
Figure 1
Multiloculary collections with extension in the ischio‑anal fossa and pararectal space (
).

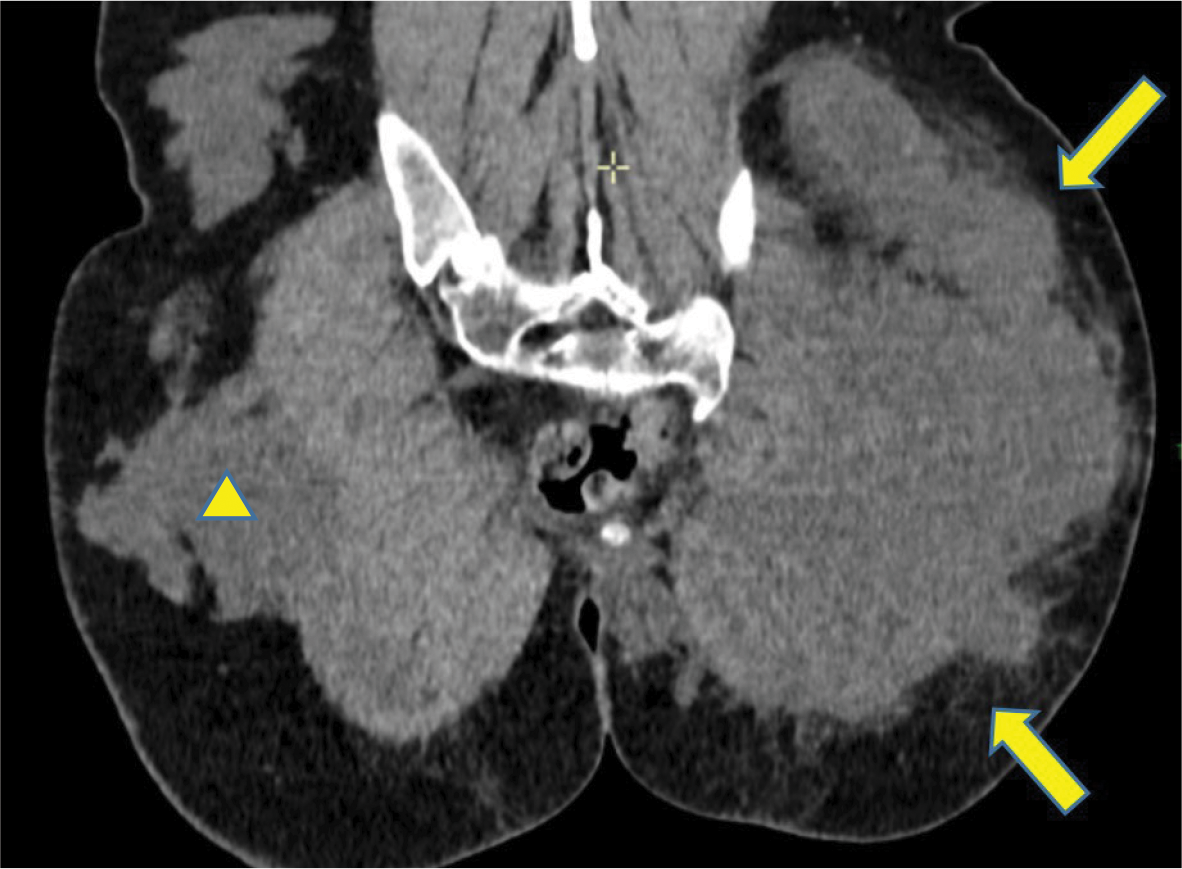
Figure 2
Diffuse infiltration of the subcutaneous fat surrounding the left gluteal fluid collection (
).

Figure 3
Collection had a multilobulated appearance (
).
