
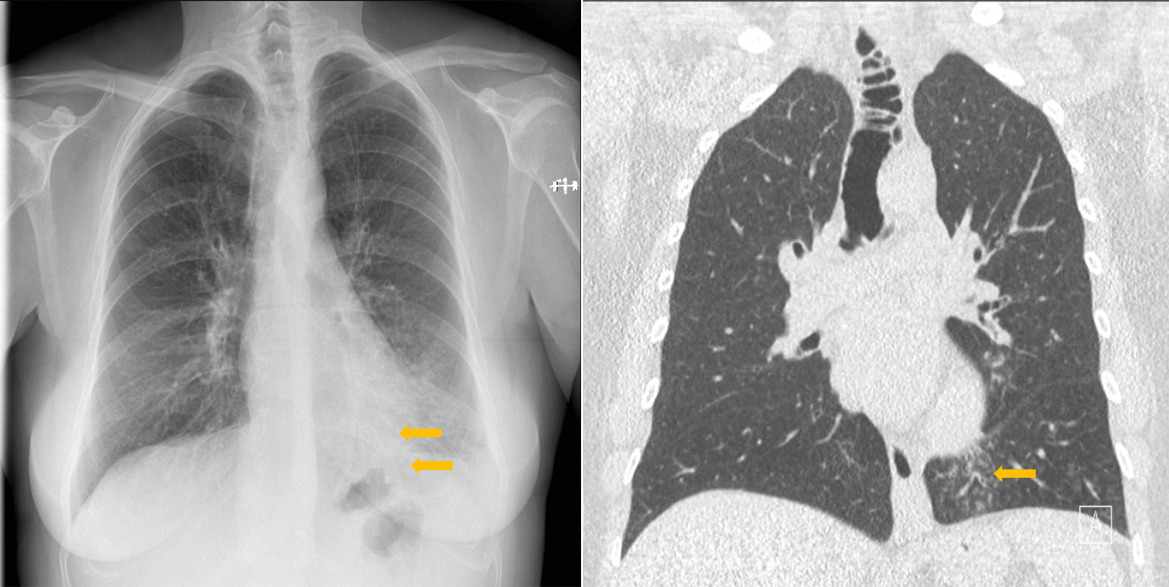
Figure 1
Tracheal diverticulosis and left bronchiolitis; frontal CXR and CT comparison.

Figure 2
Tracheal diverticulosis: sagital CXR and CT comparison.

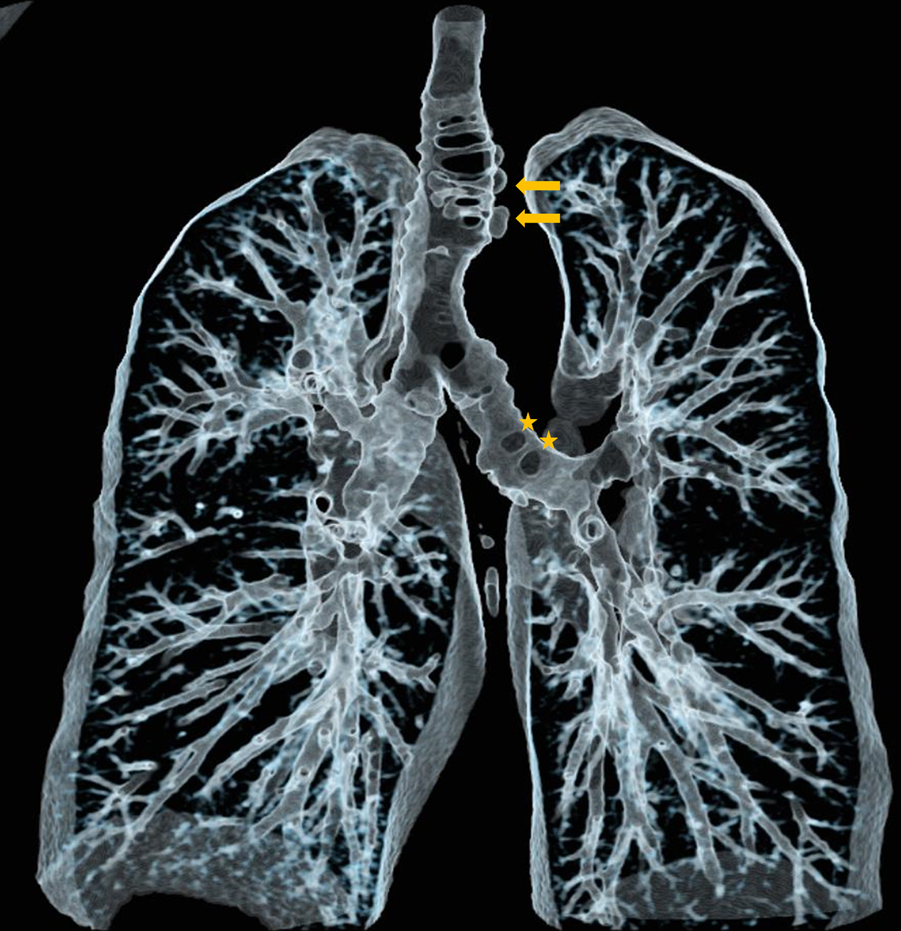
Figure 3
Virtual bronchography of thacheobronchial diverticulosis.

© 2024 Leonor De Almeida Moreira Cameira de Abreu, Jean-Christophe le Brun, Denis Tack, published by Ubiquity Press
This work is licensed under the Creative Commons Attribution 4.0 License.