
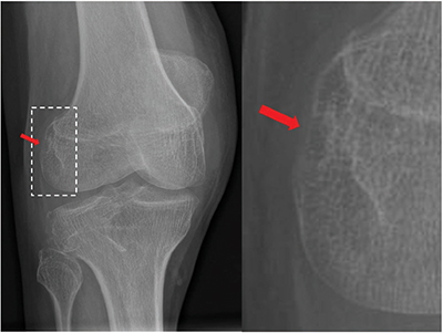
Figure 1
Radiography of the right knee demonstrating an erosion of the popliteal sulcus (red arrow).

Figure 2
Ultrasound of the right knee demonstrating a thickened popliteal tendon and erosion of the the popliteal sulcus (A and C). A second erosion was shown on the medial rim of the medial tibial plateau (B and D).

Figure 3
MRI of the right knee demonstrating a diffusely thickened, hyperintense popliteal tendon on proton density-weighted images (blue arrows), an erosion of the popliteal sulcus (red arrows) and an erosion at the medial rim of the medial tibial plateau (yellow arrow).
