (hydroxyurea was administered). In another patient with polycythemia vera and renal angiomyolipoma, a treatment regimen of phlebotomy and cytoreductive therapy was used to control secondary polycythemia, and we have no information on the side effects of that treatment regimen [2]. The present patient has not so far had any complications from low dosage hydroxyurea.
We have reported a patient presenting symptoms and a clinical course to show the difficulty in distinguishing polycythemia vera concomitant with renal angiomyolipoma from renal cell carcinoma. We propose that erythematous phenomena and a low erythropoietin level favor a benign more than a malignant condition. Moreover, the clinical course of polycythemia vera and renal angiomyolipoma need to be continuously controlled with cytoreductive therapy after removing the renal mass.