
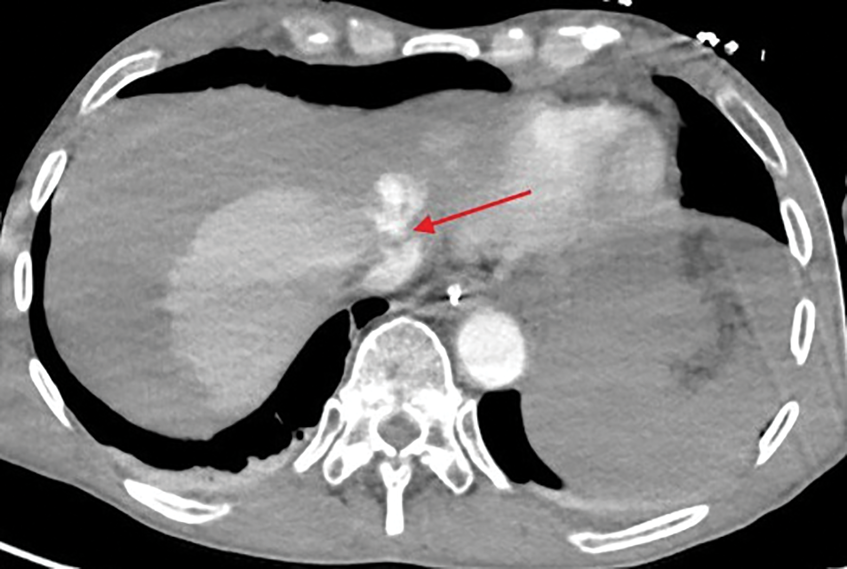
Figure 1
Active venous contrast extravasation against the left hepatic lobe.

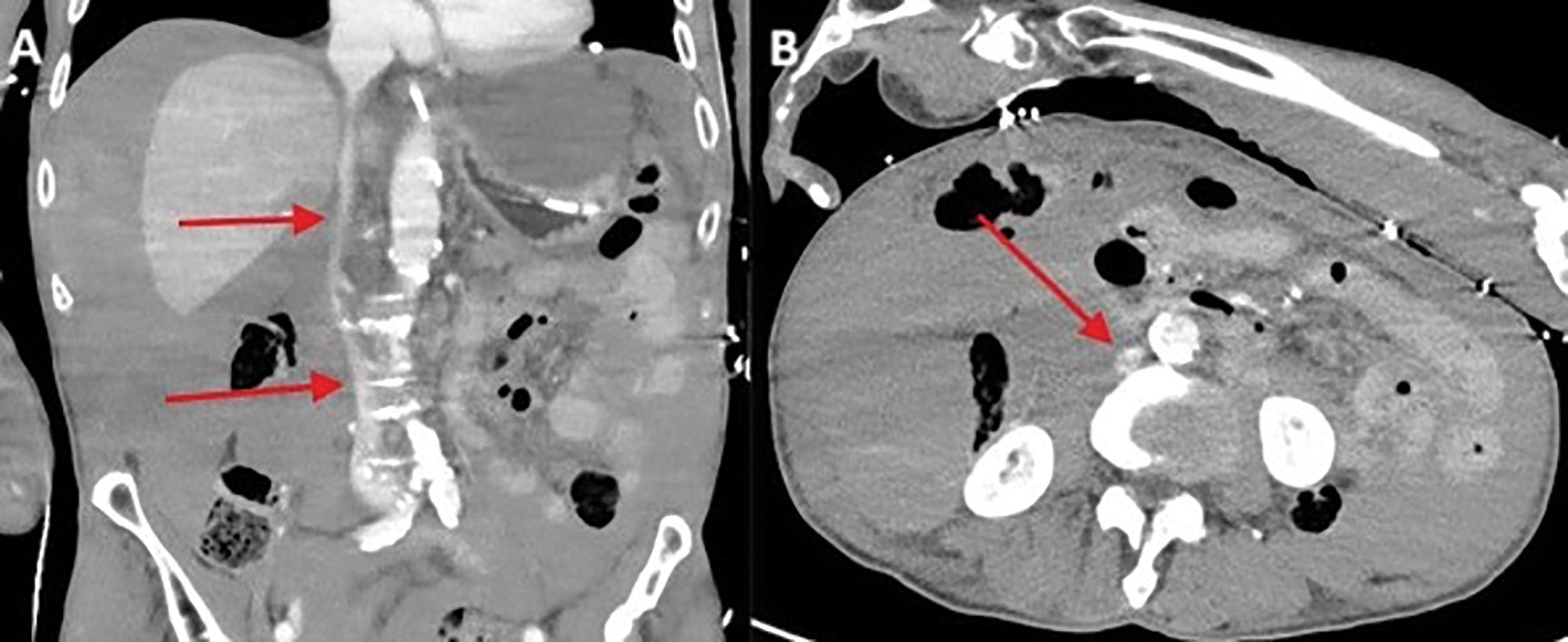
Figure 2
Lacerated left hepatic vein at the confluence with the vena cava.

Figure 3
Gracile appearance of the inferior vena cava and the major pelvic veins.

© 2025 Femke Vrijdag, Joke Meersschaert, published by Ubiquity Press
This work is licensed under the Creative Commons Attribution 4.0 License.