
Figure 1
Axial images demonstrating entrapped obturator hernia and small bowel obstruction.

Figure 2
Coronal image demonstrating entrapped obturator hernia and small bowel obstruction.

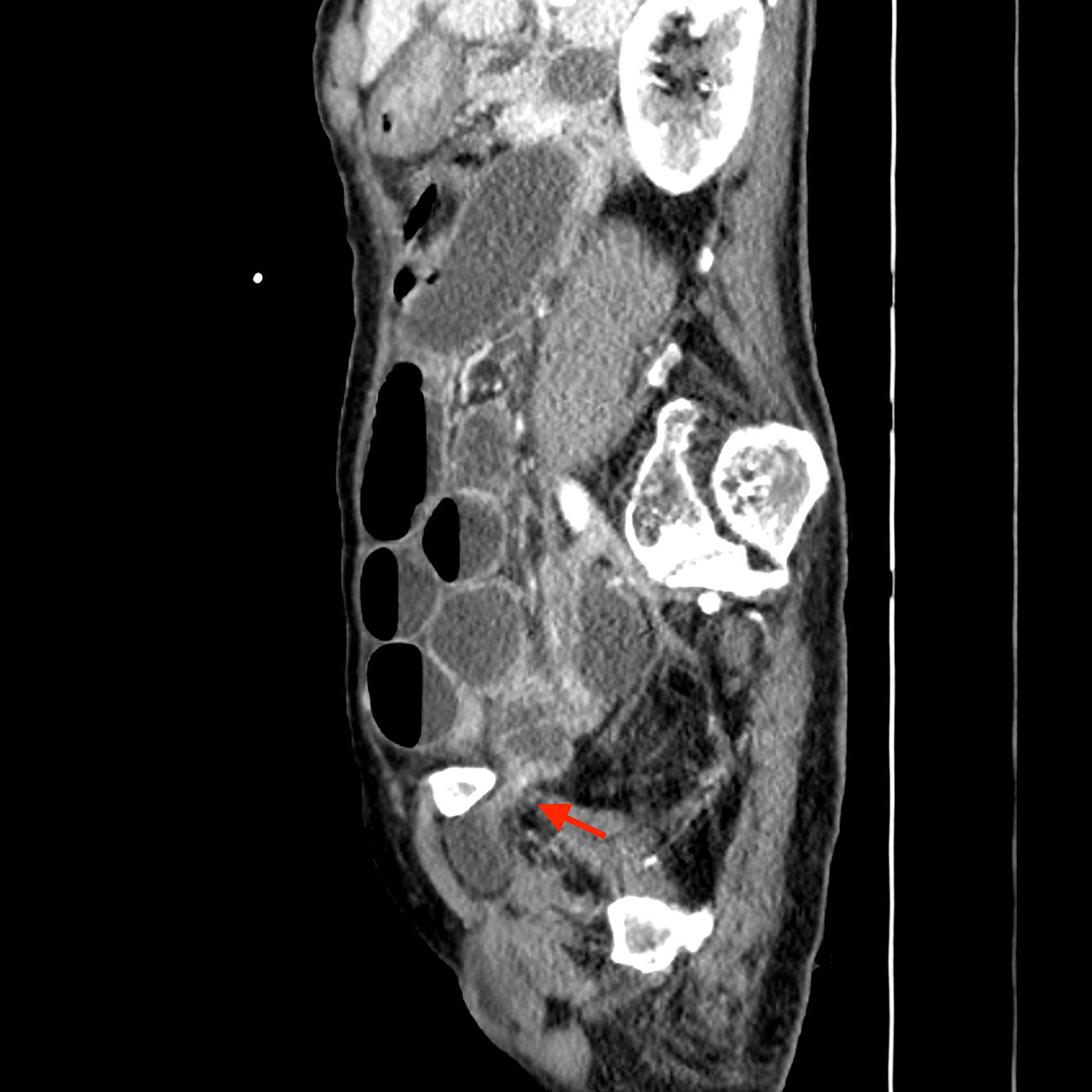
Figure 3
Sagittal image demonstrating entrapped obturator hernia and small bowel obstruction.
