Video 1
Patient movements pre and post MR-FUS.
Prior to MR-guided focused ultrasound thalamotomy, examination showed left upper extremity postural and kinetic tremor. Post procedure exam revealed orofacial dyskinesias and left hemibody choreiform and dystonic movements. Reevaluation after approximately eight weeks of tetrabenazine therapy demonstrated marked improvement in the choreiform and dystonic movements.

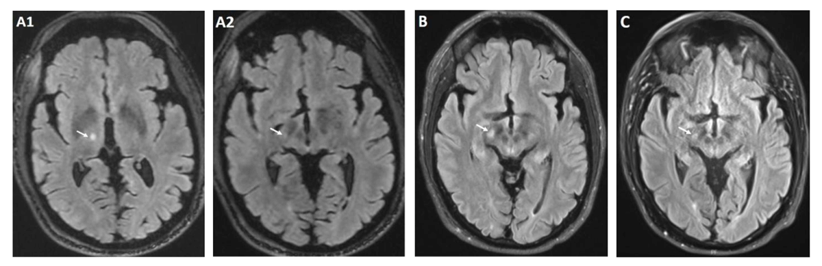
Figure 1
Brain MRI T2 FLAIR post procedure.
Immediately post procedure lesion at Vim (A1) with very slight extension to STN (A2) 1 month after procedure and onset of chorea with increased signal intensity involving the right STN (B) 8 months after procedure with near resolution of STN signal hyperintensity (C).
