Myxoma is a rare benign tumor of the connective tissue. It is the most common type of benign heart tumor, but it can occur in various parts of the body [1]. It is observed mostly alone, but sometimes it may be associated with Carney complex or multisystem diseases such as Zollinger–Ellison syndrome. Myxoma rarely originates from ocular tissues, but usually originates from the bulbar conjunctiva if there is ocular involvement [2, 3].
It is difficult to distinguish this rarely seen tumor by macroscopic view. It can be misdiagnosed, especially if the mass originates from an unusual region. We sought to report a case with ocular fornix conjunctiva involvement of myxoma to emphasize the consideration of ocular myxoma in differential diagnosis of ocular tissue masses.
A 50-year-old male patient was admitted to our clinic with the complaint of a growing mass in the left lower eyelid fornix conjunctiva for over a year. When his eyelid was not supported, his left lower eyelid remained at eversion by the effect of the mass as indicated by the arrowhead in Figure 1.
Figure 1
Mass in the left lower eyelid fornix conjunctiva (arrowhead)

The mass was solid, painless, purple-red, and ovoid, and clinging to the inferior fornix by a thin pedicle tissue. A hemorrhagic ulcer was located on it. Detailed examination of both eyes showed they were normal except for the mass.
The mass was considered as a reactive lymphoid hyperplasia or pyogenic granuloma in preoperative differential diagnosis. The total mass was excised under local anesthesia.
Macroscopically, the mass was pale pink-yellow polypoid material covered with skin, and 15 × 10 × 10 mm in size. Tissue sectioning revealed a regular, well-circumscribed, pale pink-yellow, semitranslucent, gelatinous (myxoid) mass.
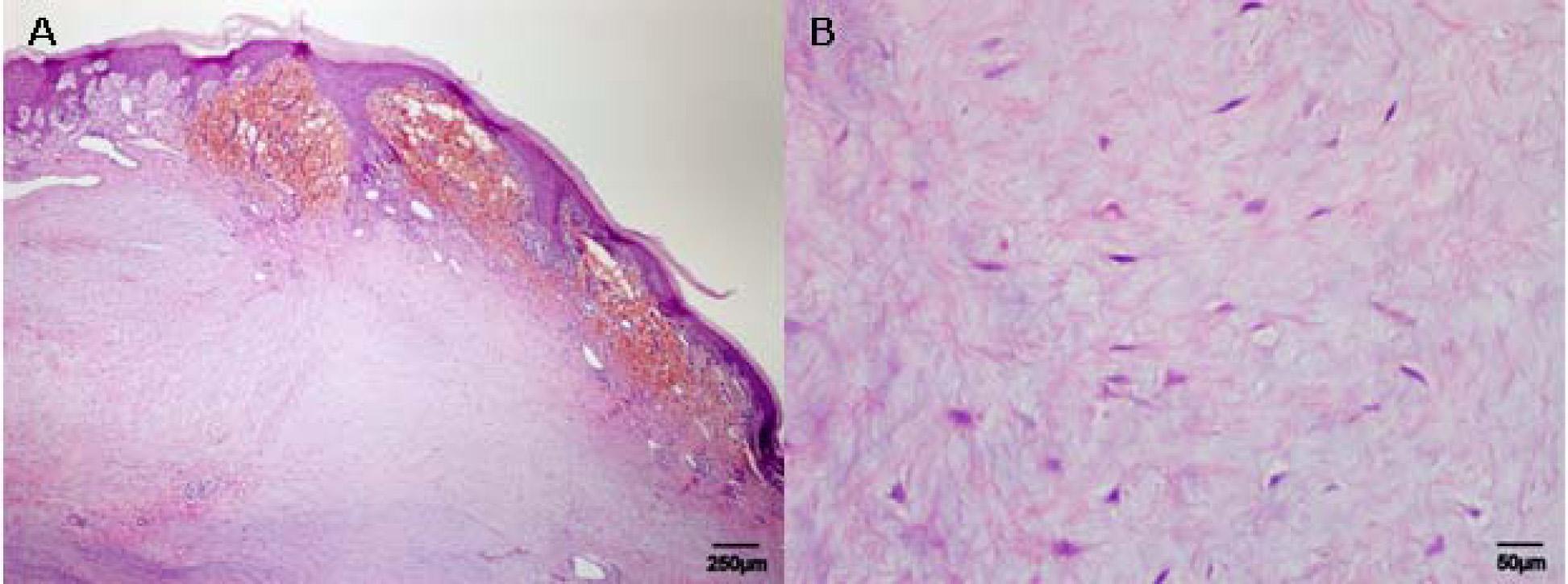
Histopathology of the tissue sample surrounded with multilayered acanthotic squamous epithelium revealed a recent widespread hemorrhage under the epithelium and well-demarcated hypocellular lesion consisting of scattered fusiform-stellar-shaped cells in a loose myxoid stroma (Figure 2A). There were scattered cytoplasmic projections, intranuclear vacuoles, and mild pleomorphism in cells (Figure 2B).
Figure 2.A
Loose myxoid stroma surrounded by a squamous epithelium (hematoxylin and eosin staining ×400; bar = 250 μm), B. Cytoplasmic projections in fusiform-stellar-shaped cells (hematoxylin and eosin staining ×400; bar = 50 μm).

Small numbers of vascular structures and scattered mast cells were observed in the stroma. Immunohistochemical staining revealed cellular expression of vimentin and CD34, but not S100 immunoreactivity (Figure 3).
Figure 3.A
Vimentin-immunoreactivity in cells (3-amino-9-ethylcarbazole chromogen ×400, bar = 50 μm), B: CD34-imunoreactivity in cells (3-amino-9-ethylcarbazole chromogen ×400, bar = 50 μm).

Stroma was stained positively by Alcian blue (Figure 4). The case was diagnosed as myxoma on the basis of histopathology. The patient was consulted by the relevant departments for associated pathology, but there was not any additional pathology except for sinusitis and nasal polyps. The patient refused treatment of polyps. Ectropion was not seen following the mass excision. Recurrence was not observed during a 12 month followup period.
Figure 4
Alcian blue staining of the stroma (Alcian blue staining ×200, bar = 50 μm)

There are various tumoral structures in the differential diagnosis of myxoma. Myxoma should be distinguished clinically and histopathologically from nevus, amelanotic melanoma, fibrous histiocytoma, myxoid liposarcoma, spindle cell lipoma, myxoid neurofibroma, lymphangioma, and rhabdomyosarcoma. Myxoma does not have pigmentation and obvious vascularity that are observed in nevus and amelanotic melanoma. The fusiform cells are thicker and in more regular bundles than in myxoid neurofibroma. In fibrous histiocytoma, there is no vascularity or pleomorphism that is observed in myxoma [4, 5].
In our case, the mass has some unusual features in that it was ovoid and pediculated. In the literature, the appearance of usual masses is defined as yellowish, pink, and gelatinous, unlike in our case. In our case, the reason for the purple-red appearance of the mass was the result of bleeding underneath the capsule that was shown in histopathology [6]. To our knowledge, there is only one other case with a red color reported in the literature [2].
Almost all publications report that myxoma is adherent to conjunctival structures. In our case, polypoid myxoma was pediculated with conjunctiva by only about 3 mm tissue. To our knowledge, the present case is only the second reported in the literature that originates from the fornix of the conjunctiva [2, 3].
We should consider that myxoma can also occur in eye tissues and can mimic other types of tumors.