
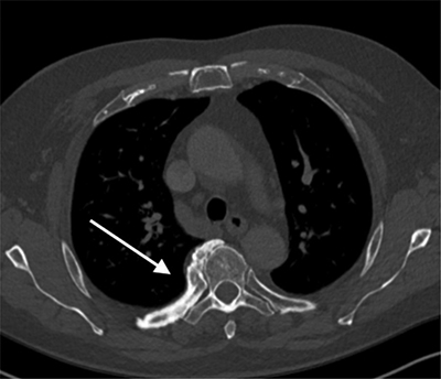
Figure 1
CT thorax axial images in bone window.

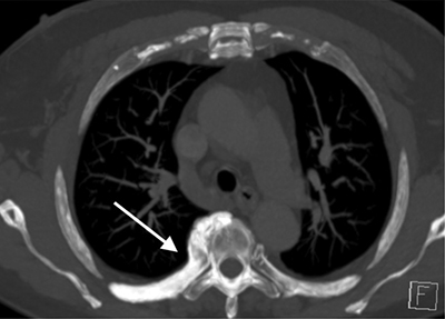
Figure 2A
CT thorax axial MIP images.

Figure 2B
CT thorax coronal MIP images.

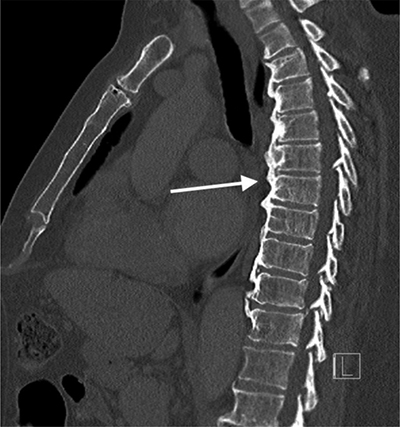
Figure 3
CT thorax sagittal images in bone window.

© 2024 Michiel Van Elsen, Filip M. Vanhoenacker, Annemiek Snoeckx, published by Ubiquity Press
This work is licensed under the Creative Commons Attribution 4.0 License.